Identify

Node of Ranvier: between two Schwann cells. Covered by interdigitating cytoplasmic processes
Identify

1 myelinated axon in longitudinal section showing 5 Schmidt-Lanterman clefts and the Axon
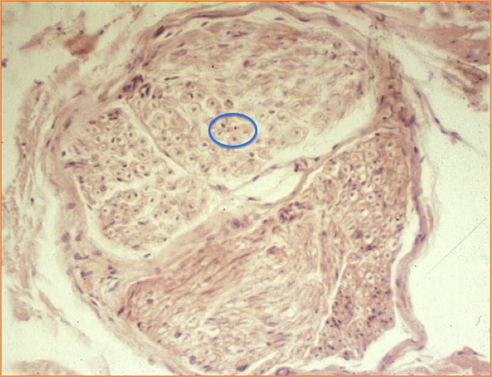
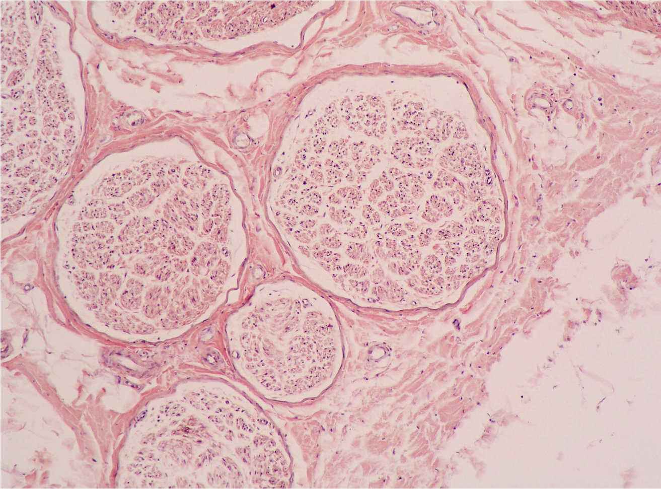
Identify

4 myelinated axons in cross section
Epineurium

Perineurium

Endoneurium
Delicate layer of reticular fibers produced by Schwann cells
Surround axons (wrapped in Schwann cells)

Identify

Identify

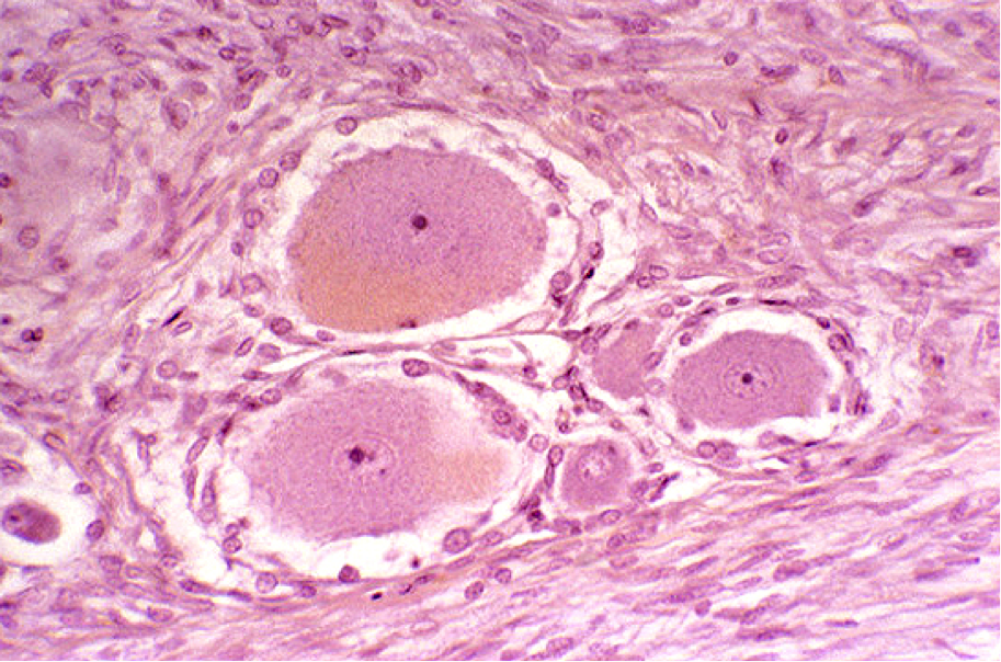
Sensory Ganglia
Identify

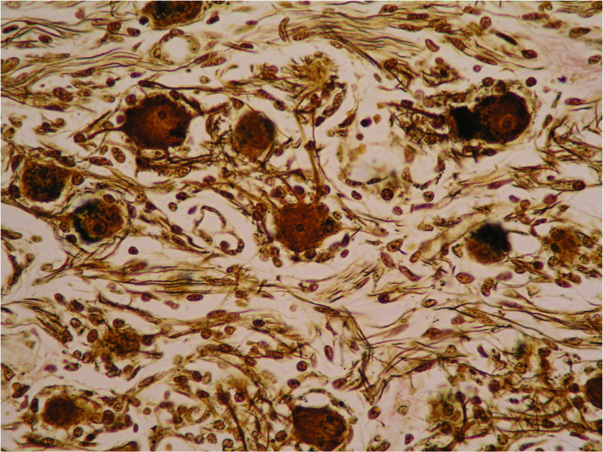
Autonomic ganglion
Identify

Meissner’s corpuscles: encasulated endings found in dermal papillae of hairless skin
Identify

Pacinian Corpuscles: Large (1 mm) encapsulated ending in dermis/hypodermis of skin from flattened layers of concentric Schwann cells
-Mechanoreceptors: respond to pressure and vibration (capsule lamellae displaced)
Identify

Muscle spindle: encapsulated receptors in skeletal muscle
Identify

Auerbach’s Plexus: parasympathetic ganglion between outer longitudinal and inner circular layers of smooth muscle in intestines
Identify
