Quiz Flashcards

(296 cards)

1
Q

En la escala de Hounsfield, la densidad del agua tiene un valor numérico de

A

0

How well did you know this?
1
Not at all
2
3
4
5
Perfectly
2
Q

Es el descubridor de los Rayos X

A

Roentgen

How well did you know this?
1
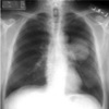
Not at all
2
3
4
5
Perfectly
3
Q

En la protección radiológica, a mayor distancia de la fuente emisora, se obtiene mayor radiación. V/F

A

Falso

How well did you know this?
1
Not at all
2
3
4
5
Perfectly
4
Q

La RM es excelente para valorar todo lo siguiente, excepto:
Cartílago
Médula ósea
Vía área
Degradación de la hemoglobina

A

Vías aéreas

How well did you know this?
1
Not at all
2
3
4
5
Perfectly
5
Q

Es una de las desventajas del Ultrasonido

Es económico
Es operador dependiente
Es accesible
No usa radiación ionizante

A

B

How well did you know this?
1
Not at all
2
3
4
5
Perfectly
6
Q

En Ultrasonido un cuerpo anecoico, ¿en qué estado físico de la materia se encuentra?
Gaseoso
Líquido
Sólido rígido
Sólido suave

A

Liquido

How well did you know this?
1
Not at all
2
3
4
5
Perfectly
7
Q

Es una desventaja de la Tomografia Computada *

Su capacidad de ser cuantitativa y cualitativa
Su utilidad para valorar vias aéreas y tubo digestivo
Su utilidad para valorar estructuras pequeñas como los huesecillos del oido
Su utilidad para valorar partes blandas

A

Su utilidad para valorar partes blandas

How well did you know this?
1
Not at all
2
3
4
5
Perfectly
8
Q

Partícula subatómica con la cual trabaja la Resonancia Magnética

A

Protón

How well did you know this?
1
Not at all
2
3
4
5
Perfectly
9
Q

¿Cual de los siguientes NO es parte de la definición de los Rayos X?

Radiación no ionizante
Radiación artificial
Radiación electromagnetica
Radiación ionizante

A

Radiación no ionizante

How well did you know this?
1
Not at all
2
3
4
5
Perfectly
10
Q

¡Cómo se aprecia el líquido (sinovial, cefalorraquídeo, pleural, etc) en la secuencia T2?

A

Hiperintenso

How well did you know this?
1
Not at all
2
3
4
5
Perfectly
11
Q

PACIENTE PEDIÁTRICO QUE ACUDE POR PRESENTAR MASA PALPABLE EN EL CUELLO. ¿CUAL ES EL MEJOR ESTUDIO PARA OBTENER UN DIAGNÓSTICO POR IMAGEN?

A

USG

How well did you know this?
1
Not at all
2
3
4
5
Perfectly
12
Q

MEJOR MÉTODO DE IMAGEN PARA EVALUAR SINUSITIS

A

TC

How well did you know this?
1
Not at all
2
3
4
5
Perfectly
13
Q

DATO CLINICO CARACTERÍSTICO DE RETINOBLASTOMA

A

Leucocoria

How well did you know this?
1
Not at all
2
3
4
5
Perfectly
14
Q

MÉTODO DE IMAGEN IDEAL PARA VALORAR LA INTEGRIDAD DE LOS
HUESECILLOS DEL OIDO

A

Tomografía

How well did you know this?
1
Not at all
2
3
4
5
Perfectly
15
Q

EL BOCIO SE ASOCIA SIEMPRE A HIPOTIROIDISMO (V/F)

A

Falso

How well did you know this?
1
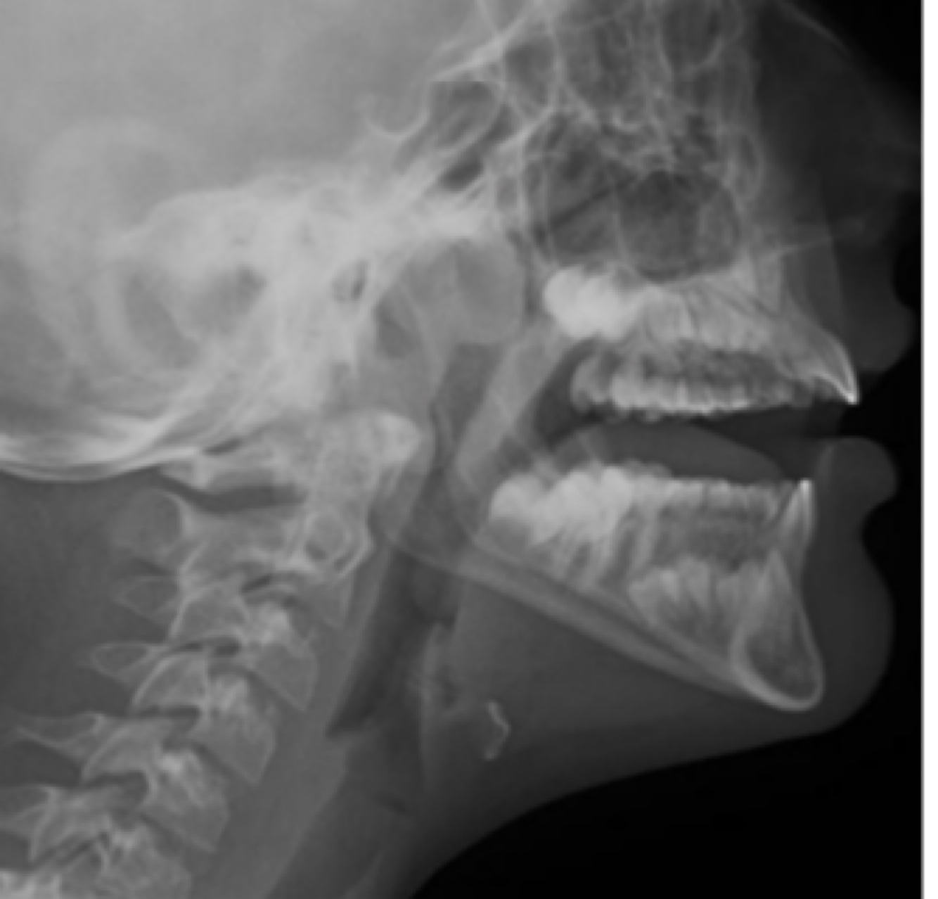
Not at all
2
3
4
5
Perfectly
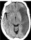
16
Q

Dx

A

Esclerosis múltiple

How well did you know this?
1
Not at all
2
3
4
5
Perfectly
17
Q

MÉTODO DE IMAGEN IDEAL PARA DIAGNOSTICAR DISFUNCIÓN DE LA
ARTICULACION TEMPORO MANEDIBULAR

A

Resonancia

How well did you know this?
1
Not at all
2
3
4
5
Perfectly
18
Q

TUMORACIÓN BENIGNA MÁS COMÚN DEL CRÁNEO

A

Meningioma

How well did you know this?
1
Not at all
2
3
4
5
Perfectly
19
Q

Cual de las siguientes NO es un parámetro a buscar en una TC de urgencia?

