Constipación Flashcards

(36 cards)

1
Q

Definición de Constipación o Estreñimento

A

Eliminación de heces excesivamente secas, de poca cantidad, y con disminución de la frecuencia (menor de una deposición cada dos días o de tres deposiciones por semana).

La defecación es muy dificultosa, a veces dolorosa y requieren un gran esfuerzo para lograrla.

Muchas veces quedan con la sensación de que la evacuación ha sido incompleta.

A veces, recurren a maniobras manuales para la extracción de la materia fecal.

How well did you know this?
1
Not at all
2
3
4
5
Perfectly
2
Q

Criterios de Roma para Constipación

A

12 semanas o más en el último año con 2 o más de los siguientes criterios:
* Esfuerzo defecatorio
* Heces duras o en bolas
* Sensacion de evacuacion incompleta
* Sensacion de obstruccion o bloqueo anorrectal
* Maniobras manuales para defecar
* Menos de 3 deposiciones por semasna

How well did you know this?
1
Not at all
2
3
4
5
Perfectly
3
Q

Causas de Constipación (12 grupos)

A
  1. Farmacos
  2. Neutopatías (DBT, lesiones medulares, neuropatías autonomicas primarias)
  3. Ileo funcional
  4. Ileo mecanico (neoplasias intracolon, fecalomas, ascaris)
  5. EII
  6. SII
  7. Alteraciones electrolíticas (hipocalemia o hipocalcemia)
  8. Alteraciones endocrinologicas (hipotiro, hipoPTH, panhipopituitarismo)
  9. Enfermedades reumatologicas (ESP, NEM 2B)
  10. Embarazo
  11. Psicologicas
  12. Congenitas (Hirshsprung, malformaciones)
How well did you know this?
1
Not at all
2
3
4
5
Perfectly
4
Q

Tipos de Constipación

Según el tiempo

A

Aguda: debido a cambios bruscos alimentarios, enfermedades febriles, reposo en cama, uso de farmacos, intervenciones quirurgicas.

Cronicas: recto ocupado constantemente y heces retenias endurecen por reabsorcion de agua (fecaloma). Las paredes pierden capacidad de contraerse y se produce dolor, obstruccion y distension abdominal. Tiende a ser recurrente por la perdida de contraccion del segmiento.

How well did you know this?
1
Not at all
2
3
4
5
Perfectly
5
Q

Clínica (6)

A
  1. Alteración en el ritmo normal de las defecaciones y emisión de heces secas y duras.
  2. Proctorragia, esfuerzo defecatorio
  3. Malestar y distensión abdominal
  4. Dolor tipo cólico de poca intensidad
  5. Pérdida del apetito
  6. Cansancio, insomnio, inestabilidad emocional y calambres (en constipación de larga data)
How well did you know this?
1
Not at all
2
3
4
5
Perfectly
6
Q

Interrogatorio (10)

A
  1. Edad de comienzo
  2. Patrón de evolucion (intermitente o constante)
  3. Modificaciones bruscas en dieta o habitos
  4. Farmacos
  5. Síntomas acompañantes
  6. Dolor
  7. Enfermedades intestinales
  8. Historico familiar
  9. Factores psicologicos
  10. Deseo defecatorio
How well did you know this?
1
Not at all
2
3
4
5
Perfectly
7
Q

EF

A
  1. Inspecion (cicatrices quirurgicas, globoso, distension)
  2. Auscultacion de RHA (lucha o silencio)
  3. Percusion (matidez o timpanismo)
  4. Palpacion (cuerda colonica izquierda, masas, dolor a palpacion)
How well did you know this?
1
Not at all
2
3
4
5
Perfectly
8
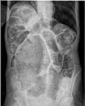
Q

Rx Colon por Enema

A

Se utiliza doble contraste (bario + aire):
* Útil para investigar neoplasias, estenosis inflamatorias, divertículos y determinar el tamaño colónico.
* Se debe realizar en todos los pacientes constipados, salvo en los casos que el estreñimiento es pasajero.
* Enfermedad de Hirschsprung: La porción enferma (aganglionar) aparece como un segmento estrecho y por encima un colon muy dilatado o megacolon.

