CXR Practice Flashcards

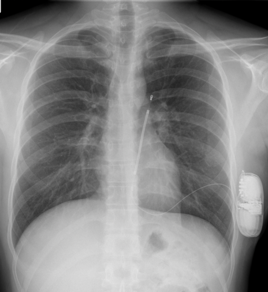
(52 cards)

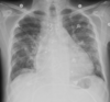
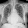
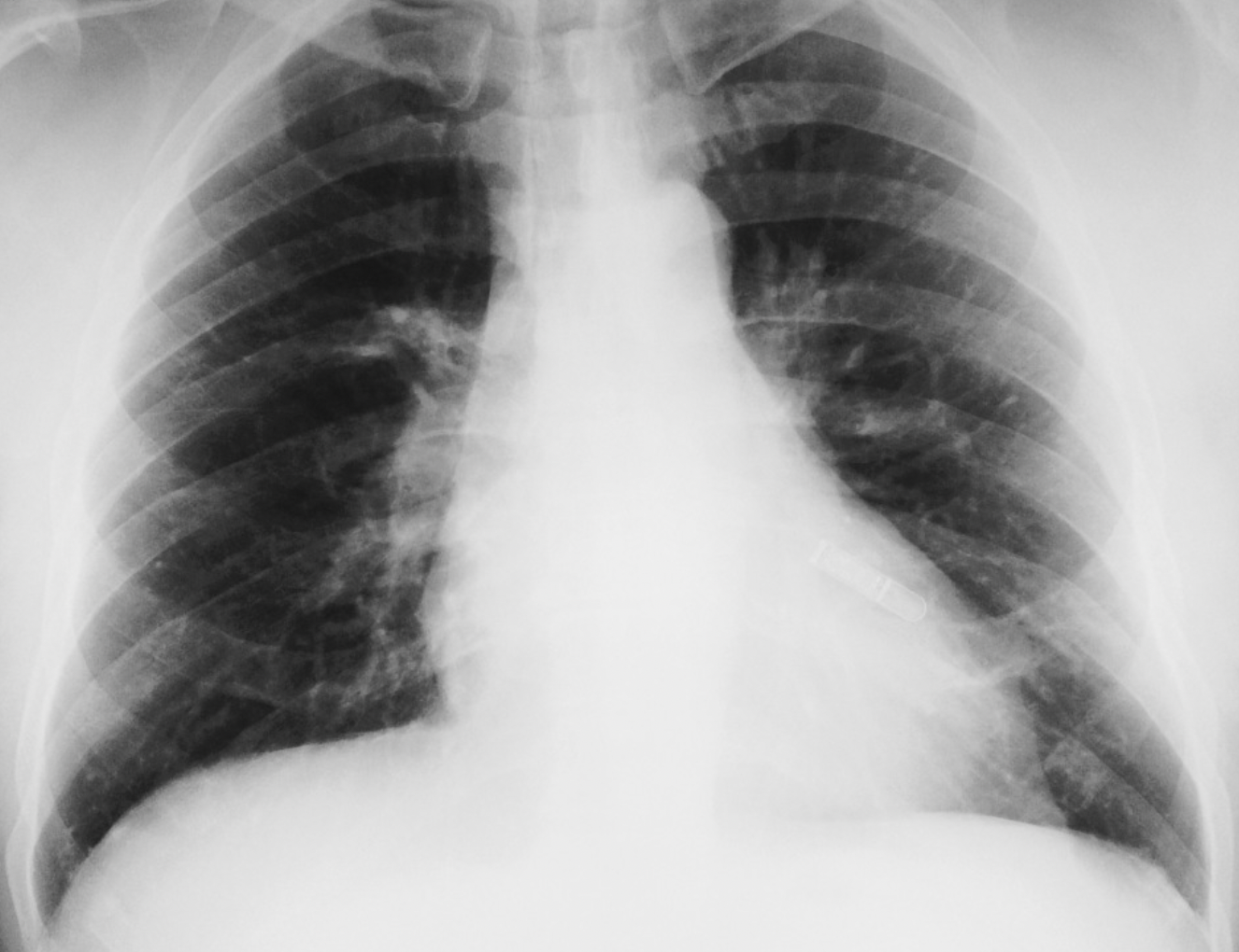
1
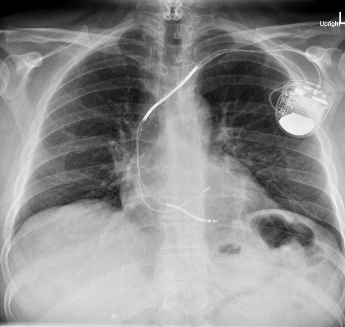
Q