V= VENTRÍCULOS
B = BLOOD = SANGRE
B= BONES = HUESOS
M= MENINGES

A

M= Meninges

How well did you know this?
1
Not at all
2
3
4
5
Perfectly
20
Q

ESTA CARACTERÍSTICA IMPIDE QUE ALGUNOS TUMORES PRIMARIOS DEL CEREBRO NO MUESTREN CAPTACIÓN O REALCE CON EL MEDIO DE
CONTRASTE

A

Presentan barrera hematoencefalica

How well did you know this?
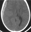
1
Not at all
2
3
4
5
Perfectly
21
Q

¿CUÁL ES EL PROPÓSITO DE REALIZAR TC A UN PACIENTE CON DATOS DE EVC ISQUÉMICO?

A

BUSCAR EL SIGNO DE LA ARTERIA CEREBRAL MEDIA HIPERDENSA

How well did you know this?
1
Not at all
2
3
4
5
Perfectly
22
Q

Dx

A

Adenoiditis

How well did you know this?
1
Not at all
2
3
4
5
Perfectly
23
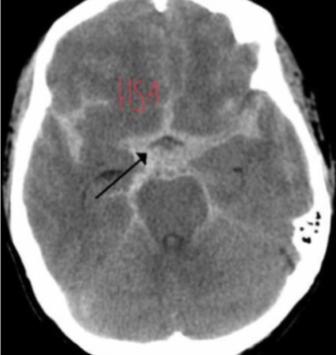
Q
A

Hemorragia subaracnoidea

How well did you know this?
1
Not at all
2
3
4
5
Perfectly
24
Q

EL “INFIERNO TIROIDEO* PUEDE ENCONTRARSE EN HIPERTIROIDISMO (V/F)

