Development of connective tissue
Develops from embryonic mesenchyme, which is formed from mesoderm or neural crest
Mesenchymal cells: oval nucelus, prominent nucleoli, little cytoplasm, can fx as stem cells in adut tissue
Identify

Fibroblasts: active, abundant RER
Main fx: structural
Main products: fibers (collagen, reticuar, elastic), GAGs, glycoproteins
Plays a critical role in wound healing
Identify

Fibrocytes: inactive mesenchymal cell
Minimal cytoplasm, limited RER (doesn’t seem to be involved with protein synthesis)
Reticular Cells
Fibroblast-like cells that produce reticular fibers in hematopoietic, lymphoid and adipose tissue
Stellate-shaped, oval euchromatic nucleus, prominent nucleolus

Identify

Adipocytes: white, single lipid droplet that pushes cytoplasm and nucleus to periphery
Lipid lost during H&E staining
Main product: fat, heat
Main fx: storage, heat
Immigrant Connective Tissue Cells
Macrophages
Mast Cells
Plasma Cells
Other blood-derived cells (i.e. leukocytes)
Resident (Fixed) Connective Tissue Cells
Mesenchymal cells
Fibroblasts
Fibrocytes
Reticular Cells
Adipocytes
Identify

Macrophage: monocytes travel in blood, migrate into CT and become macrophages
Main fx: phagocytosis/defense
Fixed macrophage = histiocyte
Smaller than fibroblasts
Heterochromatic, kidney-shaped nucleus
Cytoplasm filled with vacuoles and granules
*Use tryphan blue to see*
Identify

Mast cells: largest of CT cells (20-30 microns in diameter)
Main fx: defense; Main product: histamine and heparin
Cytoplasm filled with membrane-bounded basophilic (purple) granules that contain heparin, histamine, chondroitin sulfate, and ECF-4
Involved in allergic rxn
Frequently found around blood vessels
Identify

Plasma cells: large egg-shaped cells, eccentric nucleus (not centered) that has a “clock face,” clear zone near nucleus contains Golgi and centriole
Differentiate from B lymphocytes
Main product: antibodies
Main fx: immunologic
Ground substance
Viscous mixture that binds cells to CT fibers
Contains: GAGs, proteoglycans, multiadhesive glycoproteins (i.e. laminin, fibronectin)
Fx: structural and physiological, hormones and growth factors have reservoirs in ground substance
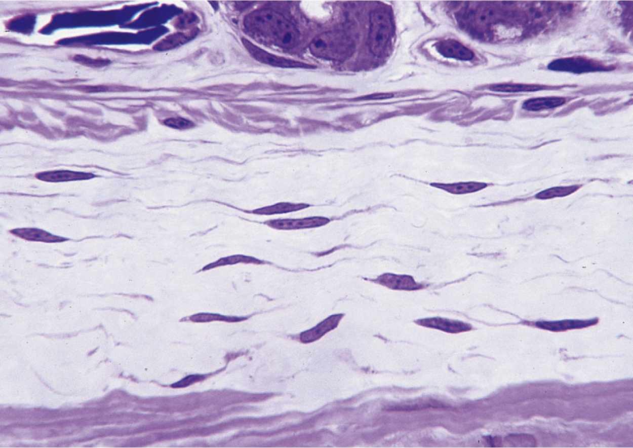
Identify

Pink squiggles are collagen, white arrow heads points at fibroblast nucleus
Collagen fibers: >50nm diameter fibrils make 1 to 20 micron diameter fibers
Stains pink in H&E
Types of Collagen
I - fibril-forming, most widespread, fx is to resist tension
II - fibril-forming, cartilage, fx is to resist pressure
III - fibril-forming, reticular fibers, fx is to form flexible meshwork
IV - forms sheet-like networks, found in basal lamina
VII - anchoring, anchors BM to collagen fibers
XII - fibril-associated, binds type II

Collagen Diseases
Osteogenesis imperfecta: single nucleotide change in type I gene produces aortic rupture, fractures
Scurvy: caused by vitamin C deficiency, impaired wound healing
Ehlers-Danlos Type IV: Type III collagen is faulty, aortic and intestinal rupture
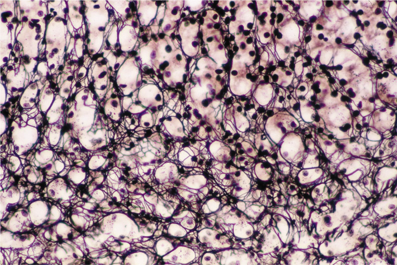
Identify

