45 y/o with headache.

Subarachnoid hemorrhage

39 y/o F with right- sided weakness and left 6th nerve palsy.

Brainstem glioma
65 y/o alcoholic with confusion. The smaller, inset image is a normal MRI for comparison.

Wernicke’s encephalopathy

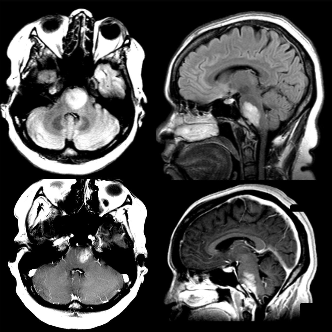
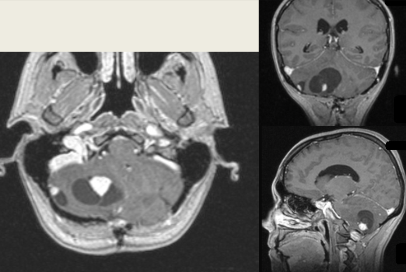
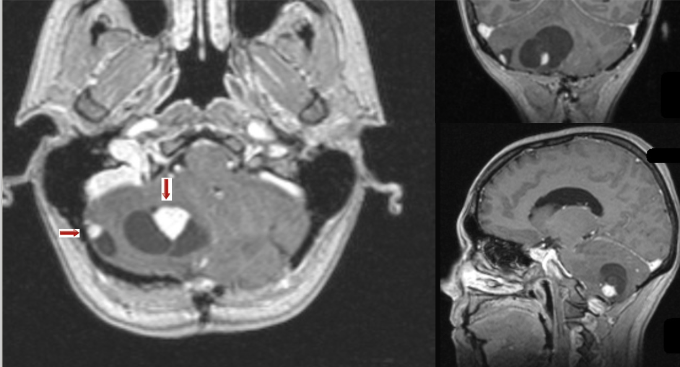
13 y/o with ataxia.

Von-Hippel-Lindau syndrome with cerebellar hemangioblastomas

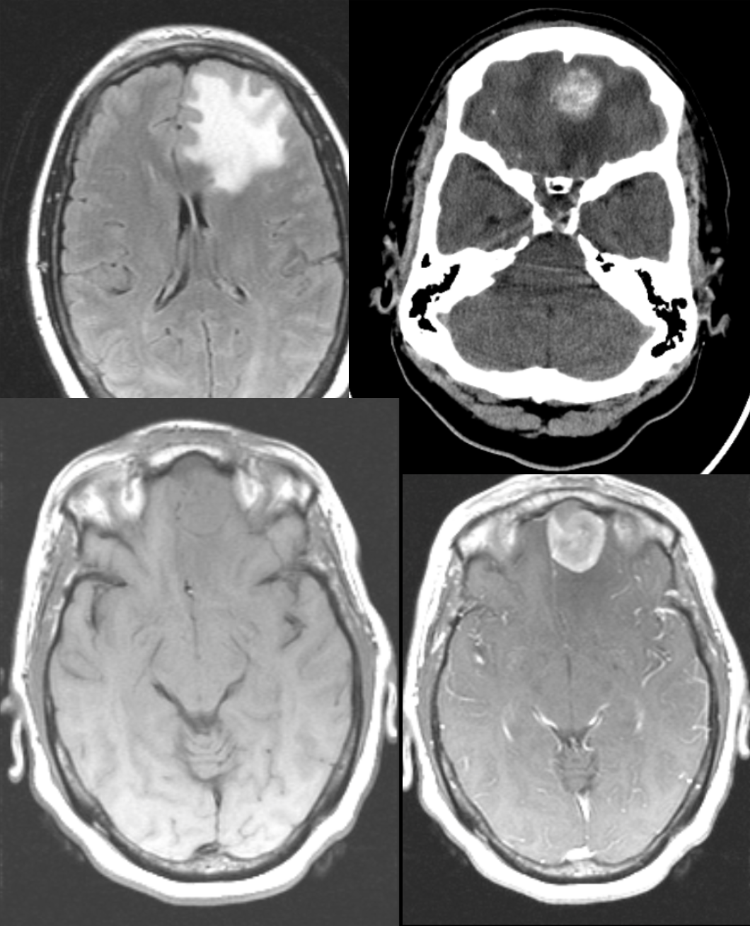
57 y/o with seizures.

