Ear Flashcards

(47 cards)

1
Q

What are the 3 functions of the ear?

A
  1. collect auditory stimuli
  2. transduce mechanical stimuli
  3. transmit nerve impulses to the CNS
How well did you know this?
1
Not at all
2
3
4
5
Perfectly
2
Q

Ear anatomy:

A
How well did you know this?
1
Not at all
2
3
4
5
Perfectly
3
Q

What are the 4 major components of the external ear? What is its function?

A
  1. haired skin
  2. auricle/pinna of elastic cartilage
  3. external ear canal/auditory meatus
  4. tympanic membrane (eardrum)

collect and convey sound waves

How well did you know this?
1
Not at all
2
3
4
5
Perfectly
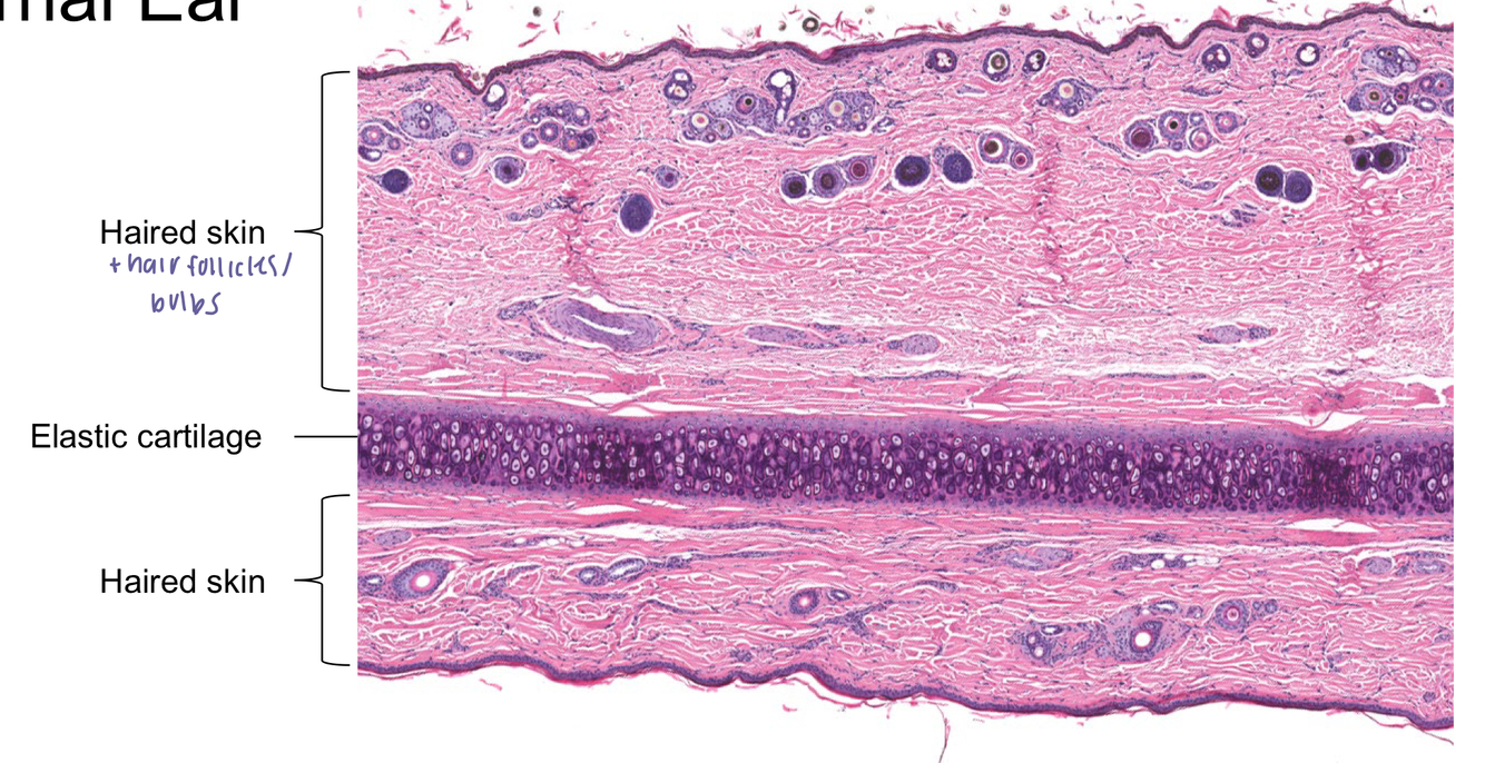
4
Q

