CNS Flashcards

(54 cards)

1
Q

When is the CNS examined on necropsy? What particular diseases require CNS examination?

A

only with history of neurological disease - inaccessibility is a significant deterrent to its routine examination

rabies and transmissible encephalopathy —> needs extreme caution and proper PPE

How well did you know this?
1
Not at all
2
3
4
5
Perfectly
2
Q

How is the spinal cord exposed in small animals?

A

dorsal laminectomy with bone rongeurs removes dorsal spine of the vertebrae allowing for the removal of the spinal cord by holding the dura matter with forceps and sectioning of spinal roots as close to the intervertebral foramina

How well did you know this?
1
Not at all
2
3
4
5
Perfectly
3
Q

How is the spinal column of horses and large animals exposed?

A

isolate vertebral column and pass through a band saw without damaging the spinal cord to obtain midsagittal sections

How well did you know this?
1
Not at all
2
3
4
5
Perfectly
4
Q

What are the layers of the meninges?

A
  1. dura matter - connective tissue adhered to the skull endosteum
  2. arachnoid space - allows the movement of CSF from ventricles and spinal cord
  3. pia matter - parenchyma of the brain
How well did you know this?
1
Not at all
2
3
4
5
Perfectly
5
Q

Brain anatomy:

A
How well did you know this?
1
Not at all
2
3
4
5
Perfectly
6
Q

What 5 aspects of the brain are examined on necropsy? How should the brain and spinal cord be prepared?

A
  1. size
  2. malformations
  3. symmetry
  4. swelling
  5. meningeal opacity (presence of exudate)

immersed in formalin and fixed for 5-7 days then sectioned transversely and sequentially

How well did you know this?
1
Not at all
2
3
4
5
Perfectly
7
Q

How is a sign-time graph used for CNS pathology?

A

determines the etiology of neurological disease according to progression and severity of clinical signs

  • ANOMALY = present from birth with no change in severity of clinical signs
  • TRAUMA, VASCULAR, INFECTIOUS = acute with severe signs with a decrease in severity upon survival
  • NEOPLASTIC, DEGENERATIVE = slowly progressive
How well did you know this?
1
Not at all
2
3
4
5
Perfectly
8
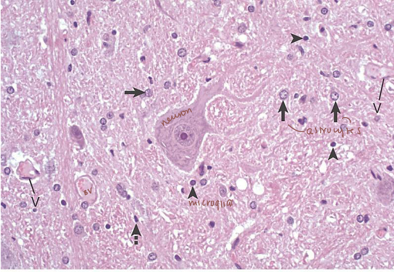
Q

What is neuroglia? What is the functional cell of the CNS?

A

neurons + glial cells = neural glue

neurons

How well did you know this?
1
Not at all
2
3
4
5
Perfectly
9
Q

What 2 protoplasmic properties are highly developed in neurons? Where are they located?

A
  1. irritability - generations of an impulse
  2. conductivity - ability to transmit such an impulse from one locality to another

entirely within the CNS or entirely/partially present in PNS

How well did you know this?
1
Not at all
2
3
4
5
Perfectly
10
Q

What 4 glial cells are present in the CNS?

A
  1. oligodendrocytes - produce myelin to multiple neurons
  2. microglia - phagocytes
  3. ependymal cells
  4. astrocytes - BBB protection
How well did you know this?
1
Not at all
2
3
4
5
Perfectly
11
Q

What are the 3 functions of the microglia? What are Gitter cells?

A
  1. immunosurveillance
  2. immunoregulation
  3. reparative (phagocytes)

microglial cells that are globular and swollen (vacuolized) after having phagocytized debris from injured cells

How well did you know this?
1
Not at all
2
3
4
5
Perfectly
12
Q

What are the 3 components of the blood-brain barrier? What is its function?