Meningioma
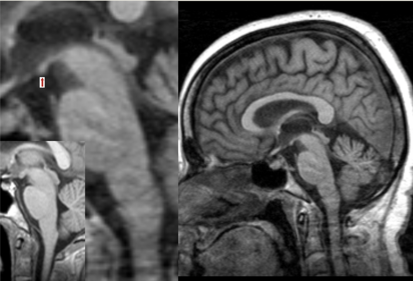
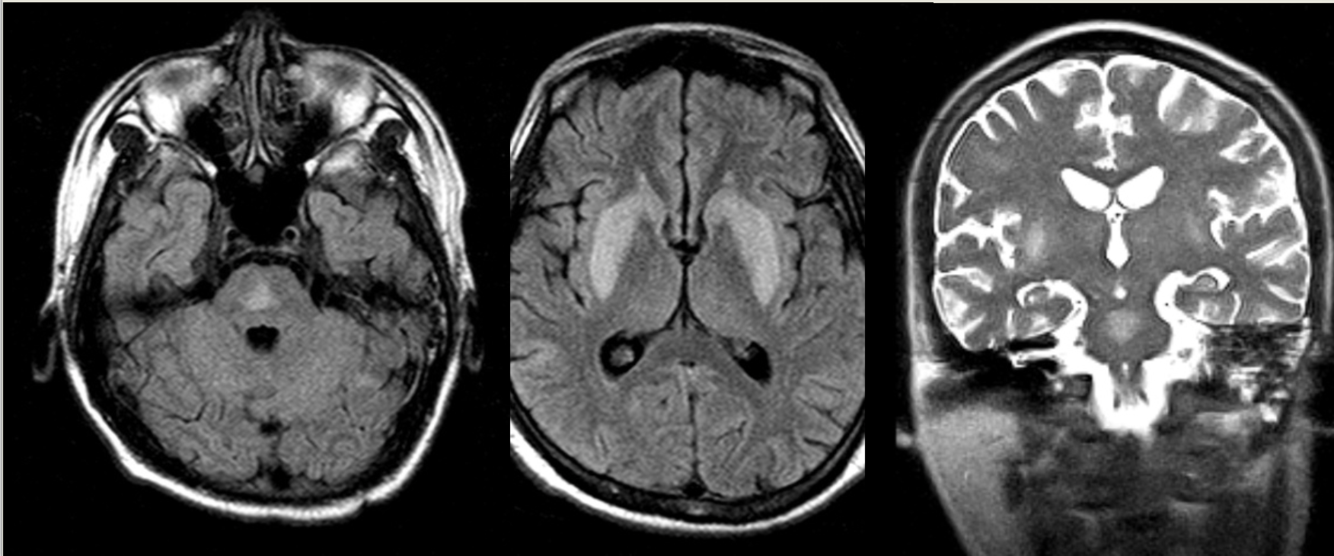
65 y/o M with rigidity.

