aetiology
symptoms
diarrhoea wiht/out blood cramping pain dehydration weight loss and anaemia sepsis
investigations
AXR stool culture sigmoidoscopy/coloonscopy barium enema
ulcerative colitis/crohns coltiis treat
IV fluids and steroids GI rest
Ischaemic colitis aetiology
elderly can be caused by CVS and embolus and AF
Ischaemic colitis often due to low flow in which artery
IMA

Ischaemic colitis which bit of colon usually affected
sigmoid
Ischaemic colitis clinical features
lower left sided abdominal pain with/out bloody diarrhoea
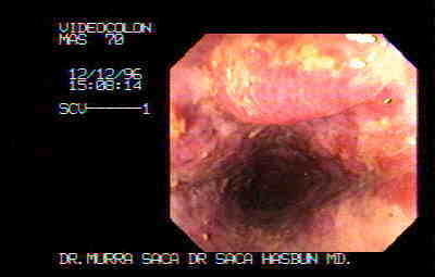
Ischaemic colitis appearance on endoscopy
segmental

Ischaemic colitis complications
massive bleeding rupture and stricture
colonic angiodysplasia typical presntaiotn
fresh PR blood in elderly
colonic angiodysplasia diagnosis
angiography colonoscopy
colonic angiodysplasia treat
embolisation, endoscopy ablation, surgical resection
collagenous colitis histology
thickened basement membrane, intraepithelial inflammatory cells No chronic architectural changes.
collagenous colitis clinical présentation
watery diarrhoea normal endoscopy
Lymphocytic colitis histology
No architectural changes in crypts, intraepithelial lymphocytes increased.
No thickening of BM, normal endoscopy
Lymphocytic colitis suspect what
coeliac disease
radiation colitis clinical features
telangiectasia
what is telangiectasia
small dilated blood vessels near the surface of the skin or mucous membranes.
radiation colitis histolgy
bizarre stroll cells and bizarre vessels
radiation colitis can be a complication of what
immunosuppression if on chemo
who is Pseudomembranous colitis seen in
patients on broad spectrum antibiotics
what does C diff produce
spores
what is C diff
gram positive anaerobic