Imaging & Data Interpretation: ervical Spine Imaging Flashcards

(18 cards)

1
Q

Why can a cervical spine injury be very dangerous ?

A

Thephrenic nerveis a mixed motor/sensorynervewhich originates from theC3-C5 spinal nervesin the neck.
This nerve is important for breathing because it provides motor control to the diaphram.

How well did you know this?
1
Not at all
2
3
4
5
Perfectly
2
Q

Where does the phrenic nerve begin ?

What does it innervate ?

A

In humans, the right and left phrenic nerves are primarily supplied by theC4 spinal nerve, but there is also contribution from the C3 and C5 spinal nerves.

Innervated the diaphram.

How well did you know this?
1
Not at all
2
3
4
5
Perfectly
3
Q

What does the supraspinous ligament connect ?

A

The supraspinous ligament connects the tips of thespinous processesfrom the seventhcervical vertebrato thesacrum
Above the seventh cervical vertebra, the supraspinous ligament is continuous with thenuchal ligament

How well did you know this?
1
Not at all
2
3
4
5
Perfectly
4
Q

What does the ligamenta flava connect?

A

Theligamenta flavaare a series ofligamentsthat connect the ventral parts of thelaminaeof adjacentvertebrae.

How well did you know this?
1
Not at all
2
3
4
5
Perfectly
5
Q

What is included in the anterior column of the verterbrae ?

A

Involves the anterior two thirds of the vertebral body/intervertebral disc, and the anterior longitudinal ligament.

How well did you know this?
1
Not at all
2
3
4
5
Perfectly
6
Q

What does the middle column of the verterbrae include?

A

Involves the posterior aspect of the vertebral body/intervertebral disc, and the posterior longitudinal ligament.

How well did you know this?
1
Not at all
2
3
4
5
Perfectly
7
Q

What does the posterior column of the vertebrae include?

A

Involves the posterior elements - the lamina, facet joints, spinous processes, and the associated ligaments.

How well did you know this?
1
Not at all
2
3
4
5
Perfectly
8
Q

How many columns of the vertebrae need to be damaged for it to be considered “ unstable”

A

2

How well did you know this?
1
Not at all
2
3
4
5
Perfectly
9
Q

What are the 4 mechanisms of injury to the vertebrae?

A

Compression
Flexion/ extension
Rotation
Combination

How well did you know this?
1
Not at all
2
3
4
5
Perfectly
10
Q

What is a jeffersons fracture ?

What bone does it effect ?

A

An axial force ( compression fracture)

c1

Since the vertebral foramen is large, it is unlikely that there will be damage to the spinal cord at the C1 level. However, there may be damage further down the vertebral column.

How well did you know this?
1
Not at all
2
3
4
5
Perfectly
11
Q

What type of fracture can be seen in c1 ( the atlas)

A

jefferson fracture

Since the vertebral foramen is large, it is unlikely that there will be damage to the spinal cord at the C1 level. However, there may be damage further down the vertebral column.

How well did you know this?
1
Not at all
2
3
4
5
Perfectly
12
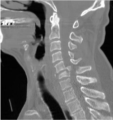
Q

What is this ?

A

Cervical CT:
C6 compression # with post. fragment

How well did you know this?
1
Not at all
2
3
4
5
Perfectly
13
Q

From what mechanism of injury can a hyperextension (whiplash) injury be seen?

In minor cases what can this cause injury to?

In severe cases what can this cause injury to ?

A

A rear-end traffic collision or a poorly performed rugby tackle can both result in the head being whipped back on the shoulders, causing whiplash.

In minor cases, theanterior longitudinal ligament of the spineis damaged which is acutely painful for the patient.

In more severe cases, fractures can occur to any of the cervical vertebrae as they are suddenly compressed by rapid deceleration. Again, since thevertebral foramenis large there is less chance of spinal cord involvement

How well did you know this?
1
Not at all
2
3
4
5
Perfectly
14
Q

What is the worst possible outcome for a C spine fracture caused by a flexion/extension mechanism ?

A

The worst-case scenario for these injuries is that dislocation or subluxation of the cervical vertebrae occurs.

This often happens at the C2 level, where the body of C2 moves anteriorly with respect to C3. Such an injury may well lead to spinal cord involvement, and as a consequence quadriplegia or death may occur. More commonly, subluxation occurs at the C6/C7 level (50% of cases).

How well did you know this?
1
Not at all
2
3
4
5
Perfectly
15
Q

What algorithms can be used for suspected c spine injury ?

A

1 - Canadian c-spine rules

2- Nexus

How well did you know this?
1
Not at all
2
3
4
5
Perfectly
16
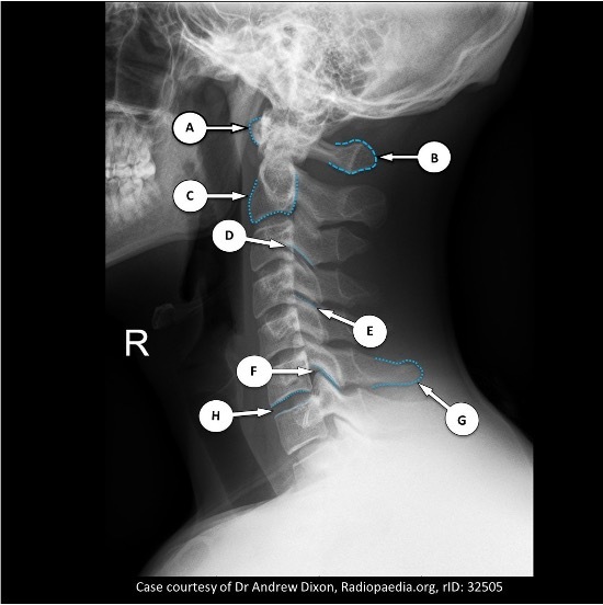
Q

Name all of these A-H

A

a) anterior arch of atlas
b) posterior arch of the atlas
c) body of C2
d) inferior articular process
e) superior articular process
f) zygapophyseal (facet) joint
g) spinous process of C6
h) intervertebral disc space

17
Q

What fractures are present here?

A

Lateral x-ray shows spinous process fractures from C3 to C5. Bilateral fracture of C6 laminae.
The patient is wearing a cervical collar.

18
Q

What fractures are present here ?

A

Fractured spinous process C7