External ear, histology:

A
How well did you know this?
1
Not at all
2
3
4
5
Perfectly
5
Q

What are ceruminous glands? What do they secrete?

A

simple, coiled tubular apocrine glands located within the skin of the external acoustic canal

ear wax (cerumen) - mixture of viscous secretions from sebaceous glands, sloughed skin cells and less viscous ones from modified apocrine sweat glands (ceruminous glands)

How well did you know this?
1
Not at all
2
3
4
5
Perfectly
6
Q

What is commonly sampled for external ear disease? What are 7 common diagnostics used?

A

pinna and wall of the canal

  1. otoscopic examination
  2. cytology (impression smears, tape preparations, swab)
  3. superficial and deep skin scrapings
  4. trichograms
  5. bacterial and fungal culture and sensitivity
  6. FNA
  7. biopsy
How well did you know this?
1
Not at all
2
3
4
5
Perfectly
7
Q

External ear cytology:

A

swab

How well did you know this?
1
Not at all
2
3
4
5
Perfectly
8
Q

What is the main cause of otitis externa? In what animals is it most common?

A

rarely primary —> interaction of predisposing factors, primary causes, and secondary causes

dogs > cats

How well did you know this?
1
Not at all
2
3
4
5
Perfectly
9
Q

What are the most common clinical signs of otitis externa? What signs are associated with chronic cases?

A
  • exudate
  • hemorrhage
  • auricles tend to be red, warm, edematous, and painful

CHRONIC = thickened epidermis, stiff external ear canal due to cartilage ossification, stenosis due to skin proliferation

How well did you know this?
1
Not at all
2
3
4
5
Perfectly
10
Q

What can happen if otitis externa is left untreated?

A

surgical removal of the ear canals are necessary

How well did you know this?
1
Not at all
2
3
4
5
Perfectly
11
Q

What are the 6 most common types of predisposing factors leading to otitis externa?

A
  1. conformation - stenotic external acoustic meatus, excess hair, pendulous pinnae
  2. excessive moisture - swimmer’s ear, high humidity
  3. excessive cerumen production - overactive glands
  4. treatment effects - trauma from treatment swabs, irritation from topicals, altered microflora
  5. obstructive ear disease - neoplasm, polyps, granulomas
  6. systemic disease - viral disease, debilitation, catabolic states, immunosuppression
How well did you know this?
1
Not at all
2
3
4
5
Perfectly
12
Q

What are the 6 most common types of primary causes of otitis externa?

A
  1. parasites - ticks, mites, nematodes
  2. hypersensitivity - atopic dermatitis, food, contact, drug reactions
  3. keratinization - primary idiopathic seborrhea, endocrine disorders, sex hormone disorders, lipid-related conditions
  4. foreign bodies - plants (foxtails), hair, sand, dirt, hardened secretions, medications
  5. glandular disorders - ceruminous/sebaceous hyperplasia, altered type and rate of secretion
  6. autoimmune - lupus erythematosus, pemphigus foliaceous/vulgaris/erythematosus
  7. vascular disease - cold agglutinin disease, solar dermatitis, frostbite, vasculitis, juvenile cellulitis, aural chonritis
How well did you know this?
1
Not at all
2
3
4
5
Perfectly
13
Q

What are 2 types of secondary causes of otitis externa?