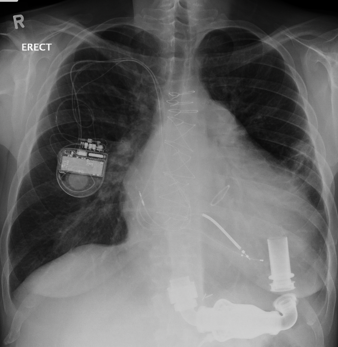
Diagnosis?

A

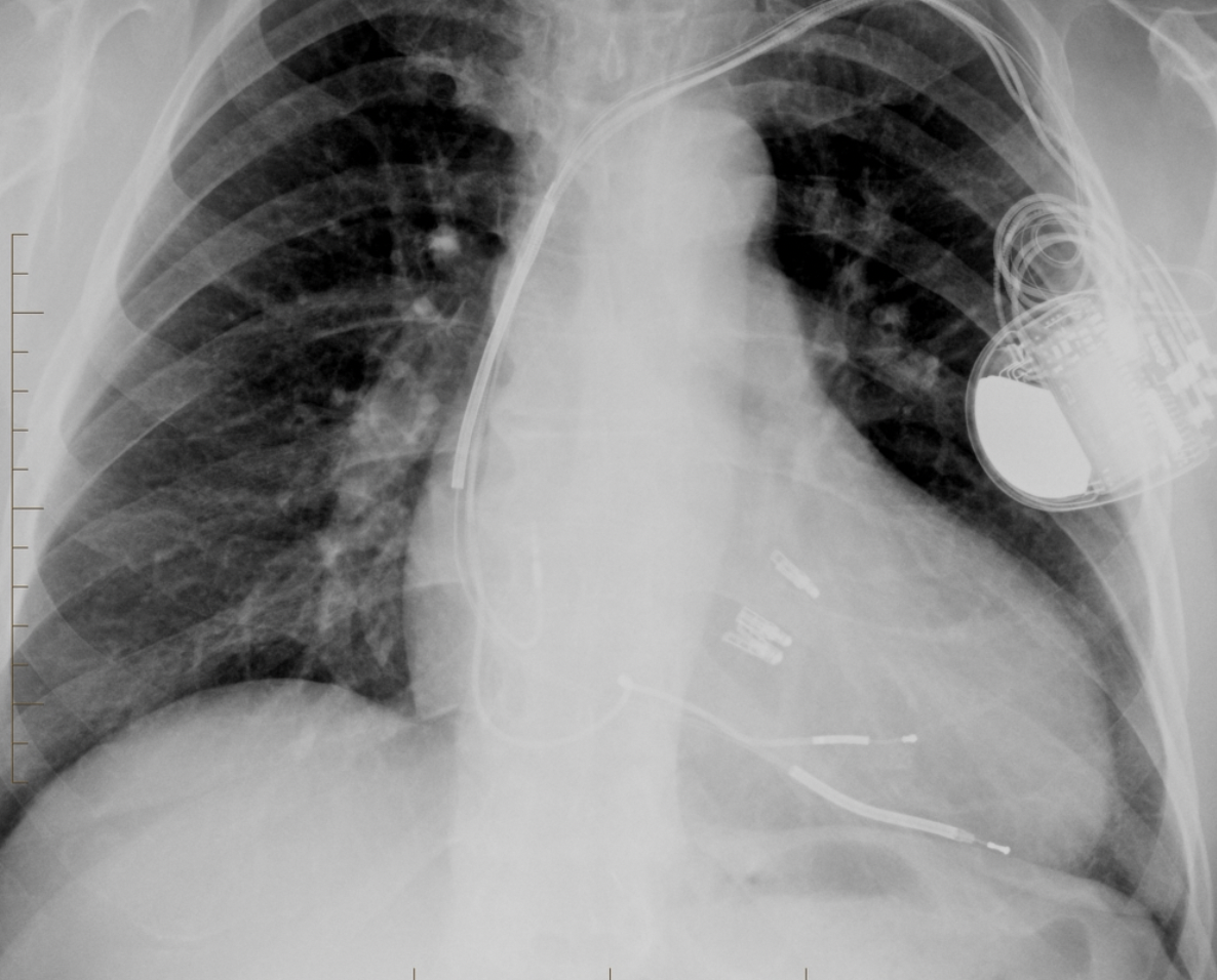
Single lead pacemaker, retracted (Twiddler)

