label


label


what are the 3 types of exam used on carotid
2D
color doppler
spectral doppler
what type of exam
Identifies vessels
Identifies plaque or other pathology
Determines %stenosis if <50 or 60
aka identify vessels, % stenosis
2D
what type of exam
Helps locate the vessel in technically difficult exams
Determine direction of flow
Identify filling defects associated with soft/fibrous plaque
Identify jet to aid in placement of spectral Doppler
aka: identify filling defects, jets, don’t measure with calipers
color doppler
what type of exama
Analysis of waveform morphology (high resistence, low resistance, tardus parvus, etc.)
Measure peak systolic and end diastolic velocities
Identify turbulence
aka: velocities, resistance, turbulence
spectral doppler
why are all 3 types of imaging necessary?
to make summary of findings. The findings should correlate. If not, look for pitfalls.
what can you see with trans vs long?
Transverse imaging
Helps you identify vessels
Helps you understand bifurcation orientation
Helps you find the best window
Best for 2D measurements of percent stenosis
Longitudinal
Show extent of stenosis
Doppler
which window is b/t:
between trachea and SCM muscle
through SCM muscle
lateral - posterior to SCM muscle
ant
lateral
posterior

in what plane do the following apply?
posterior - lateral approach
diameter measurement of stenosis
ICA -ECA identification /differentiation
transverse
post – can be identified w/ posterior/lateral approach
diameter measure – use 2D diameter measurements

what is this?
what is the equation used in this type of imaging?

2D % stenosis measured in trans (measures diameter of plaque)
% stenosis = Vessel – Lumen / Vessel x 100
*secondary method to diagnose stenosis. used when we don’t see hemodynamic change which does not happen unless it is 50% stenosed. THIS EXAM IS DONE FO RMORE MILD rarely see this done clinically b/c most patients have >50% stenosis
Longitudinal estimation of stenosis from B-mode image is ____________________________ .
usually unreliable, use transverse image.
*you can NEVER overestimate the plaque in transverse

This minor plaque can be made to appear ____ or _____ stenotic in longitudinal view

more, less

wht is this image demonstrating?

area vs diameter.
In “A”, Circumferential plaque, 75% Area = 50% Diameter
reduction (always bigger than diameter; not used)
In “B”, 50% area reduction is also a 50% Diameter
reduction
what are the benefits of getting an image in long?
anatomy - helps elongate
plaque characterization - shadows/mobile
Length of plaque
Doppler
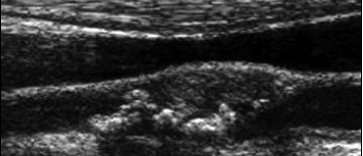
what type of plaqe is this?

smooth CCA plaque
what type of plaque morphology is this?

irregular, complex
how can you differentiate the ICA from the ECA by anatomy and in the waveforms?
Anatomy:
posterior position of ICA (usually 95% of the time)
branches of ECA - no one cares about this it never gets treated.
ICA size: not reliable when diseased
Doppler waveforms & sounds:
ICA = low resistance
ECA = high resistance
*first branch off of ICA is superior thyroid (cervical branches)
which way shoudl the groove of your Td face?
always to the patients right

on body view

on screen view
*pink bar represents the Td orientation marker

ECA position, whether lateral, anterior or medial, is _____.

variable
is it possible for the ICA to lie deep or superficial to the ECA?
yes.

ICA is ____ resistance
ECA is ____ resistance
they both flow _____ the head
low
high
towards

what vessel doe this look like?
what is the sonographer dong to the patient? is this reliable in this vessel?

ECA Temporal Tap can be a useful tool in identifying the ECA, but it is often unreliable. Oscillations can and do occur in the ICA as well. Understanding the anatomical position of the ECA-ICA is the best method.
*fast vibration like taps to get 2-3 in during diastole
