For the following arterial duplex US (DUS) image:
comment on the PRF setting

PRF is set very low
you can tell this based on the velocity range of the color bar (range of 12 cm/s, relatively low setting
recall that PRF value is directly-related to color doppler frequency parameters (and the associated blood velocity)
Name 7 indications for carotid duplex ultrasound (DUS) exam.
screening (primary prevention)
monitoring known disease (2o prevention)
acute ischemic cerebrovascular event (r/o carotid etiology)
other → suspected subclavian steal
Where should CCA velocity ideally be measured?
a few cm proximal to carotid bifurcation
Give the range of ABI values that correspond to borderline, mild, moderate, and severe PVD.
ABI values:
normal ABI range is 1.0-1.40

Pt with abdominal pain after eating has arterial duplex US images shown below. Most likely diagnosis?
*Note that left panel images were taken from supine position and right panel from sitting position.

median arcuate ligament syndrome
Carotid DUS images shown below. Diagnosis?

left ICA occlusion

note the externalization* of the left CCA in the DUS image
*occurs when CCA waveform has solely a low-resistance pattern (implies blockage of high-restistance ICA branch)
For the PVR tracing below, what is the severity of PAD?

normal PVR tracing ⇒ no vascular disease present
normal PVR contour looks like a handgun:

Identify the 2 vessels* in the images shown below.
*the vessels with arrows pointing to them

top vessel is ICA and bottom vessel is ECA

bottom vessel has branches ⇒ it is the ECA
Carotid DUS imaging shown below. Diagnosis?

near-total ICA occlusion
note significant ICA plaque with low velocities distal to lesion (“falling off spencer-reid curve”)
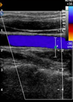
In which direction is blood flowing in the vascular duplesx US (DUS) image shown below?

to the left
ðf = doppler shift

Give the algorithm for DUS grading of carotid stenosis (NASCET based, 4 steps).
step 1: assess PSV
step 2: assess plaque burden
step 3: assess EDV
step 4: assess ICA/CCA ratio

Name 7 carotid diseases that can be identified on carotid duplex imaging.
dysplastic - fibromuscular dysplasia
neoplastic - carotid body tumor
inflammatory - large vessel vasculitis (GCA and Takayusu’s)
degenerative
trauma
Name the 3 secondary parameters that are used in the NASCET (aka SRU) criteria for assesment of carotid stenosis.

Patient has Lt ICA 100% occlusion. Rt carotid system shown below. PSV = 208 cm/s in proximal Rt ICA.
Most likely diagnosis?

mild Rt ICA stenosis (<50%)
since Lt ICA is 100% occluded, there should be elevated Rt CCA velocities (CCFA*)
plaque in proximal Rt ICA is <<50% ⇒ elevated velocities across Rt ICA are likely due to CCFA
*CCFA = compensatory carotid flow augmentation
What are the 3 descriptors that you should use when characterizing luminal plaque in your report?
For the PVR tracing below, what is the severity of PAD?

mild PAD

mild PVR contour looks like a capital N
In which direction is this image steered?

to the left
steering color doppler imaging to left → diagonal border points to 6-9 o’clock region

Carotid DUS imaging shown below. Diagnosis?

50-69% ICA stenosis
Carotid DUS imaging shown below. Diagnosis?

normal exam
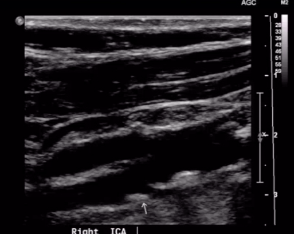
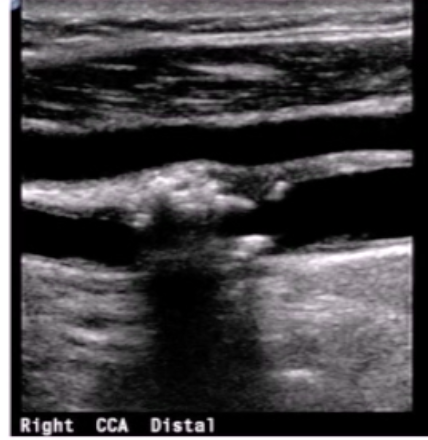
Name the artifact and associated pitfall shown in this image.

artifact: acoustic shadowing due to calcific plaque
pitfall: blood velocity distal to calcium often cannot be assessed
*image shows ICA lesion
Carotid DUS imaging shown below. Diagnosis?

<50% stenosis
note the <50% atheroma in the proximal ICA with PSV ~80 cm/s
Tech calls you asking for your advice on the carotid DUS shown below. What to tell her?

try power doppler or changing the DIA*
image shows calcific lesion in right ICA → region of stenosis cannot be interrogated w/ color doppler due to acoustic shadowing
*DIA = doppler interrogation approach
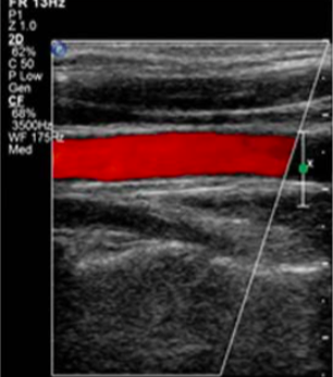
With regard to vascular duplex US (DUS) imaging:
Positive doppler shifts (ðf) are encoded with which color?
whichever color is a/w plus sign on color bar

i. e. (+) sign on color bar ⇒ (+) ðf
note: if no sign is present on color bar, then whichever color is above the baseline (red in this example) is assigned (+) ðf
note: the mnemonic BART (blue away, red towards) does not always hold for vascular imaing
The external carotid artery has a _____ resistance wave form (on arterial dopple imaging).
The external carotid artery has a high resistance wave form.