How well did you know this?
1
Not at all
2
3
4
5
Perfectly
9
Q

Seriada Esofago-Gastro-Duodenal y Trasito de ID

A

Están indicados cuando se sospecha seudoobstrucción intestinal o compromiso digestivo de afecciones tales como esclerodermia o enfermedad de Chagas.

Se usa contraste + Rx cada cierto periodo de tiempo para evaluar el transito intestinal y motilidad.

How well did you know this?
1
Not at all
2
3
4
5
Perfectly
10
Q

Colonoscopía y Biopsia

A

Colonoscopía: puede ver todo el marco colonico. Indicada a todo paciente con cambio de ritmo evacuatorio cuando se sospecha enfermedad maligna o EII.

Biopsia: puede confirmar el diagnóstico de diversas patologías responsables de la constipación (neoplasias, EII o isquémicas, patología por radiación).

En la Enfermedad de Hirschsprung la biopsia rectal demostrará la ausencia de neuronas en donde deberían ubicarse los plexos de Auerbach y Meissner.

How well did you know this?
1
Not at all
2
3
4
5
Perfectly
11
Q

Otros estudios menos utilizados

A

Manometría anorrectal: de especial importancia en los pacientes con enfermedad de Hirschsprung que presentan presiones aumentadas en el segmento aganglionas, y patologías cuya alteración pueda ser corregida quirúrgicamente.

Estudio electrofisiológico de esfincter: Para evaluar la actividad esfinteriana después de la injuria. Se ha demostrado la falla en la relajación del músculo puborrectal, ocasionando una alteración en la etapa de salida.

How well did you know this?
1
Not at all
2
3
4
5
Perfectly
12
Q

Lab (6)

A
  1. Anemia
  2. Alteraciones electrolíticas
  3. T4, TSH, PTH
  4. Reumatograma
  5. Ac Chagas
  6. Coproparasitologico
How well did you know this?
1
Not at all
2
3
4
5
Perfectly
13
Q

Complicaciones de la Constipacion (3)

A
  1. Fecaloma
  2. Síncope vasovagal
  3. Hemorroides
How well did you know this?
1
Not at all
2
3
4
5
Perfectly
14
Q

Fecaloma

A

Masa fecal de tamaño considerable y consistencia aumentada, duro pétrea, ubicada por lo general en el recto o porciones distales del colon.

Clínica:
* Cuadro de obstrucción intestinal (puede producir íleo)
* Tenesmo rectal
* Dolor
* Exacerbación de la patología hemorroidal
* También seudodiarrea (materia fecal líquida que escurre por los costados del fecaloma)

Dx: clinico-radiologico

Rx simple de abdomen: se aprecia una imagen de ocupación del colon izquierdo “en miga de pan”.

How well did you know this?
1
Not at all
2
3
4
5
Perfectly
15
Q

Medidas no farmacológicas

A
  1. Dieta rica en fibras
  2. Aumentar ingesta de agua
  3. Actividad fisica
  4. Crear rutina para ir al baño
  5. Evitar demasiado tiempo en inhodoro (celular, periodicos, etc)
How well did you know this?
1
Not at all
2
3
4
5
Perfectly
16
Q

Farmacos en Constipacion (3 grupos)

A
  1. Regularizantes intestinales
  2. Laxantes
  3. Enemas
17
Q

Regularizantes Intestinales (3)

A

Drogas que con uso continuo regularizan caracteristicas y frecuencia de defecacion:
* Psyllium
* Metilcelulosa y Carboxicelulosa
* Policarboxilo

18
Q

Psyllium

A
  • Regularizante intestinal en forma de mucílago hidrofilico que forma masa gelatinosa en contacto con agua.
  • Eficaces para reducir dolor y distencion abdominal
  • Metamucil Psyllium granulado
  • Konsyl Psyllium polvo (cucharras de te)

EA:
* Contiene una cantidad significativa de sodio y no deben ser usados cuando la retención de sodio y agua puede causar problemas mayores.
* Puede unirse a los cumarínicos, afectando a la anticoagulación.
* Pueden producir impactación y obstrucción intestinal en pacientes con estenosis intestinales preexistentes.

