What are the stages of plaque development
Intimal cell mass
Insudation of LDL into intimal cell mass
Damaged endothelium allows platelets to adhere to exposed subendothelial collagen stimulating fibrous plaque growth
Angiogenesis of vaso vasorum
Plaque surface ulcerates and thrombus forms on luminal surface

what is are these images demonstrating?
what are the risk factors?

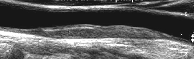
atherosclerotic plaque early stage (Traditionally sonographically we don’t see any changes until step 3, fibrous plaque. Studies have shown intima- medial thickness measurements can “predict” further plaque development. With changes in life style and medication to slow process)
LDL levels
Intimal injury – HTN, smoking, DM
Platelet aggregation – low dose anticoag meds
identify what type of plaque
what are their characteristics?

all Heterogeneous - mixed echoic pattern. Homogeneous is- uniform plaque texture

what are teh 5 carotid plaque types, characteristics and risk of symptoms?

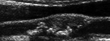
what type of plaqe is shown here?

smooth plaque
what type of plaque is this

irregular, complex. older, has been there longer b/c hyperechoic
what types of ulcerative plaque are there?
what is it a concern for?
Ulceration:
heterogeneous
sharp, irregular borders
≥ 2mm defect
Intraplaque hemorrhage (IPH) from vaso vasorum:
sonolucent region
eggshell pattern
embolism

what are the goals for identifying plaque?
1) identify presence of plaque
2) characterize the plaque (echogenicity, ulcerations)
3) determine percent of stenosis

if stenosis is <60% there are __ ______ changes
what method of imaging do we use?
no hemodynamic
2D or B-mode
If stenois is ___ % the hemodynamic changes are better; provided there is not ___ (3)
what do you compare your mapping of stenosis to?
60%
Proximal stenosis
Distal occlusion
Heart disease
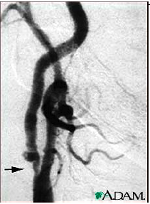
*Compare to “gold standard” angiogram - complex (maps out vascular tree incl circle of willis for surgeon)
if < ___ %, no hemodynamic changes
the velocity will still look pretty normal but will have to use 2D to get the %.

what did they use to base % of stenosis on before they used 2D or B-mode?
how reliable is spectral broadening grading?
0-49% based on presence of spectral broadening
(Original carotid frequency criteria developed before
B-mode quality was improved)
unreliable

what are the Causes for spectral broadening unrelated to stenosis (4)?
Gate placement near wall or outside vessel
Wide gate
Excessive Doppler gain
Poor Doppler angle (>70 degrees)
what does the 2D bulb method grade?
what else is is used to base the % of stenosis w/ this method?
0-49% stenosis
B-Mode image and
cross-sectional diameter calculation

what is the equation used to calculate stenosis usign 2D/Bulb method?
Percent stenosis based on residual lumen and true lumen at the same location

what does the Bluth Criteria or Bulb Method Angio demonstrate?
Percent stenosis based on residual lumen and true lumen at the same location
*anytime we are talking about % stenosis, the info is compared to a gold standard. meaning the exam we use is the “closest to truth”. in vasc, angiography is still considered the gold standard.
*stenosis is estimated by the % of remaining lumen

what are teh differences b/t angio and US in the bulb method?
what 2 methods are used for angio?
US - u can see vessel wall, angio you can’t. so they can underestimate in angio b/c they cannot see how wide the bessel is supposed to be as they can only see flow not vessel walls.
NASCET
ACAS

UIHC was part of study at ___ which helped to determine ___.
biggest risk of endarterectomy?
NASCET
at what % stenoss the risk of endarterectomy outweighs the benefits.
stroke
NASCET determined what?
ACAS determined what?
at what point a Pt goes to surgery . in 1998 - 50-69% and 1991 said >70%
cca reduced stroke by 5.8% over 5 yrs in asymptomatic pt w/ >or = to 60% ICA stenosis

what are teh problems w/ NASCET - ACAS measurements

Assuming a bulb diameter of 9 mm and distal ICA D of 5 mm

Comparison of angiogram measure methods
what does NASCET compare to ?

distal ICA
what did NASCET/ACAS do for sonography?
US lab QA analysis
Angio NASCET method may underestimate stenosis compared to US 2D method (b/c bulb is bigger than distal ICA)
These issues relate to 2D/Bulb method used with <50% stenosis
Angio NASCET method used to measure ____ stenosis
Since Doppler inaccurate for subcategorizing ___ subcategories for minor degrees of stenosis not be used
Stenosis must be categorized into at least:
percent
<50%,
Normal (no plaque seen)
<50%
50-69%
>70%
Near occlusion
Occlusion