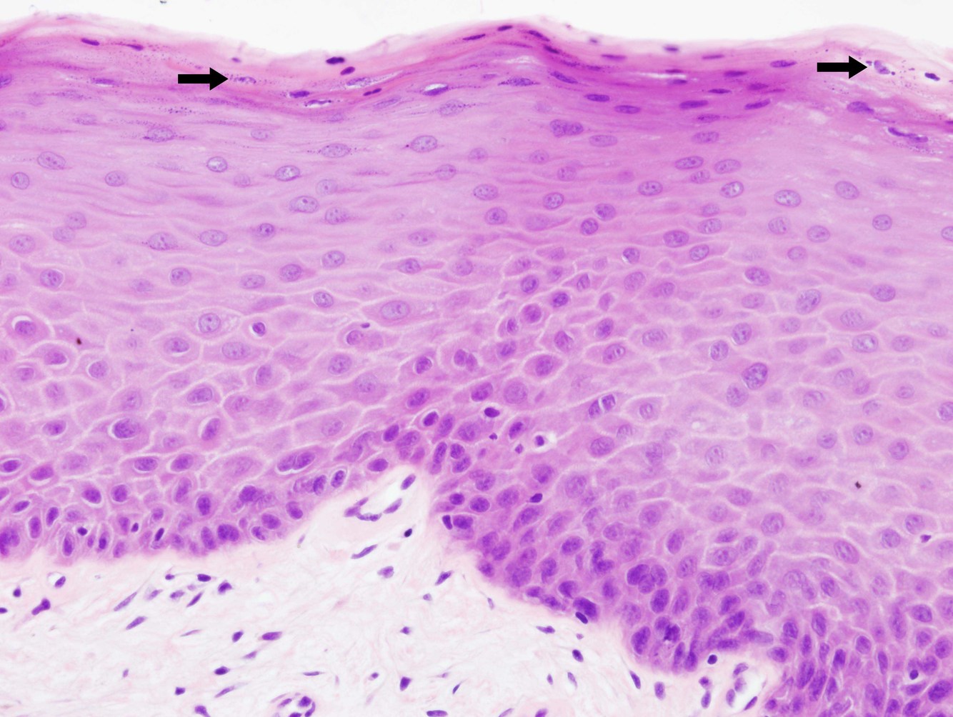
define parakeratosis
inc in number of nuclei in keratin layer of epidermis (stratum corneum)

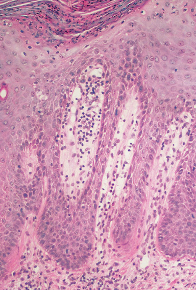
define papillomatosis
irregular epithelial thickening

what is the most common form of psoriasis
psoriasis vulgaris (chronic plaque psoriasis)
define psoriasis
chronic inflammatory dermatosis thought to be autoimmune mediated
characterised by well demarcated red, scaly plaques. The skin becomes inflamed and hyperproliferates at about ten times the normal rate
age of onset
two peaks
aetiology
regulation of epidermal turnover lost - hyperplasia . T cell driven inflammatory infiltration of dermis and epidermis
there is a genetic predisposition but it is also dependent on environmental factors
which T cells is psoriasis associated with
Th1 and Th17
is there epidermal or dermal involvement?
T lymphocyte driven inflammatory infiltration of dermis and epidermis
pathophysiology
polymorphs attracted to stratum corneum creating munro micro abscesses.
parakeratosis, acanthosis and thick keratin scale
epidermal rete ridges are elongated and clubbed

where are munro micro abscesses found
in the epidermis
what happens to the dermis
there is oedema and inflammation
what does the thick keratin scale indicate
epidermal involvement
what happens to the keratinocyte turnover time
normally 28 days, reduced to 7 days
what are munro micro abscesses
collection of neutrophils in the stratum corneum
what happens to the blood vessels
thick and tortuous
describe the plaques
thick, scaly, sharply demarcated erythematous plaques

symmetrical?
yes
what is the koebner phenomenon
new lesions at site of trauma
what is Auspitz sign
removal of surface scale reveals tiny bleeding point due to dilated capillaries in elongated dermal papillae
what does sun do to lesions
improve them
itchy?
mildy
guttate
widespread small plaques on trunk and limbs

what is guttate preceded by
sore throat with group B haemolytic streptococcus
time of onset of guttate psoriasis