Un efecto beneficioso adicional del Psylium es de unirse a los ácidos biliares y reducir su reabsorción intestinal, de esta manera disminuyen los niveles plasmáticos de colesterol.

19
Q

Metilcelulosa y Carboxicelulosa

A

Son hidrofílicas y al entrar en contacto con agua aumentan la masa intracolónica.

EA:
* Contiene una cantidad significativa de sodio y no deben ser usados cuando la retención de sodio y agua puede causar problemas mayores.
* Puede unirse y reducir la absorción intestinal de muchas drogas como los digitálicos, los salicilatos, y la nitrofurantoína.
* Pueden producir impactación y obstrucción intestinal en pacientes con estenosis intestinales preexistentes.

20
Q

Compuestos de Policarboxilo

A

Son resinas hidrofílicas poliacrílicas con la capacidad de absorber 60 a 100 veces su peso en agua, aumenta la masa intracolónica ablandando las heces.

La dosis es de 1 g de 1 a 4 veces por día, cada toma con 250 ml de agua.

EA:
* Libera calcio en la luz intestinal, por ello no debe ser usado en pacientes que deban restringir la ingesta de calcio o que están tomando tetraciclinas.
* Pueden producir impactación y obstrucción intestinal en pacientes con estenosis intestinales preexistentes.

21
Q

Laxantes

A

Son farmacos que promueven la defecacion y se dividen segun su potencia y mecanismo de accion.

Laxantes suaves:
* Surfactantes de efecto retardado
* Osmoticos no salinos
* Aceites minerales (vaselina)
* Estimulantes de motilidad

Laxantes de accion muy rapida (1-3 horas):
* Osmoticos salinos
* Aceite de ricino

Nuevos Laxantes:
* Lubiprostona
* Metilnaltrexona
* Alvimopan
* Linaclotide

22
Q

Laxantes Suaves

Surfactantes de Efecto Retardado

A

Son surfactantes de efecto anionico que producen aumento de contenido de agua y lipidos en materia fecal, alterando la permeabilidad intestinal.

Docusato sodico, calcico o potasico 50-500mg/día
* Latencia de 1-3 días para efecto
* Sabor amargo

Picosulfato de sodio
* Dulcolax Perlas 2,5
* Rapilax 75mg
* Agarol gelcaps

Acido dehidrocolico:
* Surfactante a dosis 750mg a 1500mg/día em 3 tomas

23
Q

Laxantes Suaves

Osmóticos No Salinos

A

Son carbohidratos no absorbibles con capacidad osmótica, resistentes a la digestión. Los que más se utilizan son: la lactulosa, la glicerina, el sorbitol y el manitol.

Lactulosa (Lactulon jarabe):
* 20-30g/día en 4 tomas hasta alcanzar 3-4 deposiciones blandas pr día, sin producir diarrea.
* Efecto de atrapamiento ionico de amonio: disminuye produccion y absorcion de amonio intestinal producido por bacterias (utilidad en evitar encefalopatía hepatica)
* Favorece proliferacion de lactobacilos en flora intestinal
* EA: flatulencia, dolor colico, malestar abdominal, intolerancia a lactosa

Glicerina supositorios:
* Efecto osmotico que ablanda y lubrica el pasaje de heces por recto.
* Efecto en 30 minutos

Sorbitol y Manitol:
* Efecto osmotico por VO o enema
* Sorbitol se combina con resinas de intercambio ionico (Kayexalate) para tto agudo de hiperkalemia.

24
Q

Laxantes Suaves

Aceites Minerales (Vaselina)

A

Aceites derivados del petróleo, que penetran en la materia fecal y la ablandan, interfiriendo con la absorción intestinal de agua.

