A 27 year-old man was comatose after severe head trauma.

Diffuse axonal injury
Background
Clinical presentation
Imaging
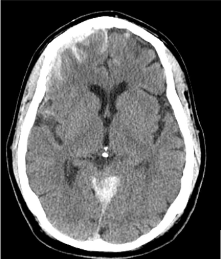
A 43 year-old man with a headache and lethargy after a car accident.

Subarachnoid hemorrhage
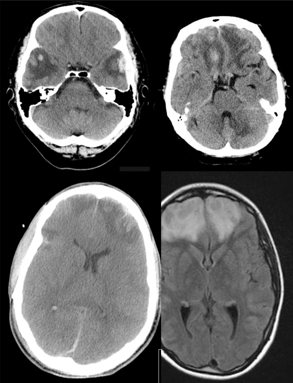
43 year-old man after trauma.

Cerebral contusion (intraparenchymal hemorrhage)
Background
Clinical features