
Classic EAC cholesteatoma. Axial bone algorithm shows soft tissue density within the medial left EAC with boney erosion and characteristic bone flakes.

40 yo surfer

EAC exostosis


Accessory ossicle
Axial bone CT shows an ovoid bone with cortex and marrow space in the location of the posterior portion of the cartilaginous EAC. No stalk of attachment is visible. Accessory ossicles are rare in this area.

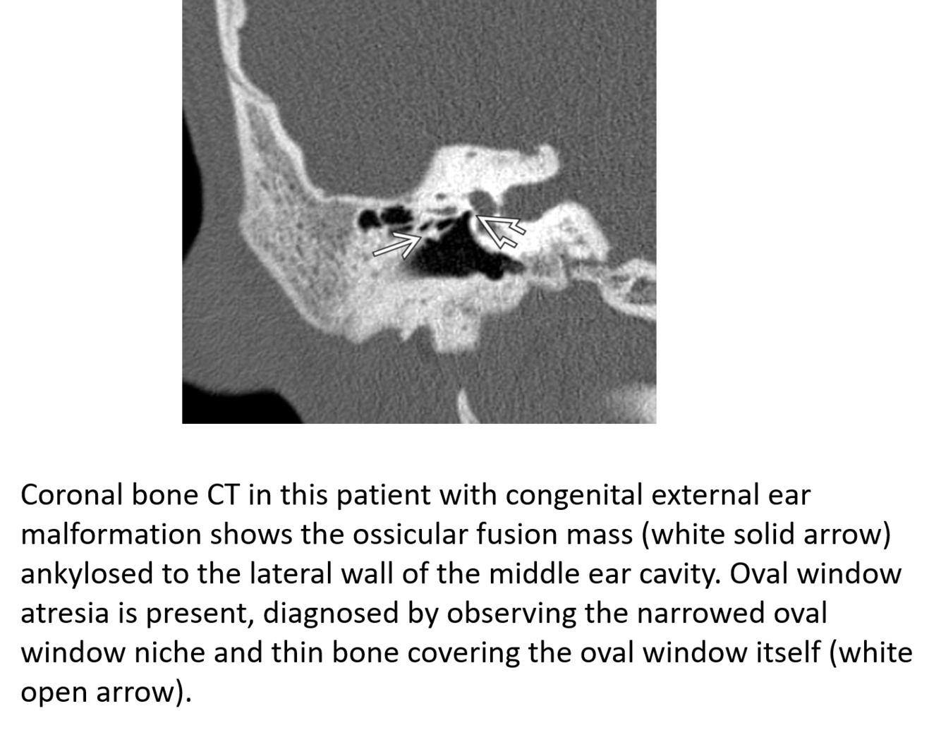
Congenital External and Middle Ear Malformation

50yoM with diabetes.

Necrotizing external otitis
Classic inferior EAC osseous destruction and inflammatory tissue within the medial EAC.
Typical organism is pseudomonas aeruginosa.
95% of adults with NEO have diabetes

Benign soft tissue mass filling and slightly expanding the EAC. No bony erosions.
Abnormal accumulation of keratin.