EA:
* Su uso crónico provoca reacciones de cuerpo extraño en la mucosa intestinal e irritación del esfínter anal.
* Pueden producir malabsorción de vitaminas solubles en grasas y de drogas.

25
# Laxantes Suaves Estimulantes de la Motilidad | Mecanismo de accion y Tipos
Provocan la evacuación de material fecal blanda o semilíquida entre las 6 a las 8 horas luego de su ingestión. **Mecanismo de accion**: * Reducen la absorción de agua y electrolitos a nivel intestinal. * Aumentan la permeabilidad de la mucosa intestinal afectando a las uniones estrechas de los enterocitos. * Inhiben a la ATPasa Na+/K+ intestinal * Aumentan la síntesis de prostaglandinas y de AMPc en la pared intestinal con mayor secreción de agua y electrolitos. **Tipos**: * Derivados de Difenilmetano * Derivados de Antraquinona
26
# Laxantes Suaves - Estimulantes de la Motilidad Derivados del Difenilmetano
**Fenolftaleína y Bisacodilo**: * Modaton ® bisacodilo comp 5 mg * Dulcolax Bisacodilo * Genolaxante ® fenolftaleína 90 mg + simeticona 10 mg + aloe 24 mg comp. Dosis usual en adultos es de 10 a 15 mg. La fenolftaleína es absorbida en un 15%, y eliminada por el riñón, tiñendo a la orina de color rosa o rojo, sobre todo si la orina es alcalina. **EA**: * Deshidratación por diarrea por excesivo efecto * Coloración rosada de la orina y la materia fecal * Pueden iniciar respuestas inflamatorias en el colon al dañar a los enterocitos * Osteomalacia y enteropatía perdedora de proteínas con su uso crónico.
27
# Laxantes Suaves - Estimulantes de la Motilidad Derivados del Antraquinonas
**Cascara sagrada** ® comp 20 mg **Cirulaxia** ® jarabe con ciruela 10 g, sen 10 g, tintura de coriandro 2,5 g y miel 2,5 g por 100 ml **Veracolate** ® cascara sagrada 64 mg +fenolftaleína 32,4 mg + sales biliares 70 mg comp. Son glicósidos contenidos en vegetales derivados de las Liliácea como: * Senna * Cáscara sagrada * Rubardo * Aloe No se recomienda en forma crónica. Son prodrogas que en el colon sufren la remoción de la glucosa a la que están unidas y la reducción a antrol por la acción de la flora colónica, con absorción escasa. Son estimulantes de la motilidad colónica y requieren 6 o más horas en ejercer sus efectos. **EA**: * Diarrea * Dolor abdominal * Orinas amarillo amarronadas a rosadas * Nefritis
28
Laxantes de Acción Muy Rapida (1-3 horas) | Tipos
* Osmoticos salinos (Leche de Magnesia Philips, Nigalax) * Surfactantes de accion rapida (Aceite de Ricino)
29
# Laxantes de Acción Muy Rapida (1-3 horas) Laxantes Osmoticos Salinos
**Leche de Magnesia Phillips** ® hidróxido de magnesio 120 y 360 mg **Nigalax** ® comp bisacodilo 5 mg + Docusato de sodio 100 mg + lauril sulfoacetato de sodio. Efecto catártico para lograr la limpieza del colon previa a la cirugía, estudios radiológicos o colonoscopia, y puede utilizarse como adyuvantes para lograr la eliminación de parásitos intestinales y en la eliminación de venenos. Se cree que las sales de magnesio además de actuar por efecto osmótico estimularían la secreción de CCK lo que aumenta la motilidad y la secreción intestina. **EA**: * La absorción de magnesio puede producir hipermagnesemia grave en pacientes con insuficiencia renal. * Las sales de sodio pueden descompensar a un paciente con insuficiencia cardíaca, los laxantes con fosfatos pueden producir hiperfosfatemia y reducción de la calcemia. * Por ser hipertónicos estos compuestos pueden producir deshidratación severa.
30
