Torax Flashcards

(77 cards)

1
Q

Técnicas de imagen para ver neumotorax

A

RX

How well did you know this?
1
Not at all
2
3
4
5
Perfectly
2
Q

Técnicas de imagen para ver cardiómegalia

A

RX
USG
TC
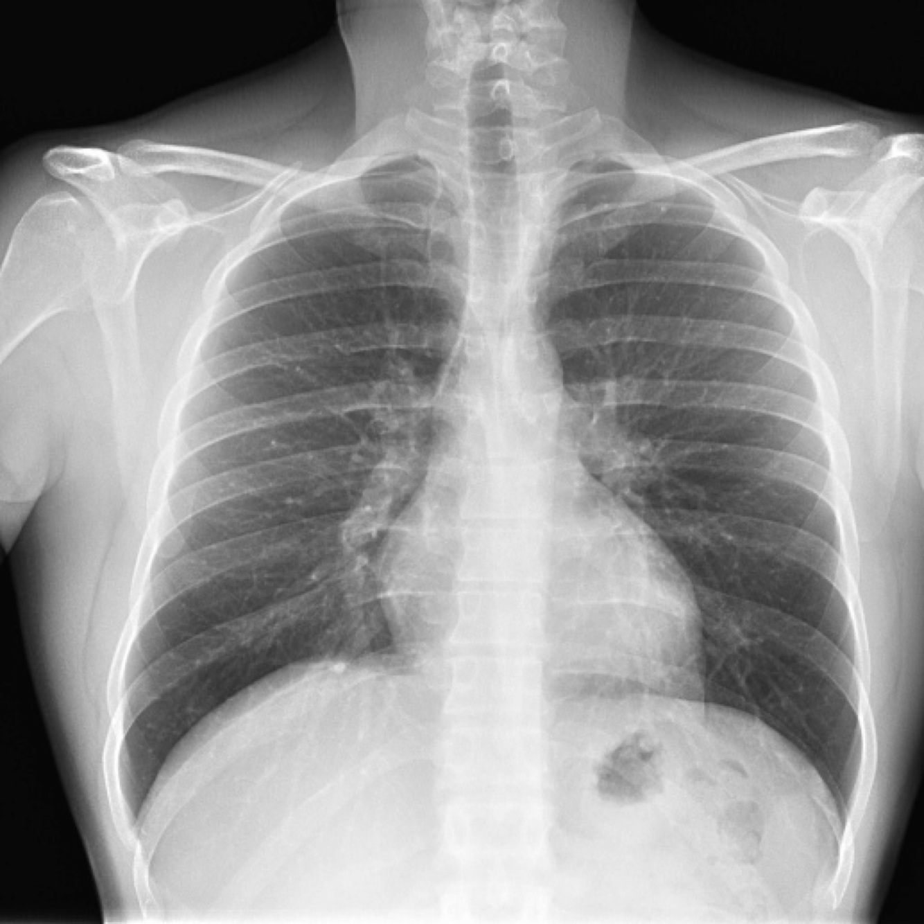
RM es la mejor

How well did you know this?
1
Not at all
2
3
4
5
Perfectly
3
Q

Técnicas de imagen para ver neumonía

A

RX
TC

How well did you know this?
1
Not at all
2
3
4
5
Perfectly
4
Q

Técnicas de imagen para ver derrame

A

USG- Rx son los mejores
TC

How well did you know this?
1
Not at all
2
3
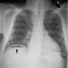
4
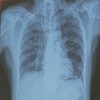
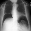
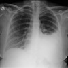
5
Perfectly
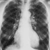
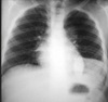
5
Q

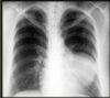
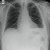
Técnicas de imagen para ver atelecetasia

A

RX
TC

How well did you know this?
1
Not at all
2
3
4
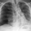
5
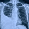
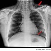
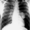
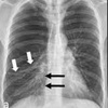
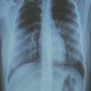
Perfectly
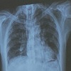
6
Q

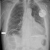
Técnicas de imagen para ver Enfisema-EPOC-EI

