Graphics Practice Flashcards

(82 cards)

1
Q

What is this?

A

Sinus brady
Low Voltages
Inferior MI

Dx: Hypothyroidism

How well did you know this?
1
Not at all
2
3
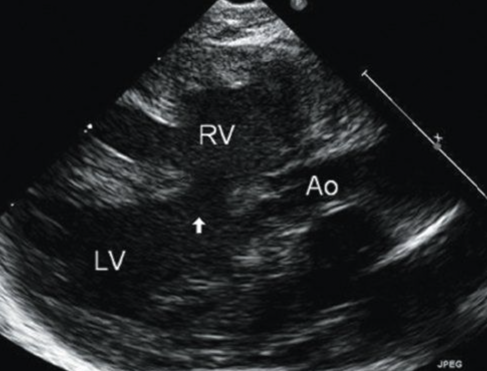
4
5
Perfectly
2
Q

What is this?

A

-Sinus Rhythm going into Atrial Fibrillation

-Early R/S Transition

How well did you know this?
1
Not at all
2
3
4
5
Perfectly
3
Q

What is this?

A

-Afib -> Junctional escape at end of strip

-Inferoposterior MI with Lateral Involvement

-RAD

How well did you know this?
1
Not at all
2
3
4
5
Perfectly
4
Q

What is this?

A

-NSR
-Inferoposterior Infarct (old)
-Long Qt
-Poor R wave progression

How well did you know this?
1
Not at all
2
3
4
5
Perfectly
5
Q

What is this?

A

-Idioventricular Rhythm

-Hyper Kalemia

How well did you know this?
1
Not at all
2
3
4
5
Perfectly
6
Q

What is this?

A

-NSR
-LBBB
-LAD
-Lateral STEMI (Concordant ST elevation)

How well did you know this?
1
Not at all
2
3
4
5
Perfectly
7
Q

What is this?

A

-NSR with one PAC

-LAD

-Lateral STEMI

-Poor R wave progression (?Old Anterior Infarct)

How well did you know this?
1
Not at all
2
3
4
5
Perfectly
8
Q

What is this?

A

-NSR with Mobitz 1 Sinoatrial Block (not PACs as P wave morphology is not different than preceding)

How well did you know this?
1
Not at all
2
3
4
5
Perfectly
9
Q

What is this?

A

Mobitz 2 SA Block with resumption of a Junctional Escape

How well did you know this?
1
Not at all
2
3
4
5
Perfectly
10
Q

What is the rhythm?

A

Atrial fibrillation -> Sinus -> Block PAC -> Atrial fibrillation

How well did you know this?
1
Not at all
2
3
4
5
Perfectly
11
Q

What is happening here?

A

Sinus -> 2:1 SA block with first degree AV block

How well did you know this?
1
Not at all
2
3
4
5
Perfectly
12
Q

What is this?

A

ARVC

How well did you know this?
1
Not at all
2
3
4
5
Perfectly
13
Q

What is this?

A

NSVT

How well did you know this?
1
Not at all
2
3
4
5
Perfectly
14
Q

What is this?

A

NSR with 2:1 block with Ventricular escape

When there is blocked P waves, there is a ventricular escape complex

How well did you know this?
1
Not at all
2
3
4
5
Perfectly
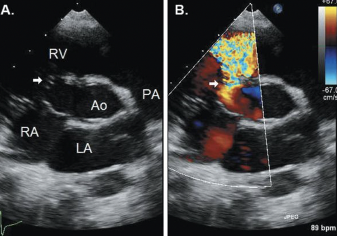
15
Q

What is this (be specific) ?

A

Peri-membranous VSD

How well did you know this?
1
Not at all
2
3
4
5
Perfectly
16
Q

What is this? (Be specific)

A

Perimembranous VSD

How well did you know this?
1
Not at all
2
3
4
5
Perfectly
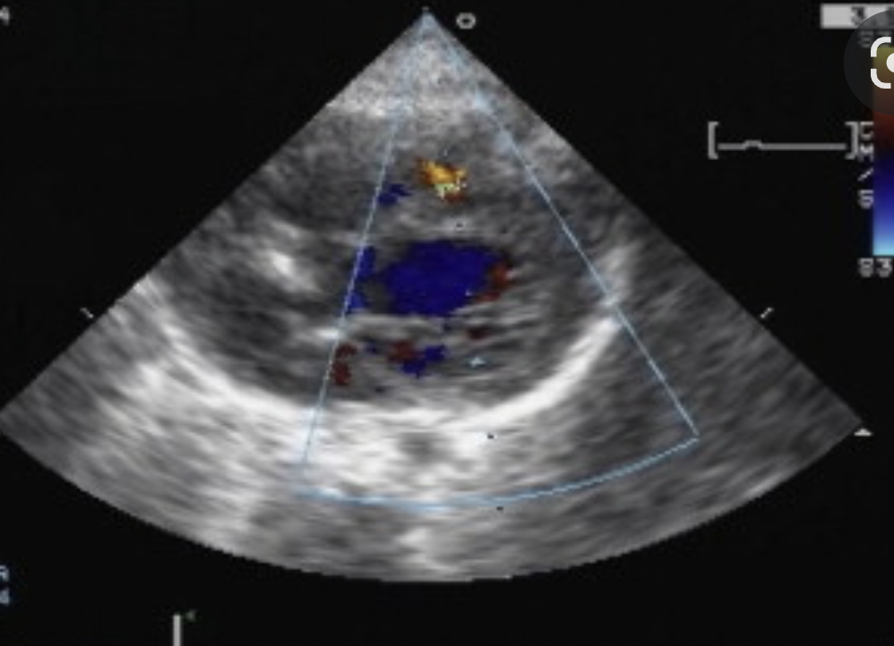
17
Q