Reticular fibers stained with silver
<50 nm diameter fibrils make 0.5 to 2 micron diameter fibers
Stains pink with H&E, but not distingushable from other collagen fibers without silver stain
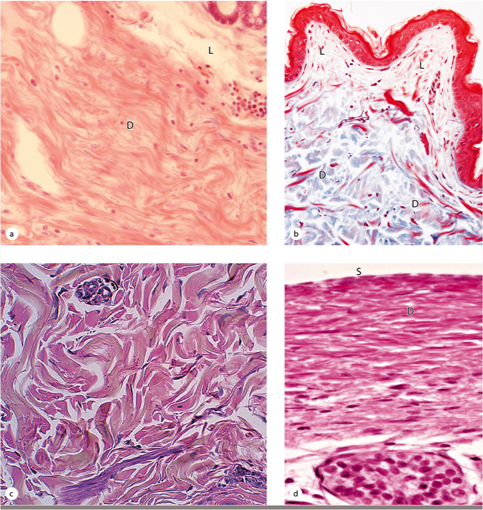
Identify

Elastic fibers stained in the dermis
Elastin and fibrillin make 0.1 to 10 micron diameter fibers
*Marfan’s syndrome - mutant fibrillin
Stains pink in H&E, but not distinguishable from other collagen fibers without Resourcin-fuchsin or Picro-Orecin stain
Loose (areolar) CT
More cellular than dense CT, lots of resident cells
Found in: lamina propria, mesentery, papillary layer of dermis
Fx: positioned between tissue and allows movement

Dense Irregular CT
In the reticular layer of the dermis
More fibers than cells, fibers are interwoven (fabric-like)
Also found in: organ capsules and periosteum

Dense Regular CT
Rope-like arrangerment of fiber bundles
Found in tendons, ligaments, and cornea
Image: tendon

