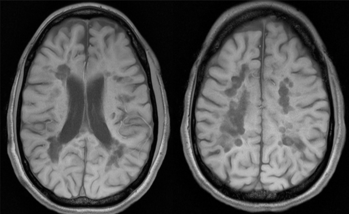
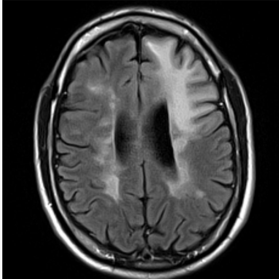
A 30 year-old female presented with with double vision.

Multiple sclersois - Dawson’s fingers
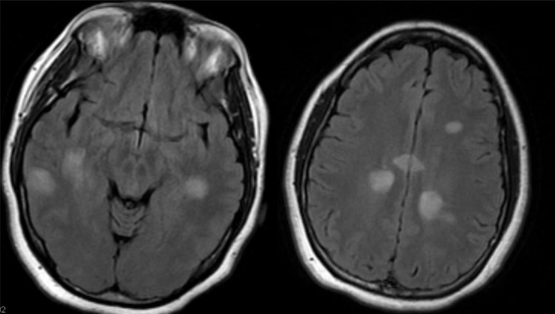
A 30 year-old female presented with with double vision.

Multiple sclerosis - Juxtacortical lesions
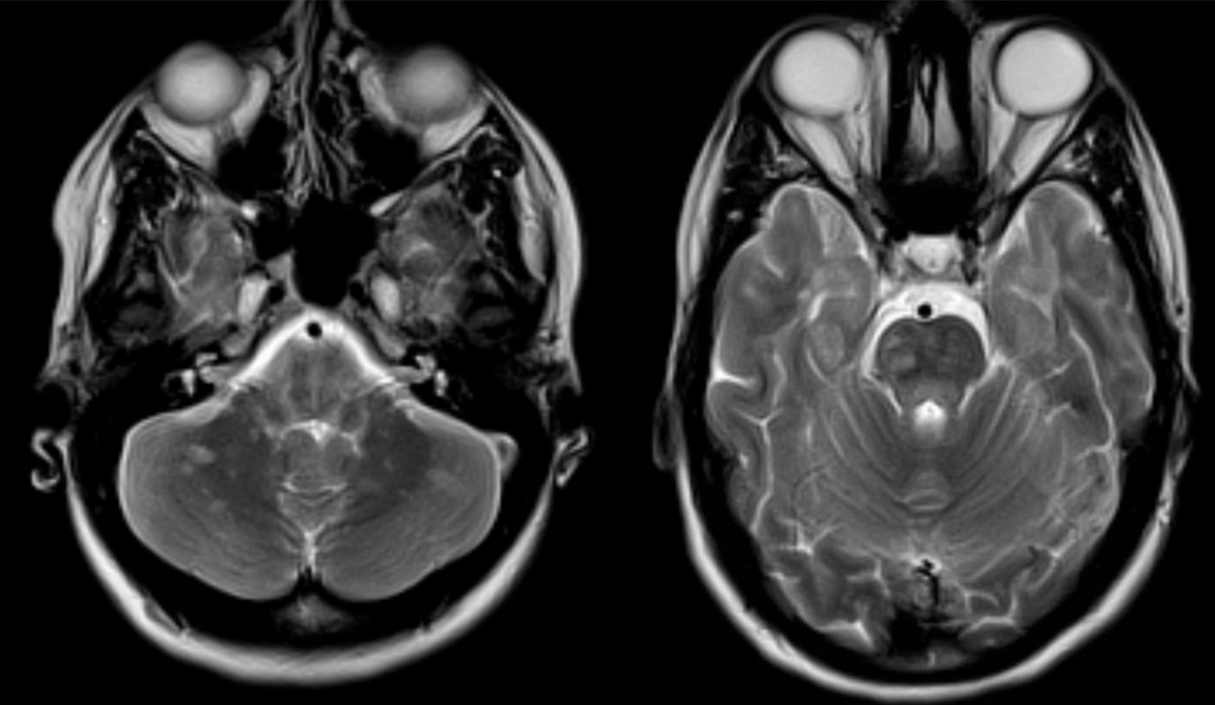
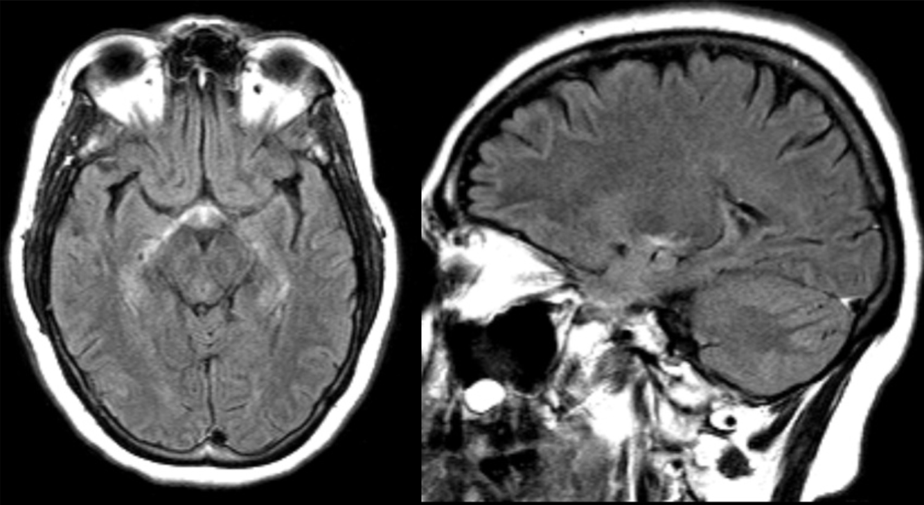
A 30 year-old female presented with with double vision.