A

Verdadero

How well did you know this?
1
Not at all
2
3
4
5
Perfectly
25
DX
NEUROCISTICERCOSIS
26
MÉTODO DE IMAGEN IDEAL PARA DIAGNOSTICAR DISFUNCIÓN DE LA ARTICULACIÓN TEMPORO MANDIBULAR
RM
27
ESTUDIO DE IMAGEN QUE ES EL ESTÁNDAR DE ORO PARA DIAGNOSTICAR UNA MALFORMACIÓN ARTERIOVENOSA Y, DE SER POSIBLE, TRATARLA
Angiografia
28
MÉTODO DE IMAGEN IDEAL PARA DIAGNOSTICAR Y CLASIFICAR EL CÁNCER TIROIDEO
USG
29
MÉTODO DE IMAGEN MÁS RAPIDO Y ECONOMICO PARA DIAGNOSTICAR DESPRENDIMIENTO DE RETINA
USG
30
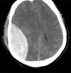
Dx
Hematoma epidural
31
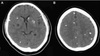
Dx
Lesión isquémica
32
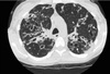
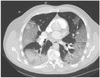
Dx
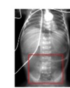
Bronquiectasias
33
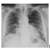
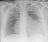
¿A qué distancia del paciente se toma la TELE DE TÓRAX?
1,8 m
34
En el 25% de los pacientes con ASMA, la RX es normal V/F
Falso es el 75%
35
Es el valor normal del índice cardiotorácico
0.5
36
Dx
Neumonía COVID (consolidación vidrio esmerilado y empedrado loco)
37
Son signos radiológicos de Tromboembolia pulmonar, excepto: Derrame pleural Joroba de Hampton Dilatación de arteria pulmonar Signo de Westermark
Derrame pleural
38
Son subtipos de bronquiectasias, excepto: Varicosas Quísticas Cilíndricas Alveolares
Alveolares
39
Dato clave en el patrón de consolidación
Broncograma aéreo
40
Datos que se ven excepto: Patrón reticular Nódulo espiculado Signo de la garrafa Cardiomegalia
Nódulo espiculado
41
Dx
Carcinoma broncogénico
42
Dx
Neumotorax, hay hiperclaridad
43
Patrón tipico de neumonía por COVID-19 en TC
Conslidación en vidrio esmerilado y empedrado loco
44
Estudio ideal para diagnosticar Tromboembolia pulmonar
Angiotomografía
45
Estudio más económico para diagnosticar fracturas costales
Rayos X
46
Datos radiológicos que sugieren insuficiencia cardiaca, excepto: Derrame Pleural Líneas B de Kerley Hiperclaridad Cardiomegalia
Hiperclaridad
47
Son datos radiológicos de ENFISEMA PULMONAR, excepto Corazón en gota Aumento de marcas broncovasculares Hiperclaridad Aplanamiento de diafragma
Aumento de marcas broncovasculares
48
Patrón radiográfico encontrado en Neumotórax
Hiperclaridad
49
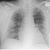
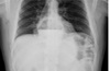
Dx
Neumonía
50
¿Que es la Atelectasia pulmonar?
Colapso o expansión incopleta de un segmento o lóbulo pulmonar
51
Son hallazgos sugestivos de Carcinoma Broncogénico, excepto Puede asociarse a adenopatías Lesión calcificada Suele encontrarse en lóbulos superiores Nódulo espiculado
Lesión calcificada
52
Dx
Esplenomegalia
53
Dx
OBSTRUCCIÓN DE INTESTINO DELGADO
54
UTILIDAD DEL DOPPLER DE VENA PORTA EN CIRROSIS
DIAGNOSTICAR HIPERTENSION PORTAL
55
METODO DE ESTUDIO MAS UADO PARA EVALUAR LA PELVIS FEMENINA
USG
56
ES EL MEJOR METODO DE IMAGEN PARA DIAGNOSTICAR CANCER DE PROSTATA
RESONANCIA
57
ESPACIO RETROPERITONEAL DONDE SE ENCUENTRA EL PANCREAS
PARARRENAL ANTERIOR
58
ES FALSO EN RELACION AL PAPEL DEL ULTRASONIDO EN PIELONEFRITIS EL RIÑÓN PUEDE ESTAR AGRANDADO AYUDA A DESCARTAR COMPLICACIONES ES EL MEJOR MÉTODO DIAGNOSTICO NO SIEMPRE MUESTRA DATOS
ES EL MEJOR MÉTODO DIAGNOSTICO
59
9
Psoas
60
Dx
OBSTRUCCIÓN DE COLON
61
MÉTODO DE IMAGEN CON MAYOR SENSIBILIDAD Y ESPECIFICIDAD PARA VALORAR APENDICITIS
TC
62
MÉTODO DE IMAGEN CON MAYOR SENSIBILIDAD Y ESPECIFICIDAD PARA VALORAR LITIASIS VESICULAR
USG
63
DATOS RADIOGRAFICOS DE PANCREATITIS AGUDA, EXCEPTO a) Signo del colon cortado b) Aumento del espacio gastrocólico c) Derrame pleural derecho d) Calcificaciones en epigastrio e) Asa centinela
C
64
SIGNO RADIOLOGICO CLASICO DE CANCER DE COLON EN UN ESTUDIO DE COLON POR ENEMA
Manzana mordida
65
NO ES UN DATO RADIOLOGICO DE APENDICITIS AGUDA MIGAS DE PAN BORRAMIENTO DEL PSOAS CALCIFICACIONES EN EPIGASTRIO ASA CENTINELA
Calcificaciones en epigastrio
66
MÉTODO DE IMAGEN MAS EFICAZ PARA EVALUAR LITIASIS URINARIA E HIDRONEFROSIS
TC
67
DATOS QUE PODEMOS ENCONTRAR POR TOMOGRAFIA EN UN PACIENTE CON PIELONEFRITIS, EXCEPTO: AREAS NO CAPTANTES DEL CONTRASTE EN CUÑA DISMINUCIÓN DE TAMAÑO GRASA SUCIA PERIRRENAL PARÉNQUIMA "RAYADO"
Disminución de tamaño
68
En la evaluación de una radiografía ósea, la C en la mnemotecnia ABCDE indica que debemos evaluar.
Corazon, campos pulmonares
69
Es un dato que sugiere desgarro del manguito rotador en una radiografia, excepto Engrosamiento de tejidos blandos Espacio subacromial menor a 7 mm Irregularidad de la cabeza humeral Osteofitos acromioclaviculares
Espacio subacromial menor a 7 mm
70
Estructura que se lesiona en el codo de golfista
tendón común de los flexores
71
Es el nervio involucrado en el Síndrome del Tunel del carpo
Mediano
72
Método útil para diagnosticar tenosinovitis de De Quervain
USG
73
Proyección radiográfica donde podemos diagnosticar pinzamiento femoroacetabular tipo Cam
Popel
74
Son datos de Coxartrosis, excepto: Esclerosis ósea Quistes subcondrales Osteopenia Disminución del espacio articular
Ostopenia
75
Es FALSO en relación a la utilidad de la RX en la evaluación del desgarro menisco Se puede apreciar el menisco con claridad Se puede apreciar calcificación del menisco Permite ver datos secundarios Se aprecia edema de tejidos blandos
Se puede apreciar el menisco con claridad
76
Estructuras que más se lesionan en la esguince del tobillo
Ligamentos laterales
77
Es FALSO en relación al papel de los Rayos X en la esguince del tobillo Permite descartar fractura Muestra edema de tejidos blandos Existe reducción del espacio peroneo astragalino Muestra bostezo en las proyecciones con estrés
Reducción el espacio (es aumento)
78
CURVATURA NORMAL DE LA COLUMNA CERVICAL
Lordosis
79
ESTAS ESTRUCTURAS FORMAN LA IMAGEN DEL "PERRITO ESCOCÈS EN UNA RADIOGRAFIA OBLICUA DE LA COLUMNA LUMBAR, EXCEPTO: APÓFISIS ESPINOSA DISCO INTERVENTRICULAR APOFISIS ARTICULAR PARS INTERARTICULARIS
Disco Inter ventricular
80
A PARTIR DE CUANTOS GRADOS DE CURVATURA SE DIAGNOSTICA ESCOLIOSIS?
10
81
DEFECTO EN LA FORMACION VERTEBRAL QUE OCURRE EN LA VERTEBRA EN MARIPOSA
NO SE UNEN LOS CENTROS DE OSIFICACIÓN