How well did you know this?
1
Not at all
2
3
4
5
Perfectly
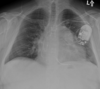
2
Q
A

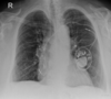
Scimitar syndrome (Anomalous right lower pulmonary vein draining into IVC)

How well did you know this?
1
Not at all
2
3
4
5
Perfectly
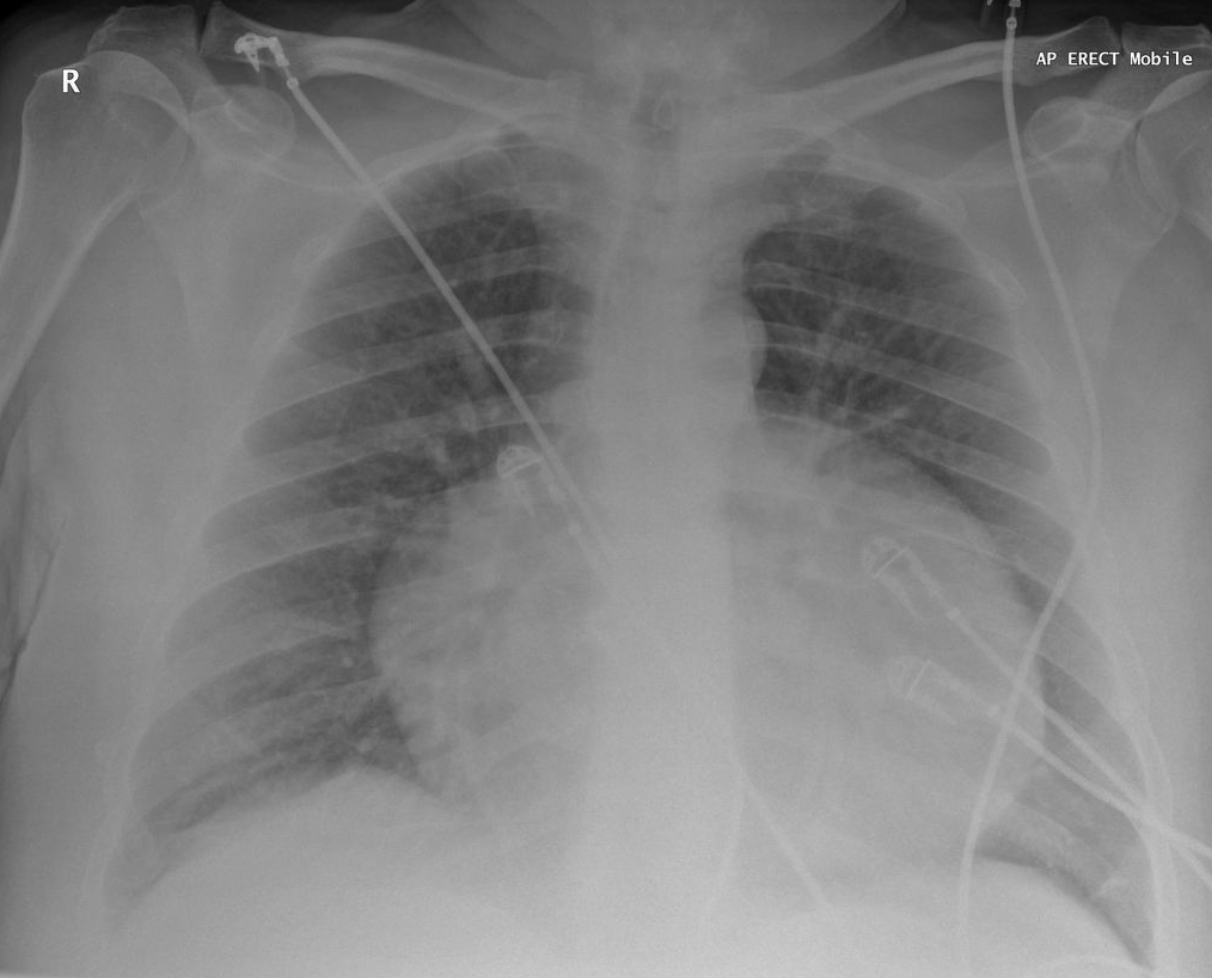
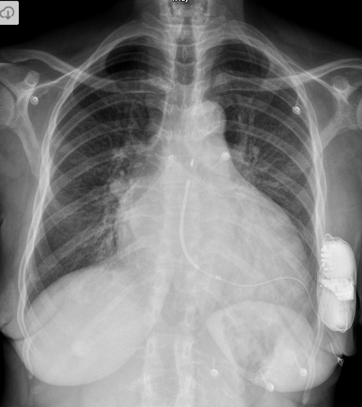
