
aberrant ICA

aberrant ICA

occipital condyle fracture

dural AVF
Spinal DAVF will have no flow voids in the cord itself, with have funky serpentine vessels surrounding the cord


spinal avm
notice the flow voids in the spiral cord. Spinal DAVF will have no flow voids in the cord itself, with have funky serpentine vessels surrounding the cord

vein of galen malformation
order of frequency of paragangliomas in the head and neck
carotid > jugulare > tympanicum > vagale
what are each of these entities (they are different cases)



cav mal in the conus medullaris
chocolate covered popcorn

what drugs cause PRES?
immunomodulators (imuran, cyclosporine, tacrolimus, interferon), EPO, cisplatin

lymphoepithelial disease; associated with HIV
LEC typically occurs in patients who are HIV positive. The cysts may be unilateral or bilateral and may be associated with diffuse cervical adenopathy. These patients usually present with a nonpainful enlarging neck mass. It may be difficult to differentiate an intraparotid LEC from an enlarging cervical lymph node based on palpation.

warthin tumors

MS in the spine
ependymoma would be CENTRAL

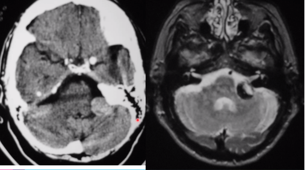
left AICA aneurysm
key is the CTA of the head –> think they are showing an aneurysm

left AICA aneurysm

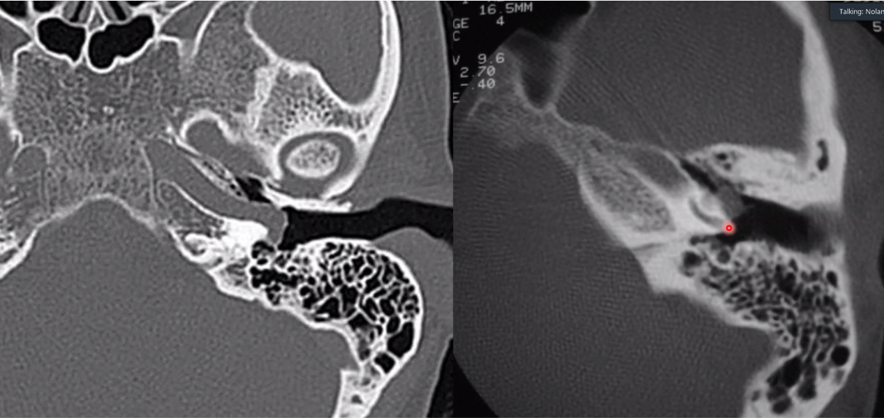
JNA (also known as juvenile angiofibroma)
involes pterygopalatine fossa
consider preop embolization

cholesterol granuloma
The pathogenesis is controversial with two major schools of thought 3,5:
obstruction-vacuum theory: where eustachian tube dysfunction is thought to be the underlying abnormality and causes mucosal edema with repeated episodes of bleeding
exposed marrow theory: where hyperplastic mucosa invades the underlying bone and exposes bone marrow, which in turn bleeds
In either scenario, trapped blood undergoes degeneration and is surrounded by a chronic inflammatory response. There may also be a superimposed infection.

disc extrusion. disc obscures L3 root

subdural injection

how much CSF does an adult produce each day
500 mL/day
*half a liter

superior sagittal sinus thrombosis

interpeduncular cistern
which skull suture closes first?
Metopic suture