Multiple sclerosis - infratentorial lesions
A 30 year-old female presented with with double vision.

Multiple sclerosis - lesions in corpus callosum
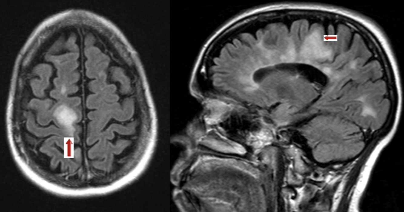
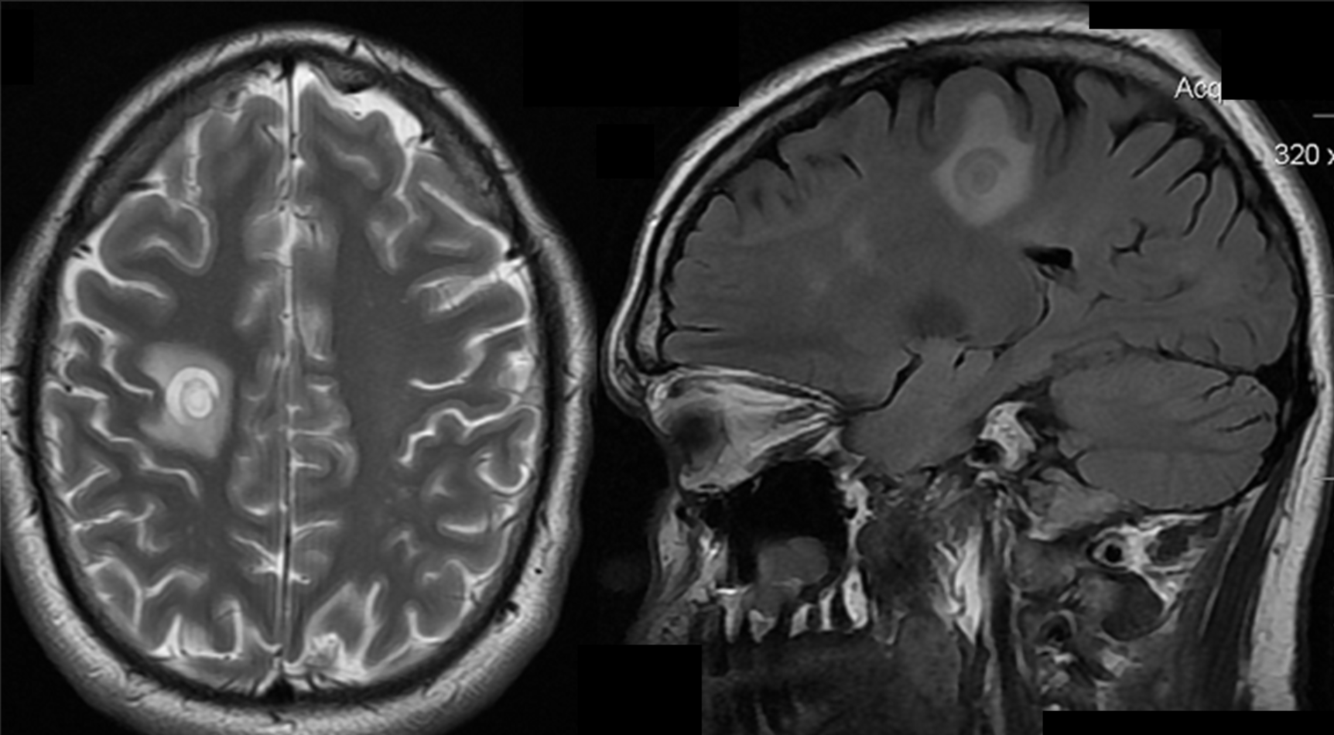
A 50 year-old man developed personality changes and subtle left-sided weakness.