82
ES FALSO EN RELACIÓN A ESPINA BÍFIDA: ES MÁS COMÑUN A NIVEL DORSAL PUEDE SER ASINTOMÀTICA SE PUEDE ASOCIAR A TRISOMIAS PUEDE OCURRIR POR DÉFICIT DE FOLATOS EN LA MADRE
Es común a nivel dorsal
83
DATO CARACTERISTICO DE UNA FRACTURA DE CRANEO POR RX
Bordes suaves
84
ES EL MEJOR ESTUDIO PARA DIAGNOSTICAR FRACUTRA COSTAL
RX
85
SITIO DONDE NO SE BUSCA LIQUIDO LIBRE EN EL ULTRASONIDO FAST
Mesogastrio
86
DATOS POR RXY TC DE FRACTURA VERTEBRAL, EXCEPTO
Edema óseo
87
FRACTURA DE LEFOR TQU REPRESENTA UN DEFECTO EN LA UNION CRANEOFACIAL
Tipo III
88
Dx
Hematoma subdural
89
CARACTERISTICAS DE LA FRACTURA DE COLLES, EXCEPTO:
Desviación palmar de la epífisis
90
FRACTURA DE WEBER QUE OCURRE A NIVEL DEL PLAFÓN TIBIAL
B
91
ES FALSO EN RELACIÓN A LA LUXACIÓN DEL HOMBRO SE ASOCIA A LESIÓN DE HILL SACHS ES MÁS COMÚN POSTERIOR SE ASOCIA A LESIÓN DE BANKART O SE DEBE A TRAUMA DE ALTO IMPACTO
Es más común posterior
92
Dx
Hematoma epidural
93
NOMBRE DE LA FRACTURA DE LA BASE DEL QUINTO METATARSIANO
Jones
94
SE RECOMIENDA SOLICITAR RADIOGRAFIA AP Y OBLICUA PARA BUSQUEDA DE FRACTURA EN ESTAS REGIONES, EXCEPTO
Tobillo
95
TODOS LOS TIPOS DE FRACTURA MENCIONADOS SON: CORRECTOS, EXCEPTO ESPIRAL, LINEAL, CERRADA BORRADA, EN MARIPOSA, CURVEADA EXPUESTA, TRANSVERSA E IMPACTADA CERRADA, EN TALLO VERDE, SEGMENTARIA
Borrada, en mariposa curveada
96
Fractura más común del pie
Lisfranc
97
METODOS DE ESTUDIO UTILES PARA EVALUAR DESGARRO MUSCULAR
US y RM
98
SON TENDONES DEL MANGUITO ROTADOR, EXCEPTO
Paraespinoso
99
LA LUXACIÓN DEL CODO SE PUEDE ASOCIAR A LO SIGUIENTE, EXCEPTO: FRACTURA DE LA CORONOIDES LESION DE LIGAMENTOS CODO DE GOLFISTA LESIÓN NERVIOSA
Codo de golfista
100
LIGAMENTO DEL TOBILLO QUE SE LESIONA CON MAYOR FRECUENCIA PERONEO TIBIAL ANTERIOR PERONEO CALCÀNEO PERONEO ASTRAGALINO ANTERIOR PERONEO ASTRAGALINO POSTERIOR
PERONEO ASTRAGALINO ANTERIOR
101
DATOS POR RX QUE SUGIEREN ROTURA DEL TENDON DE AQUILES, EXCEPTO
Signo del bostezo
102
El mejor método para evaluar el ligamento cruzado anterior es:
RM
103
QUE SIGNIFICA EL DIAGNOSTICO BI-RADS2
Hallazgo benigno
104
MEJOR METODO DE ESTUDIO PARA EVALUAR MIOMATOSIS UTERINA
USG endovaginal
105
NO ES UN TEJIDO QUE CONSTITUYE PARTE DE LA MAMA
Cartilaginoso
106
NO ES UNA INDICACION PARA REALIZAR MASTOGRAFIA
MUJER MENOR DE 35 ANOS SIN ANTECEDENTE FAMILIAR DE CÁNCER
107
NO ES UN DATO CLÍNICO TIPICO DE OVARIO POLIQUISTICO OBESIDAD DISMENORREA AMENORREA INFERTILIDAD
DISMENORREA
108
A PARTIR DE QUE SEMANA DE GESTACIÓN SE DEBE SOLICITAR ULTRASONIDO ENDOVAGINAL
4a semana
109
NO ES UN FACTOR DE RIESGO PARA EMBARAZO ECTOPICO MULTIPARIDAD DIU ENDOMETRIOSIS ENFERMEDAD INFLAMATORIA PÉLVICA
Multiparidad
110
ESTE TIPO DE CALCIFICACIONES SON VISIBLES EN MASTOGRAFÍA Y SE ASOCIAN A CANCER DE MAMA GRUESAS Y GRANDES EN PALOMITA DE MAIZ PUNTIFORMES DISPERSAS PEQUEÑAS Y PLEOMÓRFICAS
Pequeñas y pleomórficas
111
NO ES UNA INDICACION PARA REALIZAR ULTRASONIDO DE MAMA TAMIZAJE PARA DETECCIÓN DE CÁNCER EN MAYORES DE 40 AÑOS MUJER CON MASA PALPABLE HOMBRE CON MASA PALPABLE MUJER MENOR DE 35 AÑOS SIN ANTECEDENTE FAMILIAR DE CÁNCER
112
No es una causa de oligohidramnios: ATRESIA ESOFAGICA FETAL ROTURA DE MEMBRANAS ANOMALIAS RENALES FETALES EMBARAZO POSTERMINO
Atresia esofagica fetal
113
ES LA FRACTURA DE SALTER MAS COMÚN
II
114
DATOS DE ENTEROCOLITIS NECROTIZANTE POR RX
SiGNO DEL COLON CORTADO
115
CAUSA MAS COMUN DE OBSTRUCCION INTESTINAL EN EL NEONATO
ENFERMEDAD DE HIRSCHPRUNG
116
NO ES CARACTERISTICA DE LA TETRALOGIA DE FALLOT
HIPERTROFIA DEL VENTRÍCULO IZQUIERDO
117
PATOLOGIA PULMONAR CONGENITA DEBIDA AL DEFICIT DE SURFACTANTE PULMONAR
ENFERMEDAD DE MEMBRANA HIALINA
118
PATOLOGIA PULMONAR CONGENITA ASOCIADA AL NACIMIENTO POR CESAREA
TAQUIPNEA TRANSITORIA DEL RECIEN NACIDO
119
NO ES UN HALLAZGO RADIOLÓGICO COMUN EN ASMA ESTUDIO NORMAL CONSOLIDACIÓN PARCHEADA HEMIDIAFRAGMA PLANO AUMENTO DE ESPACIO RETROESTERNAL
CONSOLIDACIÓN PARCHEADA
120
ORGANO MEDIASTINAL QUE SE MANIFISTA POR EL SIGNO DE LA VELA Y DE LA OLA
TIMO
121
NO ES UJNA MEDICION RADIOLOGICA PARA EVALUAR LUXACION CONGENITA DE CADERA
LINEA DE FERGUSON
122
ES FALSO EN RELACION AL PAPEL DEL ULTRASONIDO EN LA EVALUACION DE LUXACION CONGENITA DE CADERA: SE RECOMIENDA HACER DESPUES DE LOS 6 MESES ES DINAMICO TIENE ALTA SENSIBILIDAD ES EN TIEMPO REAL
SE RECOMIENDA HACER DESPUES DE LOS 6 MESES
123
No es una de las 5 densidades radiológicas a) Grasa b) Aire c) Hueso d) Sangre
D
124
Es un tipo de contraste hidrosoluble a) No iónico b) Ionizante c) Baritado d) Anecóico
A
125
Cavidad cardíaca NO valorable en tele de tórax a) Aurícula derecha b) Ventrículo derecho c) Ventrículo izquierdo d) Orejuela izquierda e) Aurícula izquierda
E
126
Son subtipos de bronquiectasias, excepto a) Cilíndricas b) Varicosas c) Atelectásica d) Quísticas e) Tubulares
C
127
Son signos de coartación aórtica a) Hiperclaridad pulmonar b) Westermark y joroba de Hampton c) Botón pulmonar prominente d) Botón aórtico prominente e) Signo del 3 y escotaduras costales
E
128
Estructura localizada en el mediastino posterior a) Esófago b) Corazón c) Cayado aórtico d) Timo e) Vena Cava superior
A
129
Entidad que representa la causa más común de un patrón de consolidación o alveolar en RX a) fibrosis pulmonar b) Neumonía c) Atelectasia d) Metástasis e) Derrame pleural
B
130
Estructura localizada en el mediastino anterior a) Esófago b) Corazón c) Cayado aórtico d) Timo e) Vena Cava superior
D
131
Cual de los siguientes no es una causa de aire libre subdiafragmático en RX a) Apendicitis b) Úlcera gástrica c) Colecistitis d) Cirugía reciente e) Enfermedad diverticular
C
132
Datos que sugieren derrame pleural masivo excepto a) Retracción de la tráquea b) Desplazamiento del mediastino c) Borramiento del ángulo cardiofrénico d) Borramiento del ángulo costofrénico e) Desplazamiento del corazón
A
133
Dx
Fibrosis pulmonar
134
dx
COVID 19
135
Son hallazgos comunes en carcinoma broncogénico en RX, excepto a) masa en lóbulos superiores b) Masa espiculada c) Nódulo menor de 2.5 cm a) COVID-19 d) Presencia de adenopatías e) Nódulo solitario
C
136