Olivopontocerebellar atrophy
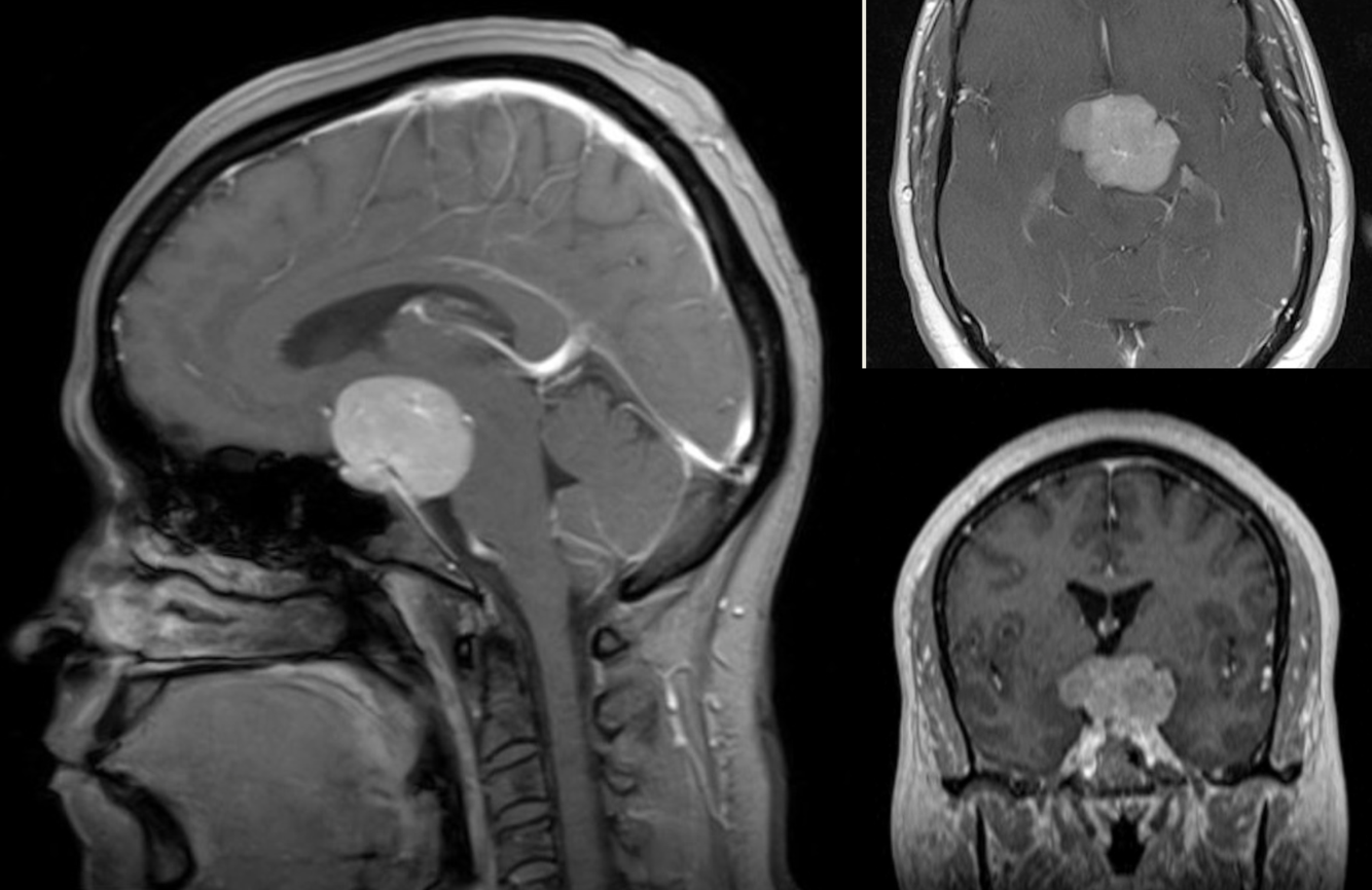
45 y/o M with bitemporal hemianopsia.

Meningioma arising from dorsum sella
Angiograms after subarachnoid hemorrhage in different patients.

Vasospasm

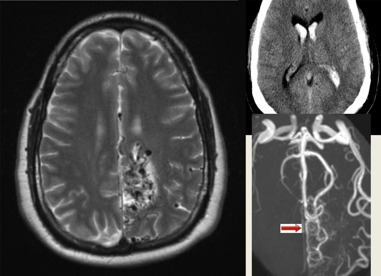
39 y/o M found down.

Intraventricular bleed due to AVM

46 y/o M with weakness diffusely.

Amyotrophic lateral sclerosis
36 y/o healthy M with cognitive slowing, personality changes, HIV neg.

Gliomatosis cerebri
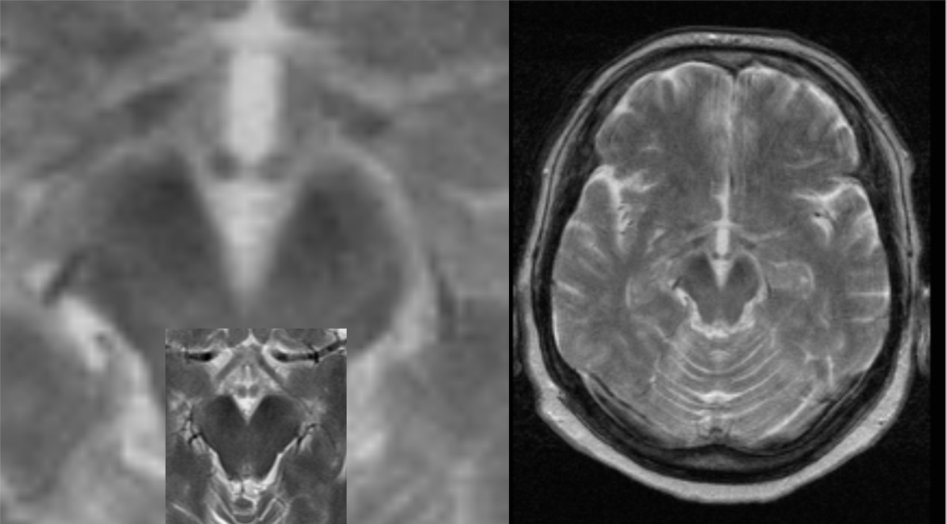
48 y/o M admitted for ETOH withdrawal, became encephalopathic and parkinsonized in hospital.

