Craneo Flashcards

(151 cards)

1
Q

Estudio de imagen solicitado para Evc isquémico

A

TC- RM

How well did you know this?
1
Not at all
2
3
4
5
Perfectly
2
Q

Estudio de imagen solicitado para EVC hemorragico

A

TC

How well did you know this?
1
Not at all
2
3
4
5
Perfectly
3
Q

Estudio de imagen solicitado para hernia cerebral

A

TC- RM

How well did you know this?
1
Not at all
2
3
4
5
Perfectly
4
Q

Estudio de imagen solicitado para encefalitis/meningitis

A

RM con contraste

How well did you know this?
1
Not at all
2
3
4
5
Perfectly
5
Q

Estudio de imagen solicitado para Neuro infección

A

TC con medio de contraste

How well did you know this?
1
Not at all
2
3
4
5
Perfectly
6
Q

Estudio de imagen solicitado para calcificaciones/granulomas

A

TC

How well did you know this?
1
Not at all
2
3
4
5
Perfectly
7
Q

Estudio de imagen solicitado para hidrocefalia

A

TC

How well did you know this?
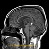
1
Not at all
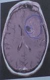
2
3
4
5
Perfectly
8
Q

Menciona las arterias

A
How well did you know this?
1
Not at all
2
3
4
5
Perfectly
9
Q

Que arteria se encuentra afectada

A

PICA

How well did you know this?
1
Not at all
2
3
4
5
Perfectly
10
Q

Que arteria se encuentra afectada

A

PICA

How well did you know this?
1
Not at all
2
3
4
5
Perfectly
11
Q

Que arteria se encuentra afectada

A

ACA

How well did you know this?
1
Not at all
2
3
4
5
Perfectly
12
Q

Que arteria se encuentra afectada

A

ACA

How well did you know this?
1
Not at all
2
3
4
5
Perfectly
13
Q

Que arteria se encuentra afectada

A

ACA

How well did you know this?
1
Not at all
2
3
4
5
Perfectly
14
Q

Que arteria se encuentra afectada

A

Arteria coroidea anterior (AchA)

How well did you know this?
1
Not at all
2
3
4
5
Perfectly
15
Q

Que arteria se encuentra afectada

A

ACM y arteria lenticuloestriada lateral

How well did you know this?
1
Not at all
2
3
4
5
Perfectly
16
Q

Que arteria se encuentra afectada

A

Acp

How well did you know this?
1
Not at all
2
3
4
5
Perfectly
17
Q

Que arteria se encuentra afectada

A

Acp

How well did you know this?
1
Not at all
2
3
4
5
Perfectly
18
Q

Que arteria se encuentra afectada

A

Acm

How well did you know this?
1
Not at all
2
3
4
5
Perfectly
19
Q

Método de imagen utilizado y dx

A

Difusión, hemorragia de la acm

How well did you know this?
1
Not at all
2
3
4
5
Perfectly
20
Q

Zona que esta afectada por el Evc isquémico pero aun no necrosada

A

Penumbra

How well did you know this?
1
Not at all
2
3
4
5
Perfectly
21
Q

Gold standard para hemorragia craneal

A

TC en dx de 3-6 hrs

How well did you know this?
1
Not at all
2
3
4
5
Perfectly
22
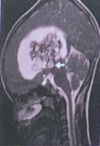
Q

