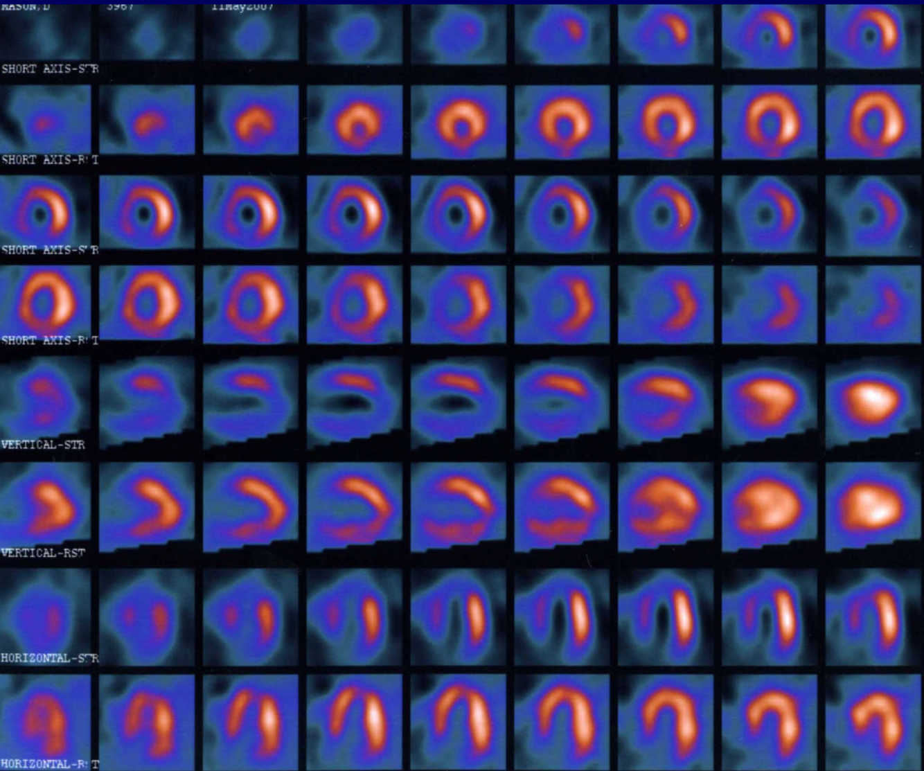
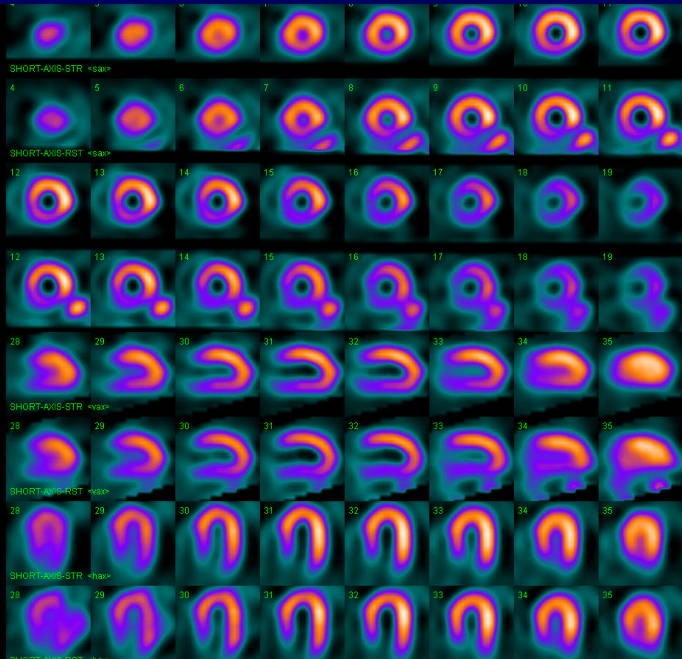
MIBI Practice Flashcards

(33 cards)

1
Q
A

Large LAD Ischemia

How well did you know this?
1
Not at all
2
3
4
5
Perfectly
2
Q
A

Large Anterior Infarct

How well did you know this?
1
Not at all
2
3
4
5
Perfectly
3
Q
A

Normal Study

How well did you know this?
1
Not at all
2
3
4
5
Perfectly
4
Q
A

Large Reversible Inferior Defect (Ischemia)