# Laxantes de Acción Muy Rapida (1-3 horas) Aceite de Ricino
El aceite de castor contiene una proteína extremadamente tóxica llamada **ricina** y un aceite compuesto principalmente por **ácido ricinoleico**. Tiene un sabor muy desagradable y un intenso efecto catártico, en adultos a una dosis de 15 a 60 ml con el estómago vacío produce una catarsis copiosa en 1 a 6 horas. Efecto surfactante, con gran acumulación de líquido por severa alteración de la permeabilidad intestinal. Produce una evacuación total del colon. Sólo se lo usa para evacuar el colon previamente a la realización de estudios (colonoscopia) o cirugía programada del colon. **EA**: * Deshidratación * Trastornos electrolíticos * Estimula la contracción uterina por lo que no debe ser usado en embarazadas.
31
Nuevos Laxantes
1. Lubiprostona: Amitiza ® Cápsulas de 8 y 24 μg 1. Metilnaltrexona: Relistor® 1. Alvimopan: Entereg® 1. Linaclotide
32
# Nuevos Laxantes Lubiprostona
**Amitiza ® Cápsulas de 8 y 24 μg** Activador local de los canales de cloro que aumenta la cantidad de cloro en la secreción intestinal, sin alterar las concentraciones sanguíneas de sodio y potasio. Al incrementar la secreción de fluido intestinal, aumenta la motilidad intestinal y el pasaje de la materia fecal, aliviando los síntomas asociados a la constipación idiopática crónica. Vía oral, dos veces al día con una dosis de 24 μg, con la ingesta de alimentos **EA**: cefalea, náuseas, vómitos, diarrea, disnea, dolor y distensión abdominal, flatulencias, dispepsia y reflujo gastroesofágico. Está contraindicado en el embarazo
33
# Nuevos Laxantes Metilnaltrexona (Relistor)
**Metilnaltrexona: Relistor®** * Antagonista de los receptores opioides mu periféricos. **Indicaciones**: * Autorizado para el tratamiento del estreñimiento inducido por opioides en pacientes con **enfermedad tumoral avanzada** en tratamiento paliativo cuando su respuesta a la terapia laxante habitual no sea suficiente.
34
# Nuevos Laxantes Alvimopan (Entereg)
**Alvimopan: Entereg** Tabletas VO **Mecanismo**: * Antagonista del receptor opioide mu, de acción periférica. * Antagoniza los efectos periféricos de los fármacos opioides sobre la motilidad y secreción gastrointestinal, a través del mecanismo de unión competitiva a receptores mu del tracto digestivo. **Indicaciones**: * Antagonizar los efectos constipantes de los opiáceos cuando se los administra a pacientes con tumores terminales. **EA**: estreñimiento (a dosis elevadas), meteorismo, hipopotasemia, dispepsia, anemia, retención urinaria o dolor de espalda. | Similar al Relistor
35
# Nuevos Laxantes Linaclotide
**Linaclotide** * Agonista de la guanilato ciclasa 2C. * Tratamiento del **colon irritable a predominio de constipación** a una dosis de 290ug/día * **Constipación crónica idiopática** a una dosis de 145ug/día. **Mecanismo**: * Se une a la membrana de la célula epitelial intestinal y casi no se absorbe. Aumenta el GMPc lo que estimula la secreción de cloro, bicarbonato, y agua a la luz intestinal, a través de canales iónicos. Ello aumenta el tránsito intestinal. * Además, disminuye el dolor abdominal ya que disminuye la activación de las neuronas colónicas sensoriales. **EA**: diarrea.
36
Enemas
Se utilizan para evacuar el último tramo del recto y sigma. **Artesanales**: * Preparados con agua y jabón (enemas jabonosos) pero habitualmente se prefieren los salinos con agua y sal. Se administran con irrigador y depósito. **Fecalomas**: * Enemas **tipo Murphy** que se efectúan a goteo lento con cánula rectal con miel, leche y agua oxigenada. **Microenema** (Enemol®) / FleetEnema: * Enema de pequeño volumen con el objeto de lograr la evacuación del tramo final del recto. Enemol ® Fosfato monosódico 18 g + fosfato disódico 8 g