Describe how the description of local features varies from global features with regards to dermoscopy?
There is also a Non-Specific pattern naevus.
(Local features various aspects of the naevus whereas the global features describe the overall impression)
Describe the colour changes that are seen in dermoscopy?

How does pigment network vary from typical to atypical naevi?
What lesions is it seen in?

Typical naevi have a regular uniform pattern.
Ayptical naevi are non-uniform, with heterogenous holes & end abruptly.
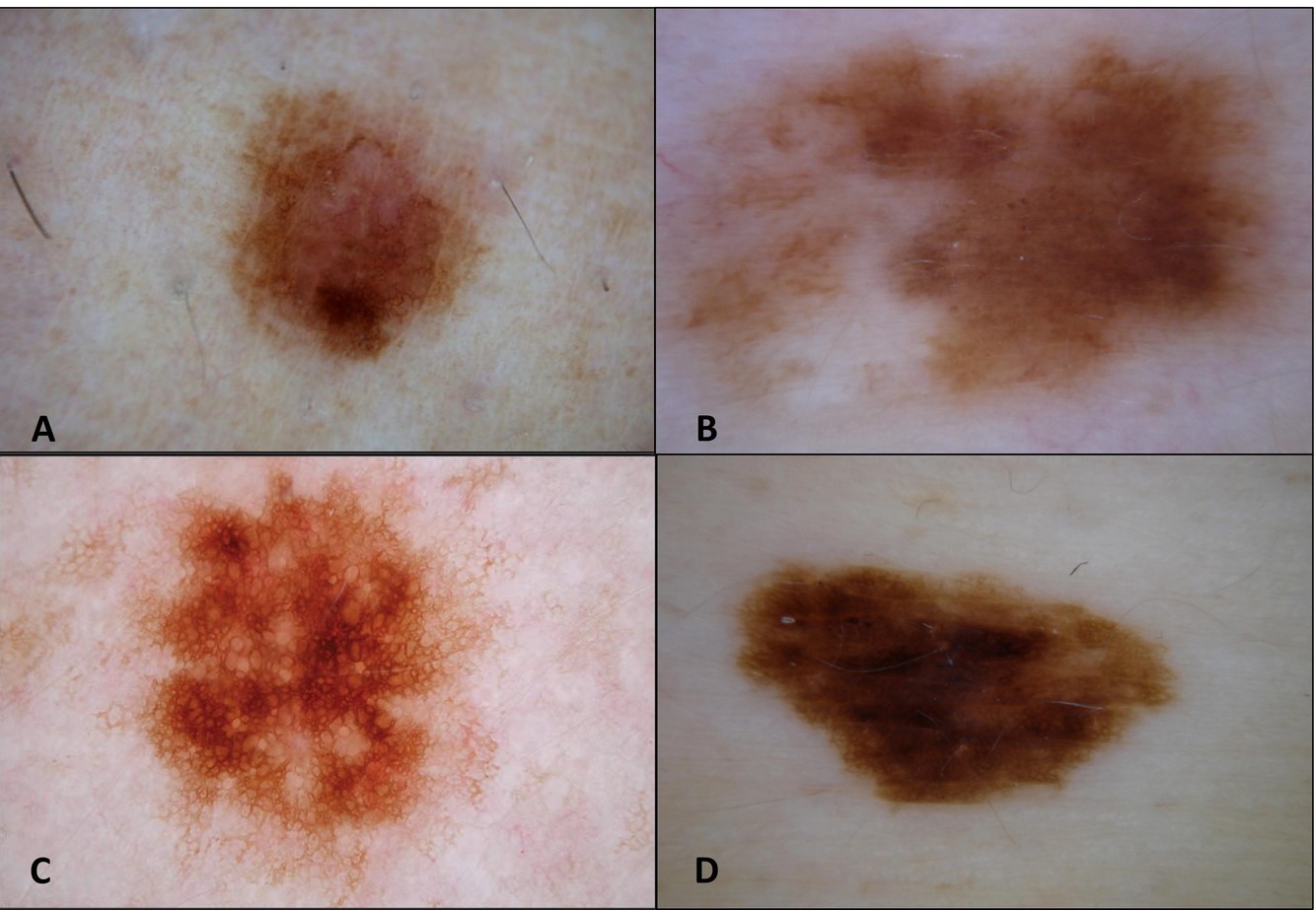
How do globular patterns of pigmented lesions change between naevi and atypical naevi/malignant melanoma?
What lesions have globular patterns?

