What is this and what is the treatment?

Plane Warts
Treat with Topical retinoids, cryotherapy or imiquimod.
Cryotherapy can cause Koebnerisation.
What is this?
What is the treatment

Molloscum Contagiosum
Treat with Molludab, topical imiquimod.
If a giant molloscum or many molloscums appear in an adult, what should you suspect?
Immunocompromise. (HIV etc)
What is this?
How is it treated?

Sebaceous Hyperplasia
How do you remove milia?
A green needle (to extrude the calcified contents)
What is this?
How is it treated?

Syringoma (Benign tumours of sweat glands)
Occur under the eyes
Often run in families
Best left alone
What is this?
How is it treated?

Pyogenic Granuloma
Why must you always send pyogenic granulomas for histology?
Differential diagnosis of amelanotic melanoma
Where do pyogenic granulomas usually occur?
What is the cause of pyogenic granulomas?
How are skin tags removed?
Snip Excision or Ablation
What is this?

Dermatosis Papulosa Nigra
(Think Morgan Freeman)
How are Dermatosis Papulosa Nigra treated?
Usually left alone.
If removed, consider low pwer hyfrecation after a test area.
What are these?
How are they treated?

Cherry Angiomas
(Campbell De Morgan Spots)
Harmless - best leftalone.
Where and at what age do Cherry Angiomas appear?
What is this?
Stucco Keratosis
A variant of a seborrheic keratosis that is exclusively onthe acral locations as smallscaly papules.
What is this called and what should you consider if you see this?

Lesar-Trelat sign
Eruptive onset of many seborrhoeic keratoses inconjunction with anunderlying malignancy.
How do you treat xanthelasma?

Using TCA
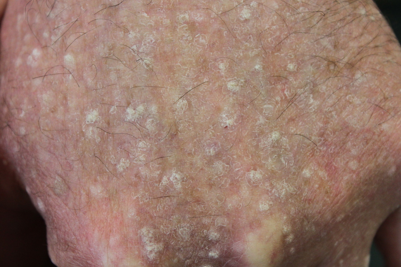
What is this?

Naevus sebaceous
It appears in childhood on the scap or face.
How do you treat Naevus sebaceous
Why should they be monitored?
Excision not needed.
Monitor 25% will develop a malignant tumour.
What is this?

Granuloma Annulare
Red papules that appear over the distal extremeties
What 2 conditions is grannuloma annulare associated with?
Diabetes
Thyroid disease
How is grannuloma annulare treated?
50% resolve spontaneously within 2 years
Potent corticosteroids or intralesional steroids can help.
What is this?

Dermatofibroma
(Dimple sign upon squeezing)