Central pontine and extrapontine myelinolysis
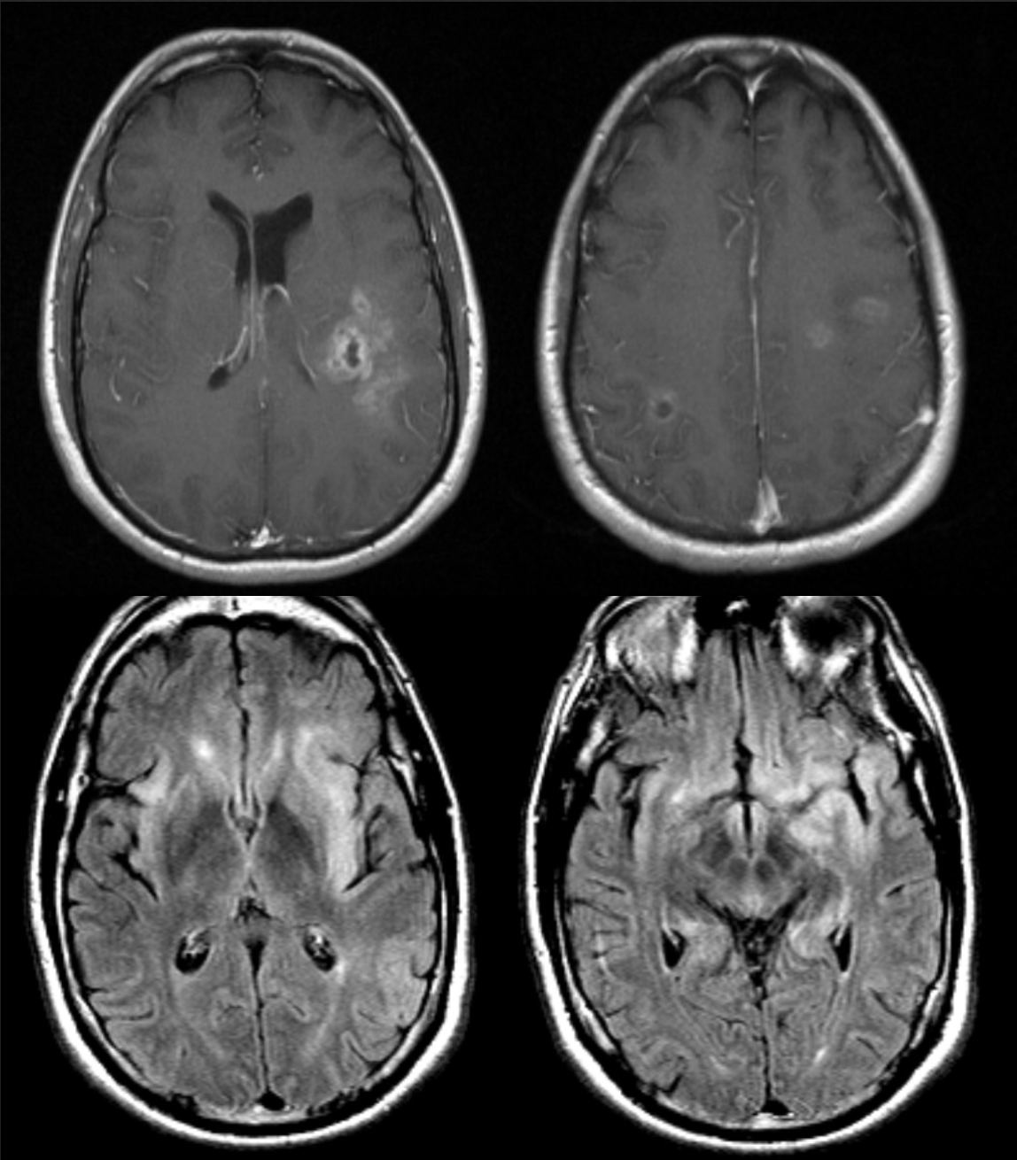
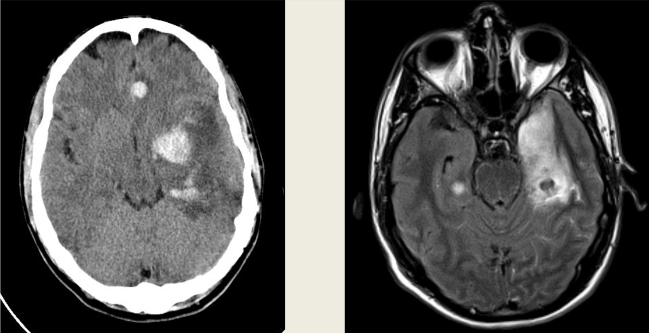