central = naevi
peripheral = malignant melanoma/Atypical
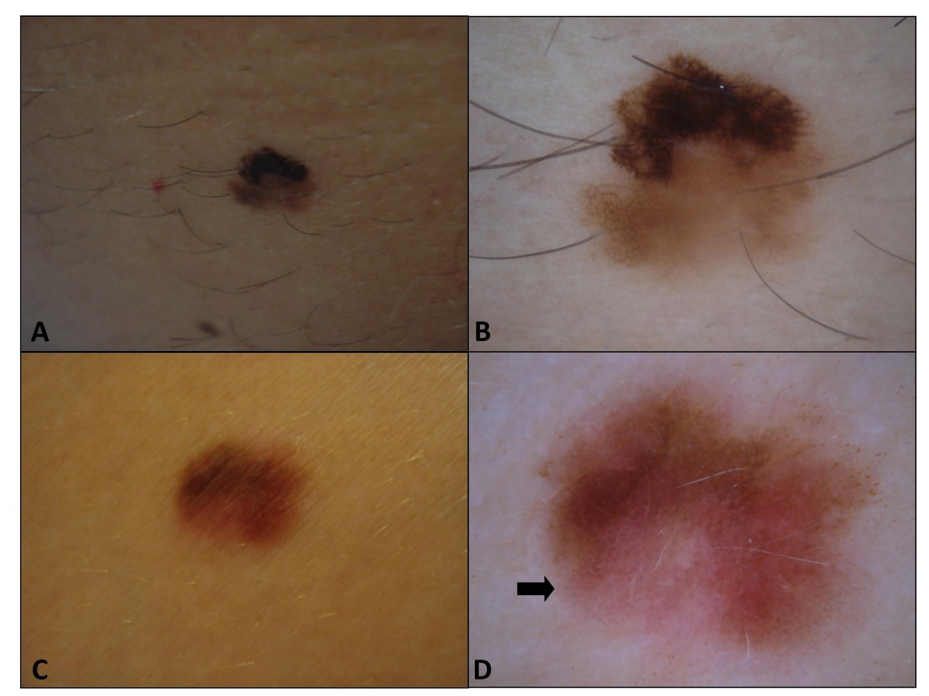
Describe how the starburst pattern (global) or streaks/peudopods (local) vary between typical and atypical lesions?
What lesions are these often seen in?

Symmetical peripheral arrangement = benign naevi & Spitz/Reed’s naevi
Irregular and patchy = malignant melanoma
Describe how a homogenous pattern (global) or blotches (local) change between typical naevi and ayptical naevi/malignant melanoma?

Central blotch/homogenous colour = typical naevus
Irregular or peripheral placed blotches = melanoma
In what 2 lesions is a blue/white veil seen?

Melanoma and Spitz/Reed Naevi
What pattern is this?

Multicomponent Pattern
(There are 3 or more components)
It is highly suggestive of melanoma
What pattern is this and how is it managed?

Non-specific pattern
Always consider a malignant melanoma.
What pattern is this?
Where is it seen?
How do you know when it is melanom?

Parallel Pattern
Seen acrally
Parralel Ridge Pattern is seen in melanoma - it is thicker and has eccrine gland openings on it.
Parralel Furrow Pattern is seen in typical naevi.
(Ridge is wrong)
What type of naevi is this?

Junctional melanocytic naevi
How do aquired melanocytic naevi change with age?
What type of naevus is this?

Compound melanocytic naevus
(Usually have a raised central portion with a typical globular pattern)
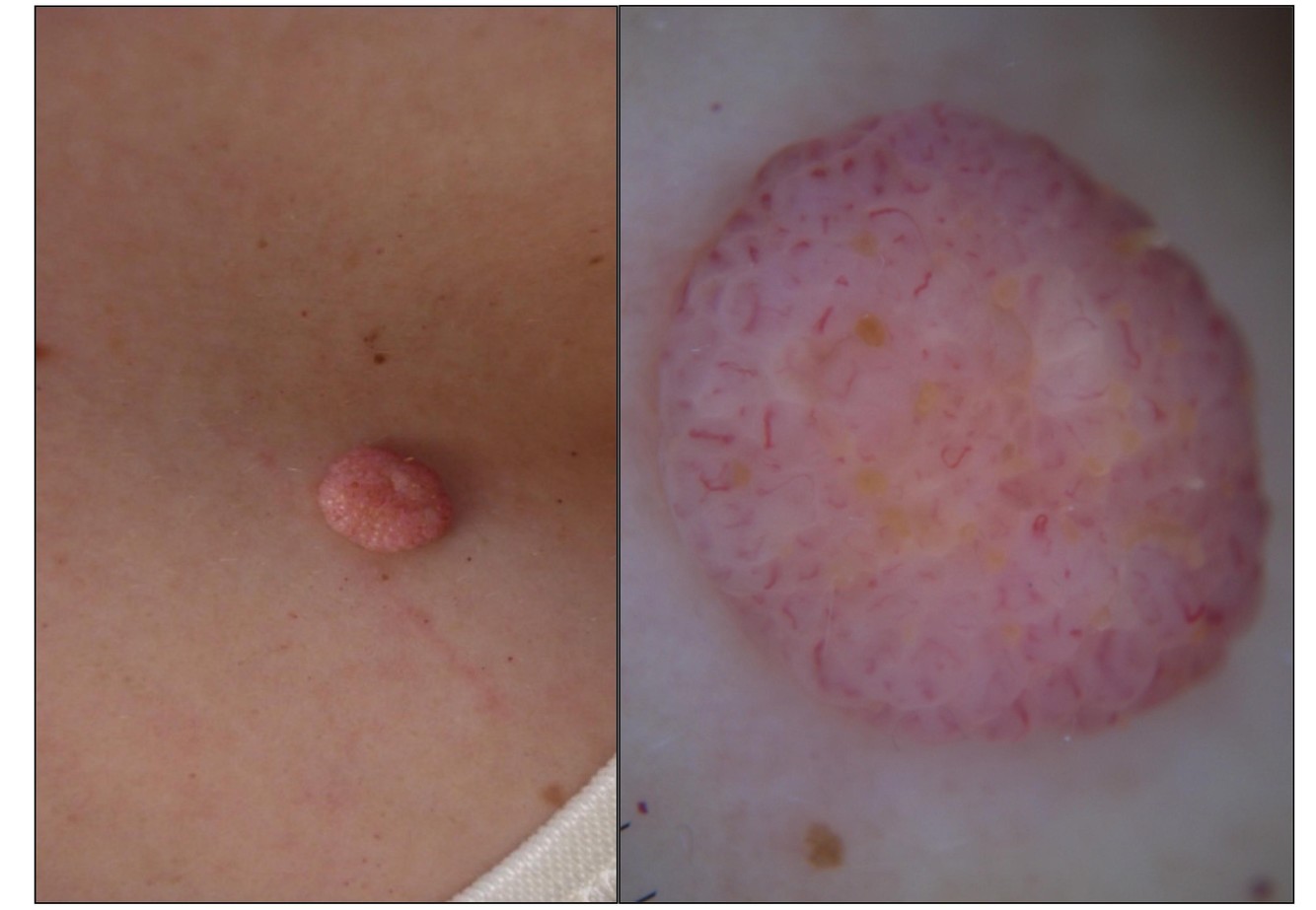
What type of naevus is this?
What are its typical dermoscopic features?