Patrón radiológico donde ocurre atropamiento de aire intra o extra pulmonar a) Quístico b) Destructivo c) Híperclaridad d) Alveolar e) Reticular
C
137
Agente etiológico bacteriano más común de neumonía adquirida en la comunidad a) Streptococcus pneumoniae b) COVID-19 c) Mycobacterium tuberculosis d) Staphylococcus aureus e) Pseudomonas aeruginosa
A
138
Es el signo radiológico clásico de Cáncer de Colon en un estudio de Colon por Enema a) Aumento de la densidad de la articulación sacroilíaca b) Manzanamordida c) Mickey mouse d) Borramiento del psoas e) Signo del grano de café
B
139
Dx
Neumonía
140
Son datos de Pancreatitis por RX, EXCEPTO a) Signo del colon cortado b) Aumento del espacio gastrocólico c) Derrame pleural derecho d) Calcificaciones en epigastrio e) Asa centinela
C
141
Lesión renal benigna NO neoplásica más común Litiasis Angiomiolipoma Quistes Carcinoma de células renales Carcinoma de células transicionales
Quistes
142
Cual es el enunciado correcto en relación a la Pielonefritis Aguda Es más común en hombres jóvenes El ultrasonido es el mejor método para su estudio. La tomografía permite descartar complicaciones asociadas En los estudios de imagen el riñón se ve más pequeño. Presenta cicatrización en la corteza renal
La tomografía permite descartar complicaciones asociadas
143
Dx
Fecaloma
144
No sirve para evaluar diverticulos a) US b) Con un por enema c) RM d) TC simple e) TC contrastada
A
145
Son espacios de retroperitoneo, EXCEPTO a) Suprarrenal b) Perirrenal c) Pararrenal anterior d) Pararrenal posterior
A
146
No es una indicación para solicitar serie esofagogastroduodenal o trago de bario Reflujo gastroesofágico Hernia hiatal Estenosis pilórica Coledocolitiasis Acalasia
Coledocolitiasis
147
No es una indicación para solicitar Cistografía a) Neoplasias b) Litiasis c) Cistocele d) Reflujo vesicoureteral e) Incontinencia
B
148
Es el estudio indicado para búsqueda de líquido libre por trauma cerrado de abdomen a) US pélvico b) USFAST c) TC d) RM e) RX de abdomen de pie
B
149
Es el estudio radiológico indicado para evaluar la uretra masculina a) Utotomografía b) US c) Urografía excretora d) Cistograma e) Uretrograma
E
150
Es el método de imagen más rápido, económico y accesible para evaluar litiasis urinaria e hidronefrosis a) US b) TC c) RM d) RX e) Fluoroscopía
B
151
Son características de los litos urinarios, excepto a) 75% son de calcio b) Pueden ser ovoides c) Pueden ser coraliformes d) Son redondeados y laminados e) Se presentan en personas de 30 a 60 años
D
152
Cual de las siguientes no es una indicación para la Rx de abdomen de pie a) Búsqueda de aire libre intraabdominal b) Búsqueda de asa centinela c) Búsqueda de calcificaciones d) Búsqueda de niveles hidroaéreos e) Búsqueda de cualquier patología abdominal
c
153
Cuál de los siguientes no es una víscera hueca, que contenga gas de forma habitual a) Vejiga b) Estómago c) Colon d) Duodeno e) Recto
A
154
No es un estudio de RX contrastado de abdomen a) Serie esofagogastroduodenal b) Colon por enema c) Colangiografía d) Histerosalpingografía e) Trago de bario
D
155
Las proyecciones radiográficas de PANCOAST y de POPEL son útiles para evaluar niveles hidroaéreos y aire libre en pacientes postrados a) Verdadero b) Falso
V
156
Se llama así cuando existe protrusión de tejido meníngeo a través de la espina bífida a) Mielomeningocele b) Lipomeningocele c) Meningocele d) Lipocele
Meningocele
157
Cuál de los siguientes métodos de imagen no suele utilizarse para dx rotura del tendón de aquiles a) Rx b) US c) RM d) PET
D
158
No es una característica de las vértebras cervicales a) Forámenes vertebrales b) Apófisis espinosa bífida c) Conducto raquídeo muy estrecho d) Apófisis unciformes
C
159
No es una característica de las vértebras dorsales a) Tienen fosita costal b) Apófisis espinosa larga y oblicua c) Apófisis transversas largas d) Cuerpo vertebral grande y fuerte
C
160
Son datos imagenológicos que se asocian a enfermedad distal degenerativa excepto a) Disminución de altura del cuerpo vertebral b) Disminución de la densidad del cuerpo vertebral c) Aumento de la densidad de plataformas vertebrales d) Aumento de la altura del cuerpo vertebral
D
161
Es una lesión que se presenta en la luxación del hombro a) Slap b) Hill-Sachs c) Pinzamiento d) Avulsión
B
162
Proyecciones radiográficas para evaluar espondilolistesis a) AP b) Lateral c) Dinámicas d) Oblicuas
C
163
No es un tipo de pinzamiento femoroacetabular a) Pincer b) Oblicuo c) CAM d) Mixto
B
164
Primer método dx para identificar espina bífida a) RM b) US c) TC d) RX
B
165
Es el tumor óseo benigno más común a) Osteosarcoma b) Encondroma c) Osteoma d) Paget
C
166
Es el mejor método de estudio para valorar las estructuras del hombro a) Rx b) TC c) US d) RM
D
167
Es otro nombre que recibe la patología llamada “codo de tenista” a) Epicondilitis lateral b) Epicondilitis medial c) Epicondilitis dorsal d) Epicondilitis posterior
A
168
Fractura de muñeca llamada “en dorso de tenedor” a) Fractura de Smith b) Fractura de Colles c) Fractura de Monteggia d) Fractura de Jones
B
169
¿Cuál de los siguientes tendones NO forma parte del manguito rotador? a) Subescapular b) Redondo menor c) Infraespinoso d) Pectoral mayor
D
170
Proyecciones radiográficas para evaluar espondilolisis a) AP b) Lateral c) Dinámicas d) Oblicuas
D
171
Es el nombre de la clasificación de las fracturas de tobillo a) Bankart b) Weber c) Williams d) Burst
B
172
Fractura de la base del quinto metatarsiano a) Fractura de Smith b) Fractura de Colles c) Fractura de Monteggia d) Fractura de Jones
D
173
Todos estos tipos de cáncer suelen dar metástasis a columna con frecuencia, excepto: a) Mama b) Colon c) Próstata d) Pulmón
B
174
Es falso en relación al hemangioma vertebral a) Se puede diagnosticar en rx b) El signo de la “tela de pana” es característico c) Es la neoplasia maligna más común de las vértebras d) Se puede dx en RM
C
175
A partir de cuántos grados según el método de Cobb, se dx escoliosis a) 10° b) 5° c) 20° d) 30°
A
176
Tipo de fractura más común de cadera a) Subtrocantérica b) Transtrocánterica c) Subcapital d) Capital
B
177