A
  1. endothelium tight junction
  2. endothelium basement membrane
  3. astrocyte endfeet

protective function for neuronal microenvironment giving tighter control of substances moving from the blood to avoid toxin and pathogen effects on the neurons

How well did you know this?
1
Not at all
2
3
4
5
Perfectly
13
Q

Neurons and glial cells:

A
  • very little connective tissue = gelatinous meshwork
  • cytoplasmic projections of neurons and glial cells = neuropile = eosinophilic material between cells
  • blue aggregates within neurons = Nissl bodies = rER, ribosomes, RNA indicative of activity
How well did you know this?
1
Not at all
2
3
4
5
Perfectly
14
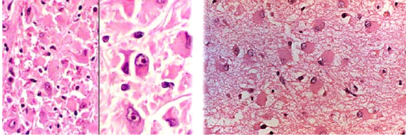
Q

What is chromatolysis?

A

breakdown of cytoplasmic Nissl bodies (aggregates of rER and polyribosomes) indicating neuronal cell injury

  • swollen neuron lacking Nissl bodies
How well did you know this?
1
Not at all
2
3
4
5
Perfectly
15
Q

How do neurons respond to ischemia? What name has been proposed for this change?

A
  • shrunken
  • cytoplasmic eosinophilia
  • nuclear pyknosis or karyolysis

energy-deprivation change - can be the result of ischemia (stroke, TSE), hypoglycemia (shock), etc.

How well did you know this?
1
Not at all
2
3
4
5
Perfectly
16
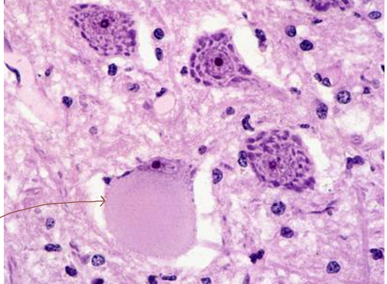
Q

What is satellitosis?

A

degenerative neurons with normal structure and increased accumulation of satellite oligodendrocytes or other glial cells

How well did you know this?
1
Not at all
2
3
4
5
Perfectly
17
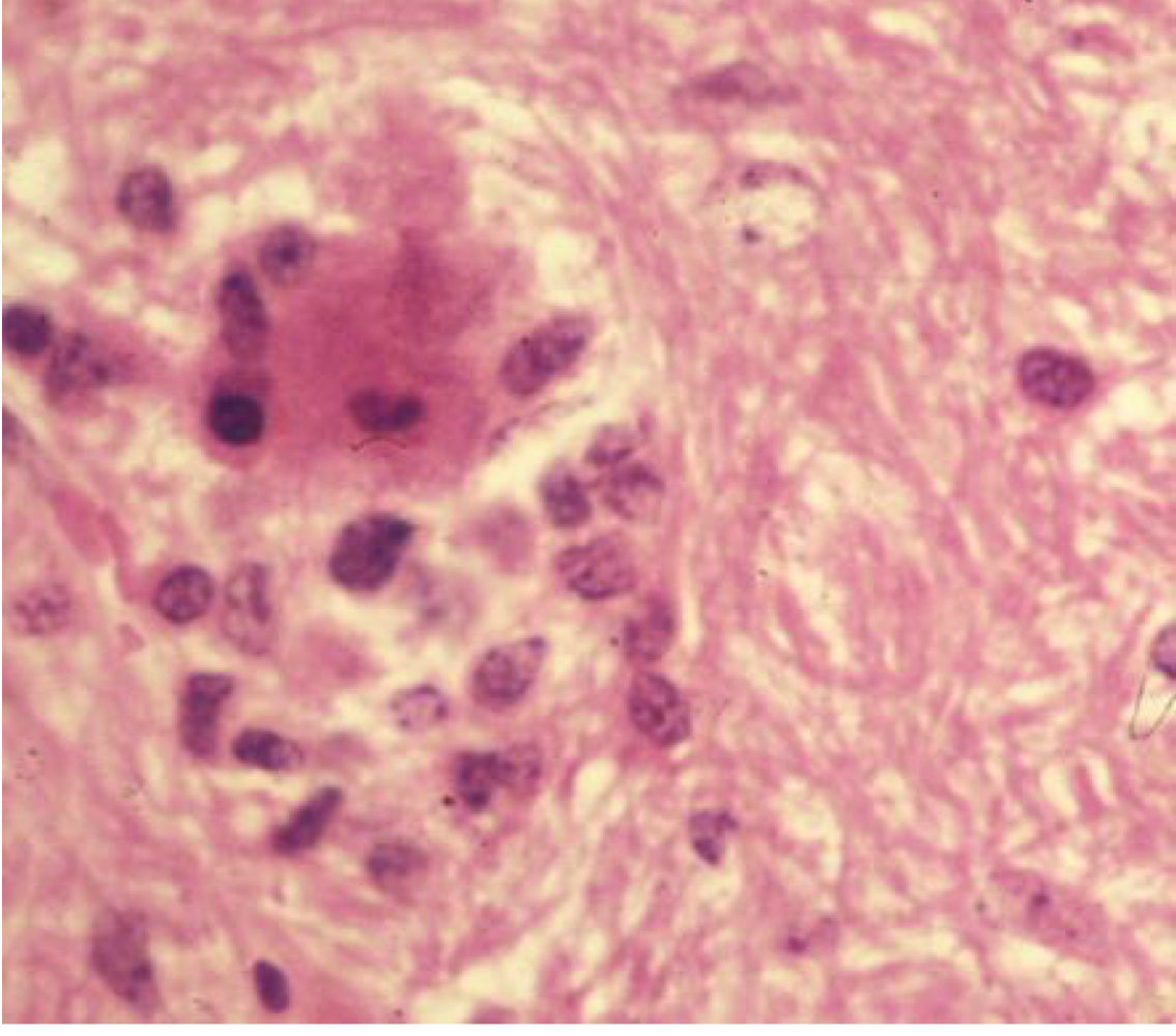
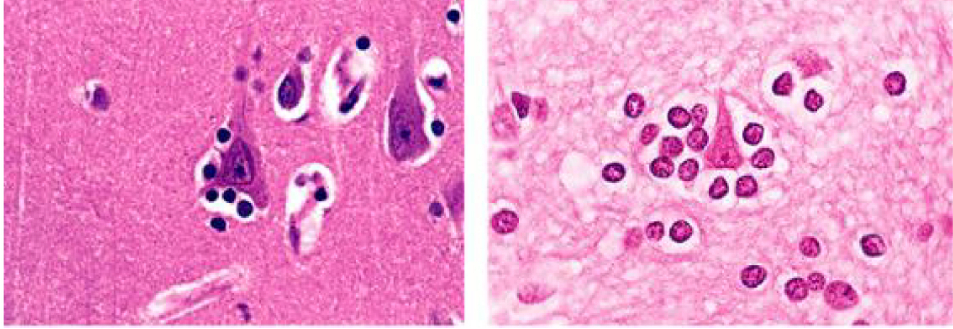
Q