Intradermal melanocytic naevi
What is this?
What can happen to the central part?

Blue Naevus
The central part can undergo focal fibrosis. (aka Sclerosing blue naevi)
What is this?

Reed Naevus
Seen in adults - legs of females.
It has a starburst pattern.
What is this?

Spitz Naevus
What type of naevi are these?

Atypical Naevi (aka Clark’s naevi)
(Containing similar patterns to melanoma)
NOTE: Establish the predominant pattern of the individual or if they have many atypical naevi on examination.
What percentage of melanoma come from aquired naevi?
Describe how you can tell if a melanoma might be growing from a naevus on dermoscopy?
50%

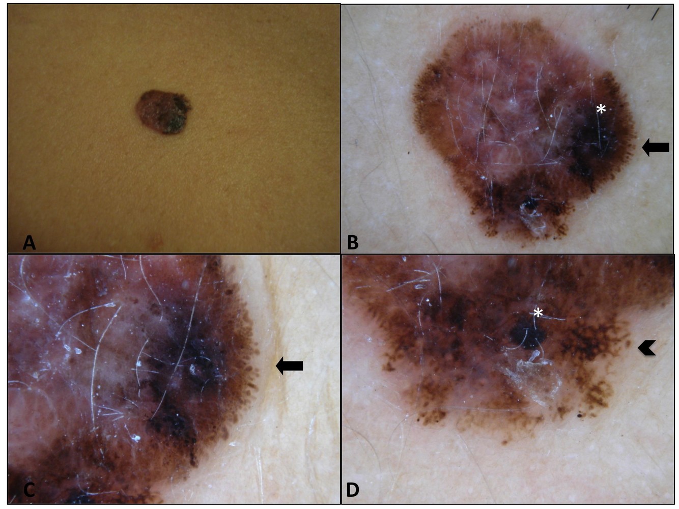
Describe the 3 Point Checklist
A score of 2 out of 3 means that a biopsy needs to be performed.
What are the 10 most common dermoscopic features of malignant melanoma?
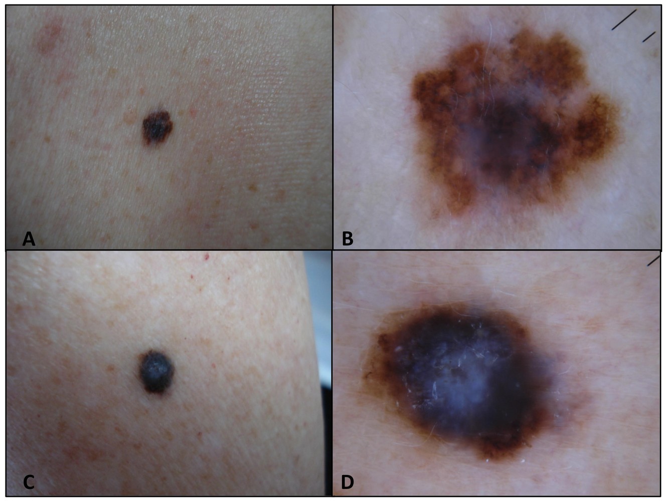
Analyse this melanoma using the 3 point checklist

THEREFORE
2/3
Analyse this melanoma using the 3 point checklist

This is a multicomponent pattern
3/3
Describe this using the 3 Point Checklist

2/3