CMV Flashcards

(18 cards)

1
Q

What type of virus is CMV?

A

Beta-herpes virus
Double stranded linear DNA
HHV-5

How well did you know this?
1
Not at all
2
3
4
5
Perfectly
2
Q

How common is CMV seroprevalence?

A

60-100%
In infants it is 0.5-1% and may cause sensorineural hearing loss/intellectual disability if congenitally acquired

How well did you know this?
1
Not at all
2
3
4
5
Perfectly
3
Q

What are the routes of transmission of CMV?

A

Person-to-person e.g. kissing, intimate contact, sex
Vertical transmission e.g. MTCT
Blood transfusion
HSCT

How well did you know this?
1
Not at all
2
3
4
5
Perfectly
4
Q

What cells does CMV infect?

A

Leukocytes
Endothelial cells

How well did you know this?
1
Not at all
2
3
4
5
Perfectly
5
Q

What is the most common organ-invasive disease caused by CMV in AIDS?

A

Chorioretinitis
Colitis is the second most common

How well did you know this?
1
Not at all
2
3
4
5
Perfectly
6
Q

What are the risk factors for CMV?

A
  • CMV D+/R- status in transplantation
  • Immunosuppressive drugs - especially steroids, MMF, ATG, alemtuzumab.
  • AIDS
  • IBD
  • Acute illness
  • Maternal CMV during pregnancy
How well did you know this?
1
Not at all
2
3
4
5
Perfectly
7
Q

Which immunosuppressive drugs have lower risk of CMV?

A

Sirolimus
Everolimus

How well did you know this?
1
Not at all
2
3
4
5
Perfectly
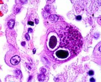
8
Q

What do investigations show in CMV?

A

FBC - lymphocytosis if immunocompetent, leukopenia and thrombocytopenia if not
Cr - may be high in renal transplant
AST/ALT - raised
ALP - raised if hepatobiliary involvement
CMV-IgM - indicative of acute infection, IgG past.
NAT - positive for CMV
CD4 - low in AIDS at <50
CXR - may show pneumonitis
Biopsy - owls eye inclusions in pneumocytes

How well did you know this?
1
Not at all
2
3
4
5
Perfectly
9
Q

Is CMV asymptomatic?

A

Asymptomatic in the immunocompetent
Symptomatic in the immunocompromised e.g. fever, BM suppression, end-organ diseases.

How well did you know this?
1
Not at all
2
3
4
5
Perfectly
10
Q

What is the diagnostic test for acute CMV?

A

Serology for CMV-IgM which binds with low avidity but NAT is more rapid and sensitive

How well did you know this?
1
Not at all
2
3
4
5
Perfectly
11
Q

How do you manage CMV in the immunocompetent?

A

Self-resolves

How well did you know this?
1
Not at all
2
3
4
5
Perfectly
12
Q

How do you manage CMV in the immunocompromised?

A

Transplant recipients with CMV - PO valganciclovir/IV ganciclovir
AIDS patients e.g. with retinitis - IV ganciclovir or foscarnet +/- cidofovir

AND reduce immunosuppression

*cidofovir and foscarnet are both IV and less preferred due to toxicity

How well did you know this?
1
Not at all
2
3
4
5
Perfectly
13
Q

How do you manage resistant CMV?

A

Genotypic resistance analysis - especially if prolonged antiviral treatment

How well did you know this?
1
Not at all
2
3
4
5
Perfectly
14
Q

How do you manage congenital CMV?

A

6 months oral valginciclovir

How well did you know this?
1
Not at all
2
3
4
5
Perfectly
15
Q

What are the manifestations of CMV in the immunocompromised?

A
  • Retinitis
  • Encephalitis
  • Pneumointis
  • Gastroenteritis

Symptoms:
* Malaise
* Fever
* Diarrhoea
* N&V
* Visual floaters and blindness, abnormal fundoscopy

How well did you know this?
1
Not at all
2
3
4
5
Perfectly
16
Q

What are the prevention strategies for CMV in the immunocompromised with transplants?

A

HSCT: CMV viral load twice weekly - treat if virus reactivates, until suppressed (pre-emptive therapy)

Solid organ transplant: Valganciclovir prophylaxis for 100 days

17
Q

What are the side effects of treatments for CMV?

A

A
Ganciclovir and valganciclovir (oral) - BM suppression i.e. leukopenia and thrombocytopenia

Foscarnet (IV) - nephrotoxicity and electrolyte distubance (Ca, Mg, P)

Cidofovir (nephrotoxicity)

IVIg - flushing, chills, muscle cramps, fever, nausea

18
Q

How do you manage congenital CMV?

A

6 months oral valginciclovir