How well did you know this?
1
Not at all
2
3
4
5
Perfectly
5
Q
A

Lateral Ischemia and Apical infarction

How well did you know this?
1
Not at all
2
3
4
5
Perfectly
6
Q
A

Large Reversible Inferior Defect

How well did you know this?
1
Not at all
2
3
4
5
Perfectly
7
Q
A

Normal Study

How well did you know this?
1
Not at all
2
3
4
5
Perfectly
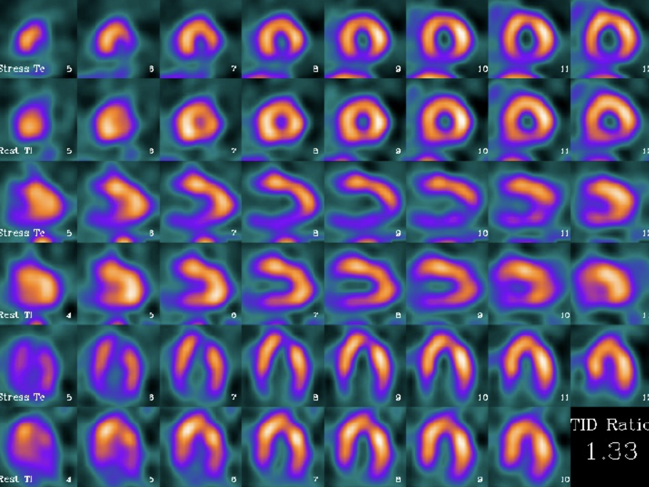
8
Q
A

