what Td is best for a carotid exam?
what other room and equip would be set up for this exam?
5-6 MHz Linear Array Transducer
Room warm if possible
Carotid Exam preset
Position machine and bed in an ergonomically correct way.

how should the patient be positioned?
what if they have hyphosis?
Patient supine, head turned slightly, small pillow only.
Some patients with kyphosis may need more than one pillow, doubling of pillow or head of the bed up slightly.
what windows are used when imaging the carotid?
Anterior
Lateral
Posterior

what is the carotid imaging protocol?
Begin with transverse imaging to determine vessel orientation and presence of plaque.
Continue with longitudinal images.
Next image vessel in long with color.
Take spectral samples at specific locations for normal protocol.
Different labs will have different protocols, this is one example of a common protocol.
If plaque is present, do “mapping” to include sample proximal, in and distal to stenosis.
what are the min trans and long images
Common carotid artery
Carotid bulb
Internal carotid artery
External carotid artery
min color doppler and images
what measurements are taken?
what is calculated?
Common carotid artery
Internal carotid artery proximal
Internal carotid artery distal
External carotid artery
Vertebral
Subclavian
Peak systolic velocity, Peak end diastolic velocity
ICA/CCA ratio
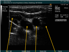
what are the arrows pointed to? what approach is being used?

trans CCA prox

what are teh arrows pointing to here? what image is being taken?

trans CCA mid

what image is being collected? what approach?

trans bulb from lateral approach
what image is being taken here? from what approach? wha can be noted about the window?

tran bulb from ant window.
less of the SCM muscle is used as the window
this image is showing…

trans bifurcation (continue to image sup as far as possible) lateral approach
If image is oblique and you want a transverse, you must ____the transducer.

“turn”

whats the best approach to image the
long prox - mid CCA
CCA distal bulb

ant
ant or lat. note dif front lide is ant below is lat)

general rules for finding the ICA and ECA
_____ approach, ICA is more often lateral or posterior.
You can tell from the _____ of bifurcation, it will be difficult to get the “Y” view of ICA and ECA together.
If you can not get the “Y” view, you must image each vessel _______.
_____the transducer over the bulb to find the ECA and ICA – see video clip
Lateral
transverse
separately
“Pivot”
From the ______ window you can not get the “Y”.
You will need to image the ICA and ECA separately.
moving to the _____ aproach for the longitudinal images will demonstrate the “Y” view.

anterior
lateral

If the vessel has “echoes” in it, you maybe out of the vessel plane and pickup up the wall.
You must “______” the transducer back into the vessel.
tip *(do not “turn)

what are the steps you must go through w/ doppler?
Put the color on fist to help you find the vessel.
Create an angle by steering the Doppler beams, heal-toe, or both.
Remember the Doppler may penetrate better with a straight steer.
Sample at the same locations you took 2D images.
Eventually you will combine your long imaging and Doppler; however, initially in lab and clinic you will work on 2D only. After you are comfortable with 2D, you can begin to apply Doppler.
To create a better Doppler angle you must sometimes ______” the transducer.
“heel-toe

what vessel is this waveform likely from?

CCA (below is distal CCA)

what vessel is this waveform likely from?

ICA (proximal), below is distal

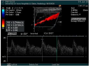
what vessel is this waveform likely from?

ECA, distal
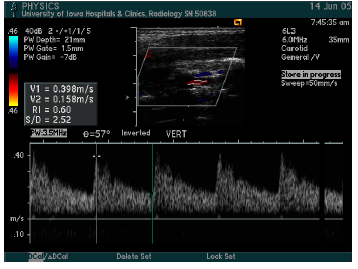
what vessel is this waveform is this likely from?

vertebral
where is the Td placed to get the subclavian?
lateral window

is it Normal to see mirror image artifact of SC deep to the lung pleura?
yes