Multiple sclersois - Tumefactive lesion
A 24 year-old man presented with left arm weakness.

Multiple sclerosis - Balos
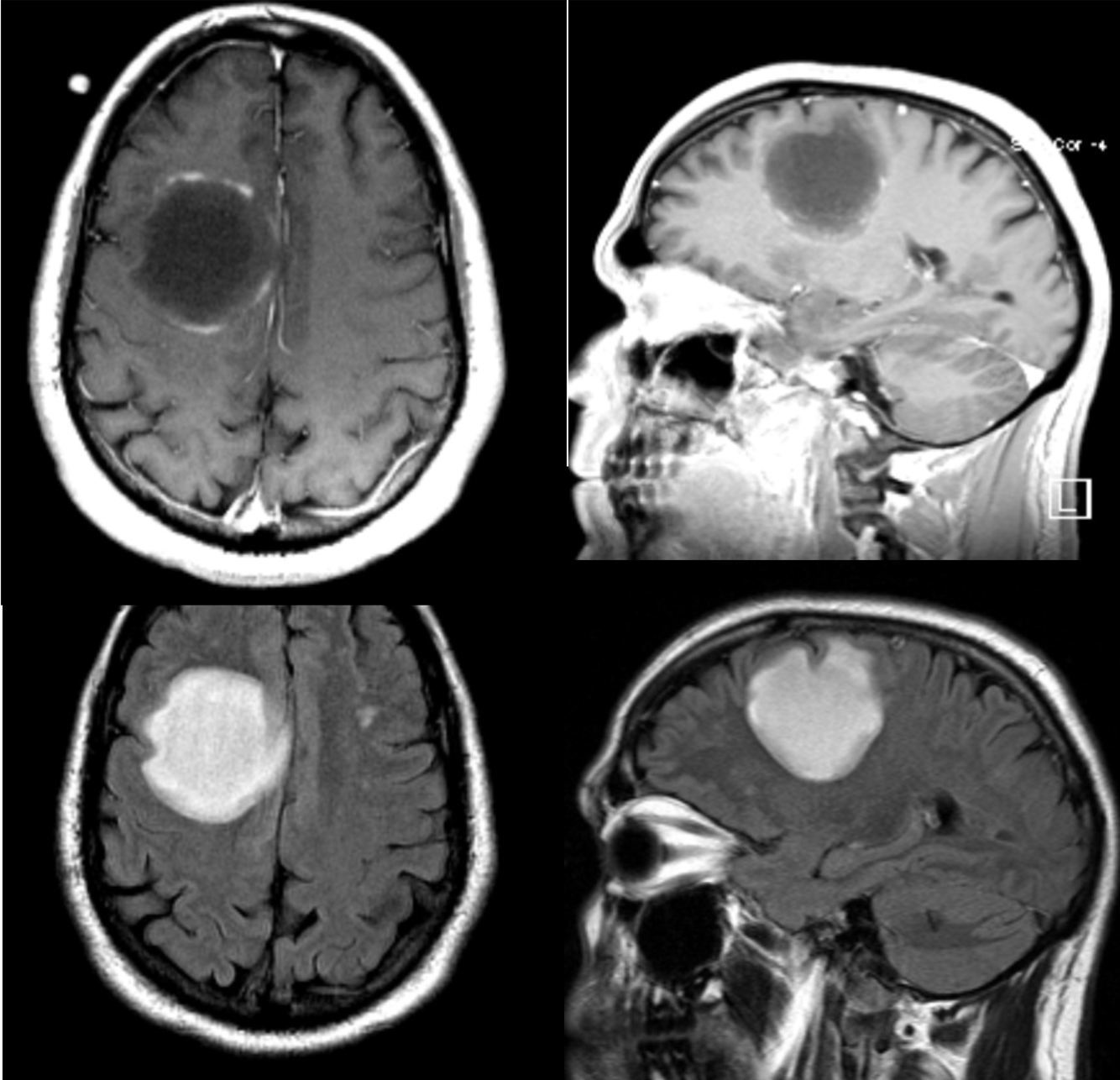
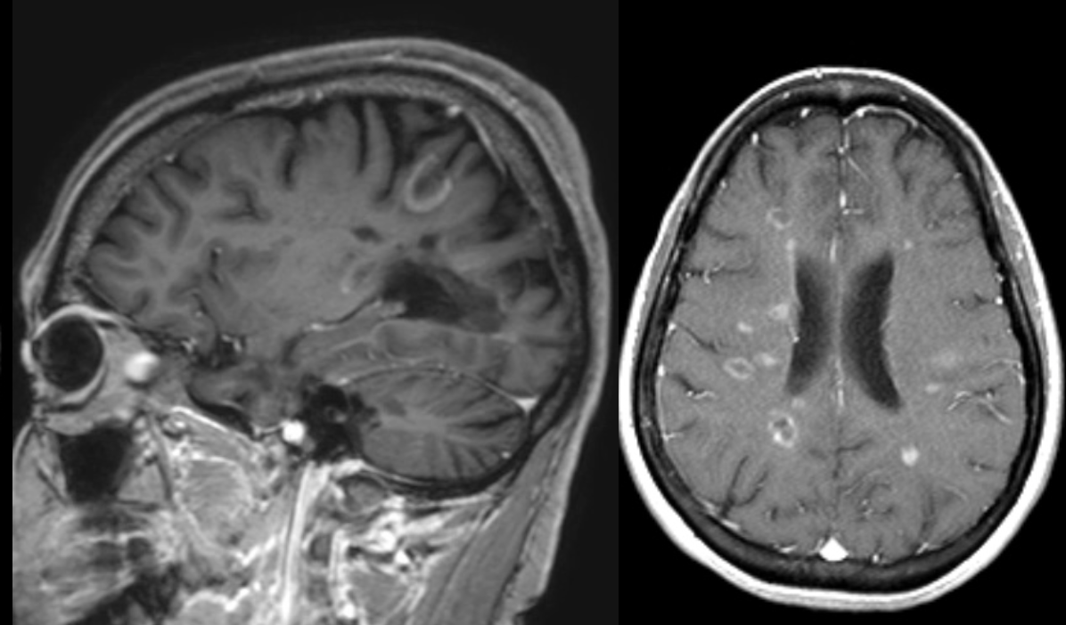
A 34 year-old patient presented with double vision and left arm weakness.