What is neuronophagia?

A

neuron dies (no longer normal structure) and is surrounded by oligodendrocytes and Gitter cells that phagocytize it

How well did you know this?
1
Not at all
2
3
4
5
Perfectly
18
Q

What is status spongiosus?

A

vacuolization of neuropile in white and gray matter with splitting of myelin sheath by edema or demyelination

How well did you know this?
1
Not at all
2
3
4
5
Perfectly
19
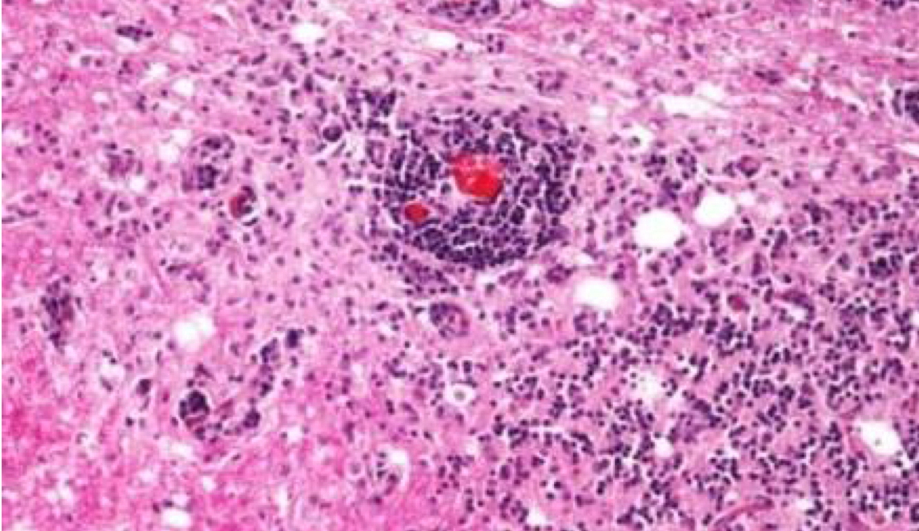
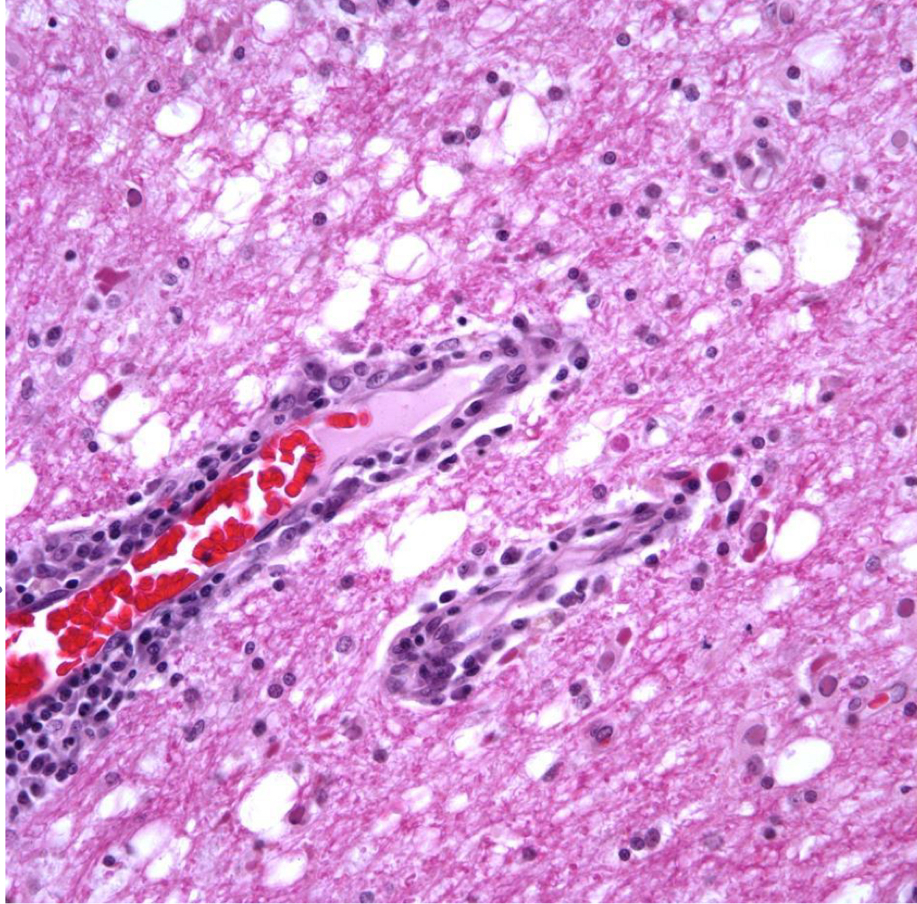
Q

Gliosis, perivascular cuffing:

A

increased nuclei of glial cells with an accumulation of inflammatory cells in the perivascular space

How well did you know this?
1
Not at all
2
3
4
5
Perfectly
20
Q

What is astrogliosis? What does it look like on histology?

A

increased astrocytes indicative of healing, damage, and proliferation in the CNS

  • activated astrocytes (gemistocytic) with eosinophilic and glassy cytoplasm with nuclei in the periphery
  • proliferation leads to scarring with no fibroblasts present to replace with connective tissue
How well did you know this?
1
Not at all
2
3
4
5
Perfectly
21
Q

What is perivascular cuffing?

A

inflammatory cell invasion within perivascular space between endothelium and white matter

  • inflammatory cells present depend on the type of infection/damage
How well did you know this?
1
Not at all
2
3
4
5
Perfectly
22
Q

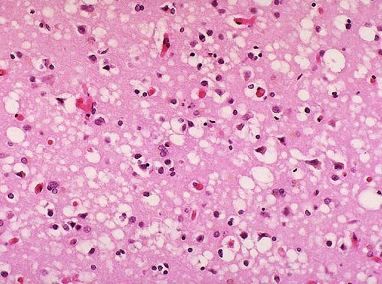
What does spongiform change look like on histology?