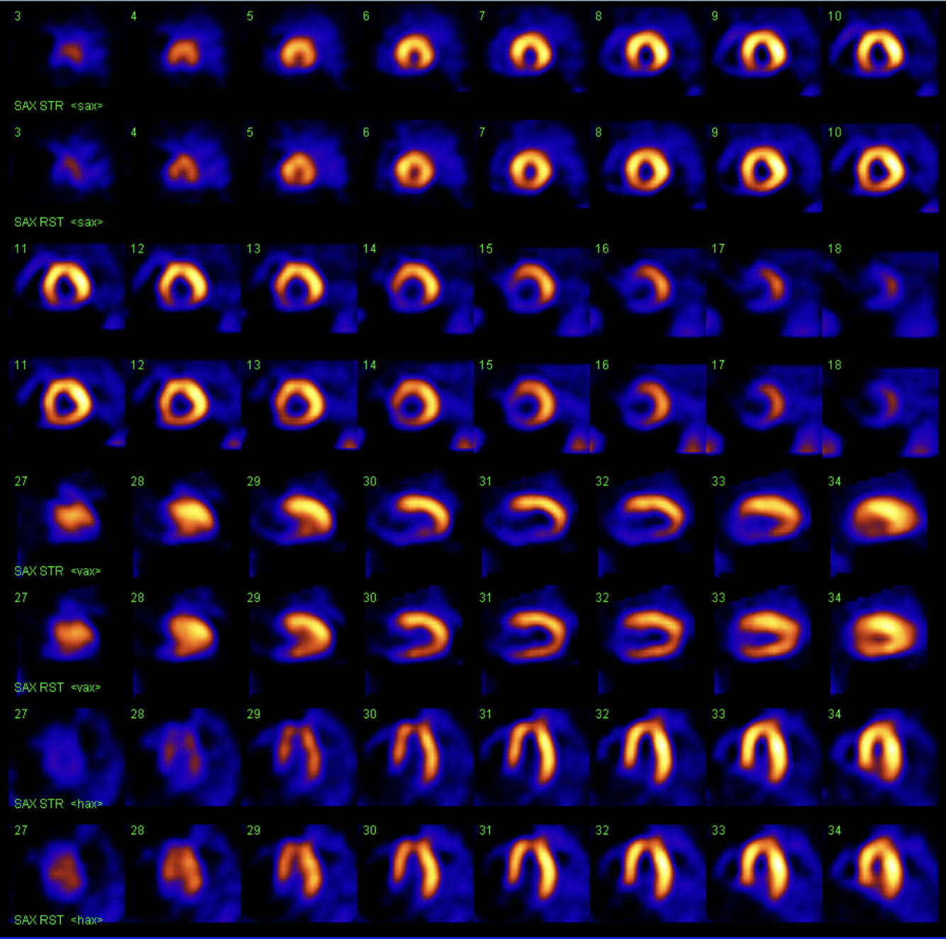
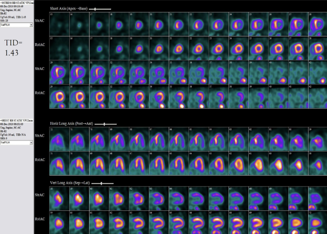
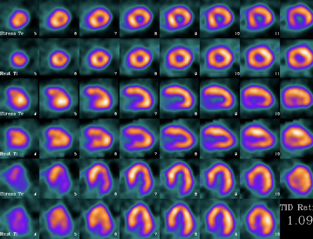
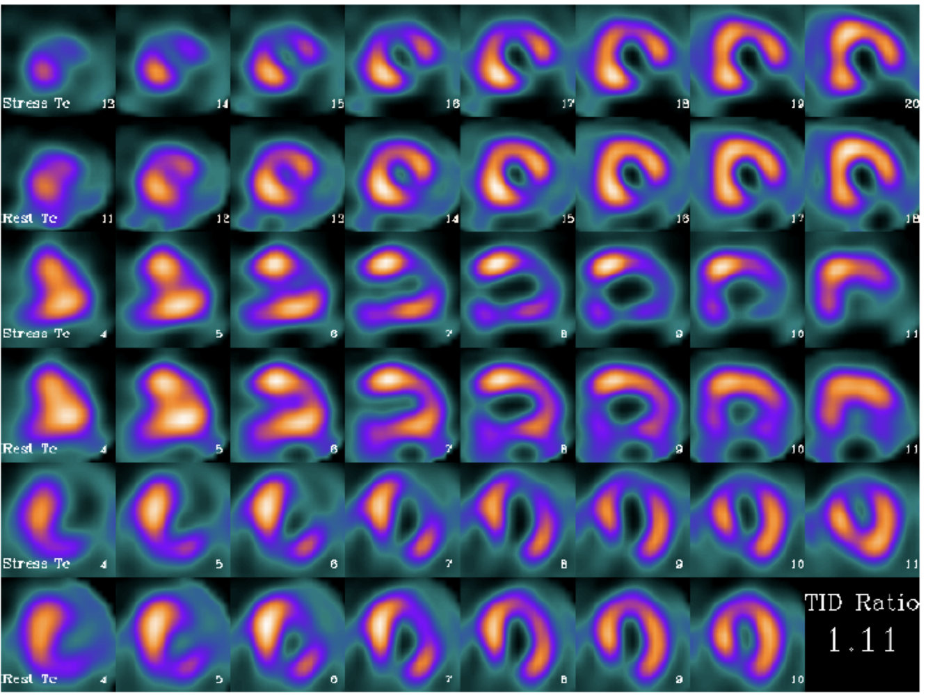
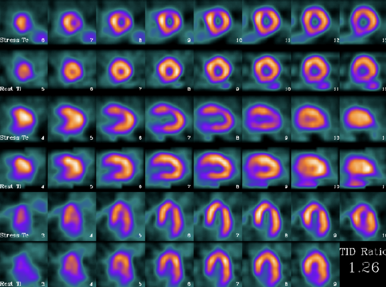
Large anterior, inferior and apical ischemia with TID = High Risk Study

