PNS Flashcards

(33 cards)

1
Q

Where do afferent and efferent signals enter the spinal cord?

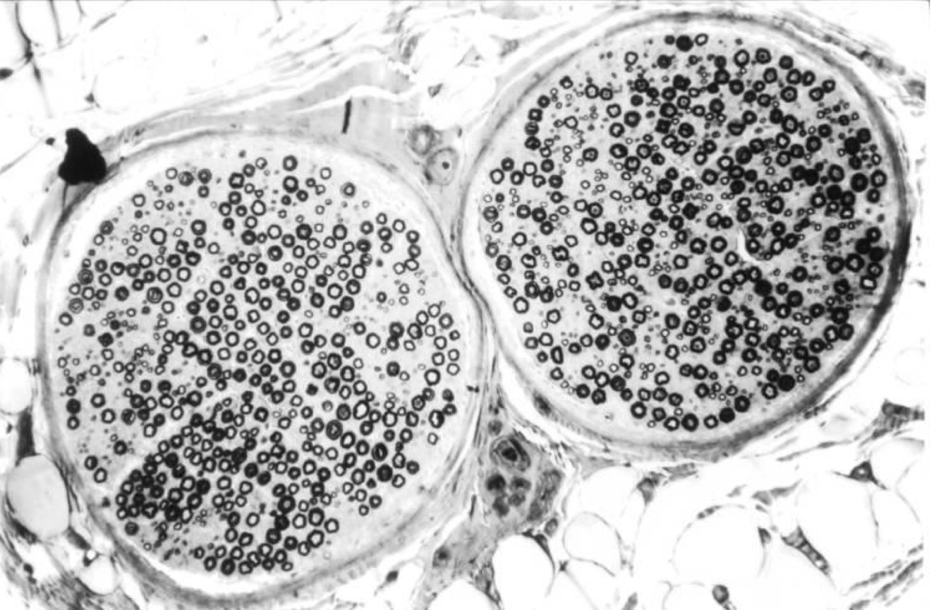
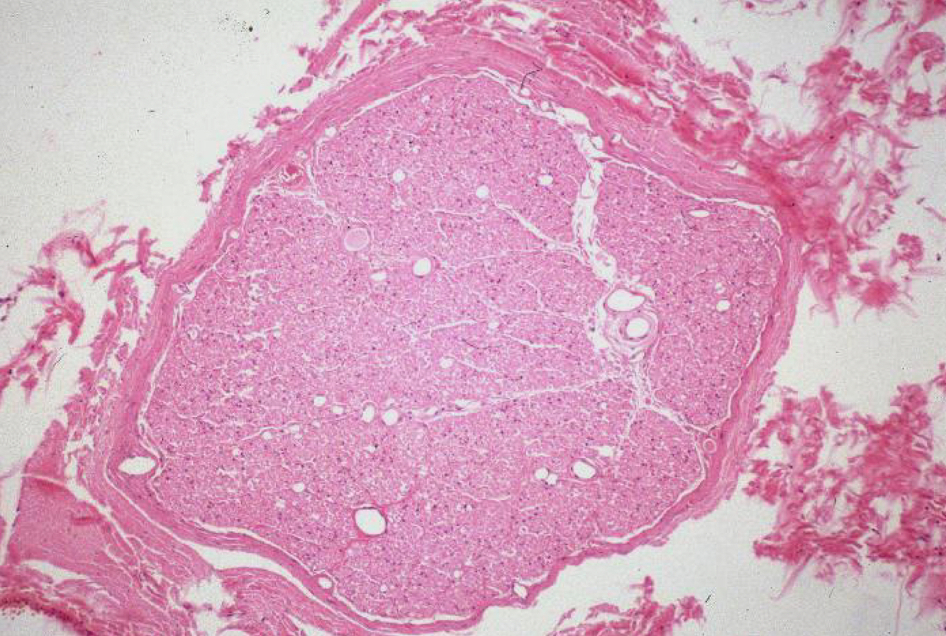
A

AFFERENT = sensory neurons from skeletal muscle enter through the dorsal nerve root