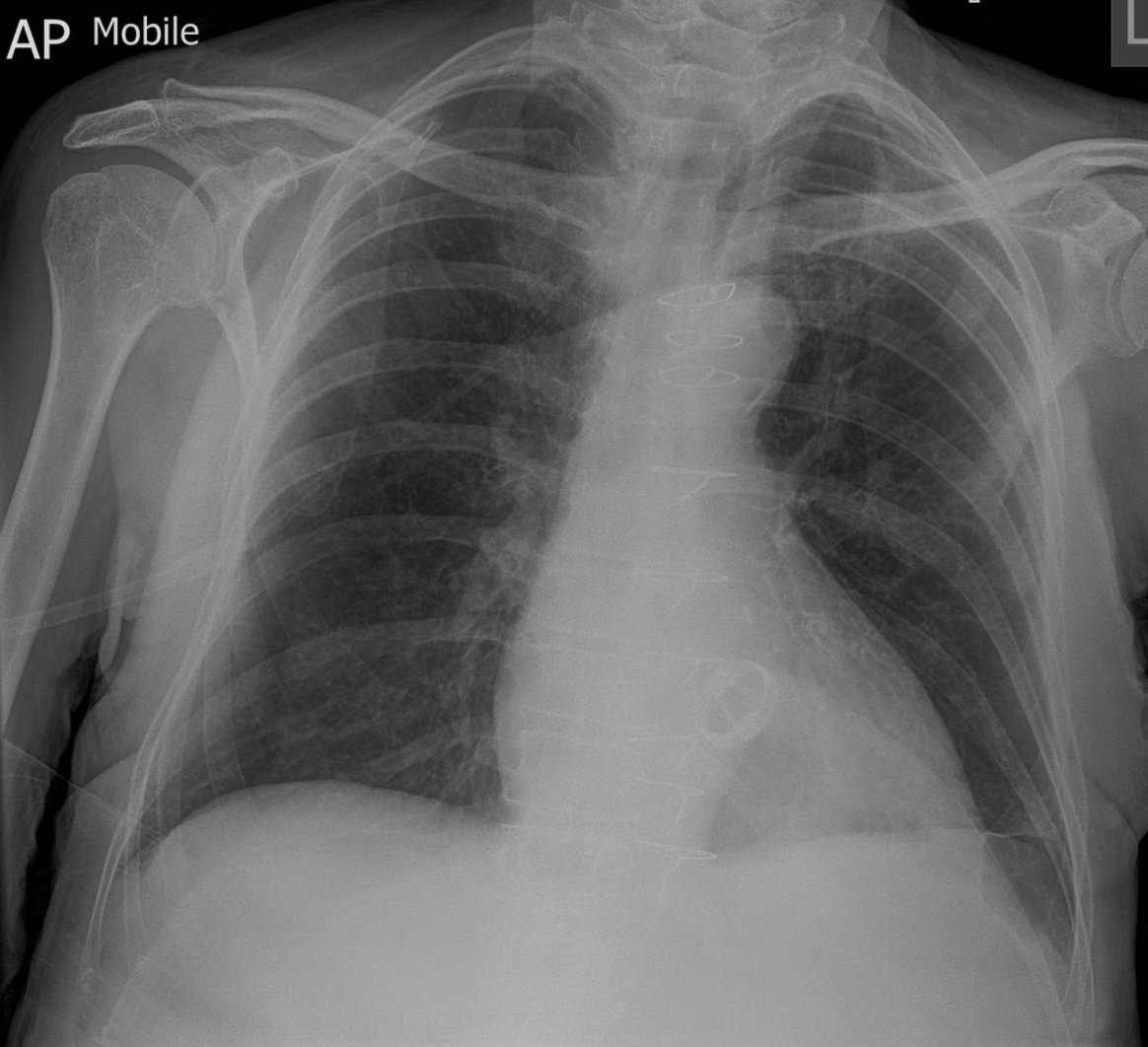
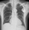
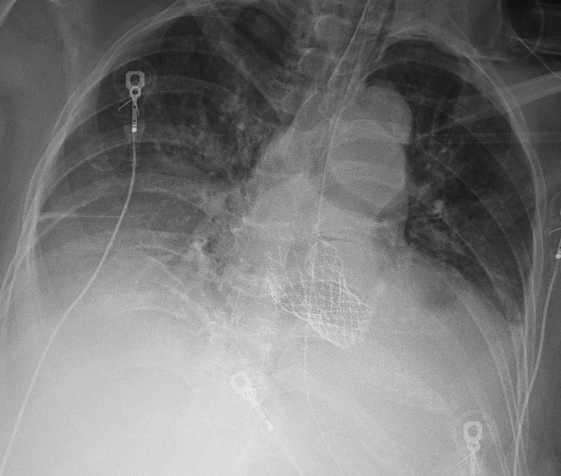
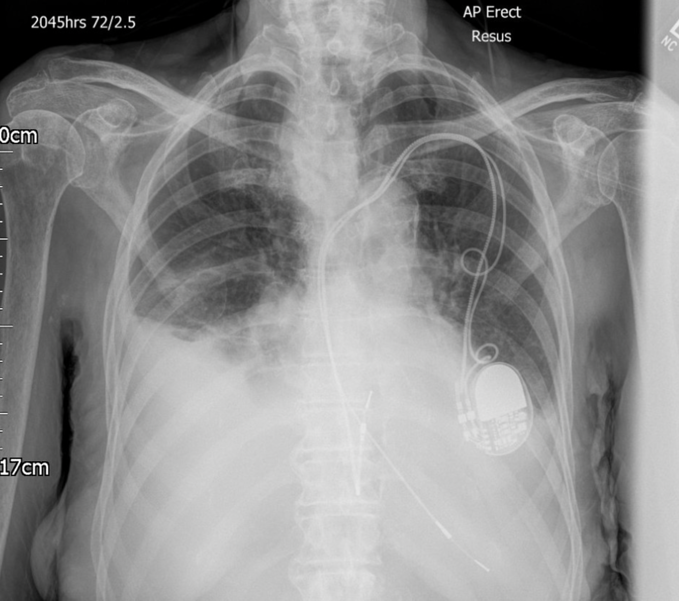
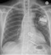
3
Q
A