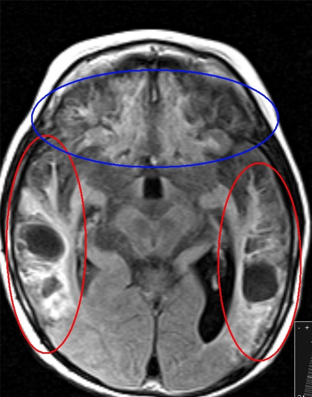
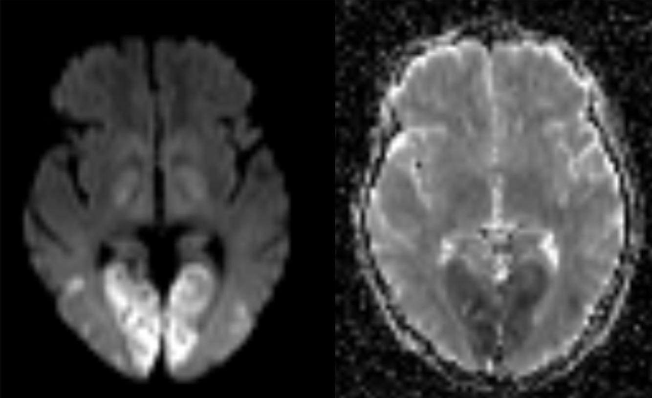
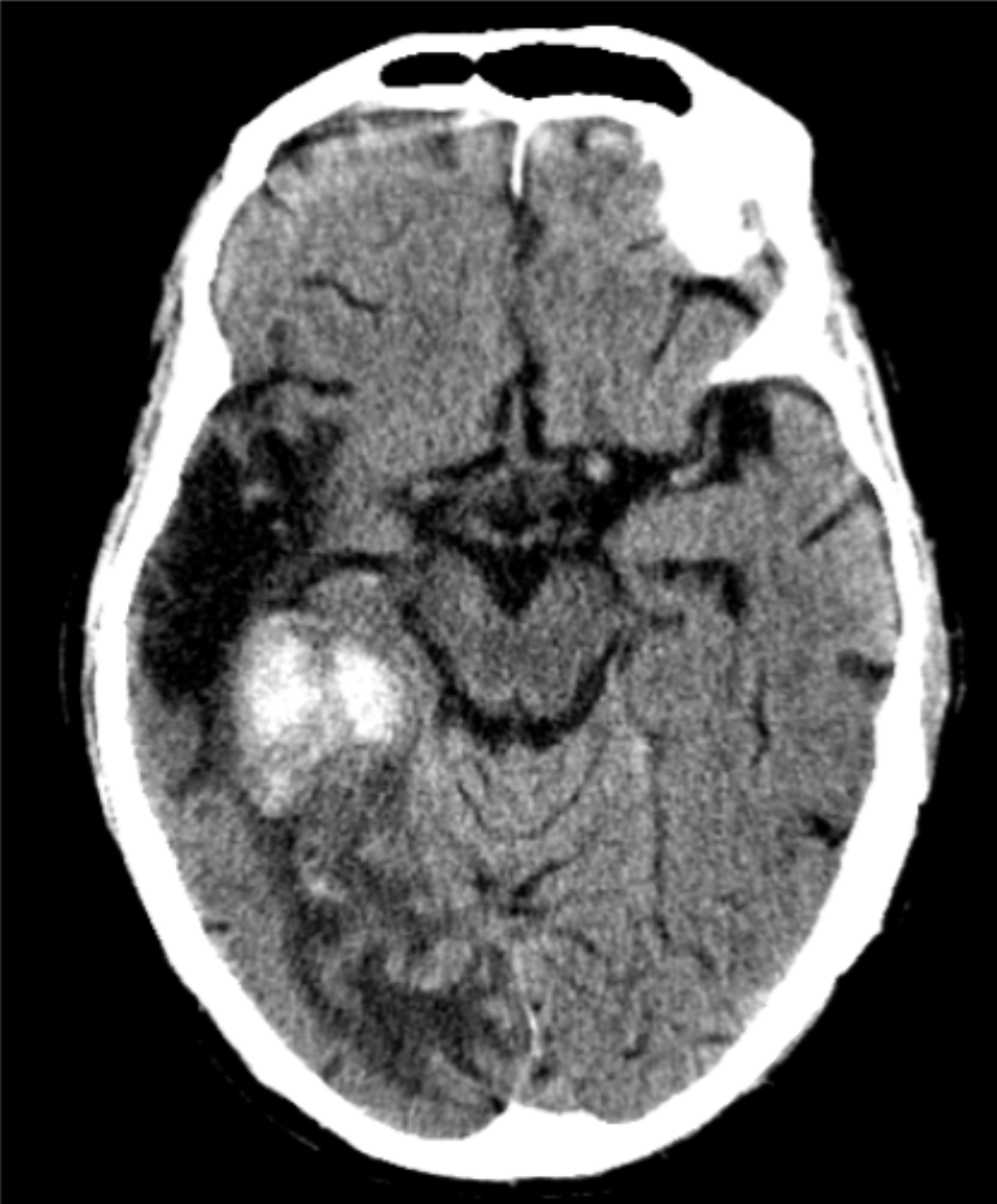