What is this? Be Specific

A

Muscular VSD

How well did you know this?
1
Not at all
2
3
4
5
Perfectly
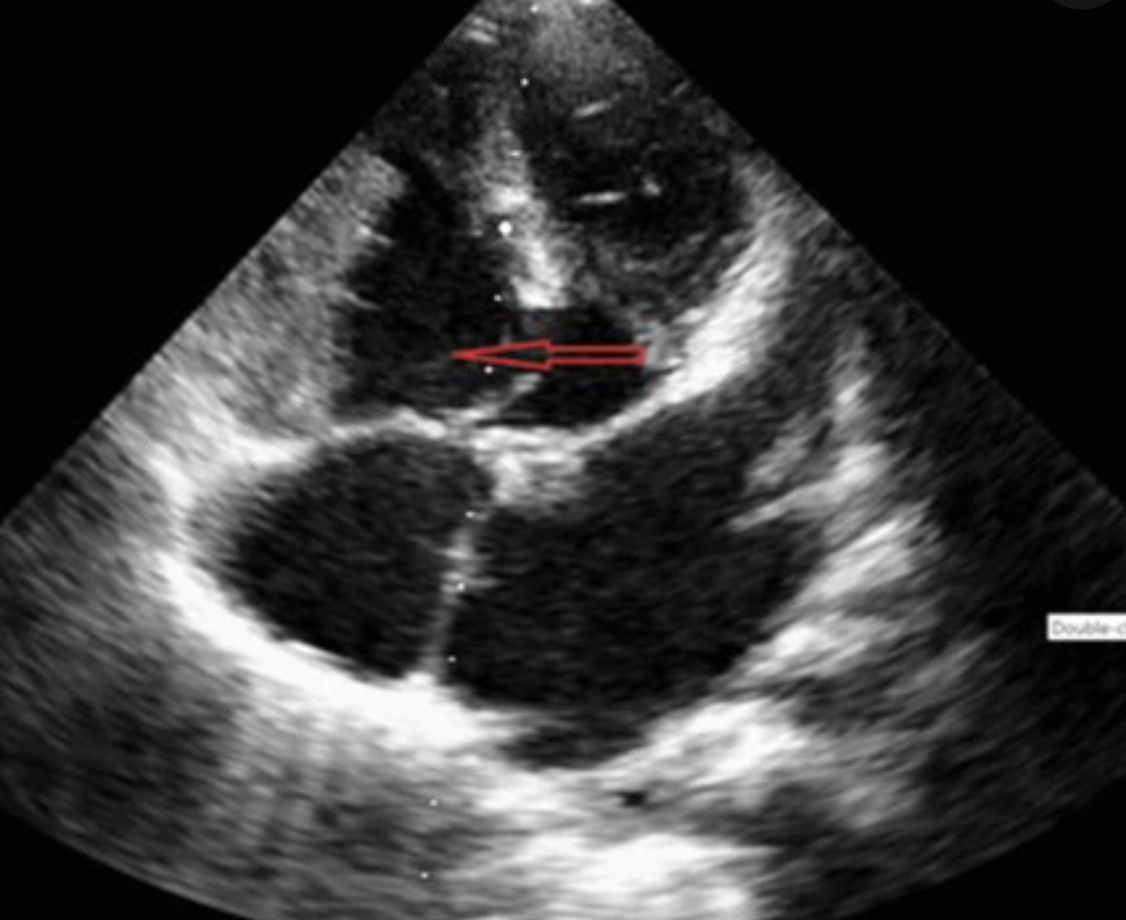
18
Q

What is this? (Be specific)

A

Inlet VSD

How well did you know this?
1
Not at all
2
3
4
5
Perfectly
19
Q

What kind of VSD is this?

A

Perimembranous

How well did you know this?
1
Not at all
2
3
4
5
Perfectly
20
Q

What is this? Be specific

A

Perimembranous VSD

How well did you know this?
1
Not at all
2
3
4
5
Perfectly
21
Q

What is this?

A

Perimembranous VSD

How well did you know this?
1
Not at all
2
3
4
5
Perfectly
22
Q

What specific kind of VSD is this?

A

Gerbode Defect

How well did you know this?
1
Not at all
2
3
4
5
Perfectly
23
Q

What is this?

A

Subarterial VSD

How well did you know this?
1
Not at all
2
3
4
5
Perfectly
24
Q

What is this?