Tipo de fractura lumbar más común a) Por compresión b) Por desplazamiento c) Conminuta d) Por estallamiento
A
178
NO es un tejido que constituye parte de la mama a) Fibroso b) Óseo c) Glandular d) Graso
B
179
Órgano mediastinal que se presenta en RX con el “signo de la ola” y “signo de la vela” a) Corazón b) Timo c) Diafragma d) Tiroides
B
180
A partir de qué semana de gestación se debe solicitar US endovaginal a) 1° semana b) 2° semana c) 3° semana d) 4° semana
D
181
Son el tipo de calcificaciones visibles en mastografía que se asocian a cáncer de mama a) Gruesas b) Pequeñas y pleomórficas c) En palomita de maíz d) Puntiformes
B
182
Son causas de oligohidramnios excepto: a) Atresia esofágica fetal b) Rotura de membranas c) Anomalías renales fetales d) Embarazo post término
A
183
Son indicaciones para realizar US excepto: a) Masa palpable b) Mujer menor de 35 años sin antecedentes familiares c) Tamizaje para detección de cáncer en mayores de 40 años d) Guía para toma de biopsia
C
184
Mejor estudio de imagen para evaluar la próstata a) US vesical b) RM c) US rectal d) TC
RM
185
Son datos clínicos típicos de síndrome de ovario poliquístico, excepto: a) Amenorrea b) Obesidad c) Dismenorrea d) Infertilidad
c
186
Datos radiológicos de enterocolitis necrotizante, excepto: a) Signo del colon cortado b) Distensión de asas c) Pneumatosis d) Asa centinela
a
187
Son indicaciones para realizar mastografía, excepto: a) Tamizaje para detección de cáncer en mayores de 40 años b) Mujer con implantes mamarios c) Mujer mayor de 35 años con antecedentes familiares directos de cáncer d) Mujer menor de 35 años sin antecedentes familiares
d
188
Es el dx diferencial más común de torsión testicular a) Seminoma b) Hidrocele c) Varicocele d) Orquiepididimitis
d
189
Tipo de fractura de Salter más común a) I b) II c) III d) IV
b
190
Zona prostática donde es más común la hipertrofia benigna a) Central b) Transicional c) Periférica d) Fibromuscular
B
191
Es el mejor estudio para evaluar miomatosis uterina a) TC b) RM c) US d) US endovaginal
US endovaginal
192
En el dx BI-RADS 4 significa a) Hallazgos probablemente malignos b) Hallazgos probablemente benignos c) Hallazgos con malignidad conocida por biopsia d) Hallazgos típicamente malignos
A
193
Método dx ideal para búsqueda de cáncer testicular a) US b) RM c) TC d) RX
A
194
Es el Gold Standard en el dx de enterocolitis a) TC b) RX c) RM d) US
A
195
Patología pulmonar congénita secundaria a déficit de surfactante pulmonar a) Neumonía neonatal b) Aspiración de meconio c) Taquipnea transitoria del recién nacido d) Enfermedad de membrana hialina
D
196
Es falso en relación al varicocele a) Es más común en testículo derecho b) Consiste en la dilatación de las venas del plexo pampiniforme c) El US Doppler es el mejor estudio para evaluarlo d) La imagen típica es de “saco de gusanos”
A
197
Son hallazgos rx comunes en asma excepto: a) Estudio normal b) Consolidación parcheada c) Hemidiafragma plano d) Aumento del espacio retroesternal
B
198
Son características de la tetralogía de fallot excepto: a) Comunicación interventricular b) Estenosis pulmonar c) Aorta cabalgada d) Hipertrofia de ventrículo izquierdo
D
199
Hallazgo de Otitis Media en TC, EXCEPTO a) Opacificación de celdillas mastoideas b) Hiperneumatización de celdillas mastoideas c) Derrame mastoideo d) Erosión del martillo
B
200
NO es un tipo de Holoprosencefalia a) Lobar b) Semilobar c) Eulobar d) Alobar
C
201
Son tipos de hidrocefalia, excepto a) intraventricular b) Intraparenquimatosa c) Extraventricular d) Comunicante
B
202
Son características de las lesiones por Esclerosis Múltiple en RM EXCEPTO a) Aspecto en “Dedos de Dawson” b) Periventriculares y ovoides c) Tienen distribución callo-septal d) En T2 pueden tener aspecto en “black holes”
D
203
Escala usada para el diagnóstico de Cáncer de Tiroides en US a) LI RADS b) TI RADS c) PI RADS d) BI RADS
B
204
Tumor cerebral infantil maligno más común y de peor pronóstico a) Meningioma b) Meduloblastoma c) Macroadenoma d) Astrocitoma pilocítico
B
205
Es Verdadero en relación al linfangioma a) Ocurre secundario a una infección b) Se aprecia como una masa quística c) No se puede diagnosticar antes del parto d) Es un tumor lleno de cartílago
B
206
Es Falso en relación al desprendimiento de retina a) Puede asociarse a neoplasias b) La retina presenta aspecto triangular c) No se puede diagnosticar por US d) Se aprecia hiperdensidad en TC
C
207
Es Falso en relación al diagnóstico de EVC isquémico a) El signo de la ACM hiperdensa es sugestivo de isquemia b) La RM es el estudio con mayor sensibilidad c) Hasta el 60% de estudios es normal d) Se debe realizar RM en urgencias en todos los pacientes
D
208
De los niveles ganglionares del cuello, corresponde al mediastinal superior a) III b) II c) VII d) VI
C
209
NO es una característica del hematoma epidural a) Se asocia a traumatismo b) Es de origen arterial c) Aspecto biconvexo d) Aspecto cóncavo
D
210
Es un método terapéutico para Malformaciones Arteriovenosas no rotas a) Dióxido de cloro b) Embolización c) Antihipertensivos d) Clipado
B
211
Es Falso en relación a la Faringoamigdalitis a) La TC ayuda a descartar complicaciones b) Existe edema de mucosa y engrosamiento de paredes c) Siempre deben hacerse estudios de imagen d) Se aprecia el signo de las “amígdalas besándose”
C
212
Método de imagen más rápido y económico para diagnosticar adenoiditis a) RX b) TC c) RM d) US
A
213
Es Falso en relación a la Sialolitiasis a) Se pueden diagnosticar accidentalmente en RX b) Se valora mejor en TC c) Se valora mejor en RM d) Es más común en glándulas submandibulares
C
214
Es Falso en relación al Bocio a) Se refiere a una glándula con volúmen mayor de 18cc b) Siempre se asocia a hiper o hipotiroidismo c) Puede ser difuso o nodular d) Significa “Crecimiento Tiroideo”
B
215
2° mejor estudio para evaluar estructuras del hombro
US el primero rm
216
Característica de las vértebras cervicales:
Cuerpo pequeño
217
Signo de la espondilolisis en rx:
Perrito escocés o perrito capitado
218
Rx en las que se puede evaluar el perrito escocés:
Oblicua
219
¿Qué quiere decir BI-RADS 1?
Normla
220