How well did you know this?
1
Not at all
2
3
4
5
Perfectly
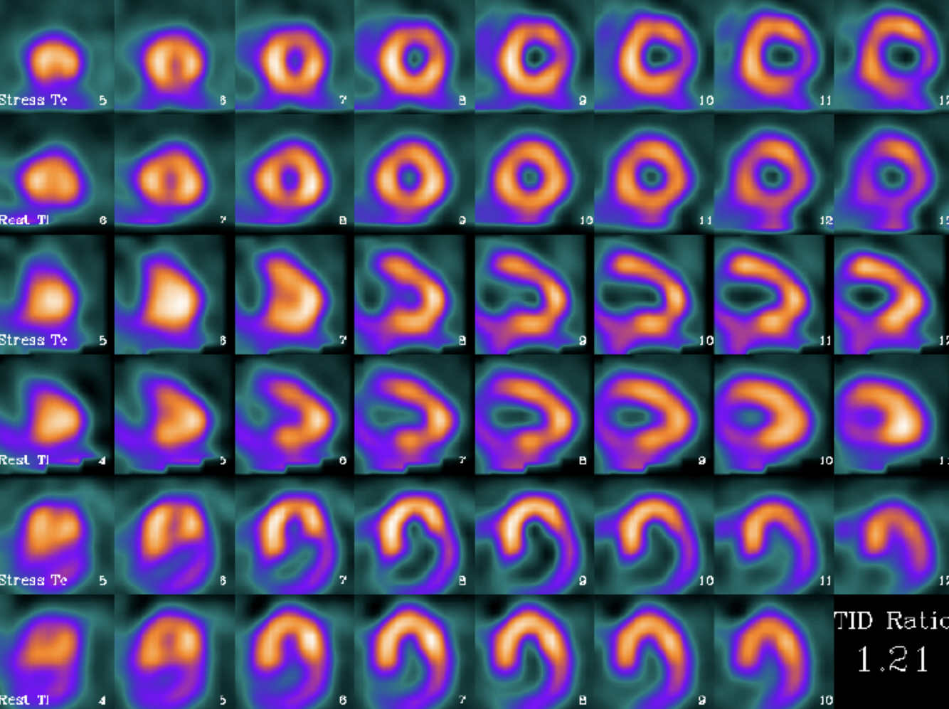
9
Q
A

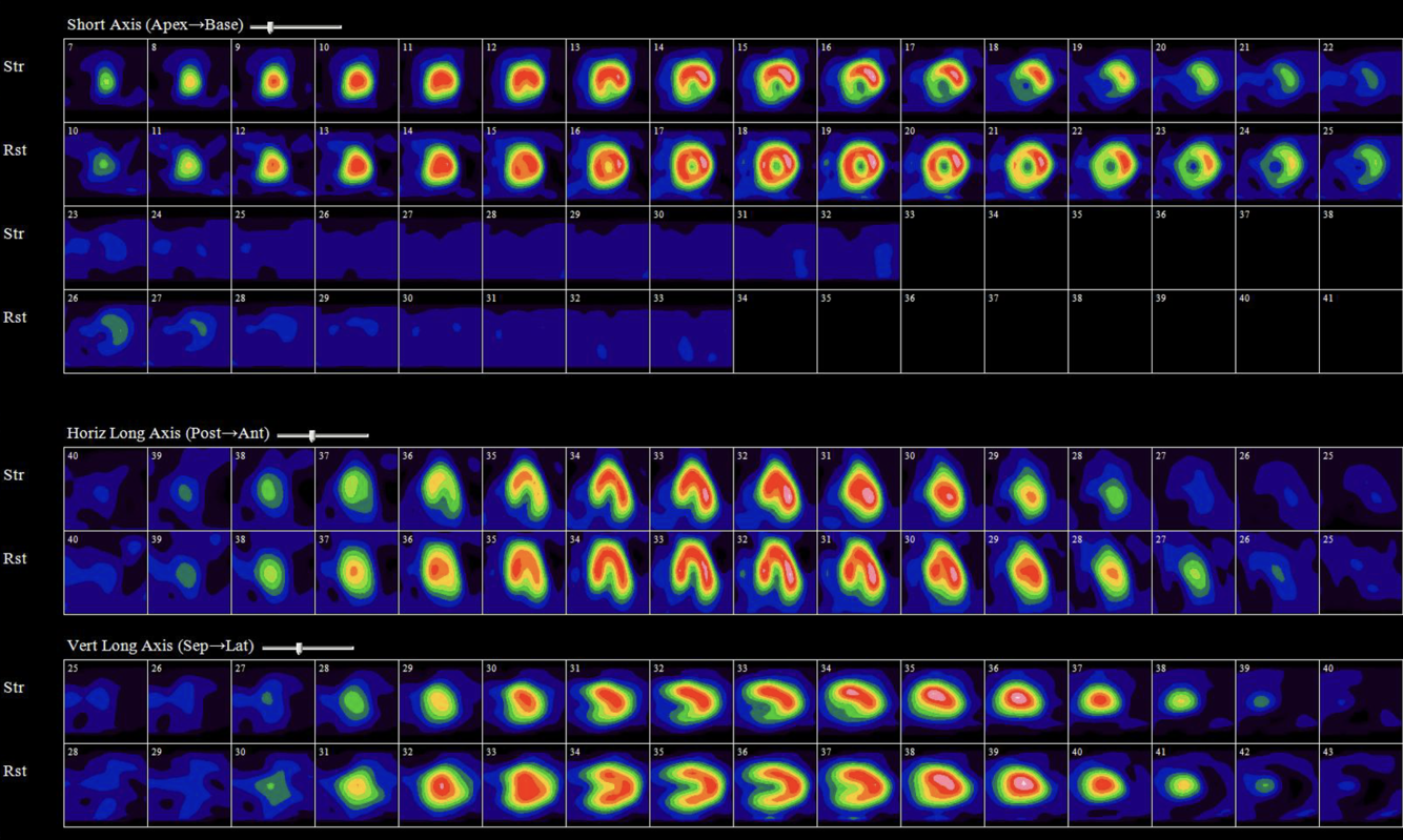
Large Inferior Infarct, RV/Lung uptake = High Risk Study