Atrial lead fracture (right by box), right pleural effusion,

How well did you know this?
1
Not at all
2
3
4
5
Perfectly
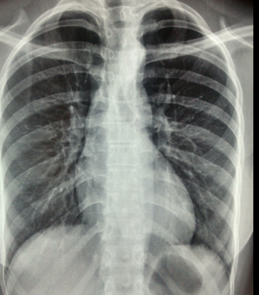
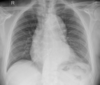
4
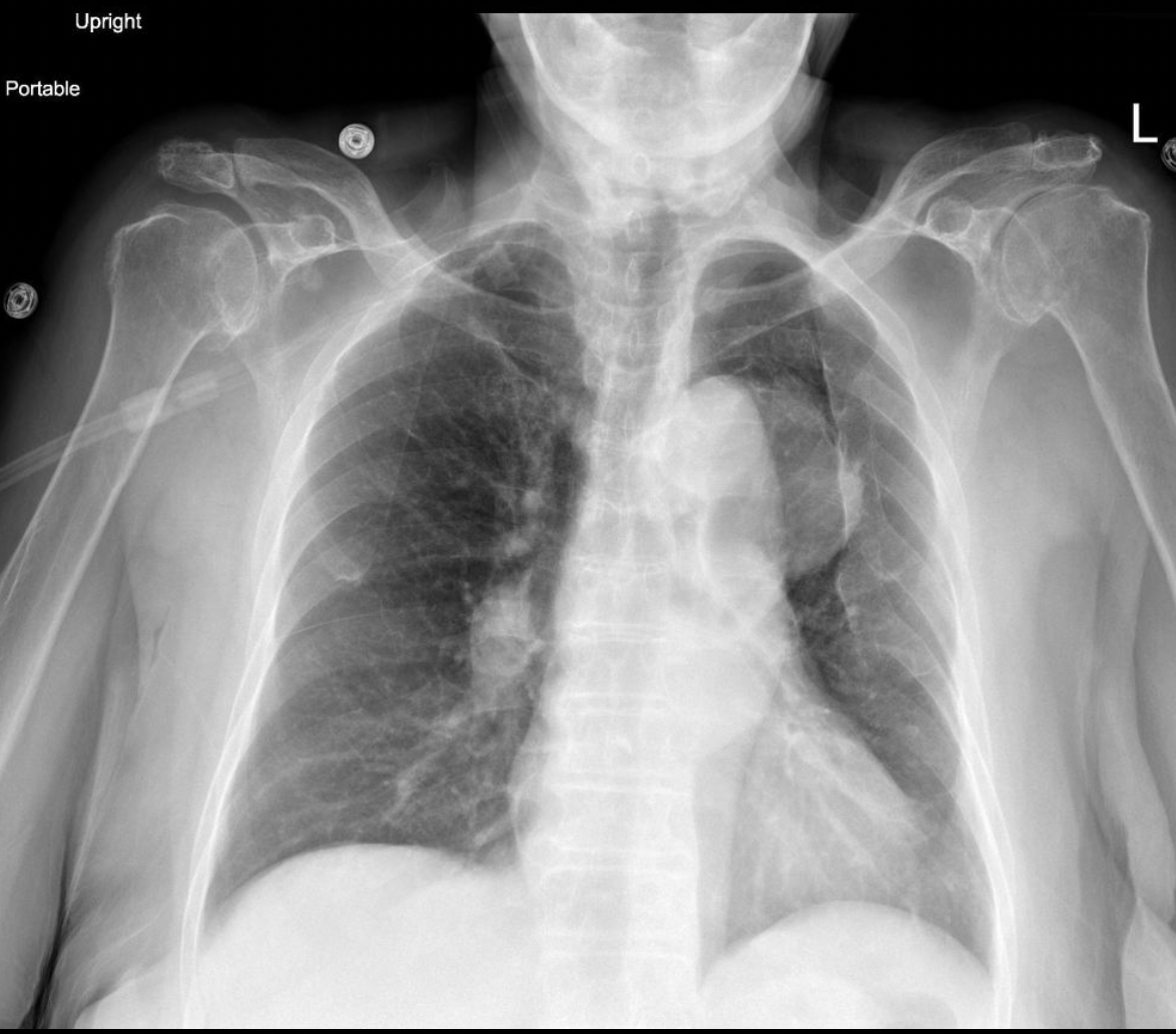
Q
A

