Colon Flashcards

(22 cards)

1
Q
A

intussusception

in adults, managed operatively

How well did you know this?
1
Not at all
2
3
4
5
Perfectly
2
Q

Patient with diarrhea

A

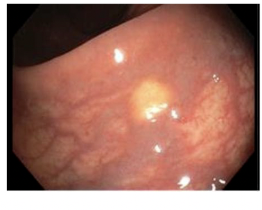
lymphocytic colitis

1st line therapy- budesonide 9mg/day for 8 weeks, then 6mg for 2 weeks, then 3mg for 2 weeks
for recurrence give 6mg taper over 6 months

How well did you know this?
1
Not at all
2
3
4
5
Perfectly
3
Q
A

Collagenous colitis

1st line therapy- budesonide 9mg/day for 8 weeks, then 6mg for 2 weeks, then 3mg for 2 weeks
for recurrence give 6mg taper over 6 months

How well did you know this?
1
Not at all
2
3
4
5
Perfectly
4
Q
A

Thumbprinting of the bowel
concerning for severe colitis
ischemic colitis, UC, c. diff, etc

How well did you know this?
1
Not at all
2
3
4
5
Perfectly
5
Q
A

Single stripe sign of ischemic colitis

How well did you know this?
1
Not at all
2
3
4
5
Perfectly
6
Q
A

Sigmoid volvulus

Coffee bean sign

How well did you know this?
1
Not at all
2
3
4
5
Perfectly
7
Q
A

volvulus

Whirl sign

How well did you know this?
1
Not at all
2
3
4
5
Perfectly
8
Q
A

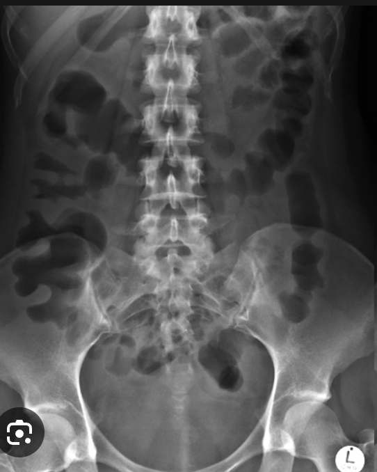
Cecal volvulus

How well did you know this?
1
Not at all
2
3
4
5
Perfectly
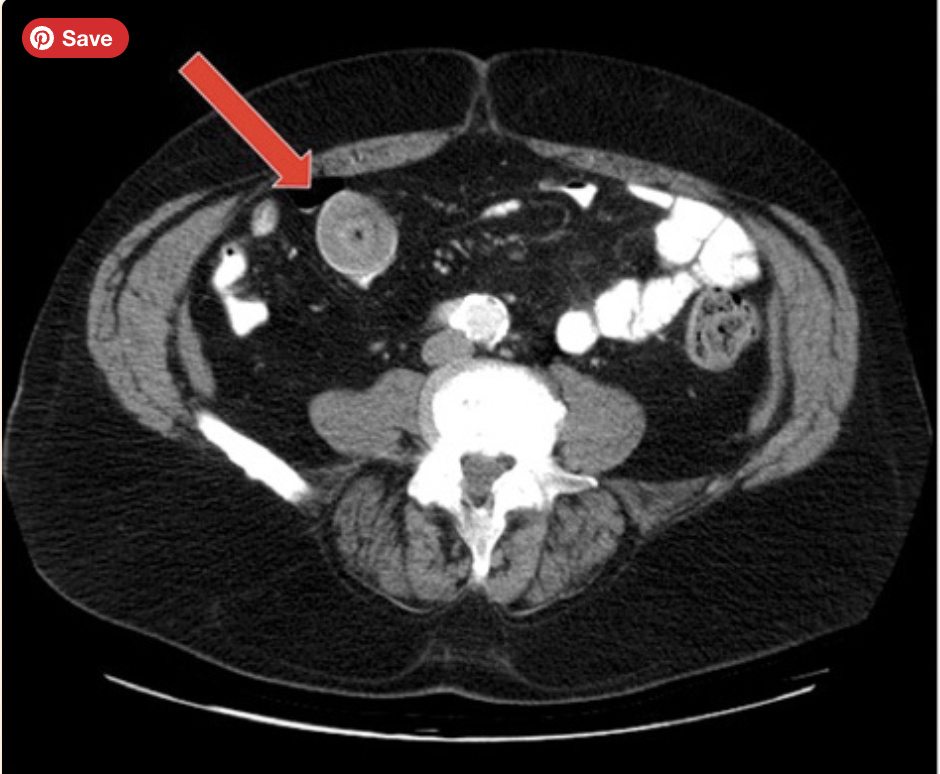
9
Q
A