A

neuropile vacuolization (seen in Mad Cow disease and Creutzfeldt-Jakob disease)

+ gliosis - increased glial cells with observable nuclei

23
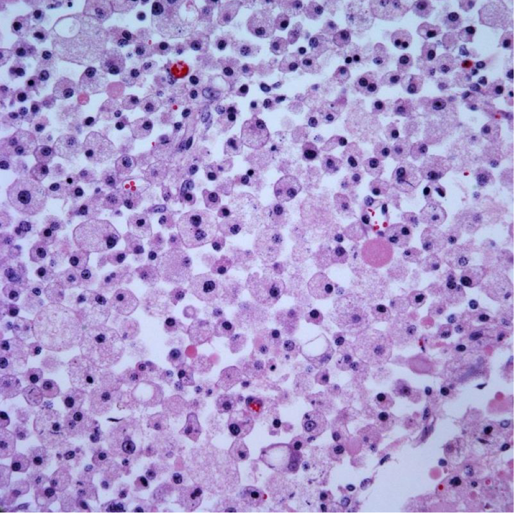
Q

What are Gitter cells?

A

“foamy macrophages” with cytoplasm that become vacuolized upon phagocytizing necrotic debris within the brain or spinal cord (common response to ischemic injury)

24
Q

What are the 3 major types of neuron degeneration?