A
  1. bacteria - Staphylococcus, Proteus, Pseudomonas, E. coli, Klebsiella
  2. yeast - Malassezia, Candida albicans
How well did you know this?
1
Not at all
2
3
4
5
Perfectly
14
Q

How does acute, chronic, and end-stage otitis externa compare?

A

ACUTE = diffusely red, increased pale yellow/brown exudate

CHRONIC = seems bumpy, hyperplastic

END-STAGE = stenosis, can’t see external ear canal due to hyperplastic cells and cartilage ossification

How well did you know this?
1
Not at all
2
3
4
5
Perfectly
15
Q

What is auricular acariasis? What is the most common cause in dogs and cats? In what animals is it most common?

A

ear mite infestations —> Otodectes cynotis

young, free-roaming cats and dogs with outdoor access

How well did you know this?
1
Not at all
2
3
4
5
Perfectly
16
Q

What are the main clinical signs of auricular acariasis? How is it diagnosed?

A
  • pruritis
  • head shaking
  • head tilt
  • circling
  • dark “coffee ground” otic discharge

otoscopic examination and microscopic examination of samples from the ear

How well did you know this?
1
Not at all
2
3
4
5
Perfectly
17
Q

Auricular acarsiasis, otoscopic examination:

A

ear mite infestation

coffee ground discharge + light/pale brown mites

How well did you know this?
1
Not at all
2
3
4
5
Perfectly
18
Q

Otodectes cynotis infestation, cat:

A
How well did you know this?
1
Not at all
2
3
4
5
Perfectly
19
Q

What is the most common cause of auricular acariasis in rabbits?

A

Psoroptes cuniculi

  • crust within canal
20
Q

What is the cause of aural plaques? What is the major clinical finding?

A

horses > 1 y/o infected with Equus caballus papillomavirus

raise, well-demarcated, hypopigmented. hyperkeratotic plaques arising from the concave surface of the auricle

21
Q

What is the cause of canine leproid granulomas? In what dogs is it most common?

A

novel mycobacterial species

Boxers

22
Q

What gross finding is associated with canine leproid granuloma? Histological lesion?

A

single to multiple well-circumscribed, firm, nonpainful dermal nodules on the pinnae

pyogranulomatous dermatitis with intralesional acid-fats positive bacteria

23
Q

Where is ischemic dermatopathy most commonly found? What are 50% of cases associated with? In what dogs is this most common?

A

vaccine sites, pinna, periocular/face, distal extremities

vaccination (rabies)

  • Toy/Miniature Poodles
  • Chihuahuas
  • Maltese
  • Yorkshire Terriers
  • Jack Russel Terriers
24
Q

What lesion is associated with ischemic dermopathy?