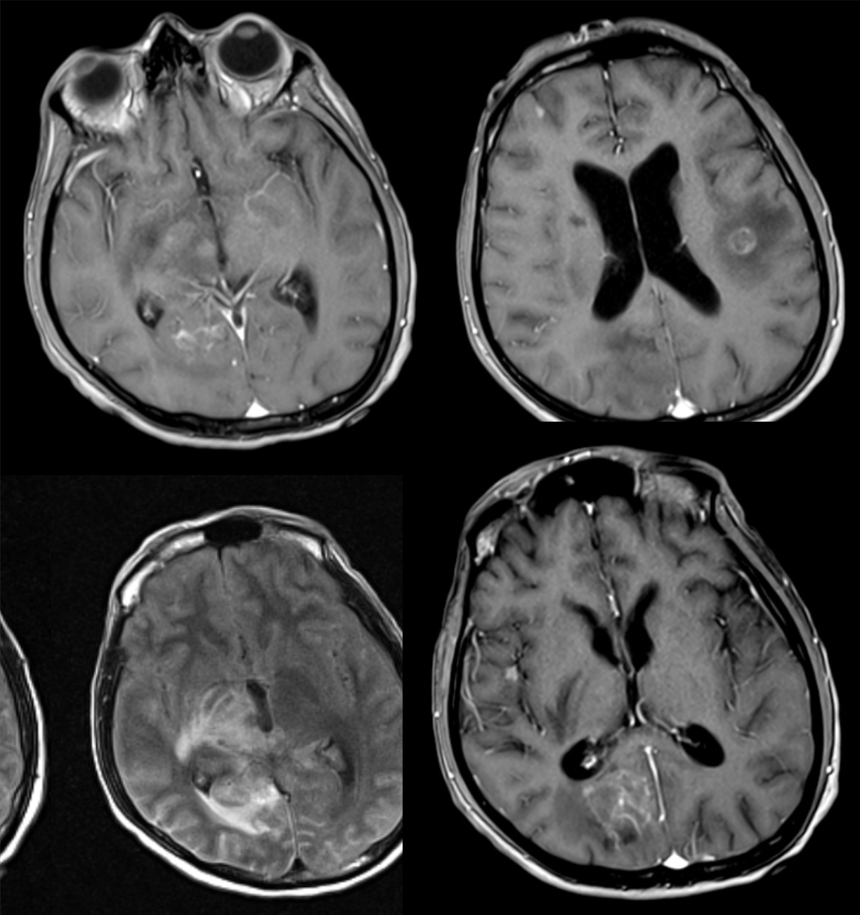
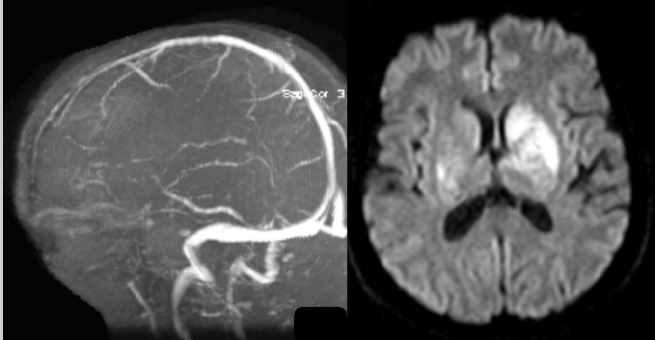
36 y/o healthy F with left-sided weakness and numbness.