A

TC
Alta resolución TC

How well did you know this?
1
Not at all
2
3
4
5
Perfectly
7
Q

Técnicas de imagen para ver Nodulopulmonar

A

RX
TC

How well did you know this?
1
Not at all
2
3
4
5
Perfectly
8
Q

Modalidades de imagen para ver torax

A

RM
TC
USG
Rx

How well did you know this?
1
Not at all
2
3
4
5
Perfectly
9
Q

Proyecciones radiológicas

A

Postero anterior
Anteroposterior
Lateral
Oblicua
Lordotica

How well did you know this?
1
Not at all
2
3
4
5
Perfectly
10
Q

Al evaluar torax se debe de evaluar:

A
  1. Proyección
  2. Penetración
  3. Rotación
  4. Tejidos blandos
  5. Marco óseo
  6. Diagrama
  7. Hilios
  8. Trama vascular
  9. Silueta cardiaca y mediastino
  10. Pulmones y espacio pleural
How well did you know this?
1
Not at all
2
3
4
5
Perfectly
11
Q

Puntos de referencia para centrar el rayo en una AP

A

Vertebra prominente/nivel T1 y borde más superior del apex. A unos 18-20 cm se coloca el centro del rayo

How well did you know this?
1
Not at all
2
3
4
5
Perfectly
12
Q

El pulmón se debe de evaluar en: inspiracion/espiración

A

Inspiracion profunda

How well did you know this?
1
Not at all
2
3
4
5
Perfectly
13
Q
  • Px en erecto
  • Mentón elevado y apoyado al registro
  • Manos en la cadera con palmas hacia afuera
    • Codos parcialmente flexionados
  • Hombros rotados hacia adelante y hacia abajo
    • Alinear IMS con la del chasis
    • Rayo Central: perpendicular al chasis y centrado en la LMS a nivel de T7 (18-20cm por debajo)
    •FT:110-125kV

¿A que proyección corresponde?

A

paciente en proyección postero anterior

How well did you know this?
1
Not at all
2
3
4
5
Perfectly
14
Q

•Paciente en posición recta
• Lado afectado sobre el registro
•Brazos levantados por encima de la cabeza
• Mentón hacia arriba
Posición lateral verdadera
* Rayo Central; perpendicular, dirigido a región
torácica media a nivel de 17
(8-10cms por debajo de la escotadura yugular)

¿Que proyección se desea obtener?

A

Proyección lateral

How well did you know this?
1
Not at all
2
3
4
5
Perfectly
15
Q

• Paciente sentado con el buki a un lado
• Brazos cruzados
Mentón elevado
•Centrar al paciente respecto al rayo centr
Ajustar el rayo a nivel de 17
•8-10cm por debajo de la escotadura yugu!
• Ft110-125 kV

A

Proyección lateral (senatdo)

How well did you know this?
1
Not at all
2
3
4
5
Perfectly
16
Q

•Paciente en decubito supino,posicion semierecta.
• Hacer los hombros hacia adelante
•Registro de la imagen detrás del paciente(4-Scm por encima de
los hombros)
•Rayo central: angulado caudalmente, perpendicular al eje
longitudinal del esternon
• Rayo hasta 17,8-10cm por debajo de la escotadura yugular.
¿Que tipo de proyección es?

A

Proyección anteroposterior

How well did you know this?
1
Not at all
2
3
4
5
Perfectly
17
Q

Proyección utilizada para descartar calcificaciones y masas por debajo de la clavícula y visualizar ápices pulmonares

A

Proyección Lordótica

How well did you know this?
1
Not at all
2
3
4
5
Perfectly
18
Q

¿Qué tipo de proyección es esta?

A

Proyección lordótica

How well did you know this?
1
Not at all
2
3
4
5
Perfectly
19
Q

• Paciente en posición erecta con rotación
de 45° con el hombro anterior izquierdo
contra el registro para la QAL, y 45° con
el hombro anterior derecho contra el
registro para OAD,
• Brazo flexionado cerca del registro y
mano en la cadera
• Brazo opuesto levantado, mentón
elevado

Tipo de proyección:

A

Proyección oblicua anterior

How well did you know this?
1
Not at all
2
3
4
5
Perfectly
20
Q

Proyección de torax para localizar lesiones sin superposición de estructuras

A

Proyección oblicua anterior

How well did you know this?
1
Not at all
2
3
4
5
Perfectly
21
Q

• Paciente en posicion erecta, rotacion
de 45% hombro anterior izquierdo
contra el registro (OAL), y 45° con el
hombro anterior derecho (OAD).
• Brazo del pr lexionado cerca del
registro y mano en la cadera
• Brazo opuesto levantado, mentón
elevado.