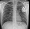
Pericardial effusion

How well did you know this?
1
Not at all
2
3
4
5
Perfectly
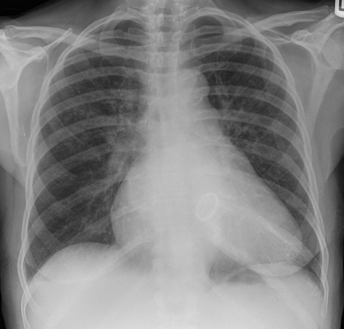
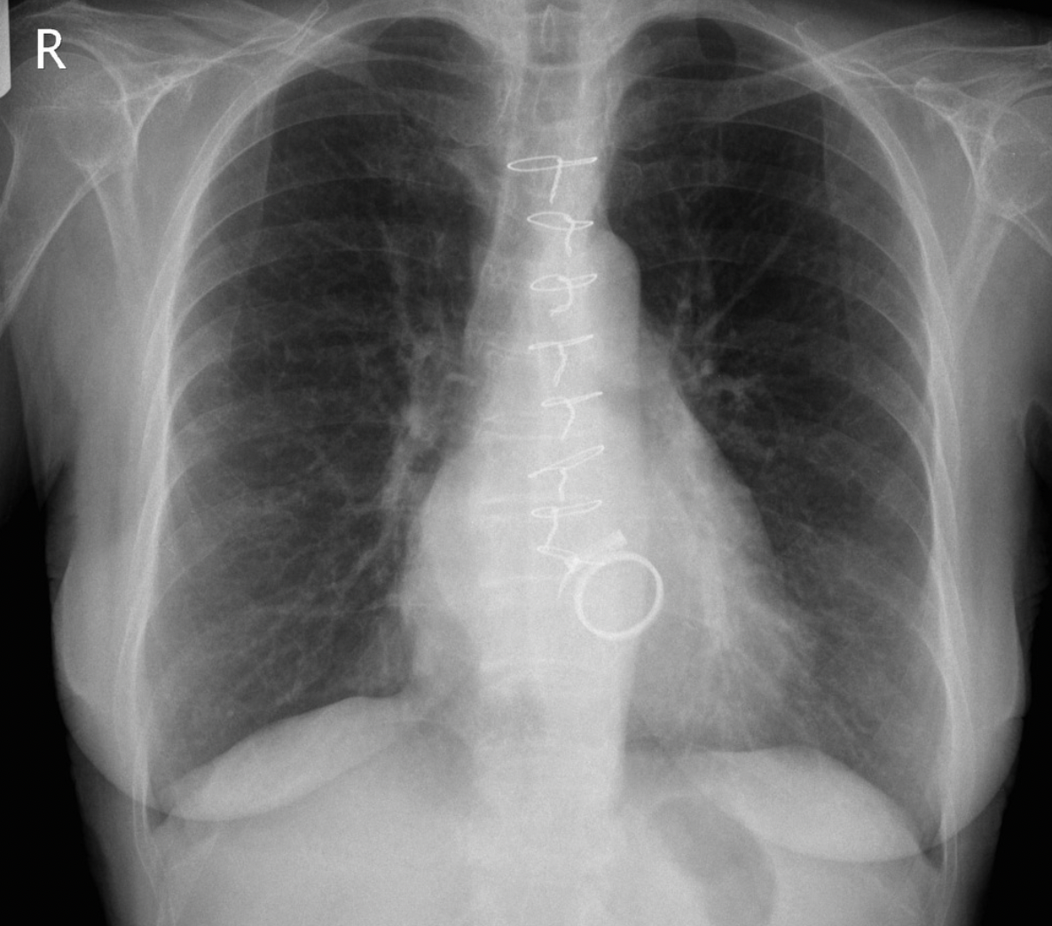
5
Q
A

Mitral Valve Replacement

How well did you know this?
1
Not at all
2
3
4
5
Perfectly
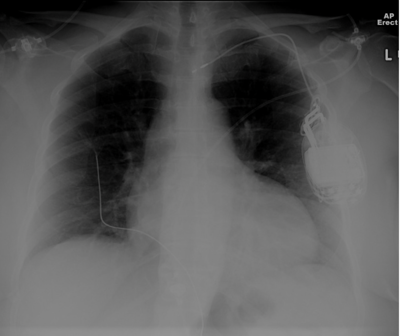
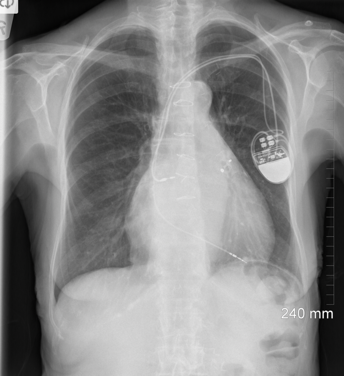
6
Q
A