(RV Uptake: Severe multivessel disease, increased PCWP, Depressed EF)

How well did you know this?
1
Not at all
2
3
4
5
Perfectly
10
Q
A

Moderate-Large mid Anterior and Apical reversible defect

How well did you know this?
1
Not at all
2
3
4
5
Perfectly
11
Q
A

Inferolateral infarct with superimposed ischemia

How well did you know this?
1
Not at all
2
3
4
5
Perfectly
12
Q
A

Large partially reversible Inferior wall defect

How well did you know this?
1
Not at all
2
3
4
5
Perfectly
13
Q
A

Mod-Large reversible anterolateral defect (LCx Ischemia)

How well did you know this?
1
Not at all
2
3
4
5
Perfectly
14
Q
A

Large reversible anterolateral defect (LCx ischemia)

How well did you know this?
1
Not at all
2
3
4
5
Perfectly
15
Q
A

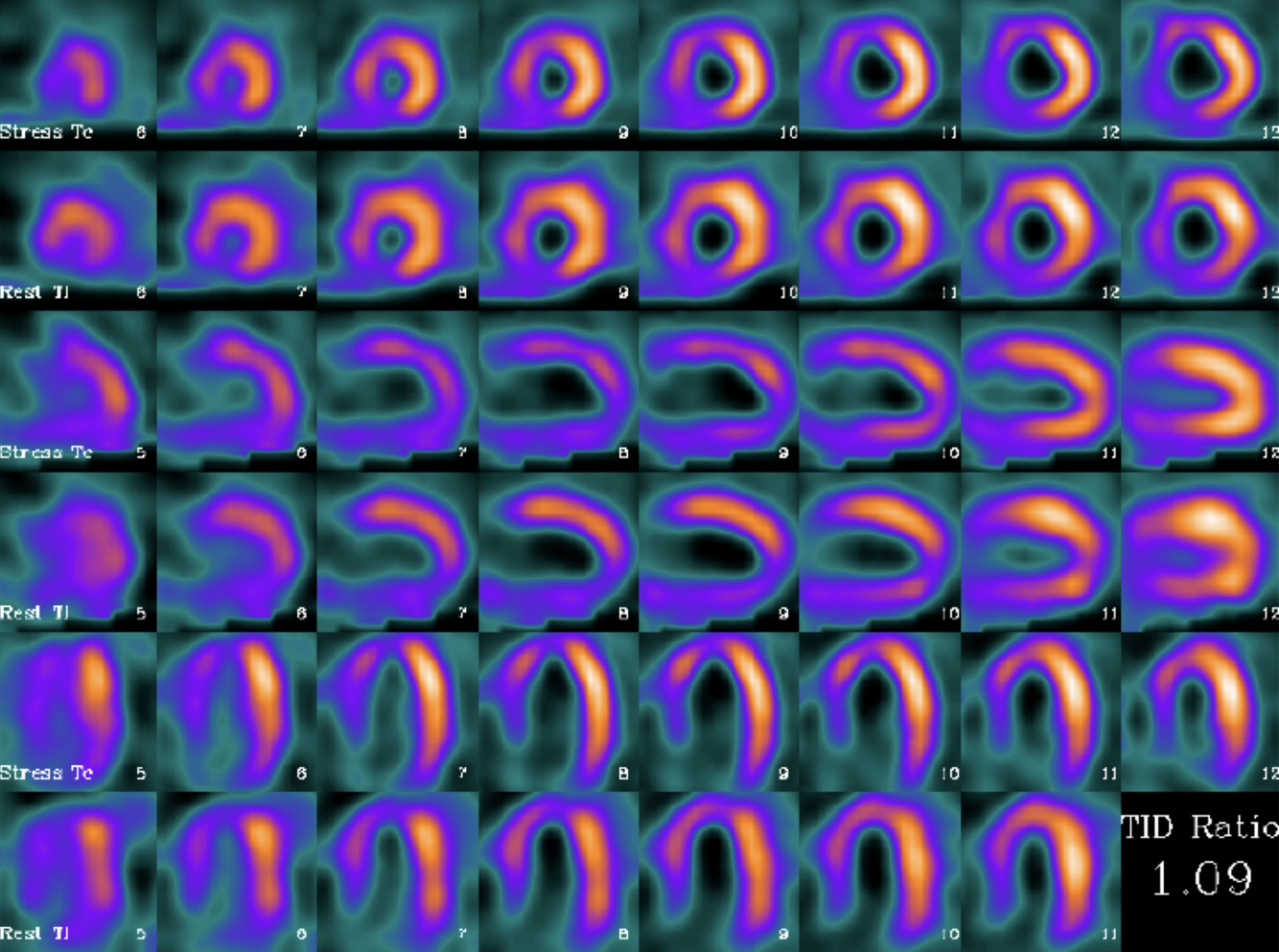
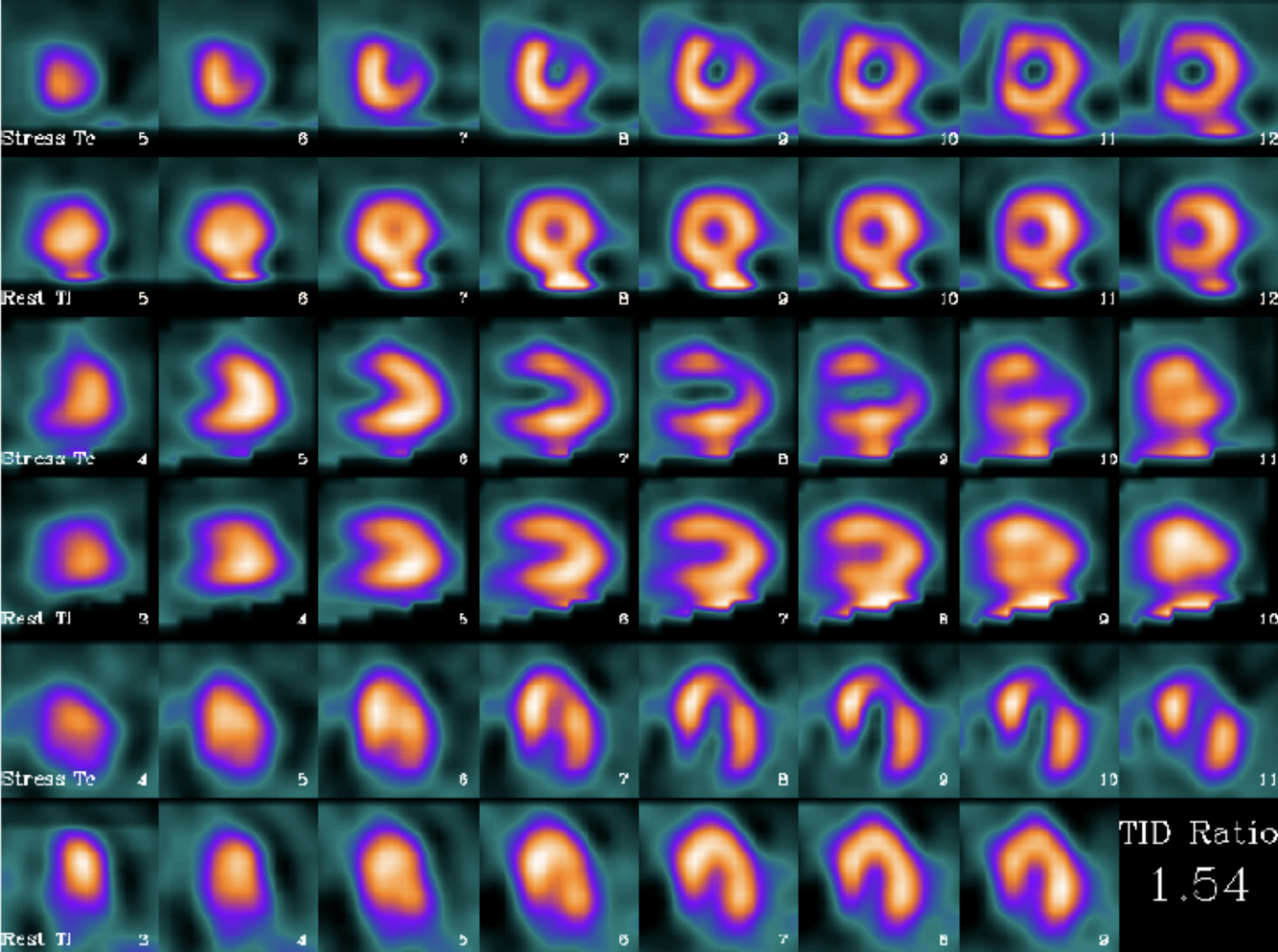
Large reversible anterior wall defect with TID (High risk, LAD lesion)