Identify

Adipose tissue
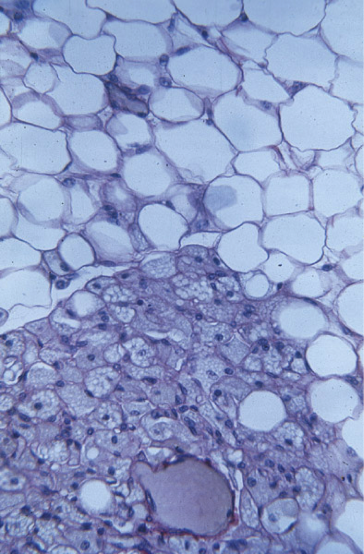
Identify

White fat (top white)
Brown fat (bottom, purple)
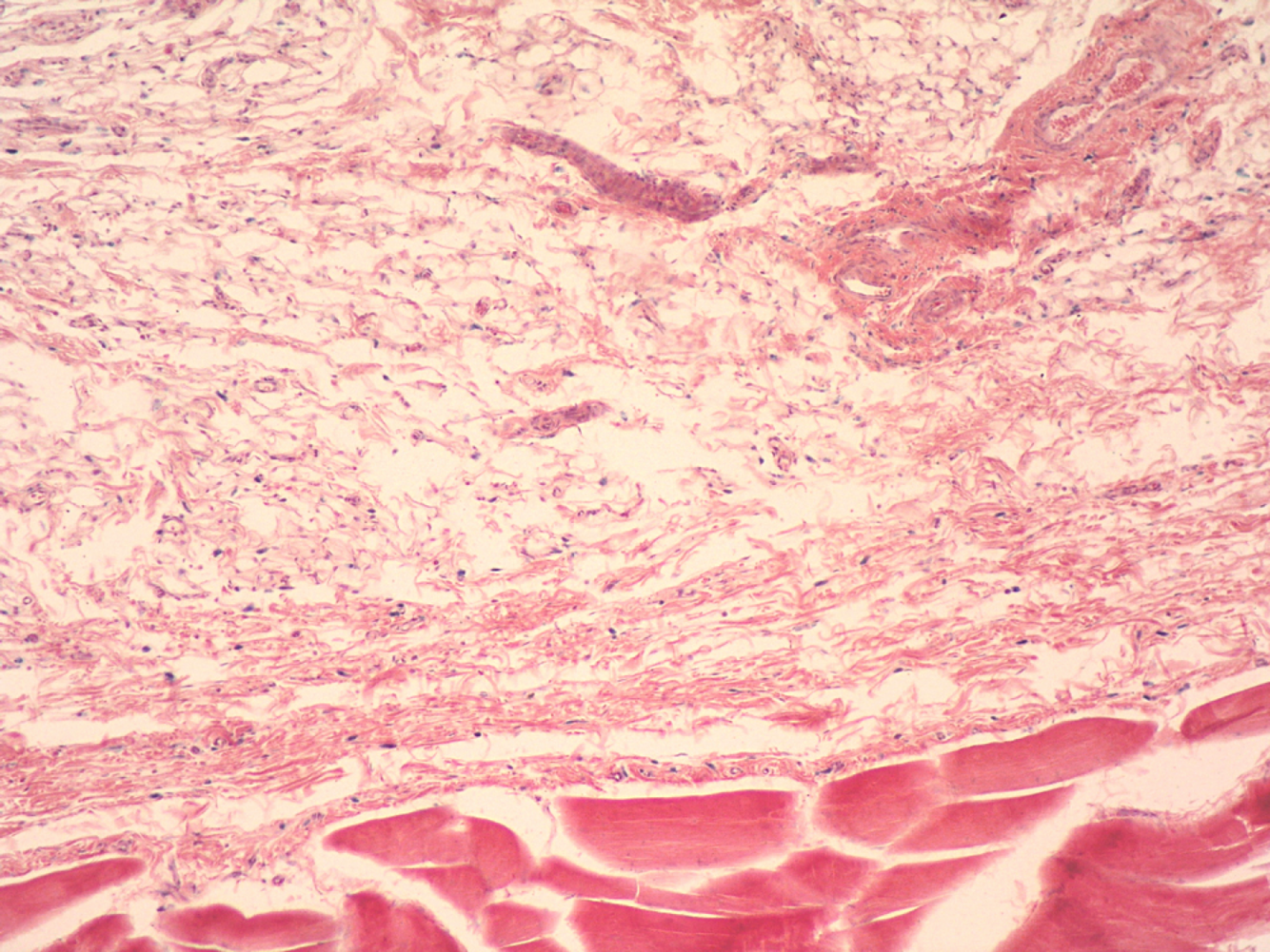
Identify

Loose connective tissue. Pink collagen fibers and many nuclei. Empty space filled by ground substance
Skeletal muscle (dark pink)
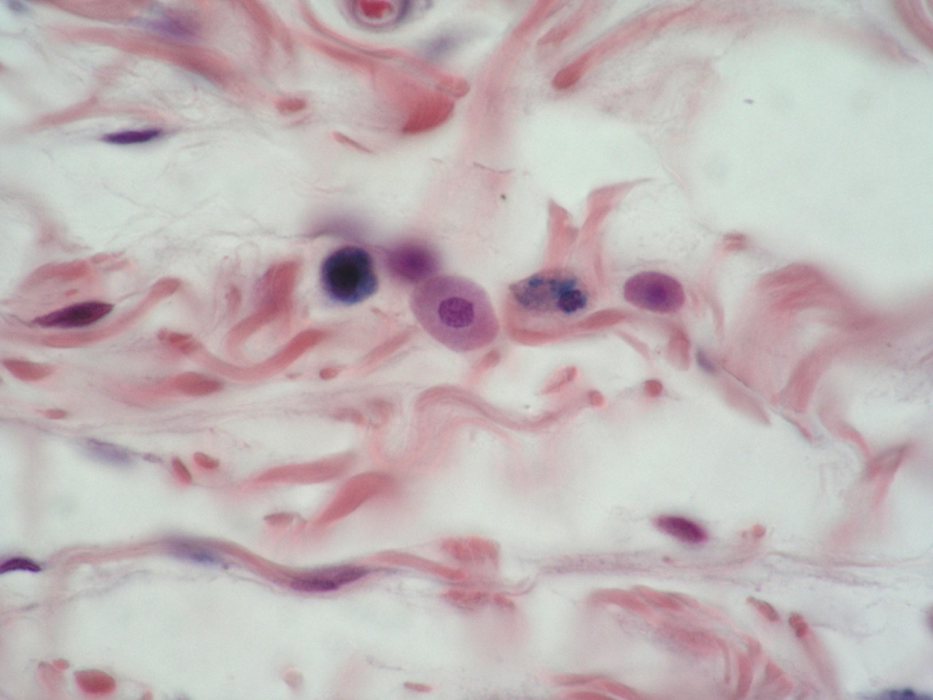
Identify

Collagen fibers
Ground substance
Mast cell in center of picture
Identify

Macrophage in center. Stained with trypan blue (taken up by cytoplasm)
Collagen fibers stained pink-orange