Colecistitis Flashcards

(9 cards)

1
Q

¿Qué es la colecistitis?

A

Inflamación de la pared de la vesícula por obstrucción por un cálculo en el cístico

How well did you know this?
1
Not at all
2
3
4
5
Perfectly
2
Q

La presencia de un cálculo en el cístico provoca:

A
  • Inflación mecánica por aumento de presión intramural.
  • Inflamación química por acción de lisolectina.
  • Inflamación por infección bacteriana.
How well did you know this?
1
Not at all
2
3
4
5
Perfectly
3
Q

Cuadro clínico de la colecistitis:

A
  • Dolor en hipocondrio derecho irradiado a hombro.
  • Anorexia.
  • Náusea y vómitos.
  • Fiebre.
  • Detención de respiración en inspiración y dolor a la presión en HD.
  • Ictericia (rara).
  • Leucocitosis, elevación de transaminasas.
  • Litos en ecografía.
How well did you know this?
1
Not at all
2
3
4
5
Perfectly
4
Q

Factores de riesgo para colecistitis:

A

4F´s:
* Fourty > 40 años
* Female
* Fatty
* Fértil o usando AOS

How well did you know this?
1
Not at all
2
3
4
5
Perfectly
5
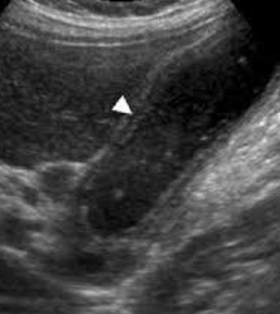
Q

Diagnóstico de la colecistitis:

A
  • Clínica
  • USG: engrosamiento de la pared de la vesícula, signo del riel
How well did you know this?
1
Not at all
2
3
4
5
Perfectly
6
Q

¿A partir de cuánto se consdiera inflamación de la pared de la vesícula?

A

> 4 mm

How well did you know this?
1
Not at all
2
3
4
5
Perfectly
7
Q

Tratamiento de la colecistitis:

A
  • Médico: analgésicos (AINES), ácido ursodesoxicolico
  • Quirúrgico
How well did you know this?
1
Not at all
2
3
4
5
Perfectly
8
Q

Indicaciones para usar ácido ursodesoxicólico:

A
  • Lito único, de colesterol, que mida menos de 3 cm → tiene menos hepatotoxicidad que el quenodesoxicolico.
  • Dar de 1 a 2 años. Se puede usar aunque haya lodo biliar
How well did you know this?
1
Not at all
2
3
4
5
Perfectly
9
Q

Tratamiento quirúrgico:

A
  • Colecistectomía laparoscópica: de elección.
  • Litotricia extracorporal: si es por litos, con ondas y deben ser de colesterol, < 3 cm y menos de 3 cálculos.
How well did you know this?
1
Not at all
2
3
4
5
Perfectly