IBD Flashcards

(30 cards)

1
Q

Medical Treatment for UC and Crohn’s

A
How well did you know this?
1
Not at all
2
3
4
5
Perfectly
2
Q

How do you approach TDM in anti-TNF therapy?

A
How well did you know this?
1
Not at all
2
3
4
5
Perfectly
3
Q

Considerations for using small molecules in UC.
Tofacitinib
Upadacitinib
Ozanimod

A
How well did you know this?
1
Not at all
2
3
4
5
Perfectly
4
Q
A
How well did you know this?
1
Not at all
2
3
4
5
Perfectly
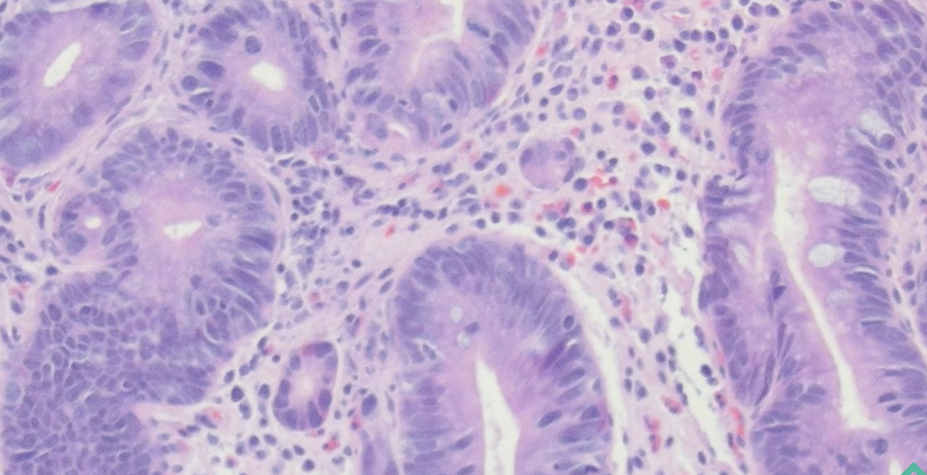
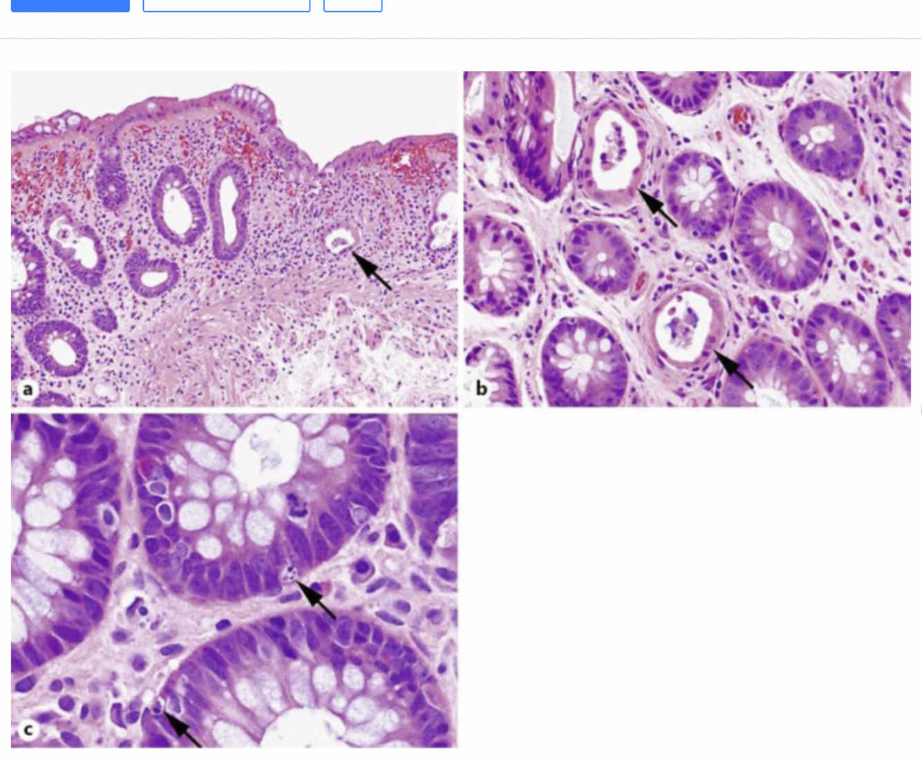
5
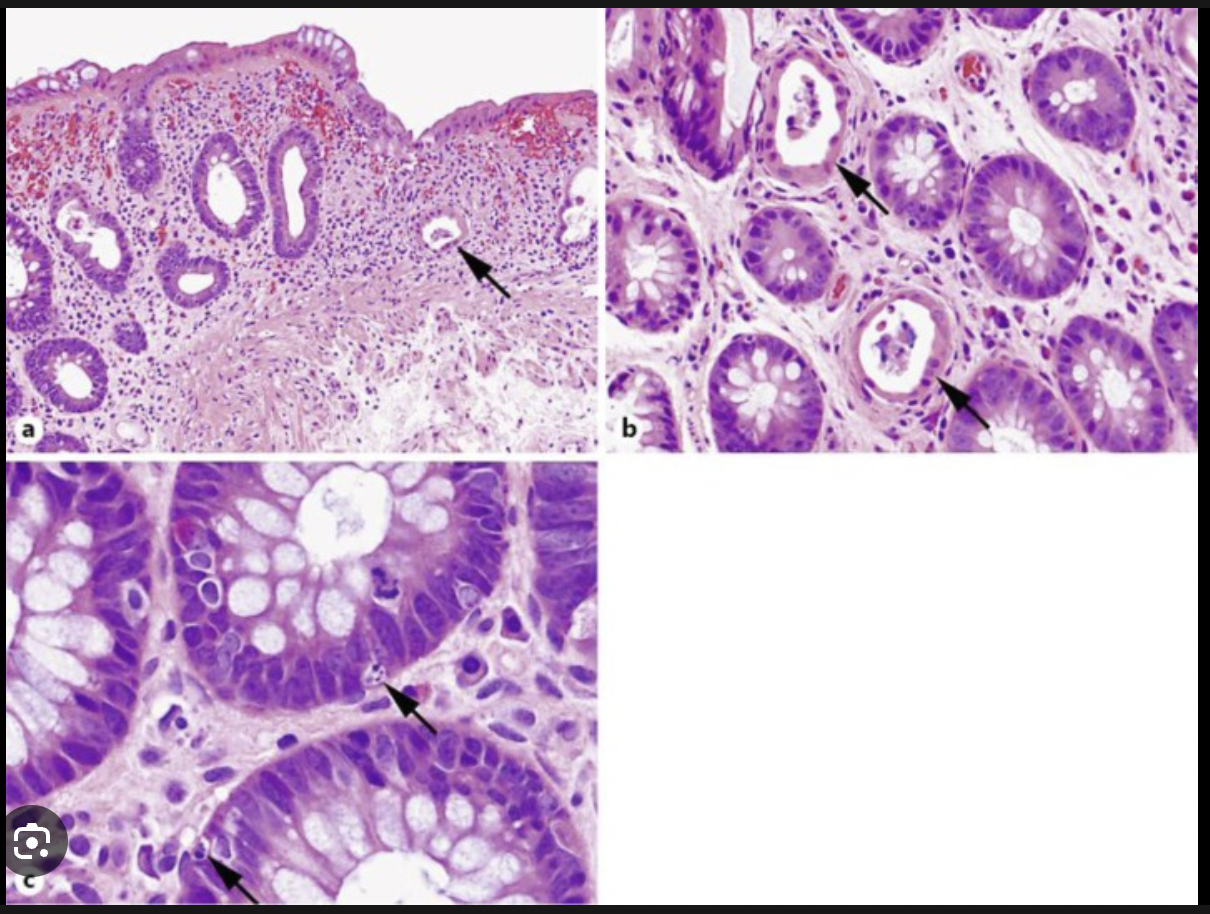
Q

Colon biopsy

A

low grade dysplasia

How well did you know this?
1
Not at all
2
3
4
5
Perfectly
6
Q
A

Chronic colitis
altered crypt architecture (branching crypts)
microabcesses

How well did you know this?
1
Not at all
2
3
4
5
Perfectly
7
Q

Mayo score?