Subcutaneous ICD

How well did you know this?
1
Not at all
2
3
4
5
Perfectly
7
Q
A

-Sternotomy Clips
-LAA occluder device

How well did you know this?
1
Not at all
2
3
4
5
Perfectly
8
Q
A

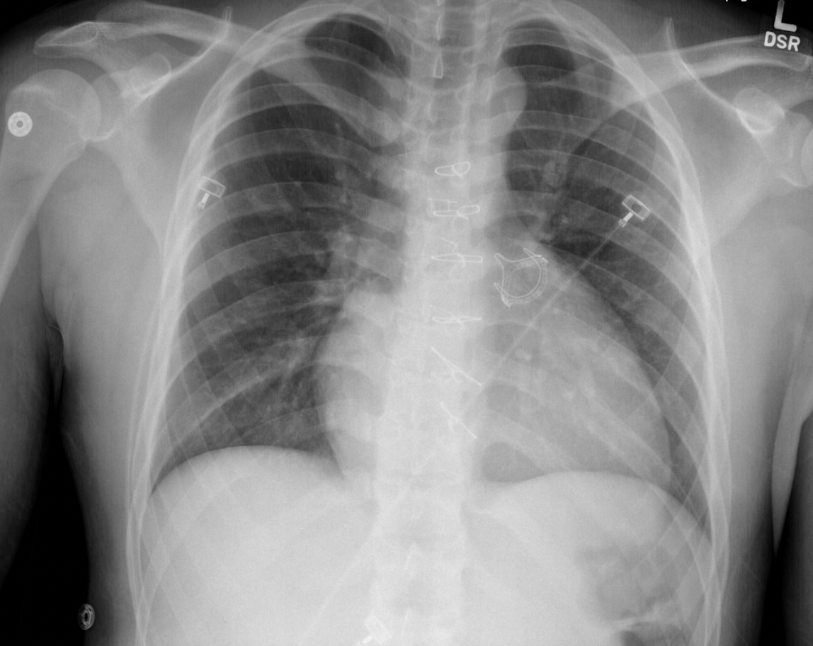
-LAA Occluder device
-Sternotomy clips
-Dual chamber pacemaker

How well did you know this?
1
Not at all
2
3
4
5
Perfectly
9
Q
A

-Median sternotomy
-Mitral valve replacement

How well did you know this?
1
Not at all
2
3
4
5
Perfectly
10
Q
A

-TAVR
-Single lead RV pacemaker
-Telemetry leads

How well did you know this?
1
Not at all
2
3
4
5
Perfectly
11
Q
A

-MVR
-AVR
-Sternotomy wires

How well did you know this?
1
Not at all
2
3
4
5
Perfectly
12
Q
A

-Single chamber ICD
-AVR
-MVR
-Sternotomy wires

How well did you know this?
1
Not at all
2
3
4
5
Perfectly
13
Q
A

-Dual chamber ICD with RA lead dislodgment

How well did you know this?
1
Not at all
2
3
4
5
Perfectly
14
Q
A

-Descending aortic aneurysm

How well did you know this?
1
Not at all
2
3
4
5
Perfectly
15
Q
A

-Dual chamber ICD
-LVAD implanted

How well did you know this?
1
Not at all
2
3
4
5
Perfectly
16
Q
A

-Subcutaneous ICD

How well did you know this?
1
Not at all
2
3
4
5
Perfectly
17
Q
A

-Implantable Loop Recorder

How well did you know this?
1
Not at all
2
3
4
5
Perfectly
18
Q
A

-Pulmonary Valve Replacement

How well did you know this?
1
Not at all
2
3
4
5
Perfectly
19
Q
A

-Right sided dual chamber ICD
-LVAD implanted
-Mitral valve replacement

How well did you know this?
1
Not at all
2
3
4
5
Perfectly
20
Q
A

-CRT-D
-Mitra-Clips

How well did you know this?
1
Not at all
2
3
4
5
Perfectly
21
Q
A

-Dual chamber pacemaker with RA lead dislodged

22
Q
A

-Aortic Coarctation (3 sign)

23
Q
A

-Thoracic aortic aneurysm

25
-RVAD and LVAD
26
-Tricuspid Valve Replacement
27
-Thoracic Aortic Stent
28
-Dual chamber pacemaker -Pulmonary valve replacement
29
-Tricuspid valve replacement -Abandoned pacemaker leads -Cardiomegaly
30
-Mitral valve replacement -Left atrial enlargement (Splaying carina, double right sided border sign) -Cardiomegaly
31
-Left atrial enlargement
32
-Dual chamber pacemaker -Left sided Pneuomothorax
33
-IABP
34
-Dual chamber Pacemaker retraction
35
-TAVR valve
36
-Lead disconnected from battery
37
-RV lead perforation
38
-Dual chamber ICD -Aortic Valve replacement
39
-RA lead fracture
40
-PA dilation (Pulmonary hypertension)
41
-Dual chamber Pacmaker -Bilateral pneumothorax
42
-Aortic coarctation
43
-PA dilation
44
-PA dilation -RV hypertrophy Picture is in keeping with Pulmonary Hypertension
45
-Ascending Aortic Aneurysm
46
-Type A Aortic Dissection
47
-AVR, MVR, Tricuspid Annuloplasty Ring
48
-Ball in Cage Mitral Valve
49
-MVR and TVR
50
What CTD diagnosis?
-Marfan's
51
-RV Lead perforation
52
Aortic Dissection: (Calcium sign, Enlarged Aortic Knob, Wide Mediastinum > 8cm)