Primary CNS lymphoma
89 y/o F with alexia w/o agraphia and aphasia.

Remote PCA and MCA stroke
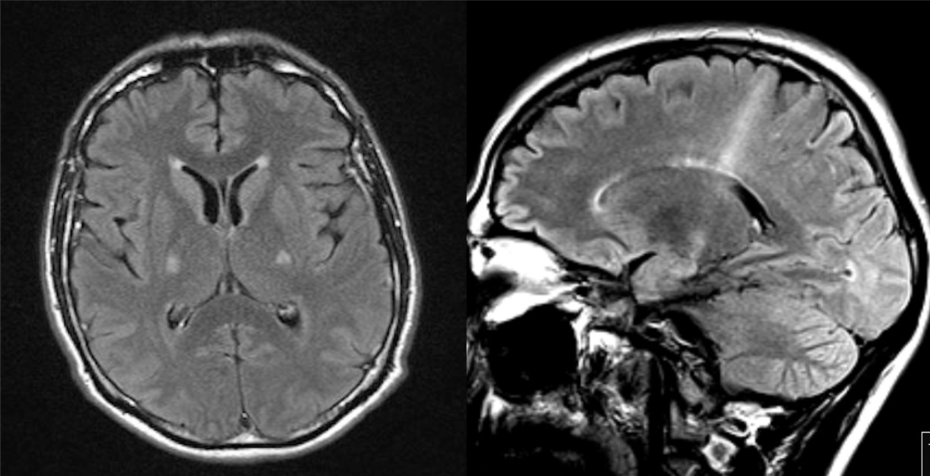
An otherwise healthy 23-year-old man presented with confusion and trouble speaking for 3 days. There was no prior trauma.