A

Inlet VSD

How well did you know this?
1
Not at all
2
3
4
5
Perfectly
25
What is this?
Muscular VSD
26
What is this?
Muscular VSD
27
What is this?
Muscular VSD
28
What is this?
PDA
29
What is this?
PDA
30
What is this?
PDA
31
What is this?
PDA
32
What is this?
PDA
33
What is this?
BAV (NCC-LCC fusion)
34
What is this?
BAV (RCC-NCC fusion)
35
What is this?
BAV (RCC-LCC fusion)
36
What is this?
Aortic Coarctation
37
What is this?
Aortic Coarctation
38
What is this?
Aortic Coarctation
39
What is this?
Aortic Coarctation
40
What is this?
Sinus rhythm with Atrial Bigeminy where PACs are blocked
41
What is this?
Accelerated Idioventricular Rhythm -Note AV dissociation -ST Elevation in anterolateral leads
41
What is this?
Accelerated Idioventricular Rhythm -Note AV dissociation -ST Elevation in anterolateral leads
42
What is this?
Artifact- Note QRS complexes marching through
43
What is this? In particular comment on the conduction delay
Sinus rhythm with RBBB and LAFB
44
What is this?
Sinus Bradycardia with competing Junctional Rhythm resulting in AV dissociation -RBBB with LAFB
45
What is this? give 2 ddx
-Pulsus Bisferiens -HoCM, Mixed Aortic Valve disease
46
What is this? Give 4 ddx
-Dicrotic pulse -Cardiogenic shock, hypovolemia, Tamponade, Obstructive shock
47
What is this?
Atrial Tachycardia with rate related aberrancy
48
What is this?
Intermittent undersensing and physiologic failure to capture
49
What is this?
Sinus rhythm with intermittent ventricular pacing. Intermittent undersensing and physiologic failure to capture
50
What is this?
Tricuspid Stenosis
51
What is this?
Type 2 SA block
52
Calculate the ERO
ERO = PISA / VMax ERO = ((2)(Pi)(r)^2 x Aliasing Velocity)) / Vmax ERO = ((2)(3.145)(1.8)^2 x (30)) / (514.6 cm/s) ERO = (611.3) / 514.6 ERO = 1.18 cm2
53
What is this?
VT (5th beat is fusion beat, + in AVR, questionable AV dissociation)
54
What is this?
Aortic Coarctation
55
What is this?
Pulsus alternans (CMO, shock)
56
Diagnosis?
Long Qt (Looks like type 2)
57
Diagnosis?
Dextrocardia
58
What is this?
Atrial Flutter with 2:1 block, RBBB and lateral STEMI with old inferior infarct
59
What is this?
Sinus Tachycardia with RBBB and LAFB and Anterior STEMI (questionable STE V1-V2, as per GW)
60
What are three underlying diagnoses?
-Ebstein's Anomaly -Pulmonary Hypertension -Secundum ASD
61
What is the diagnosis?
STEMI with CHB (RCA vasospasm as per GW)
62
What arrhyhtmia is this?
AVNRT (Pseudo R waves in V1)
63
What are 3 ddx for this Long RP tachycardia?
-Low ectopic atrial tachycardia -PRJT -Fast-Slow AVNRT (This is what this ECG is)
64
What are 3 ddx for this Long RP (subtype RP > PR) tachycardia?
-Low ectopic atrial tachycardia -PRJT -Fast-Slow AVNRT (This is what this ECG is)
65
Give 2 DDx for this short RP tachycardia?
-Typical AVNRT (Slow-Fast) -Orthodromic AVRT
66
What is the Vereckei algorithm?
Looks at QRS complex in aVR to distinguish between SVT and VT -Initial R wave in AVR -R or Q wave > 40msec -presence of notch on the descending limb at the onset of a predominantly negative QRS
67
What is this?
LA-LL reversal (upright in aVL (aVF), Inverted in III and aVL))
68
What is this?
RA/RL reversal -> Isoelectric II, Inverted I and AVR
69
What is this?
Sinus with LBBB with intermittent AIVR
70
What is this?
NSR with RA-LA reversal and a PVC, probably Inferior STEMI
71
What is this?
Afib with RVR, RBBB, LAD
72
What is this?
Atrial tachycardia with 2:1 block (could be AFlutter but is a bit quick) Intermittent aberrantly conducted beats
73
What is this?
Sinus tachycardia with diffuse ischemia (?coronary vasospasm)
74
What will happen to ESPVR with increasing contractility/Inotropes?
Slope will increase (It will decrease with less contractility/HF)
75
How will changes in preload and afterload affect ESPVR/EDPVR?
No change in slope
76
Label the following
A: Negative Inotropic state B: Increased Inotropic state C: Positive Inotropy and Leusotropy D: Increased Afterload E: Decreased Afterload F: Increased Preload
77
What is this?
Atrial fibrillation with RBBB
78
What is this?
AFib with BiV pacing (Wide QRS though) Intermittent premature ventricular complexes or aberrantly conducted Afib
79
What is going on here?
HoCM with Valsalva response
80
What is being shown here?
Tamponade: -RAP: Blunted Y descent -Elevation in RVEDP -RAP = RVEDP = PADP = LCWP
81
Review prosthetic valve location on CXR