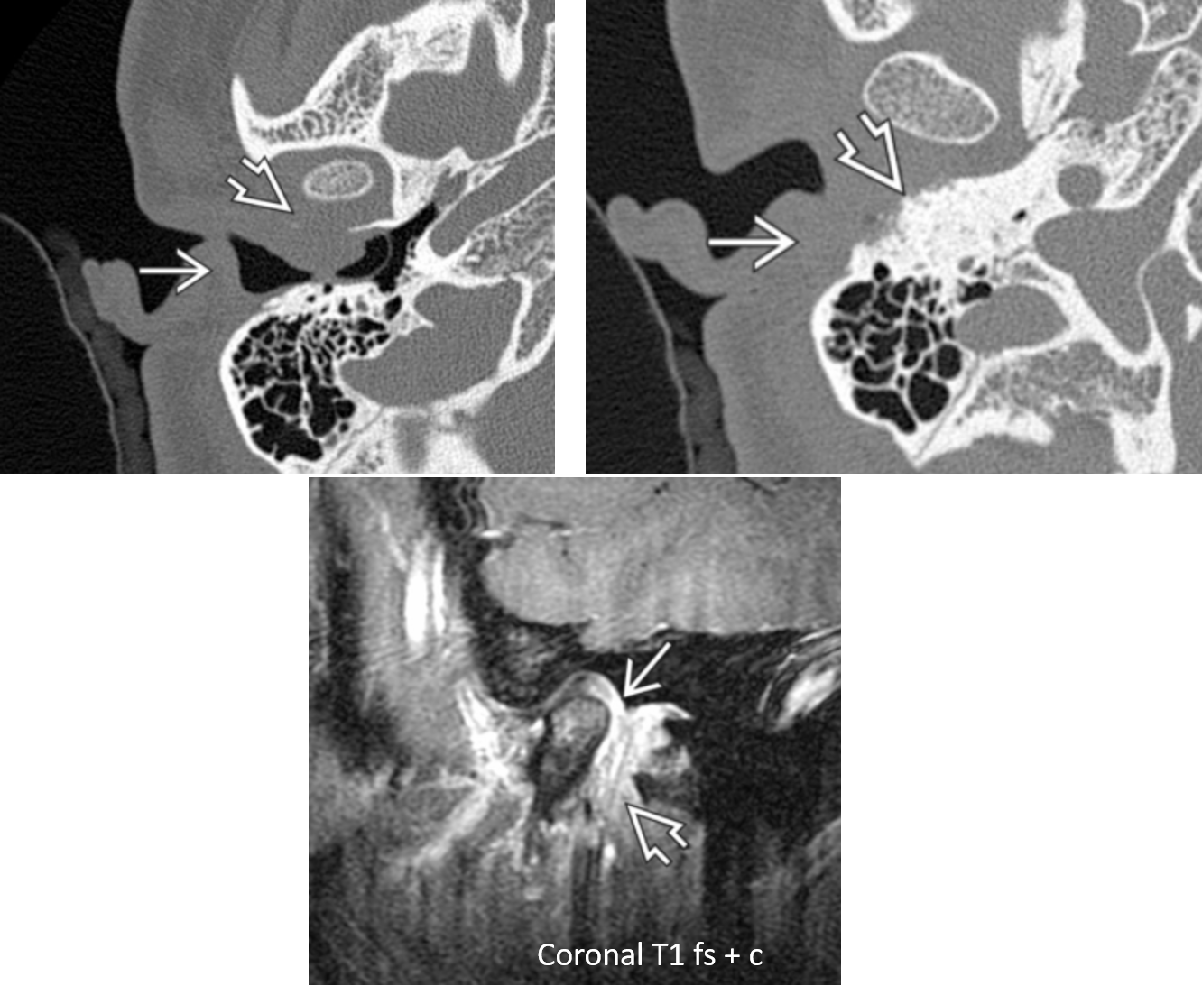
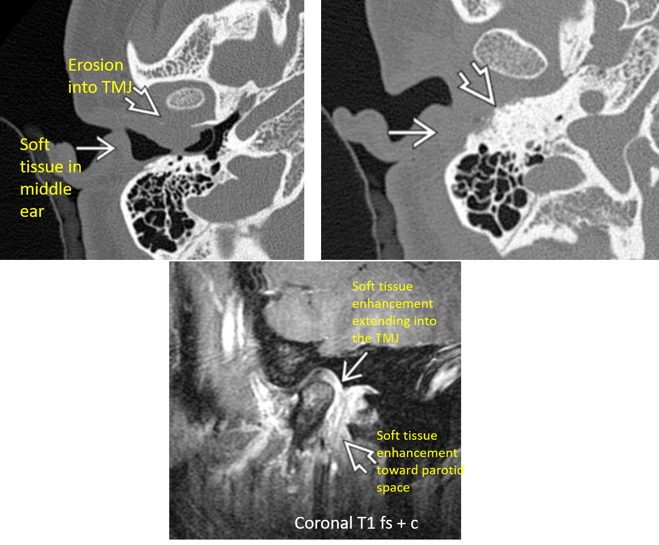
SCC of the EAC on CT and MR

axial bone algorithm CT shows soft tissue density in the EAC with osseous erosion. MR demostrates soft tissue enhancement.
Bone destruction and soft tissue invasion = aggressive malignancy

Medial epitympanic congenital cholesteatoma that erodes portions of the ossicles.
Solid arrow: choleastatoma
open arrow: erosion of the long process of the incus and hub of the stapes
Curved arrow: erosion of the lateral bony margin of the tympanic segment of the facial nerve canal


**Tympanic segment of the facial nerve will always be aberrant in the location of the oval window instead of inferior to the lateral semi-circular canal


Prolapsing facial nerve (protruding intratemporal facial nerve)
Tubular soft tissue prolapsing into oval window niche from undersurface of LSC. Caused by dehiscence of bony covering of the facial nerve.
No enhancement! If enhances then it is a Schwannoma.
May project into oval indow.










glomus jugulare


acquired cholesteatoma in the epitympanum
which semicircular canal gets eroded in the setting of an acuired cholesteatoma in the epitymapnic space?
lateral semicircular canal

what is the association with this diagnosis?

endolymphatic sac tumor. associated with VHL
what percent of VHL patients get endolymphatic sac tumors
15%

otosclerosis (otospongiosis)
demineralization at the fissula ante fenestram

in otosclerosis where does demineralization typically occur?
fissula ante fenestram

s