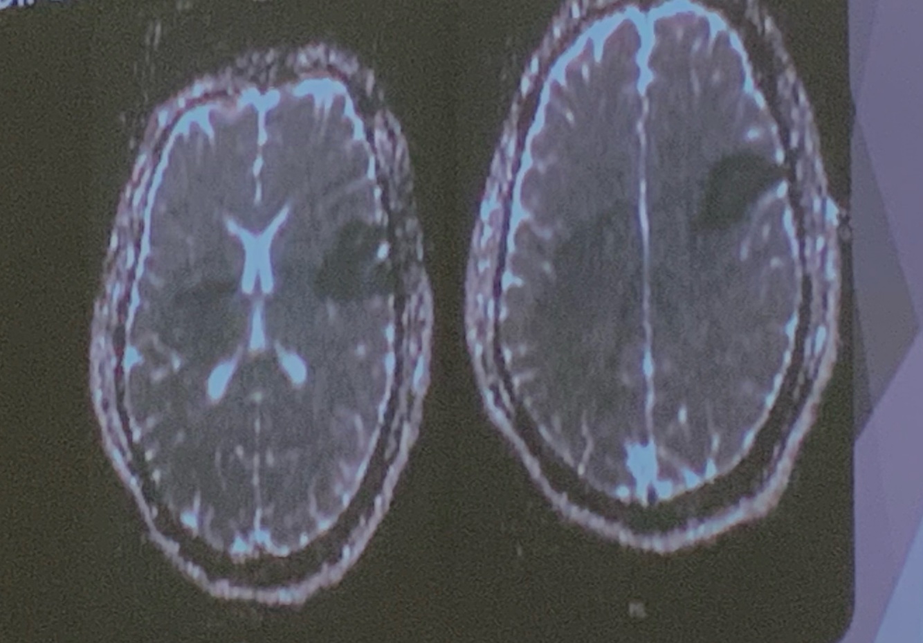
Dx

A

Hematoma subdural

How well did you know this?
1
Not at all
2
3
4
5
Perfectly
23
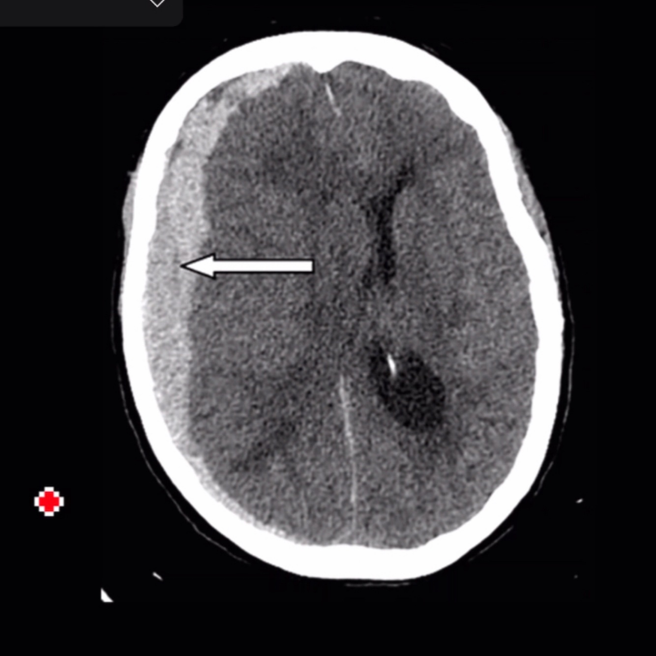
Q

Dx

A

Hematoma epidural

How well did you know this?
1
Not at all
2
3
4
5
Perfectly
24
Q

El hematoma subdural tiene forma de:

A

Plátano o una C

How well did you know this?
1
Not at all
2
3
4
5
Perfectly
25
El hematoma epidural tiene forma de:
Manzana o una bolita
26
Dx
Hemorragia subaracnoidea
27
Subespecialidad de la radiología diagnóstica que estudia a fondo condiciones que afectan el cerebro, órbitas, columna vertebral, cordón espinal, cuello, nervios centrales y perifericos, senos paranasales, hueso temporal y la articulación temporomandibular.
Neuro radiología
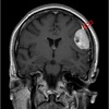
28
Que posicionamiento es este
Posicionamiento craneo lateral
29
Que posicionamiento es
Craneo AP
30
Posicionamiento util para valorar senos frontales, senos etmoidales, órbitas y fosas nasales, hendiduras esfenoidales peñasco.
PROYECCION DE CALDWELL
31
Que proyección es esta
Proyección de caldwell
32
Proyección para valorar la porción posterior de la pirámide petrosa del hueso temporal y las cavidades neumáticas del oído medio y la mastoides.
Proyeccion towne
33
Que proyección es esta?
Proyección de towne
34
Para ver sangrado en RM se ve en secuencia________
Eco de gradiente
35
El sangrado en RM se ve
Un halo hipointenso y es la hemosiderina (hierro)
36
El edema se ve_______ en TC
Hipodenso
37
Si hay desplazamiento de la linea media del cerebro es indicativo de:
Herniación o mal pronostico
38
La hemorragia subdural es de origen
Venoso
39
En términos médicos aire en cerebro se dice:
Neumoencéfalo
40
La hemorragia epidural es de origen______, progresa_________ y la mayoría de px muere
Arterial; rápidamente
41
El neumoencéfalo es indicativo de:
Trauma
42
La hemorragia__________ es la única que da dolor de cabeza “thunder clap”
Subaracnoidea
43
Rx perfilograma sirve para
Evaluar los senos frontales y los huesos nasales
44
Los px pediátricos no tienen senos_________ únicamente tienen senos_______
Frontales, maxilares
45
Proceso de crecimiento de los senos frontal y maxilar (por si alguien se lol quiere aprender)
46
Los senos frontales son visibles radiologicamente a partir de
Los 6 años
47
El crecimiento de los senos frontales finaliza entre los________
15-20 años
48
El seno esfenoidal crece hasta los______
18 años
49
Clasificación utilizada en radiología para la desviación septal
MLADINA
50
De acuerdo a la clasificación de MLADINA que tipo corresponde la imagen
Tipo 1
51
De acuerdo a la clasificación de MLADINA que tipo corresponde la imagen
Tipo 2
52
De acuerdo a la clasificación de MLADINA que tipo corresponde la imagen
Tipo 3
53
De acuerdo a la clasificación de MLADINA que tipo corresponde la imagen
Tipo 4
54
De acuerdo a la clasificación de MLADINA que tipo corresponde la imagen
Tipo 5
55
De acuerdo a la clasificación de MLADINA que tipo corresponde la imagen
Tipo 6
56
De acuerdo a la clasificación de MLADINA que tipo corresponde el tipo 7
Combinación de dos o mas tipos
57
Las celdillas etmoidales se visualizan radiologicamente ________ de edad
Al año
58
Las celdillas etmoidales alcanzan su mayor tamaño a los_____
12 años
59
Las celdillas anteriores son de______tamaño que las posteriores
Menor
60
Irrigación, drenaje e inervación de los senos (para quien guste aprendérselo)
61
Indice utilizado para la valoración pre-quirúrgica que mide el grosor del techo del etmoides
Indice de keros
62
Es causado cuando se obstruye el complejo osteomeato
Pansinusitis/sinusitis
63
El complejo osteomeatal solo se ve por medio de
TC
64
Las áreas de cottle son:
1- vestíbulo nasal 2- valvular 3- ático nasal 4- turbinal 5 cola de cornetes nasales
65
Ayudan a sistematizar la descripción de las dismórfias
Áreas de cottle
66
Que tipo de proyección es esta
Proyección de waters
67
La proyección de waters es adecuada para evaluar
Pirámides petrosas por debajo del seno maxilar
68
Que tipo de proyección es esta
Proyeccion de caldwell
69
La proyección de caldwell es útil para evaluar
Senos frontales y etmoidales, piramides petrosas en tercio inf
70
Proyección util para evaluar el seno maxilar
Proyección lateral
71
Mejor estudio de imagen para evaluar senos paranasales
Tomografía
72
La resonancia en evaluación de senos paranasales sirve para:
Visualización y diferenciación de tejidos blandos Evaluación de complicaciones regionales e intra cranéales
73
Dx
Seno maxilar ocupado
74
Dx
Sinusitis aguda *hay nivel hidroaereo o sea el moco sigue liquido
75
Que proyección es la de la imagen
Proyección oblicua o de Rhese
76
Pólipo antral benigno que ensancha el ostium y se extiende a la cavidad nasal
Pólipo antrocoanal
77
Dx
Pólipo antrocoanal
78
Es el pólipo que es resultado de la expansión de fluido en la lamina mas profunda de la mucosa Schneideiana
Pólipo sinonasal
79
Dx
Pólipo sinonasal
80
Dx
Polipoantrocoanal
81
Dx
Pólipo antrocoanal
82
Patología maligna más común de los senos paranasales
Nasoangiofibroma
83