Multiple sclerosis - incomplete ring-enhancing lesions
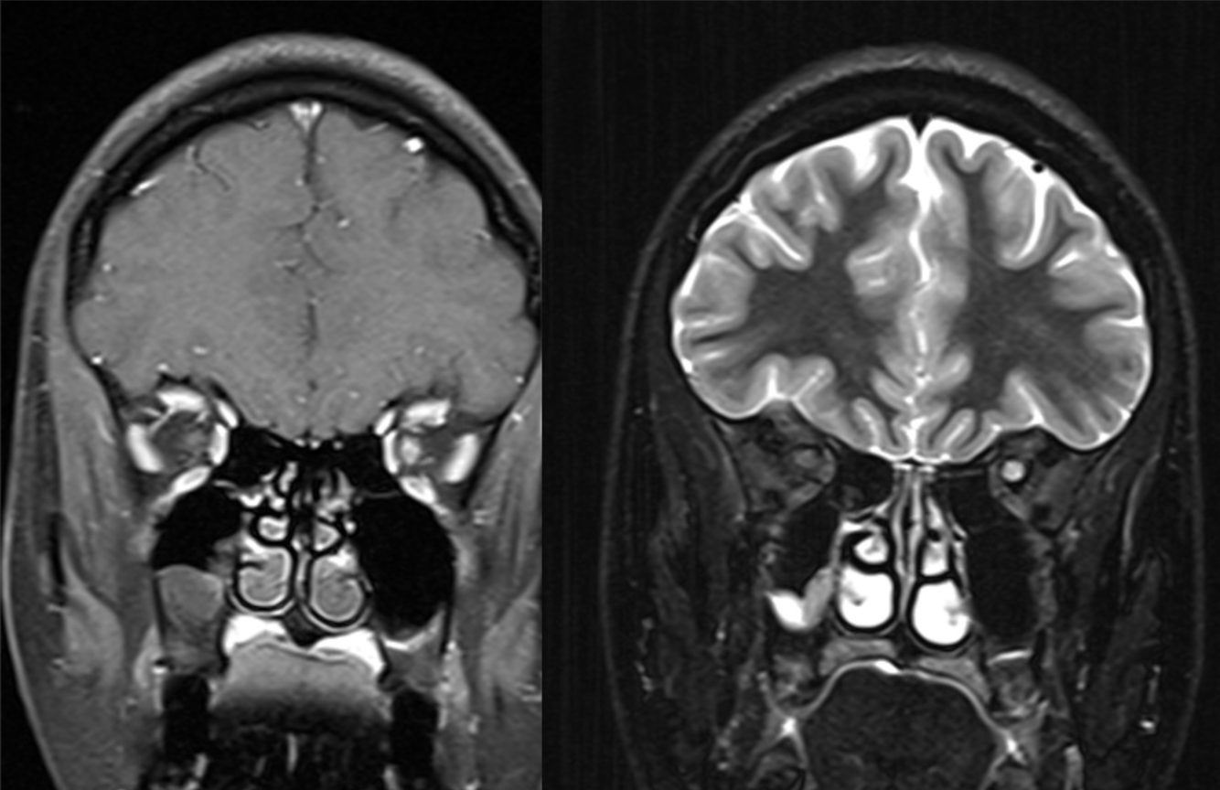
A 29 year-old woman presented with blurry vision and pain in her left eye for 3 days.

Multiple sclerosis - left optic neuritis
A 45 year-old female with cognitive impairment, ataxia.

Multiple sclerosis - black holes
A 34 year-old woman presented with several days of severe, progressive blindness.

Neuromyelitis optica (NMO)
A 45 year-old male with MS developed cognitive slowing and abulia.

Progressive multifocal leukoencephalopathy (PML)
An 8 year-old child presented with encephalopathy and seizures.

Acute disseminated encephalomyelitis (ADEM)