¿Cómo se dx el varicocele?
US Doppler
221
Enfermedad que se puede presentar cuando el líquido amniótico sale verde, es decir, aspiación de líquido amniótico pintado de meconio:
Aspiración de meconio
222
La resonancia emite radiación a. Falso b. Verdadero
f
223
Modalidad específica y sensible para datos de cólico renal a. USG b. Tomografía de abdomen c. RM Contrastada d. Rx
B
224
Qué describe unidades hounsfield a. estratificación de pancreatitis aguda b. características de lesión ósea c. diferentes niveles de radiodensidad en tejidos humanos d. estratificación de fracturas
C
225
Característica de quiste por USG a. Anecoico con reforzamiento acústico posterior b. Anecoico con sombra acústica posterior c. Ecogénica con reforzamiento acústico post d. Ecogénica con sombra acústica posterior
A
226
Característica de cálculo por USG a. Anecoico con reforzamiento acústico posterior b. Anecoico con sombra acústica posterior c. Ecogénica con reforzamiento acústico post d. Ecogénica con sombra acústica posterior
D
227
Método ideal para evaluar tendones a. RM b. TC c. USG d. RX
A
228
Componente principal de MC que se administra en fluoroscopia y TC a. Yodo b. Silicio c. K d. Mg
A
229
Método ideal para evaluar hígado a. RM b. USG c. TC d. Rx
B
230
Modalidad de imagen que usa intensidades a. USG b. TC c. RM d. RX
C
231
Modalidad de imagen que usa opacidades a. RX b. RM c. USG
A
232
5 densidades radiológicas a. Metal, hueso, grasa, sangre y aire b. Metal, hueso, grasa, agua, aire c. Metal, Grasa, calcificación, hueso, tej
B
233
Cuál trabajador está más expuesto a radiación a. Personal de hemodinamia b. Personal de TC c. Personal de sala simple d. Personal de RM
A
234
Cuáles son los factores básicos de protección radiológica a. Tiempo. distancia, blindaje b. Exposición, tiempo y distancia c. Ninguna ant d. Tiempo, posición, protección
A
235
Relación de características de señal en T1 a. Líquido hipointenso, grasa hiperintenso b. Líquido hiperdenso, grasa hiperdensa c. Líquido hipodenso, grasa hiperdensa d. Líquido hiperintenso, grasa hiperintenso.
A
236
. Restricción de RM a. marcapasos, implante coclear, herida por arma de fuego b. Marcapaso, placa metálica, tatuajes c. Px sin ayuno, px en gestación d. Px sx de down y sx de parkinson
A
237
Estudio indicado en px en edo de gravedad con dolor abdominal agudo a. TC b. RM c. USG d. Rx
C
238
Restricción para px de mastografía a. Px con implante, mastectomía b. Px con mastectomía bilateral, erosión cutánea c. Portacat, marcapasos d. Mujer en etapa gestacional, menores de 35a
D
239
Optimización que toda actividad que implique el uso de radiación ionizante debe hacerse con dosis tan bajas como sea posible. a. ALARA b. RADS c. ICRP d. Garantía de calidad
A
240
Relación de características de señal en T2 a. Líquido hiperintenso, grasa hiperintensa b. Líquido hipointenso, grasa hiperintensa c. Líquido hipodenso, grasa hiperdenso d. Líquido hiperdenso, grasa hiperdensa
A
241
Qué es un tesla a. Unidad de densidad magnética b. Unidad de voltaje magnético c. Unidad de inducción magnética y densidad del flujo magnético d. Unidad de medida del sistema nacional
C
242
Periodo de ayuno mínimo y máximo para realizar estudios contrastados a. Mín 6h, no hay máx o Minimo 4 horas maximo 8 horas b. Mín 4h, máx 10 c. Mín 2h, máx 16 d. Mín 6 h, máx 8
A
243
En que sala de dx de imagen no es conveniente entrar con material metálico a. Sala de resonancia b. Sala de tc c. Sala de hemodinamia d. Sala de fluoroscopia
A
244
Bi-rads, al encontrarse este hallazgo clasificado como BI-RADS 3 ¿cuál de las siguientes opciones describe la mejor acción que se debe tomar? a. Seguimiento a 6 meses b. No necesario tomar acción c. Considerar biopsia d. Manejo apropiado
A
245
Clasificación de RADs más usada a. BI-RADS b. CA-RADS c. TI-RADS d. Lung-rads
A
246
El LUNG-RADS qué rango de edad maneja en pacientes con antecedentes de tabaquismo de 30 pkyr o aquellos que dejaron de fumar hace 15 años?
55-80 AÑOS
247
Tomando en cuenta la clasificación CO-RADS ¿Qué sospecha de infección por COVID-19 tendría un co-rads 6?
PCR +
248
en TI-RADS ¿cuando hay que hacer FNA si categoría es TI-RADS 4? a. Si nódulo mide >1 seguimiento y si mide >1.5 b. Si nódulo mide >1.5 seguimiento si mide >2.5 c. >0.5 SEGUMIENTO, >1 FNA d. No es necesario
A
249
Realizando un estudio en tiroides se reporta asimetría en sus lóbulos y un quiste anecogénico de 2 cm que presenta un tabique. De acuerdo a la descripción, tu lo clasificarías como: a. TI-RADS 1 b. TI-RADS 3 c. TI-RADS 2 d. TI-RADS 4
C
250
Clasificación de acuerdo a BI-RADS tendría mastografía de esta px a. bi-rads 1 b. bi-rads 0 c. bi-rads 2 d. bi-rads 5
Birads 5
251
¿Para qué sirven los rads?
Unificar lenguaje entre radiólogos y otros doctores
252
. Qué características evalúan los TI-RADS a. composición, ecogenicidad, márgenes, heterogeneidad b. tamaño, margen, ecogenicidad, composición, forma c. forma, ecogenicidad, flujo sanguíneo, márgenes y composición d. forma, composición, flujo sanguíneo, margen, heterogeneidad
A
253
Al realizar un estudio en una mujer de 32a, encuentra en ovario la alt señalada en imagen, la cual mide 2.5cm. usted lo describe como a. lesión benigna, cuerpo lúteo b. lesión benigna, quiste simple c. lesión maligna, quiste dermoide d. lesión maligna, quiste multilocular con componente líquido
A
254
en LI-RADS de 3-5 ¿A que se refiere HCC? a. Carcinoma hepatocelular b. hígado con cirrosis c. Hígado con esteatohepatitis calcificada d. hígado graso con calcificaciones
A
255
En un estudio de pulmón en px recurrente se observan nódulos sólidos de 5 mm, las cuales no aparecían en último estudio realizado. de acuerdo a esto, elige en qué rango de LUNG-RADS clasificarían hallazgos y que se debe tomar a. Lung-rads 1; TC en 12 ,meses b. Lung rad- 3; Tc en 6 meses c. Lung-rad 2; TC en 12 meses d. Lung-rads 4: TC en 3 meses + PET
C
256
O-RADS sirve para clasificar lesiones en ovario a. Verdadero b. Falso
V
257
. Si se tiene un paciente con una lesión prostática y se ha clasificado como PI-RADS 2, ¿qué DWI score tendrá en la zona periférica?
2
258
