
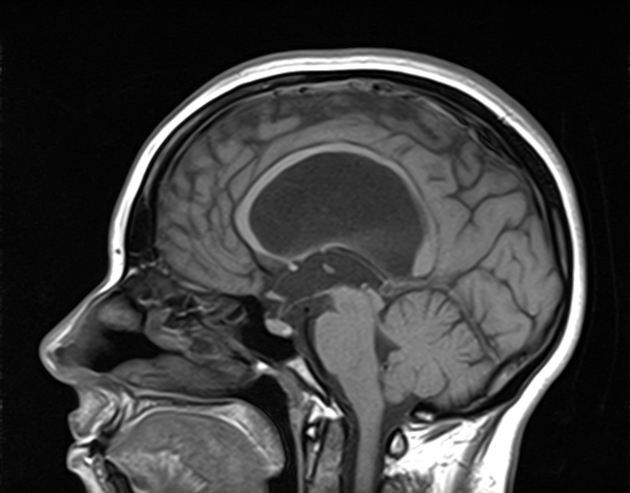
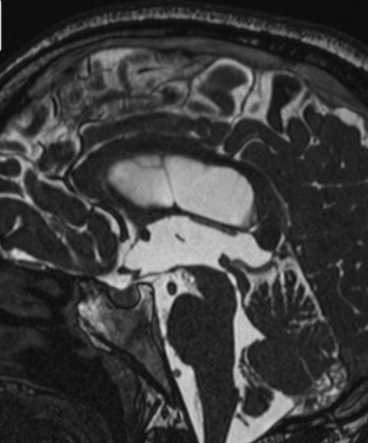
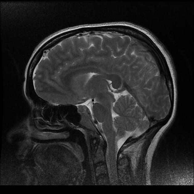
Marked obstructive hydrocephalus due to fourth ventricular outlet obstruction by fine septations

dandy walker malformation
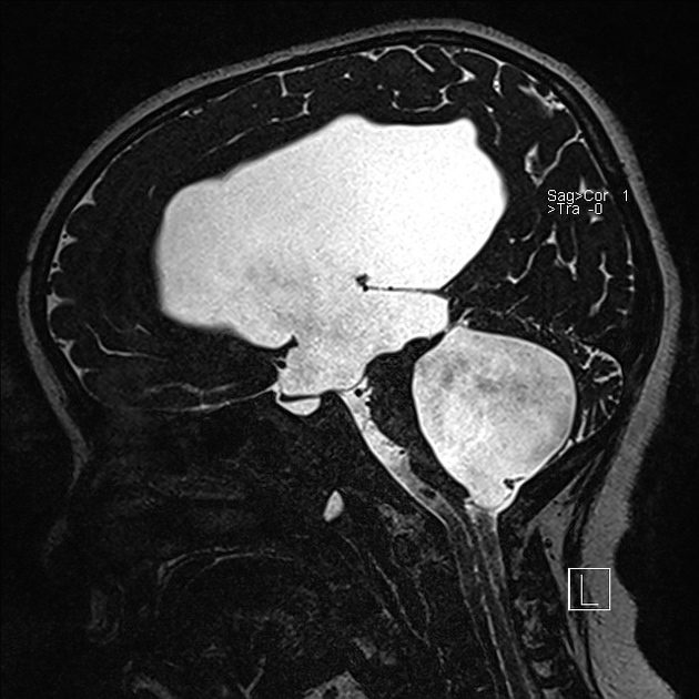
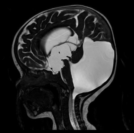
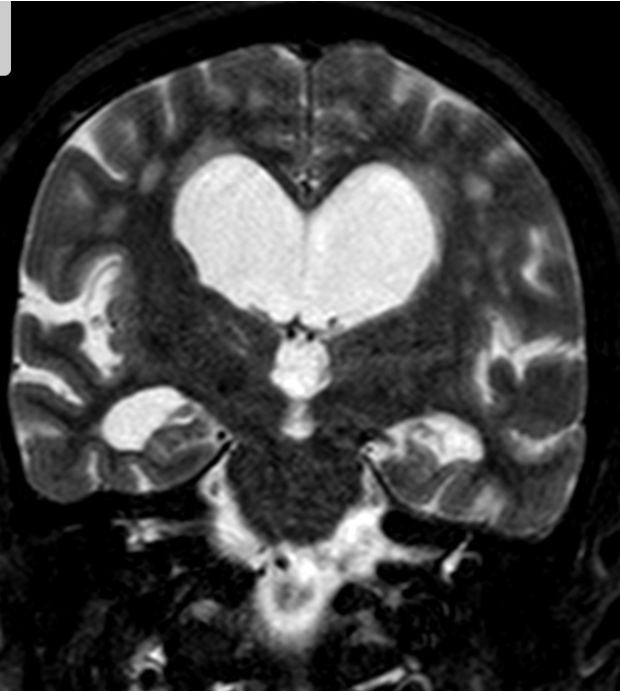
This case illustrates a classic Dandy Walker malformation with associated aqueduct stenosis and obstructive hydrocephalus, a common associated feature
(although not part of the Dandy walker triad:


Usually the ventricular system is dilated as a result of an increased production of CSF (“overproduction hydrocephalus”).
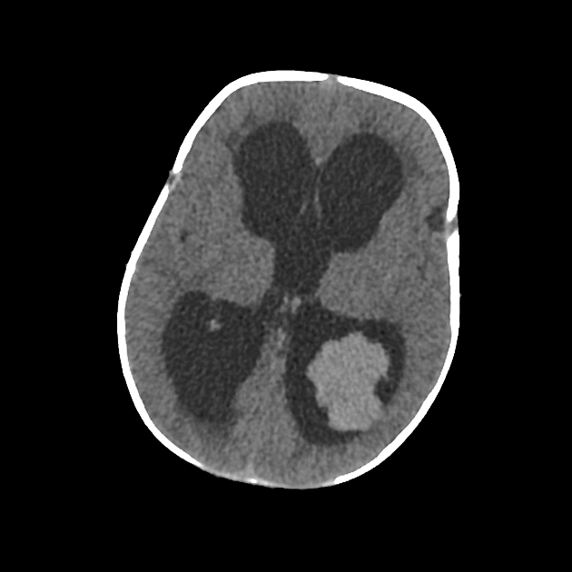
A lobulated hyperdense soft tissue mass with a “cauliflower-like” appearance in the trigone of the left lateral ventricle with intense contrast enhancement. The ventricular system is enlarged.