cecal volvulus

How well did you know this?
1
Not at all
2
3
4
5
Perfectly
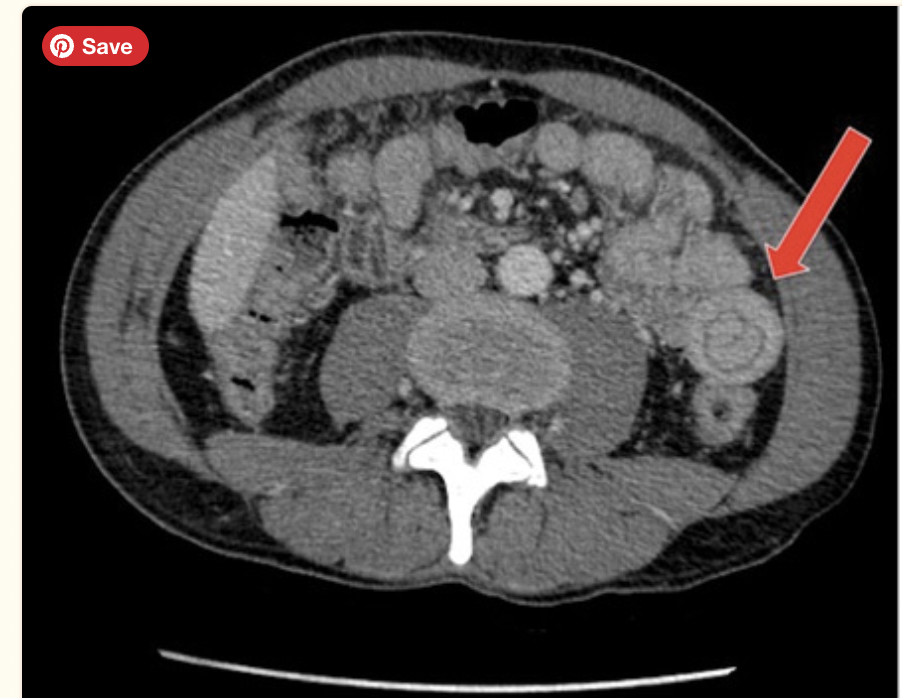
10
Q
A

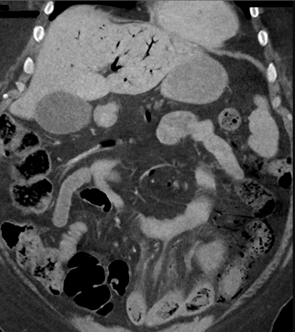
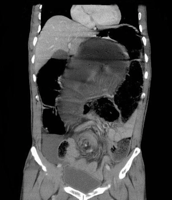
intussusception

target sign

How well did you know this?
1
Not at all
2
3
4
5
Perfectly
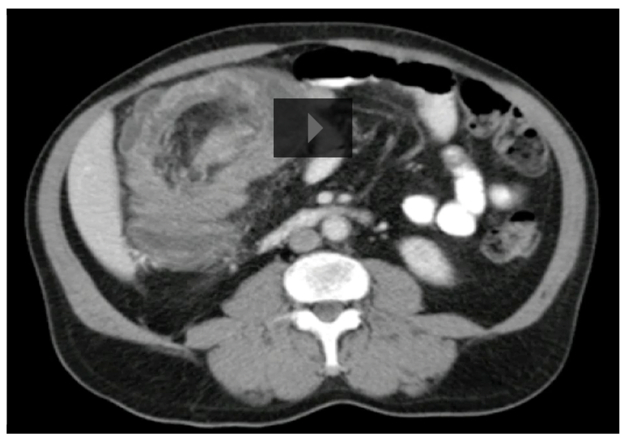
11
Q
A

intussusception

target sign or bulls eye

How well did you know this?
1
Not at all
2
3
4
5
Perfectly
12
Q

what is the anorectal inhibitory reflex?

