Data and imaging interpretation - The knee joint Flashcards

(14 cards)

1
Q

What is the assessment used to identify if a Knee X-ray is required?

What are the points to this ?

A

Ottawa Knee Rules

How well did you know this?
1
Not at all
2
3
4
5
Perfectly
2
Q

What is Varus ?

A

The terms varus and valgus refer to the direction that the distalsegment of the joint points.

How well did you know this?
1
Not at all
2
3
4
5
Perfectly
3
Q

What is Valgus ?

A

The terms varus and valgus refer to the direction that the distalsegment of the joint points.

VaLgus – tibia points Lateral

How well did you know this?
1
Not at all
2
3
4
5
Perfectly
4
Q

What type of joint is the knee ?

A

Synovial joint

How well did you know this?
1
Not at all
2
3
4
5
Perfectly
5
Q

What are the three main bones to the knee ?

A

Synovial:
Femur
Patella
Tibia
(Fibula)

How well did you know this?
1
Not at all
2
3
4
5
Perfectly
6
Q

When is the knee most stable ?

A

Most stable when extended – here have max area of contact

How well did you know this?
1
Not at all
2
3
4
5
Perfectly
7
Q

What is the function of the patella bone ?

A

Its gliding motion across the femur allows smooth extension at the knee and increases the mechanical advantage of the quadriceps

To cope with the potential large forces from activities such as running, the patella has the thickest articular cartilage in the body.

How well did you know this?
1
Not at all
2
3
4
5
Perfectly
8
Q

What shape is the posterior aspect of the lateral condylar surface ?

What does this allow ?

A

The posterior aspect of the lateral condylar surface is bevelled. As will be described later, this allows the lateral meniscus to slide backward when the knee flexes.

How well did you know this?
1
Not at all
2
3
4
5
Perfectly
9
Q

What is this ?

What causes it ?

A

Patella dislocation

Cause:
The alignment of the femoral and tibial shafts is such that the quadriceps pulls the patella superiorly and laterally
Increase risk with females

Knee effusion increases the risk of patella dislocation because vastus medialis quickly wastes.

How well did you know this?
1
Not at all
2
3
4
5
Perfectly
10
Q

What prevents a knee dislocation occuring ?

A

Prominent lateral part of the trochlea groove

Vastus medialis (MOST IMPORTANT)

How well did you know this?
1
Not at all
2
3
4
5
Perfectly
11
Q

What muscle is very important for keeping the patella in place? You

A

Vastus medialis

How well did you know this?
1
Not at all
2
3
4
5
Perfectly
12
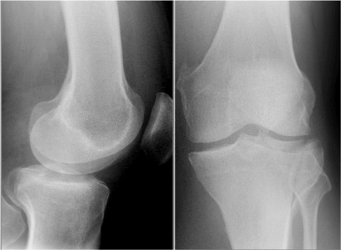
Q

76 yo
Changing the bulb in the corridor
Felt from the ladder directly onto the right knee
Pain/ swelling/ 0 ROM/ unable to WB

What is this ?

What can be an issue with this ?

A

Femoral Supracondylar fracture

How well did you know this?
1
Not at all
2
3
4
5
Perfectly
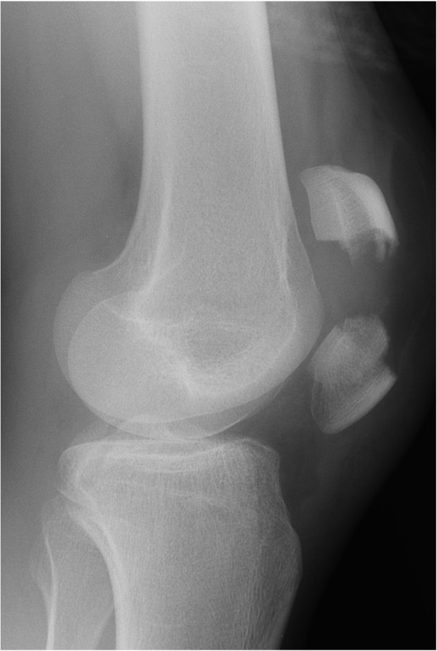
13
Q

30 yo
RTA 60 mph- significant damage to the car
Hit the knee in the dash board
Pain++
Tender over patella

What is this ?

A

Patella fracture

The quads muscles commonly pull this muscle up seperating the two.

How well did you know this?
1
Not at all
2
3
4
5
Perfectly
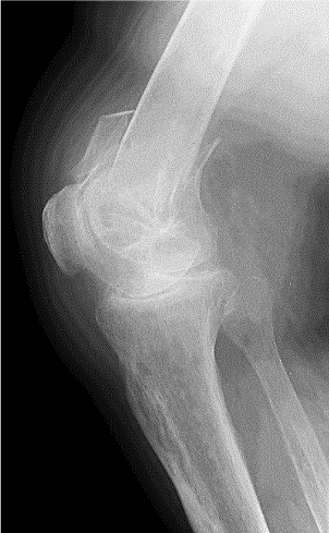
14
Q

45 yo
Felt from the fence 3 m high
Pain and swelling to the knee
0 ROM
Not WB

A

Tibia Fracture

How well did you know this?
1
Not at all
2
3
4
5
Perfectly