How well did you know this?
1
Not at all
2
3
4
5
Perfectly
16
Q
A

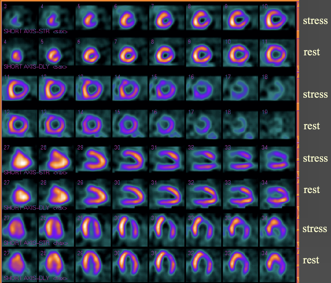
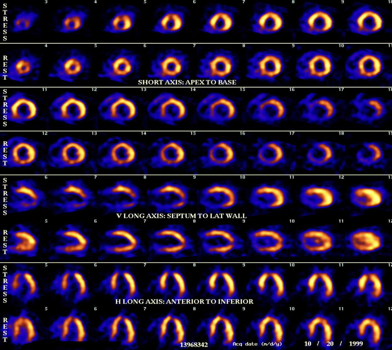
Large Fixed inferior Defect (Inferior Infarct) with Large Reversible Anterior Defect (LAD ischemia)

17
Q
A

Large Reversible Inferior Defect (RCA ischemia)

18
Q
A

Large Partially Reversible Anterolateral Ischemia (LAD)

19
Q
A

Moderate-Large Reversible Anterior Defect

20
Q
A

Moderate Reversible Inferior Defect

21
Q
A

Normal -> Inferior attenuation defect

22
Q
A

Inferolateral and Anterior ischemia

23
Q
A

Inferolateral Ischemia

24
Q
A

Mostly reversible Inferior and Anterior Defect

25
Small-Moderate reversible Inferior Defect
26
Moderate reversible Anterolateral defect
27
Inferior Infarct
28
Inferolateral Reversible defect
29
Partially Reversible Anteriolateral defect
30
Large Fixed Lateral Defect
31
Fixed defect in the septum and apex
32
Large Inferoseptal infarct
33
No Perfusion Deficits: Non Ischemic CMO