A

when stool reaches rectum,
involuntary relaxation of internal anal sphincter

voluntary contraction of external anal sphincter to maintain continence

RAIR is absent in hirschprung’s

How well did you know this?
1
Not at all
2
3
4
5
Perfectly
13
Q

What are the mechanism of actions for and doses in CIC and IBS-C?
-linaclotide
-plecanitide
-lubiprostone
-prucalopride

A

-linaclotide - increase Cl secretion via GC-C/ CFTR (max 145microgm in CIC, 290microgm in IBS-C)

-plecanitide- CFTR pathway - 3mg daily

-lubiprostone - increase CL secretion via CCL2 pathway -24microgm in CIC vs 8microgm in IBS-c

-prucalopride - 5HT agonist 1-2mg daily in CIC, not approved for IBS-C

How well did you know this?
1
Not at all
2
3
4
5
Perfectly
14
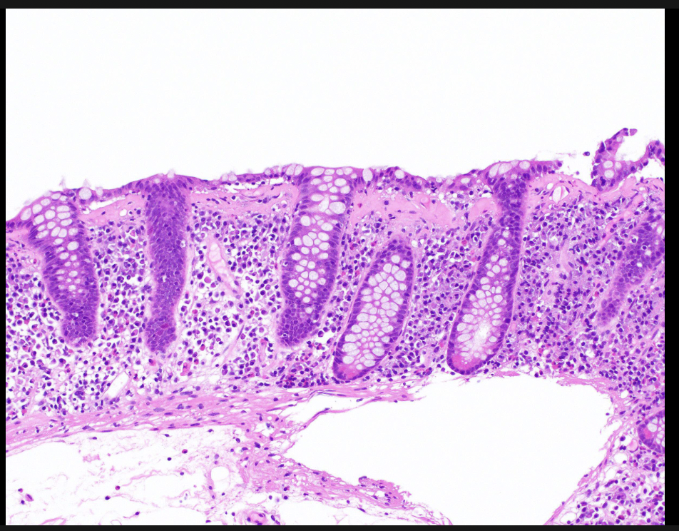
Q

Pathology seen in GVHD

A

epithelial cell apoptosis with apoptotic bodies, as well as loss of crypts and crypt necrosis

How well did you know this?
1
Not at all
2
3
4
5
Perfectly
15
Q

SMAD4
CHD1
CHEK2

A

SMAD4 - juvenile polyposis syndrome; CRC, stomach

CHD1- diffuse gastric cancer, lobular breast cancer

CHEK2- breast cancer, low risk of CRC

How well did you know this?
1
Not at all
2
3
4
5
Perfectly
16
Q

Who should be screened for pancreatic cancer and when do you start?

A

2 family members with pancreatic cancer including 1 FDR
ATM
BRCA 1 or 2
STK11 (Peutz-Jeghers syndrome) 35yo
PALB2
mismatch repair genes (Lynch syndrome) +one FDR with pancreatic cancer
CKDN2A mutation
40
hereditary pancreatitis -PRSS1*40

otherwise age 50 or 10 years before youngest relative was diagnosed.

17
Q

What is necessary to diagnosed dyssynergistic defecation?

A

2 of 3
ARM
balloon expulsion test
imaging (like defacography)

18
Q

Severe abdominal pain in patient with CKD, HTN, DM

A

Acute mesenteric ischemia
LLQ fat stranding
portal venous gas

19
Q

Seen in the rectum

A

rectal NET
if <1cm remove with polypectomy

20
Q

antibiotic-associated hemorrhagic colitis ; not c. diff

A

Klebsiella oxytocain
will not respond to PO vanc
treat by removing the antibiotic

21
Q

how do you test for c. diff?

A

sensitive test (GHD, NAAT) –> followed by specific test (ELISA)

22
Q

treatment of thrombosed external hemorrhoid?

A

<72hour- incision and drainage
>72hours conservative measures