Tipo de proyección

A
How well did you know this?
1
Not at all
2
3
4
5
Perfectly
22
Q

¿Qué proyección es la siguiente?

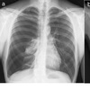
A

PA

How well did you know this?
1
Not at all
2
3
4
5
Perfectly
23
Q

Describe el perfil cardiaco

A
How well did you know this?
1
Not at all
2
3
4
5
Perfectly
24
Q

Describe el perfil cardiaco

A
How well did you know this?
1
Not at all
2
3
4
5
Perfectly
25
La cavidad torácica aumenta en 3 dimensiones las cuales son:
Diámetro vertical Diámetro transverso Diámetro antero posterior
26
Como se evalúa el grado de inspiracion
- Observar descenso del diafragma - Contar costillas encima del diafragma (mínimo 10) *empezar desde la primera costilla
27
Como se evalúa la penetracion adecuada en una radiografía de torax
Se ven las primeras 4 vertebras torácicas Se ven tenuemente las vertebras Se ve la traquea hasta antes de su bifurcación
28
El marco óseo esta formado por:
Clavículas Arcos costales Esternón Cartílagos costales Omóplatos Columna
29
En el marco óseao se evalúa que el px no presente:
Asimetrías Fracturas Luxaciones Plomífera iones balísticas y líticas
30
El diafragma se evalúa que se encuentre_______
Convexo hacia arriba
31
Característica del hemidiafragma derecho
Es un poco mas arriba pues se encuentra el hígado
32
Característica del hemidiafragma izquierdo
Se encuentra por arriba de la cámara gástrica
33
Que se evalúa en los tejidos blandos:
Pectorales Sombras mamarias Pezones Pliegues cutáneos y axilares
34
Formula para medir el indice cardiotoracico
35
Que significa ICT
Indice cardiotorácico
36
Grado I de ICT
0.51 a 0.55
37
Grado II de ICT
0.56 a 0.60
38
Grado III de ICT
0.61 a 0.65
39
Grado IV de ICT
>0.65
40
Que estructura anatómica esta en el numero 11
Traquea
41
Que estructura anatómica esta en el numero 13
Vasos supra aórticos
42
Que estructura anatómica esta en el numero 15
Espacio retro traqueal
43
Que estructura anatómica esta en el numero 9
Cayado aórtico
44
Que estructura anatómica esta en el numero 14
Espacio aéreo retro-esternal
45
Que estructura anatómica esta en el numero 19
Esternón
46
Que estructura anatómica esta en el numero 18
S.Cardiofrenico
47
Cual es AP y cual es PA
Lado izquierdo es PA Lado derecho AP
48
Define la patología o estructura estructura que encuentras en rojo y amarillo
Rojo: segmento hepatico 8vo Amarillo: efecto de volumen parcial
49
Que estructura anatómica esta en el numero 1
Tronco anterior
50
Que estructura anatómica esta en el numero 6
Angulo hiliar
51
Que estructura anatómica esta en el numero 3
Vena pulmonar superior
52
Que estructura anatómica esta en el numero 4
Vena pulmonarinferior derecha
53
Que tipo de estudio corresponde la imagen
Arteriografía del cayado aórtico
54
Signo de la silueta positiva
La lesión está dentro de el mismo plano del corazón
55
Signo de la silueta negativo
La lesión se encuentra posterior al corazón y se ve bien el mediastino
56
La atelectasia tiene como signo más común:
Lateralizacion de la traquea
57
Dx
Derrame pleural
58
Dx
Derrame pleural
59
Patología que afecta ambos pulmones a la misma altura en la periferia de el pulmón
Implantes
60
Diagnostico
Implantes
61
Diagnostico
Eventración diafragmática
62
Diagnostico
EPOC
63
Dx
Enfisema subcutáneo
64
Dx
Enfisema subcutáneo
65
Austras del colon se encuentran a nivel del hígado, es una variante anatómica
Sx de chilaiditi
66
Dx
Sx de chilaiditi
67
Dx
Pneumoperitoneo
68
Dx
Crecimiento ganglionar izquierdo
69
Dx
Crecimiento ganglionar izquierdo
70
Dx
Pneumoperitoneo
71
Dx
Pneumoperitoneo
72
Dx
Neumotorax en pulmón derecho
73
Dx
EPOC
74
Dx
EPOC
75
Dx
Neumotorax
76
Dx
Neumotorax
77
Dx
Neumotorax