General characteristics of smooth muscle
Identify

Smooth muscle
AP: Auerbach’s Plexus L: Longitudinal C: Cross section
Cell boundaries are hard to distinguish in H&E
Single, spindle-shaped, euchromatic nucleus in middle of cell
Cytoplasm: homogenous, eosinophilic
Surrounded by cell membrane
Arranged in bundles/sheets
General characteristics of skeletal muscle
CT coverings of muscle
Epimysium (dense irregular CT): surrounds entire muscle
Perimysium (loose CT): divides muscles into fascicles
Endomysium (reticular fibers): surrounds individual muscle fibers
Integrates action of contractile units
Supports blood vessels and nerves

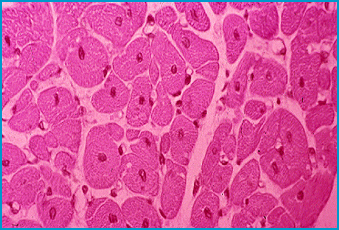
Identify

Sarcomeres –> Myofibrils –> Muscle cells (fibers) –> fascicles
Muscles have many muscle fascicles, which have many muscle fibers (cells), which are composed of myofibrils
Red muscle fibers
Type I, Type S (slow twitch)
White muscle fibers
Type IIB, Type FF (fast, fatigue)
Intermediate muscle fibers
Type IIA, Type FR (fast, fatigue-resistant)
Most of the body’s muscles are composed of these fibers
Time frame of skeletal muscle regeneration
Other cells involved in regeneration: muscle derived stem cells, bone marrow stem cells with myogenic potential, blood vessel-assoicated progenitors
Activation: 2h
Proliferation: 2d
Restoration: 2w
General characteristics of cardiac muscle
Satellite cell characteristics
Lie between basal lamina and sarcolemma of skeletal muscle
Present in low frequency in adult muscle
Population not static: Increase in number during injury or after exercise, decrease with age
Identify the type of muscle

Skeletal muscle
Myofibrils are subunits of skeletal muscle cells
Banding pattern in myofibrils
A bands (dark): thick filaments
I bands (light): thin filaments
Z line (disc): cross linking of thin myofilaments. Sarcomere is Z line to Z line
H zone: portion of A band where thin and thick do not overlap
M line: runs through center of sarcomere (center of H band). Titin extends from M line to Z disc, provides elasticity

Organization of muscle
Muscles (epimysium) –> muscle fascicles (perimysium) –> muscle fibers (cells) (endomysium) –> myofibrils (sarcoplasmic reticulum) –> sarcomeres

Titin
Giant muscle protein
Acts as a passive elastic elements in the I band
Extends from M line to Z lines
Maintains the organization of the myofilaments in the sarcomere
Differences between cardiac and skeletal muscle
Cardiac muscle has:
Intercalated discs
Connect individual heart muscle cells (cardiomyocytes), support synchronized contractions. (mechanical attachment, electrical transmission)
Occur at Z lines, can be viewed on longitudinal sections
Presence of gap and adhering junctions

(Potential) Regenerative capacity of cardiac muscle
Identify

Cardiac muscle in longitudinal section
Cross striations not as distinct as in skeletal muscle
Atrial Natriuetic Factor (ANF)
Hormone, powerful vasodilator
Produced in atria
Granules in cardiac muscle cells that are released in repsonse to muscle wall stretch
Important for homestasis:
Identify

Cardiac muscle in cross section
Notice centrally located nuclei
Visible intercellular boundaries
Similarities between cardiac and Purkinje muscle fibers
Differences between cardiac and Purkinje muscle fibers
Identify

Purkinje fibers (right ventricle) with endocardium and lumen
Modified for conduction - distribute electrical stimulus to myocardium
Found in interventricular septum of heart