A
How well did you know this?
1
Not at all
2
3
4
5
Perfectly
8
Q

Mayo score?

A
How well did you know this?
1
Not at all
2
3
4
5
Perfectly
9
Q

Mayo score?

A
How well did you know this?
1
Not at all
2
3
4
5
Perfectly
10
Q

Definition of mild, mod, severe UC.

A
How well did you know this?
1
Not at all
2
3
4
5
Perfectly
11
Q

Describe the AZA, 6MP enzyme pathway.

A

6MMP- leads to hepatotoxicity
6 TGN leads to bone marrow toxicity.

If high 6MMP, normal 6TGN, then given allopurinol to stop the shunting

high levels of both= toxicity
low levels of both= non-compliance

How well did you know this?
1
Not at all
2
3
4
5
Perfectly
12
Q
A

Sacrolititis

How well did you know this?
1
Not at all
2
3
4
5
Perfectly
13
Q
A

Ankylosing spondylitis

How well did you know this?
1
Not at all
2
3
4
5
Perfectly
14
Q
A

normal spine

How well did you know this?
1
Not at all
2
3
4
5
Perfectly
15
Q
A

normal SI joint

How well did you know this?
1
Not at all
2
3
4
5
Perfectly
16
Q
A

Sweet syndrome
Acute febrile neutrophilic dermatosis
skin nodules, fever, vision changes, and desquamating rash
treat underlying IBD w/ steroids

17
Q

Rutgeert’s score?

18
Q

How do you managed post-op therapy for CD who undergoes ileocolonic resection?

A

if <5 apthous ulcers in neoTI or ulcers confined to the anastomosis then ok to defer treatment

19
Q

Which EIM track with IBD luminal disease activity?

A

type 1 peripheral arthropathy (<5 joints, large joints)
Erythema nodosum
+/- Pyoderma Gangrenosa
episcleritis
scleritis

20
Q

peristomal PG

A

+/- tracks with luminal disease
treatment with (in escalating order)- topical steroid, oral steroids, anti-TNF, surgery

pathology with neutrophils

21
Q

Crohn’s like disease of the pouch

A

pre-ileal stricture, pre-pouch ileitis

22
Q

UC s/p colectomy and IPAA

A

Cuffitis
RF- >2cm cuff remaining, refractory disease
treat with mesalamine suppositories
then anti-TNF

23
Q

acute pouchitis - definition and treatment
chronic antibiotic refractory pouchitis - definition and treatment and RF

A

acute pouchitis- ciprofloxacin 500 mg every 12 hours for 2 weeks
no response–> give cipro +flagyl

chronic antibiotic refractory pouchitis- abx >4 weeks with no response; treat with hydrocortisone or mesalamine enemas and if fails then biologic
RF- PSC or IgG4 disease (would then favor budesonide)

24
Q

who qualifies for maintenance therapy for pouchitis?

A

respond to therapy but relapse >3 times per year
treat with VSL #3 or rifampin, low dose cipro

25
which biologics can treat IBD and central arthropathy like sacroilitis?
anti-TNF and JAK inhibitors
26
how do you manage invisible dysplasia
repeat colonoscopy by expert with spray chromo if no visible lesion, then extensive nontargeted biopsies in area of prior dysplasia if unresectable visible dysplasia or multifocal dysplasia or HGD --> colectomy if no dysplasia then repeat at surveillance intervals
27
when do you get dexa for steroid exposure
>3 months cumulative exposure
28
how should you manage medications around surgery?
no change to medication, specifically AZA, MTX, 6-MP or anti-TNF increased risk of post-operative infection with pred
29
ARM what is the diagnosis?
There is an adequate rise in rectal pressure and corresponding relaxation of the external anal sphincter (diagonal line with red end markers) on the anorectal manometry image. Chronic straining can cause rectal mucosal intussusception seen in the anorectal manometry with rectal mucosa descending into the anal sphincter complex.
30
how can you reduce calcium oxalate stones in IBD?
reduced dietary oxalate, increased calcium, and lower fat