Enfermedad probablemente autoinmune (desconocida) caracterizada por un proceso granulomatoso necrotizante sistémico con angeitis destructiva
Granulomatosis de WEGENER
84
Cuadro clínico de la granulomatosis de wegener
Destrucción progresiva del cartílago nasal + lesiones granulomatosas que ocupan la cavidad nasal
85
La cocaina lesiona al____ y a los_______
Tabiqué nasal; huesecillos que serán
86
Dx
Micro adenoma
87
Dx
Quiste aracnoideo
88
Dx
Meningioma extraxial del piso medio
89
Dx
Meningioma, extraxial del piso medio
90
Identifica cual es T1 y T2
T1 izq T2 der
91
Tumores considerados primarios en Neuro radiología:
Provenientes de células del SNC
92
Tumores considerados secundarios en Neuro radiología:
Cuando es por metástasis
93
Metástasis a SNC mas comunes son provenientes de:
Pulmón, mama y melanoma
94
Factores importantes a evaluar en un tumor neurologico:
Edad del px Localización intra o extra Descartar otro tipo de lesiones Celularidad y cantidad
95
Tumores neurologicos de niños <2 años
Teratoma Astrocitoma Papiloma
96
Tumores neurologicos de niños <10 años
Astrocitoma Meduloblastoma Ependimoma Gliomas
97
Tumores neurologicos de niños en general (edad)
Infratentoriales 3ra causa de cancer en niños
98
Tumores neurologicos en adultos
50% metástasis el resto son Astrocitoma GBM Meningioma Oligodendroglioma
99
80% de los tumores extra-axiales son:
Meningiomas o schwannomas
100
Lugar mas frecuente de schwannomas
Angulo ponto-cerebeloso
101
Los tumores extraxiales afectan principalmente
Estructuras adyacentes al encéfalo
102
Los tumores extra-axiales afectan principalmente
Sustancia blanca pero pueden invadir gris
103
En el adulto 75% de los tumores intraxiales son:
Metástasis o astrocitoma
104
Tumores neurologicos caracterizados por presentar grasa
Teratomas y lipomas
105
La grasa en T1 y T2 se ve
Hiperintensa
106
Las calcificaciones en T2 se ven:
Hipointensa
107
Tumores que característicamente tienen calcificaciones
Oligodendroglioma y craneofaringioma
108
Mejor secuencia para determinar edema
Flair
109
La sustancia blanca en T1 es
Hiperintensa
110
La sustancia gris en T1 es
Isointensa
111
Tumores y liquido en T1 se ve:
Hipointenso Excepción macro adenoma piruitario, GBM y metástasis por melanoma
112
La sustancia blanca en T2 se ve
Hipointensa
113
La sustancia gris en T2 es
Hiperintensa
114
Tumores y liquido en T2 se ve
Hiperintenso
115
Las calcificaciones en T2 se ven
Hipointensas
116
Fase DWI en difusión sirve para discriminar_____ y ________cerebrales
Abscesos y metástasis
117
En DWI abscesos, quistes e infartos se ven
Hiperintenso
118
En DWI los tumores se ven
Iso o hipointensas
119
En caso de tumor las imágenes deben de esperar ____ para que el contraste refuerce la imagen y sea una buena toma
30 min
120
Patrones de reforzamiento de contraste de lesión maligna
En anillo
121
El contraste se ve homogéneo en los tumores:
Meningioma Schwannoma Germimomas Linfomas Metástasis
122
El contraste se ve heterogéneo en los tumores:
GBM Oligodendroglioma
123
El contraste se ve en anillo en los tumores:
Gliomas de alto grado Abscesos Metástasis
124
Los gliomas se dividen en:
Astrocitoma Ependimoma Oligodendroglioma Gangliogliomas
125
Tipo de edema en astrocitoma anaplasico
Edema vasogenico periférico
126
Dx
Astrocitoma pilórico
127
Dx
Astrocitoma anaplásico
128
Dx
Glioblastoma multiforme
129
Dx
Ependimoma
130
Los epéndimomas pueden cuásar sx______ y de _______
Medular y de cauda equina
131
Localización de las celulas de epéndimo
En los ventrículos, en su mayoría el 4to al igual que una extensión al ángulo pontocerebelosas
132
Toda lesión intra ventricular en un adulto en el 50% de las veces son:
tumores de los plexos coroideos
133
Dx
Gangliogliomas
134
Dx diferencial de meduloblastoma
Ependimoma
135
Tumor maligno más común en pediatría
Meduloblastoma
136
Localización del meduloblastoma
Vermis cerebeloso Techo del 4to ventrículo
137
Dx
Meduloblastoma
138
Tumores extraxiales más comunes
Meningiomas
139
Característica Imagenologia de los Meningiomas
Cola dural
140
Tumor que produce mucho vértigo 30-50 años
Schwannoma
141
Tumor neuronal que afecta la función endocrina y ciclo circadiano, es pediátrico
Germimoma
142
Si el germimoma no se encuentra en SNC está en:
Gonadas
143
Tumor neuronal de grasa, celulas no germimomatosas, localizados en region supracelar
Teratoma
144
DX
Teratoma
145
Dx
Teratoma
146
Tumor que es: - supracelar - calcificación en palomita - extraxial - invasivo - bolsas de Rathke - solido o quístico
Craneofaringioma
147
Dx
Craneofaringioma
148
3er tumor intracraneal primario más común
Adenoma hipofisiario
149
El adenoma hipofisiario se localiza comúnmente en
Hipófisis anterior
150
Dx
Adenoma hipofisiario
151
Tumor que se localiza en la región pineal
Pineocitoma