Herpes encephalitis

9 y/o M with seizures- 3 MRIs in one week.

Admission: ganglioglioma
Day 2: Intracranial electrodes
Day 5: Temporal lobectomy
8 y/o boy with mental retardation and seizures. He had operation.

Sturge-Weber syndrome
59 y/o with sudden onset cortical blindness.

Bilateral PCA stroke
68 y/o F with left sided visual hallucinations.

Hemorrhagic conversion of PCA ischemic stroke
Immuno- compromised patient with seizure.

Aspergillosis
35 y/o F with acute R-sided weakness.

Thrombosis of inferior sagittal sinus

20 y/o F with psychosis.

Limbic encephalitis

25 y/o F with headaches.

Pseudotumor cerebri
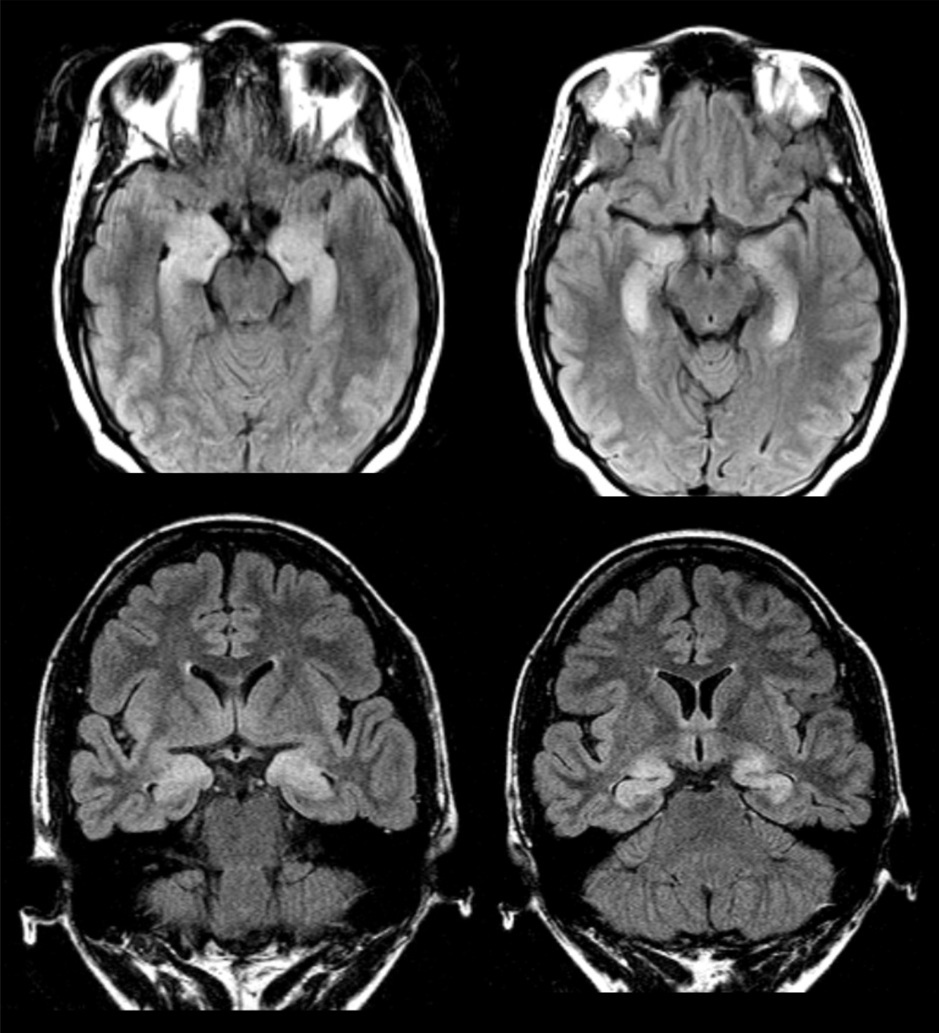
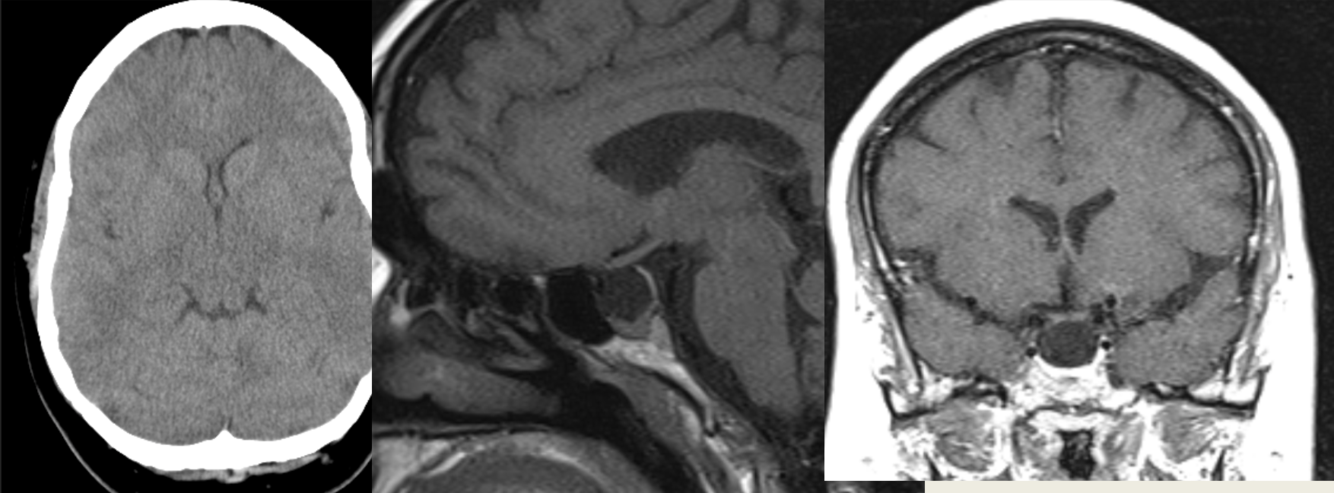
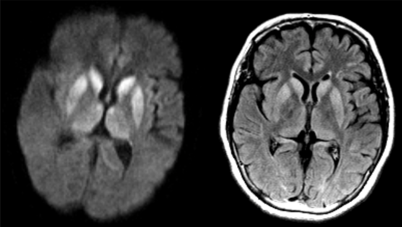
65 y/o M with dementia.

Creutzfeldt-Jakob Disease (CJD)