what are lichenoid basal layer damage conditions characterised by
damage between dermis and epidermis
what can be mistaken for lichenoid eruptions
lichenoid drug eruptions - take careful drug history
lichen planus - describe lesions
purple, pruritic, planar papules with white lacy markings on the surface of lesions

where do lichen planus lesions tend to appear
wrist, ankles
50% have mucosal involvement - mouth is most common
what are the white lacy markings called
wickhams striae

what are the scalp lesions like
scaly with marked follicular plugging that can result in scarring alopecia

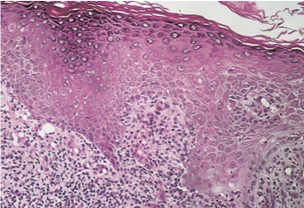
lichen planus histology

nail involvement
dystrophy
can be lost altogether in severe disease
lichen planus management
topical steroids or oral steroids if extensive
which conditions exhibit the Koebner phenomenon
lichen planus, psoriasis and vitiligo
what disease is lichen planus associated with
Hep C
what can exacerbate mouth lesions
spicy food
lichenoid drug eruption
Lichen planus like rash caused by medications. Asymptomatic/itchy plaques arise on trunk of mucosal membranes.