A
  • alopecia, crusts, scales, erythema, erosions/ulcers, hyperpigmentation
  • scalloped and notched ear margin due to poor blood supply
25
In what dog is localized parakeratotic hyperkeratosis most common? How does it present grossly? What may help improve these cases?
young Boston Terriers and French Bulldogs (3.5 months) mild to severe parakeratotic hyperkeratosis of the pinna margins oral zinc supplementation
26
What are folded ear tips associated with in cats?
long-term glucocorticoid therapy ---> suspected interaction with cartilage
27
In what animals are aural hematomas most common? What is a major risk factor?
dogs (large-breed, Golden Retrievers, Labrador Retrievers), pigs, cats ongoing ear disease causes excessive head shaking
28
What is the pathogenesis of the development of aural hematomas?
- chronic external or middle ear disease causes the animal to continuously and vigorously shake their heads - this causes trauma to blood vessels and auricular cartilage ad the sides and tips of the auricles
29
In what cats is feline ceruminous cystomatosis most common? What lesion is associated? How is it diagnosed?
older, male Abyssinians and Persians multiple small nodules or vesicles that are dark brown, blue, or black on the ear canal, eyelids, lips, or inner pinnae/outer ear canal biopsy
30
What causes aural squamous cell carcinomas?
UV light on non-pigmented skin
31
How do the 2 types of ceruminous gland neoplasias compare?
1. ADENOMA - single to multiple, small, pedunculated, irregular and firm masses 2. ADENOCARCINOMA - locally invasive, 50% metastasize to regional LNs, lungs, and visceral organs
32
Where is the middle ear located? What nerve is particularly associated?
within the tympanic bulla facial nerve (CN VII) ---> damage/infection can lead to facial paralysis
33
What are the 4 major components of the middle ear? What is its function?
1. tympanic membrane (ear drum) 2. tympanic cavity 3. auditory ossicles - malleolus, incus, stapes 4. Eustachian tube vibration of sound on the tympanic membrane is transmitted through the middle ear to the cochlea (inner ear) via the ossicles
34
What 3 diagnostics are used for middle ear disease?
1. otoscopic examination 2. cytology 3. bacterial and fungal culture and sensitivity
35
What does the normal tympanic membrane look like? What happens with otitis media?
translucent, no redness opaque and erythematous
36
In what animals is otitis media most common? What is the cause?
ruminants, pigs nasopharyngeal ascent of bacteria through the Eustachian tube
37
What are the specific etiologies of otitis media in pigs and ruminants?
PIGS - Pasteurella multocida, Trueperella pyogenes, Mycoplasma hyorhinis RUMINANTS - Histophilus somni, P. multocida, T. pyogenes, Mycoplasma bovis, Streptococcus spp.
38
What gross findings are seen with acute otitis media? Chronic?
fibrinopurulent to caseous exudate in the bulla bones remodeling, fibrosis, granulation tissue
39
In what animals are aural inflammatory polyps most common? Where does it typically originate? Where does it tend to move?
nasopharynx of young cats (< 2 y/o) middle ear mucoperiosteum, Eustachean tube mucosa, or external ear dermis can evert through the Eustachian tube into the nasopharynx or perforate the tympanic membrane (aural)
40
What clinical signs are associated with aural inflammatory polyps?
(depends on location) - otitis externa, otitis media - extension into oropharynx leads to nasal, otic, or ocular discharge, causing sneezing, dyspnea, stridor, voice changes, dysphagia, head tilts, Horner's syndrome, nystagmus, or ataxia
41
What are the 2 major components of the inner ear? What nerve is closely associated?
1. cochlea - organ of hearing 2. vestibular system - organ of balance vestibulocochlear nerve (CN VIII) ---> otitis interna can cause Horner's syndrome
42
What are the 3 components of the vestibular apparatus? What structures are found within?
1. utricle 2. saccule 3. semicircular ducts specialized structures containing neuroepithelial cells (sensory cells) - macula utriculi, macula sacculi, crista ampullaris
43
What are the 4 major components of the cochlea?
1. tectorial membrane - vibrated by sound wave energy 2. organ of Corti - transduce sound vibrations into neural signs (hair cells) 3. basilar membrane - vibrated by sound wave energy 4. stria vascularis - produces endolymph
44
In what animals is hereditary deafness most common? What 2 other pathologies is it associated with?
animals with white pigmentation - dogs with piebald or merle genes, blue-eyed white cats 1. hypopigmentation 2. stria vascularis dysfunction
45
What are the 2 types of vestibular disease of the internal ear?
1. CENTRAL - dysfunction of brainstem or cerebellum 2. PERIPHERAL - dysfunction of vestibular nerve (VIII) or internal ear, commonly due to otitis media or otitis interna
46
What are the most common signs of vestibular disease of the internal ear?
- head tilt - circling - ataxia - nystagmus - +/- Horner's syndrome
47
What are the components of Horner's syndrome?
- constricted pupils - elevated third eyelid - sinking of the eyeball into the body cavity - drooping of the upper eyelid