A
  1. Wallerian degerneration - axon is transected where proximal axon remains normal and distal axon and myelin degenerates, causing a lack of innervation that atrophies muscle
  2. demyelination - oligodendrocytes or Schwann cells are targeted, decreasing conduction velocity; muscle tone intact
  3. neuronal injury causing axonal degeneration - neuron is targeted, causing distal degeneration of axon and myelin, causing muscle atrophy
25
What are the 3 most common causes of congenital abnormalities in the CNS?
1. inherited 2. exposure to teratogens - act mainly during the first third of pregnancy during organogenesis 3. exposure to viruses - cause malformations ver a wider period
26
What is microencephaly?
small cerebral hemispheres ---> midbrain visible - prosencephalic hypoplasia - neurological signs, recumbent, euthanized
27
What are common causes of microencephaly in calves and piglets?
in utero infection with... - CALVES: BVD - PIGLETS: classical swine fever virus (rostral portions of the brain are underdeveloped)
28
How does CSF flow in the brain?
- produced in choroid plexus in lateral hemispheres - interventricular foramen of Monro - third ventricle - cerebral aqueduct of Sylvius - 4th ventricle - central canal to spinal cord OR foramen of Luschka to subarachnoid space
29
What is hydrocephalus? What are 2 causes?
increased internal CSF volume within the ventricles or external CSF volume in the arachnoid space 1. COMPENSATORY: CSF increases to take up the space where parenchyma has been destroyed or failed to develop 2. OBSTRUCTIVE: congenital or inflammatory aqueductal atresia or stenosis
30
How does hydrocephalus affect the brain?
CSF accumulates and causes compression atrophy that causes deformation of the malleable skull of the fetus
31
What is the manifestation of hydrocephalus? What is the most critical component of this pathway?
dome-shaped head due to megalencephaly and ventrolateral strabismus mesenephalic aqueduct of the midbrain - most common site of malformations that result in obstructive hydrocephalus
32
What are common clinical signs of hydrocephalus?
- depression - dementia - seizures - blindness - exophthalmos - strabismus (eye deviation)
33
Hydrocephalus, puppy:
extreme dilatation of lateral ventricles and thinning of cerebrocortical tissue
34
What are porencephaly and hydranencephaly? When does it mostly occur? How does it compare to hydrocephalus?
formation of fluid-filled cavities in the brain (p = small, h = large) in utero during gestation, resulting from destruction of immature neuroblasts or due to vascular injury the cranium is not malformed and CSF accumulates within the lateral ventricles and the cavitated parenchyma
35
What are the main results of hydranencephaly? What are 5 viral causes?
complete or almost complete absence of the cerebral hemispheres, leaving only a membranous sac filled with CSF and enclosed by leptomeninges 1. Akabane virus 2. Bluetongue virus 3. Rift Valley Fever virus 4. Wesselsbron virus 5. Pestiviruses: BVDV, Border disease virus
36
Cerebellar hypoplasia, dog:
- doesn't form properly - cerebral hemispheres normal
37
Cerebellar hypoplasia, kitten:
38
What in utero or peri-natal viral infections cause cerebellar hypoplasia in cats and calves? How do affected animals present?
CATS = feline panleukopenia virus CALVES = BVD cerebellar dysfunction: symmetric ataxia characterized by hypermetric broad-based gait, truncal ataxia, and intention tremors that are more pronounced in the head when drinking or eating
39
What is spina bifida?
defective closure of bony encasement of the spinal cord, leaving no protection and possible underdevelopment of the skin leaving the meninges uncovered
40
How does spina bifida occulta develop?
- unable to be seen from outside - MENINGOCELE: CSF accumulates and meninges protrude where dorsal spine is missing - MYELOMENINGOCELE: meninges, CSF, spinal cord accumulation
41
What are lysosomal storage diseases?
commonly progressive and inherited fatal disorders where neurons are unable to eliminate normal byproducts of their metabolism due to biochemical defects causing a decrease in lysosomal enzymes or impaired metabolism, packaging, transport, or secretion of such byproducts
42
, When can lysosomal storage diseases be acquired?
exposure to neurotoxic substances that inhibit lysosomal activities, like the consumption of locoweeds in sheep, cattle, and horses that blocks the breakdown of α-mannosidosis
43
What are 6 common lysosomal storage diseases? How do they most commonly manifest?
1. gangliosidosis 2. globoid cell leukodystrophy 3. ceroid lipofuscinosis 4. α- and β-mannosidosis 5. mucopolysaccharidosis 6. Niemann-Pick disease severe neurological signs within months of being born
44
How does lysosomal storage disease commonly look histologically?
neuron swelling with foamy, vacuolated cytoplasm due to lipid accumulation within lysosomes
45
In what breed of sheep is ceroid lipofuscinosis most common? How does the brain appear?
Rambouillet, South Hampshire, Borderdale cerebrocortical atrophy due to a decrease in neurons and narrowed gyri and wide sulci - normal cerebellum
46
In what breed of goat is ceroid lipofuscinosis most common?
Nubian - cerebrocortical atrophy ---> loss of neurons
47
What is the most common cause of inherited mannosidosis in cattle? What breed? How does it present grossly?
inherited disorder with the lysosomal enzyme that breaks down mannose (mannosidase) ---> Salers normal cerebellum and cerebrum, but neurons are large and vacuolated due to neuronal degeneration and sugar accumulation
48
What is the most common causes of acquired mannosidosis in cattle, sheep, and horses? What is the toxic principle? In what states is this most common?
ingestion of locoweeds (Astragalus, Oxytropis) swainsonine acts as a potent inhibitor of α-mannosidase Colorado and Utah
49
What is a common cause of cerebral edema? Why is this significant?
increased intracranial pressure there is only a narrow space separating the brain and dura matter (unyielding structures) that only allows a small increase in volume without increases intracranial pressure ---> compressing the respiratory system is the top cause of death with head trauma
50
How do cerebral swelling and edema look histologically?
decreased protein in the brain causes the neuropile to remain unstained and swollen intravascular spaces
51
What is the significance of cerebral edema? What are the 2 most common sequels?
leads to increased intracranial pressure, leading to compression ischemia (hypoxia), edema, and necrosis of the brain 1. cerebellar coning 2. gyral herniation
52
What is cerebellar coning?
sequel to increased intracranial pressure and edema where the cerebellum swells and increased pressure causes it to protrude through the foramen magnum or tentorium cerebelli and found above the brainstem
53
Cerebellar coning, cat:
cerebellum seen directly above the medulla oblongata and protruding through foramen magnum
54
What is gyral herniation?
sequel to increased intracranial pressure and edema where the parahippocampal gyri separate from the cerebral hemisphere and herniate under the tentorium cerebelli