which layer of skin does dermatitis effect
epidermis
outline the acute phase of dermatitis
signs of 2y infection
golden crusting - strep/staph, may exacerbate acute dermatitis

what changes can skin inflammation have on skin colour
can cause disruption of skin pigmentation causing post inflammatory hyper/hypo pigmentation

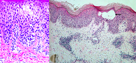
outline the histology of dermatitis

allergic contact dermatitis
common contact allergens for allergic contact dermatitis
nickel, perfume, chrome (cement), latex
outline the immunology of allergic contact dermatitis
how much allergen is needed to cause a contact allergic dermatitis reaction?
who is more prone to contact allergic dermatitis reaction
those with impaired skin barrier eg leg ulcer, chronic irritant contact dermatitis, atopic dermatitis with defective filaggrin gene
how can specific substances be detected for contact allergic dermatitis reaction
patch testing
what can skin patch testing be used for
contact irritant and allergic dermatitis

treatment of conact allergic dermatitis
topical steroids and emollients
Irritant Contact Dermatitis
describe the appearance of Irritant Contact Dermatitis
dry, erythema, scaling, fissuring

how does Irritant Contact Dermatitis relate to exposure and quantity of irritant
examples of skin irritatns that cause Irritant Contact Dermatitis
water, dry cold air, detergents, solvents, acids, alkalis, adhesives, metalworking fluids and friction
in which situations can ICD have serious implications
for occupation
name 2 characteristic ICD
can irritant and allergic contact dermaitits co exist?
yes
testing for ICD
patch testing
who is more likely to get atopic dermatitis
those who have an atopic tendency: atopic dermatitis, asthma, allergic rhinitis
how does atopic dermatitis tend to present

describe the atopic dermatitis rash
intensely itchy, ill defined erythema and scaling
