Íleo Flashcards

(16 cards)

1
Q

Ileo - Definicion y Tipos

A

Falta de eliminacion de materia fecal y gases debido a detencion en circulacion del contenido intestinal.

Puede ser de 2 tipos:
* Mecanico: obstruccion a pasaje del contenido intestinal
* Funcional: alteracion en la peristalsis

How well did you know this?
1
Not at all
2
3
4
5
Perfectly
2
Q

Clínica habitual del Íleo (4)

A
  1. Distension abdominal
  2. Falta de eliminacion de gases y materia fecal
  3. Vomitos
  4. Dolor abdominal
How well did you know this?
1
Not at all
2
3
4
5
Perfectly
3
Q

Íleos Funcionales - Clasificación

6 tipos de ileos funcionales

A

Inflamatorios o Infecciosos:
* Paralisis intestinal post-operatoria
* Procesos inflamatorios peritoneales (peritonitis)
* Bridas fibrinosas blandas

Vascular:
* Infarto mesenterico
* Embolias arteriales
* Trombosis portal

Reflejos:
* Uronefrosis
* Traumatismo abdominal
* Hematomas retroperitoneales
* Colico renal o tubario
* Sme de Wunderlich
* Patologias pleurales o diafragmaticas

Toxicos:
* Axoemia
* Uso prolongado de drogas (opiaceos)

Metabolico puro:
* Hipokalemico
* Enf. de Addison

Espástico (dinamico):
* Intoxicacion alimentaria o plumbica

How well did you know this?
1
Not at all
2
3
4
5
Perfectly
4
Q

Íleos Mecánicos

Clasificación según Complejidad

A

Obstructivo Simple
* Obturaciones (fecaloma, cuerpo extraño, íleo biliar, bezoar)
* Lesiones infiltrativas de pared
* Compresiones extrínsecas (tumores, bridas)

Obstructivo Estrangulado
* Encarceración herniaria
* Bridas y adherencias
* Volvulos
* Invaginacion/intuscepción

How well did you know this?
1
Not at all
2
3
4
5
Perfectly
5
Q

Íleos Mecánicos

Clasificación según Lugar

A

Íleos Altos:
* Sitio de obstruccion en duodeno y primeras asas de yeyuno

Íleos Bajos:
* Últimas asas del íleon y Colon

How well did you know this?
1
Not at all
2
3
4
5
Perfectly
6
Q

Fisiopato

A
  1. Interrupción del transito
  2. Acúmulo de líquidos y aire deglutido
  3. Dilatación del intestino proximal
  4. Mucosa se edematisa (pierde capacidad de absorción y aumenta su secreción intraluminal)
  5. Dilatación intestinal progresiva, con pérdidas mayores de líquido extracelular
  6. Secuestro de líquido intraluminal (hipovolemia)
  7. Compromiso vascular
  8. Invasión bacteriana y riesgo de peritonitis
How well did you know this?
1
Not at all
2
3
4
5
Perfectly
7
Q

Interrogatorio (7)

A
  • Edad
  • Crisis anteriores
  • Antecedentes quirurgicos o traumaticos
  • Ingesta de cuerpo extraño, espina de pescado, cabello, etc
  • Vomitos
  • Hipo
  • Alteraciones del ritmo evacuatorio
How well did you know this?
1
Not at all
2
3
4
5
Perfectly
8
Q

Diferenciación entre alta y baja por EF

A

Obstrucciones altas:
* Ubicación del dolor
* Vomitos biliosos
* Distension abdominal minima

Obstrucciones bajas:
* Ubicacion del dolor (FID, hipogastrio, epigastrio y FII)
* Vomitos tipo fecaloides
* Distension abdominal considerable

How well did you know this?
1
Not at all
2
3
4
5
Perfectly
9
Q

Diferenciación EF entre Mecanico y Funcional

A

Mecánico:
* Aumenta el peristaltismo para lograr vencer la obstruccion
* Movimientos reptantes o de lucha
* Dolor tipo colico
* Ruídos de lucha
* Cuando no logra vencer la obstruccion desaparecen los colicos, movimientos y ruidos.

Funcional:
* Peristaltismo abolido desde el comienzo
* RHA ausentes
* Dolor vago y puede ser constante por dilatacion
* No hay colico, no hay lucha

How well did you know this?
1
Not at all
2
3
4
5
Perfectly
10
Q

EF en general

A

Fiebre
Dolor tipo colico
Dolor a palpación
Movimientos de lucha
Distension abdominal
Peritonismo (abdomen en table, defensa) en los complicados
Signos shock (hipotension, taquicardia, sudoresis)
Ruídos de lucha o silencio

How well did you know this?
1
Not at all
2
3
4
5
Perfectly
11
Q

Laboratorio

A

Ionograma
* Descenso de Cloro y HCO3 (secrecion intraluminal)
* Hipernatremia (perdida de agua en 3er espacio)

Hiperamilasemia
Aumento de LDH (estrangulado)

Hemograma: leucocitosis si infeccion (peritonitis)

How well did you know this?
1
Not at all
2
3
4
5
Perfectly
12
Q

Rx Simple de Abdomen y de Pie

A

Acostado (con contraste):
* Signo de Pila de Monedas
* Signo de Revoque (engrosamiento de paredes intestinales)

De pie:
* Se forman niveles hidroaereos

How well did you know this?
1
Not at all
2
3
4
5
Perfectly
13
Q

Íleo Biliar - Definición

A

Íleo mecanico producido por calculo biliar que pasó al intestino por fistulizacion entre vesicula biliar y intestino (duodeno o colon transverso cerca de la flexura hepatica).

Generalmente la fistula se cierra espontaneamente y el calculo migra por peristalsis hasta impactar en valvula ileo-cecal (porcion de menor calibre).

How well did you know this?
1
Not at all
2
3
4
5
Perfectly
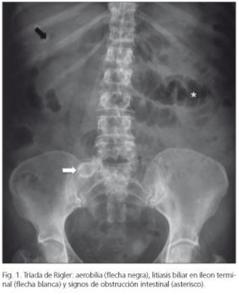
14
Q

Íleo Biliar - Clínica y Tríada de Rigler

A

Clínica (Íleo Bajo):
* Intenso dolor colico
* Vomitos biliosos
* Fiebre
* Hiperestesia en FID

Rx Patognomonico (Tríada de Rigler):
1. Aerobilia (aire alrededor de vesicula)
1. Obstruccion intestinal
1. Calculo en situacion aberrante

How well did you know this?
1
Not at all
2
3
4
5
Perfectly
15
Q

Tratamiento Medico del Íleo

A

Dentro de lo posible y sin complicaciones el tto es medico:
1. Restitucion de perdidas electrolíticas y volemicas
2. Correccion de EAB (perdida de HCO3)
3. Descompresion digestiva por SNG AF
4. Control de diuresis

How well did you know this?
1
Not at all
2
3
4
5
Perfectly
16
Q

Criterios para Intervención Qx en Íleo (4)

A
  1. Obstruccion mecanica con asa cerrada, encarcerada u ovalada
  2. Evidencias de estrangulacion
  3. Obstruccion mecanica simples de instalacion aguda
  4. Complicaciones (peritonitis, perforación, refractariedad)