EFFERENT = ventral nerve roots give off spinal nerves

How well did you know this?
1
Not at all
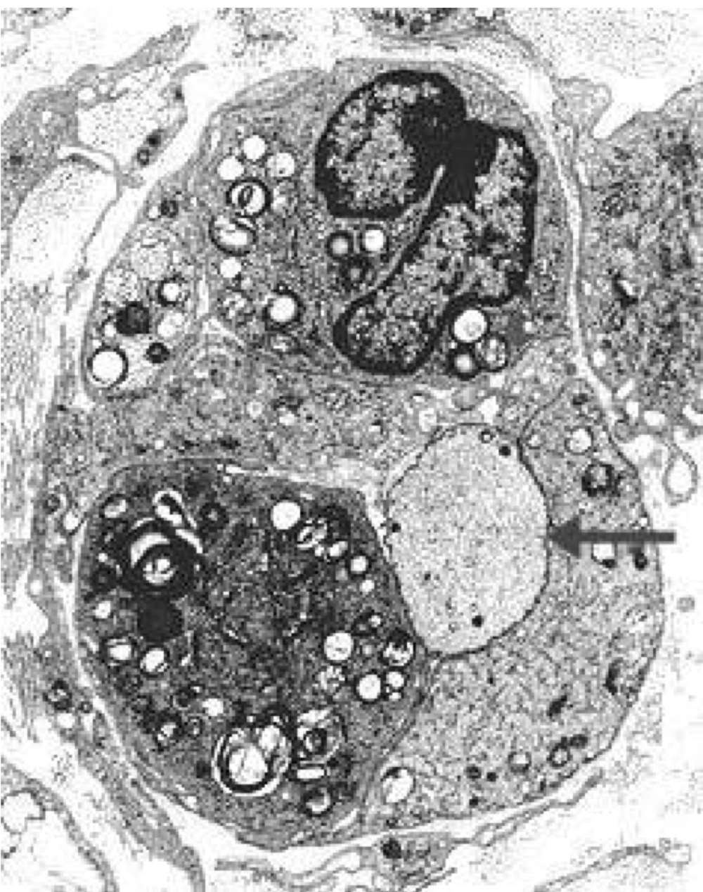
2
3
4
5
Perfectly
2
Q

PNS degeneration:

A
How well did you know this?
1
Not at all
2
3
4
5
Perfectly
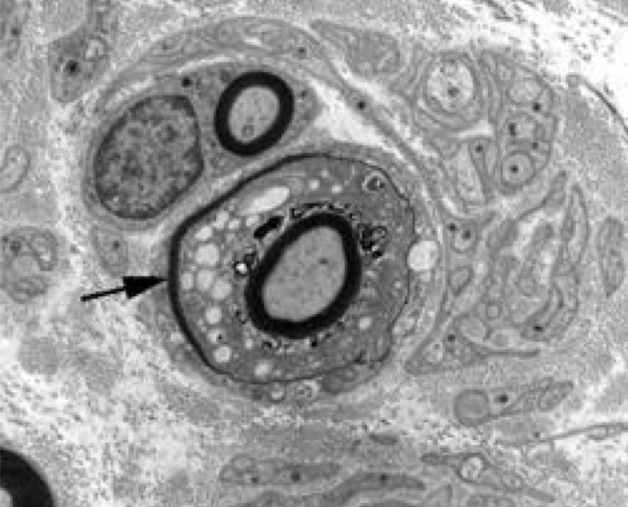
3
Q

What cells produce the myelin for PNS neurons? What is the point?

A

Schwann cells surround axons and supply multiple at once

increases conduction velocity —> damaged myelin/no myelin = slow conduction, gait abnormalities

How well did you know this?
1
Not at all
2
3
4
5
Perfectly
4
Q

Myelinated nerve fiber:

A

neurotubules and filament within neuron produce NT and induce their excretion + collagen fibers in endoneurium

How well did you know this?
1
Not at all
2
3
4
5
Perfectly
5
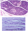
Q

Nerve fascicle, H&E:

A
  • epineurium: entire neuron
  • perineurium: multiple fascicles
  • endoneurium: one fascicle
How well did you know this?
1
Not at all
2
3
4
5
Perfectly
6
Q

How are peripheral nerves prepared to maintain its structure?

A

myelin lipids are lost during normal processing, leaving only the neurokeratin

  • osmium fixation embedded in plastic/resin preserves these sheaths
How well did you know this?
1
Not at all
2
3
4
5
Perfectly
7
Q

What is cranial PNS neuritis in horses commonly associated with?

A

guttural pouch mycosis and empyema - inflammation extends to facial and glossopharyngeal nerves

How well did you know this?
1
Not at all
2
3
4
5
Perfectly
8
Q

What is coonhound paralysis? What syndrome is seen in dogs that lack exposure?

A

acute ascending paralysis in dogs following scratches or bites from a raccoon, leading to the production of antibodies that target antigens similar to peripheral nerves

acute idiopathic polyradiculoneuritis (nerve roots) - no history of contact with raccoons, mites?

How well did you know this?
1
Not at all
2
3
4
5
Perfectly
9
Q

What is coonhound paralysis compared to in humans? What lesions are characteristic?

A

Guillain-Barre syndrome - autoimmune response following viral illness, vaccination, or disease that leads to demyelination or nerve roots and peripherals

demyelination and influx of inflammatory cells with axonal degeneration

How well did you know this?
1
Not at all
2
3
4
5
Perfectly
10
Q

What are the most common signs of coonhound paralysis?

A
  • hyperesthesia, weakness, ataxia
  • tetraparesis may last for weeks or months
  • denervation atrophy

recovery is common, but takes a long time

How well did you know this?
1
Not at all
2
3
4
5
Perfectly
11
Q

Coonhound paralysis:

A

demyelination - splitting of myelin lamellae, myelin debris

How well did you know this?
1
Not at all
2
3
4
5
Perfectly
12
Q

Coonhound paralysis, demyelinated axon:

A

myelin debris from myelin breakdown within cytoplasmic processes of macrophages

  • naked axon without myelin
How well did you know this?
1
Not at all
2
3
4
5
Perfectly
13
Q

Coonhound paralysis, axonal degeneration:

A

loss of morphologic detail in axoplasm and abundant myelin debris

  • black discoloration
  • secondary myelin destruction, splitting, debris in Schwann cells and macrophages
How well did you know this?
1
Not at all
2
3
4
5
Perfectly
14
Q

What is cauda equina neuritis in horses? What are the most common clinical signs?