Qué estudio se usa para establecer O-RADS
USG transvaginal
259
De acuerdo con Pi-RADS 5 ¿de qué tamaño será la lesión o evidencia de extensión prostática? a. >15 mm b. >9 mm c. >10 mm d. >12 mm
A
260
Al realizar USG, se encuentra una lesión de conformidad heterogénea, con algunas secciones hiperecogénicas. al observar la imagen , lo más probable es que se observe un a. Quiste multilocular con componentes sólidos b. Quiste dermoide c. Quiste multilocular sin componentes sólidos d. Quiste hemorrágico
D
261
¿Qué tipos de RADS existen? a. mama, colón, cabeza y cuello, pulmón,hígado, ovario, próstata y tiroides b. mama, colón, pulmón, útero, próstata y testículos c. mama,colón, cabeza, hígado, pulmón, tiroides, estómago d. mama, colon, pulmón, estómago, ovario, útero, próstata
A
262
Si se tiene un paciente en categoría NI-TADS 2B ¿Qué manejo debería llevarse a cabo? a. seguimiento dentro de 3 meses y repetir PET-scan b. seguimiento dentro de 6 meses y realizar pet scan c. biopsia guiado por imagen o clínica d. seguimiento dentro de 12 meses y realizar pet scan
. seguimiento dentro de 3 meses y repetir PET-scan
263
Que estudio es ?
Rx
264
Plano de corte
Axial
265
Proyeccion
Oblicua y PA
266
Plano del corte
Coronal
267
Región anatómica afectada a. Metacarpo b. Segmento falángico distal c. Componente de muñeca d. No hay región afectada
Metacarpo
268
Región afectada
Metatarso
269
en TI-RADS ¿cuando hay que hacer FNA si categoría es TI-RADS 4? a. Si nódulo mide >1 seguimiento y si mide >1.5 b. Si nódulo mide >1.5 seguimiento si mide >2.5 c. >0.5 SEGUMIENTO, >1 FNA d. No es necesario
A
270
Realizando un estudio en tiroides se reporta asimetría en sus lóbulos y un quiste anecogénico de 2 cm que presenta un tabique. De acuerdo a la descripción, tu lo clasificarías como:
TIRADS 2
271
Qué características evalúan los TI-RADS a. composición, ecogenicidad, márgenes, heterogeneidad b. tamaño, margen, ecogenicidad, composición, forma c. forma, ecogenicidad, flujo sanguíneo, márgenes y composición d. forma, composición, flujo sanguíneo, margen, heterogeneidad
A
272
Al realizar un estudio en una mujer de 32a, encuentra en ovario la alt señalada en imagen, la cual mide 2.5cm. usted lo describe como a. lesión benigna, cuerpo lúteo b. lesión benigna, quiste simple c. lesión maligna, quiste dermoide d. lesión maligna, quiste multilocular con componente líquido
A
273
en LI-RADS de 3-5 ¿A que se refiere HCC? a. Carcinoma hepatocelular b. hígado con cirrosis c. Hígado con esteatohepatitis calcificada d. hígado graso con calcificaciones
A
274
En un estudio de pulmón en px recurrente se observan nódulos sólidos de 5 mm, las cuales no aparecían en último estudio realizado. de acuerdo a esto, elige en qué rango de LUNG-RADS clasificarían hallazgos y que se debe tomar a. Lung-rads 1; TC en 12 ,meses b. Lung rad- 3; Tc en 6 meses c. Lung-rad 2; TC en 12 meses d. Lung-rads 4: TC en 3 meses + PET
C
275
O-RADS sirve para clasificar lesiones en ovario a. Verdadero b. Falso
V
276
Si se tiene un paciente con una lesión prostática y se ha clasificado como PI-RADS 2, ¿qué DWI score tendrá en la zona periférica?
2
277
De acuerdo con Pi-RADS 5 ¿de qué tamaño será la lesión o evidencia de extensión prostática? a. >15 mm b. >9mm c. >10 mm d. >12 mm
A
278
Al realizar USG, se encuentra una lesión de conformidad heterogénea, con algunas secciones hiperecogénicas. al observar la imagen , lo más probable es que se observe un a. Quiste multilocular con componentes sólidos b. Quiste dermoide c. Quiste multilocular sin componentes sólidos d. Quiste hemorrágico
D
279
Si se tiene un paciente en categoría NI-TADS 2B ¿Qué manejo debería llevarse a cabo? a. seguimiento dentro de 3 meses y repetir PET-scan b. seguimiento dentro de 6 meses y realizar pet scan c. biopsia guiado por imagen o clínica d. seguimiento dentro de 12 meses y realizar pet scan
A
280
4 niveles de compresión de raíz vertebral a. foraminal, extraforaminal, nuclear y anular b. anterior, posterior, central y anular c. central, foraminal, nuclear, anular d. central, subarticular, foraminal, extraforaminal
A
281
Diferencias entre micro y macro adenoma hipofisiario
>10 mm macro adenoma o <10mm microadenoma
282
Hallazgos imagenológicos de hemorragia cerebral en TC simple
Desplazamiento de línea media, alt de relación entre sustancia gris y blanda, hiperdensidad del parénquima cerebral
283
causa de hemorragia subdural
vena de galeno y TCE
284
causas hemorragia epidural
a. ruptura meníngea media y fractura pterion
285
Causa de hemorragia subaracnoidea
ruptura de aneurisma y TCE
286
signos tempranos de EVC isquémico por TC
signo de cuerda hiperdensa ACM, hipodensidad del parénquima cerebral, hipodensidad del núcleo lentiforme
287
el estudio corresponde a adulto mayor con
calcificaciones de fascia muscular profunda cervical → benigno
288
diferencia entre protrusión y extrusión
protrusión tiene base amplia, extrusión base estrecha
289
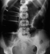
indica que signo se ve en la siguiente imagen de abdomen y que indica
signo de balón de fútbol americano; neumoperitoneo
290
secuencia de RM más sensitiva para detección de infarto cerebral
secuencia de difusión en DWI
291
signo radiológico que se identifica y a qué patología corresponde
signo de cola de ratón; acalasia
292
En estudio de imagen pancreático, se encuentra la siguiente imágen: presencia de colección intrahepática mal definida. En que grado de criterios Balthazar se encuentre
D
293
En TC, el riñón se observa con paredes engrosadas o irregulares y septos con realce. Criterios Bosniak
Clase IV
294
Px masculino de 43a acude a consulta por presentar cervicalgia y radiculopatía, con parestesia en mano derecha tras sufrir un accidente automovilístico por alcance en carretera. Al acudir al hospital, se solicita una rx lat. que anormalidades se observan en imagen
rectificación de lordosis de cervical con tendencia a inversión
295
con qué estudio se determina el área de penumbra en un infarto parenquimatoso cerebral
RM perfusion
296
Causa más común de nódulo pulmonar solitario complejo de ghon granuloma por TB metástasis hamartoma
B