A

tail and sphincter paralysis resulting from chronic inflammation of the extradural portions of the nerve roots of the cauda equina

  • perineal paresthesia-anesthesia
  • urinary incontinence
  • fecal retention
  • tail paralysis
  • croup muscle atrophy (between lumbosacral joint and base of tail)
  • hindlimb ataxia and weakness
How well did you know this?
1
Not at all
2
3
4
5
Perfectly
15
Q

What lesions are characteristic of cauda equina neuritis? What is thought to be the etiology?

A

thickened nerve roots due to moderate to severe inflammatory cell infiltration (lymphocytes, plasma cells, macrophages, multinucleated giant cells) leading to granulomatous inflammation, demyelination, and axonal degeneration

immune-mediated response similar to Guillain-Barre

How well did you know this?
1
Not at all
2
3
4
5
Perfectly
16
Q

Cauda equina neuritis:

A
  • granulomatous polyradiculoneuritis
  • thickened nerve roots with inflammatory cells
17
Q

Cauda equina neuritis, horse:

A
  • thick nerve roots
  • non-suppurative, granulomatous inflammation
18
Q

What is another name for cauda equina neuritis?

A

polyneuritis equi (PNE) - widespread distribution of the inflammation affecting not only the cauda equina, but often spinal roots and cranial nerves, as well

19
Q

What degenerative diseases commonly affect the PNS of dogs?

A
  • canine inherited hypertrophic neuropathy: Tibetan Mastiffs
  • congenital hypomyelinating polyneuropathy: Golden Retrievers
  • hereditary sensory neuropathy: Pointers
  • hereditary polyneuropathy: Alaskan Malamutes
  • sensory neuropathy: longhaired Dachshunds
  • canine giant axonal neuropathy: German Shepherds
  • progressive axonopathy: Boxers
  • canine laryngeal paralysis (denervation atrophy): Bouvier des Flanders
20
Q

What degenerative disease commonly affects the PNS of horses?

A

equine laryngeal hemiplegia (Roaring)

21
Q

What is the most common cause of brachial plexus avulsion?

A

intense trauma to the shoulder (HBC) causes rupture of the brachial plexus, leading to radial/ulnar nerve damage and forelimb paralysis/paresis

22
Q

What are 2 common causes of amputation neruomas? What is the pathogenesis?

A
  1. tail dock neuroma in dogs
  2. sequel of neurectomy of digital nerves in horses

abortive attempts of regeneration of severed axons, a common post-operative complication —> painful tumor of regenerated axons

23
Q

What is calving paralysis? What is a common sign?

A

bilateral damage to the obturator nerves as a common complication to dystocia in heifers with oversized fetuses

split legs after calving due to no innervation to the adductor muscles and in severe cases, L6 root and sciatic nerves are also involved

24
Q

What 3 metabolic and nutritional disorders affect the PNS?

A
  1. lysosomal storage diseases - globoid cell leukodystrophy, mannosidosis, Niemann-Pick disease, gangliosidosis
  2. diabetic neuropathy
  3. hypothyroid neuropathy common in adult or aged dogs
25
What is diabetes in cats commonly associated with? What are characteristic signs? Pathological signs?
amyloid deposition in pancreatic cells - hindlimb weakness with plantigrade stance - muscle wasting - proprioceptive abnormalities demyelination, axonal degeneration
26
What are 2 common toxins that affect the PNS?
1. heavy metals: lead, thallium, mercury 2. vincristine: alkaloid plant chemotherapy; reversible and accepted sequel to therapy caused by neurotubule breakdown, which leads to impaired axonal transport and axonal degeneration
27
What are primary and secondary neoplasias found in the PNS?
PRIMARY: ganglioneuromas, ganglioneuroblastomas, peripheral nerve sheath tumors (schwannomas, neurofibromas, neurofibrosarcomas) SECONDARY: Marek's disease induces lymphoma in chickens, spinal lymphosarcomas in cats and cattle
28
What causes Marek's disease? What organs are typically involved?
gallid herpesvirus-2 ---> lymphoma - viscera - eyes - CNS - PNS
29
What is the most common sign of Marek's disease affecting the PNS?
torticollis - twisting of the neck with abnormal position of the head (+ splayed legs)
30
How does Marek's disease affect the eye?
gray eye - smaller pupil with hazy margins due to neoplastic lymphocyte invasion
31
Marek's disease, gray eye:
L = small pupil, hazy R = normal
32
What nerve is commonly affected by Marek's disease? What does this result in?
nerve roots of sciatic nerve become thickened due to neoplastic lymphocyte invasion leg paralysis and dragging
33
Marek's disease, sciatic involvement: