dermTOPRatiCA Flashcards

(36 cards)

1
Q

o que é

quadro clínico

como o dx é feito

tto

A

ceratose actínica, uma lesão pré maligna oriunda da exposição prolongada crônica a radiação solar. com o tempo, pode evoluir para CEC

PLACAS/PÁPULAS QUERATÓTICAS MÚLTIPLAS, BRANCO-ACASTANHADAS EM ÁREAS FOTOEXPOSTAS

clínica + biopsia

varia conforme extensão. remoção por crioterapia, cauterização química, laser, curetagem, 5-FU tópico

How well did you know this?
1
Not at all
2
3
4
5
Perfectly
2
Q

o que é

clínica (tipo de lesão e aspecto)

ao toque

lugares onde é mais frequente

dx

tto

A

ceratose seborreica. lesão benigna derivada do envelhecimento. não tem risco de malignidade

PÁPULAS/PLACAS ACASTANHADAS, DE ASPECTO CERATÓTICO OU VERRUCOSO, GRUDADAS À PELE

asperas

rosto, tronco, couro cabeludo, pescoço e dorso. pode ocorrer em qualquer lugar do corpo, exceto palmas e plantas

clínico

apenas por questão estética ou se eveultual prurido. crioterapia, curetagem, eletrocauterização

How well did you know this?
1
Not at all
2
3
4
5
Perfectly
3
Q

o que é

quadro clínico

pode fazer

dx

tto

A

rosácea, uma doença inflamatória crônica de pele

eritema facial persistente, teleangiectasias, pápulas e pustulas, queimação

espessamento da pele - rinofima

clínico

evitar fatores desencadeantes; para forma leve, ácido zeláico (tópico); na forma moderada a severa, doxiciclina oral + ag tópico; na forma recorrente, isotretinoina oral

How well did you know this?
1
Not at all
2
3
4
5
Perfectly
4
Q

o que é

clínica

principais locais

sintoma ocasional

dx

tto

se grave

A

dermatite seborreica

descamação gordurosa amarelada, formando escamadas brancas, oleosas ou secas, com fundo eritematoso

ao redor de orelhas, sobrancelhas, nariz e couro cabeludo

prurido, que é intensificado por estresse ou mudanças climáticas

clínico

xambus específicos (cetoconazol, ácido salicilico, piritionato de zinco), cremes antifungicos, corticoide tópico

tratar com tetraciclina ou isotretinoina sistemico

How well did you know this?
1
Not at all
2
3
4
5
Perfectly
5
Q

o que é

tto

A

crosta lactea - forma de apresentação da dermtite seborreica em bebes

xampus específicos e agentes tópicos, solução de burow, permanganato de potassio, corticoide topico

How well did you know this?
1
Not at all
2
3
4
5
Perfectly
6
Q

o que é

sintoma importante

pode fazer também

dx

tto

A

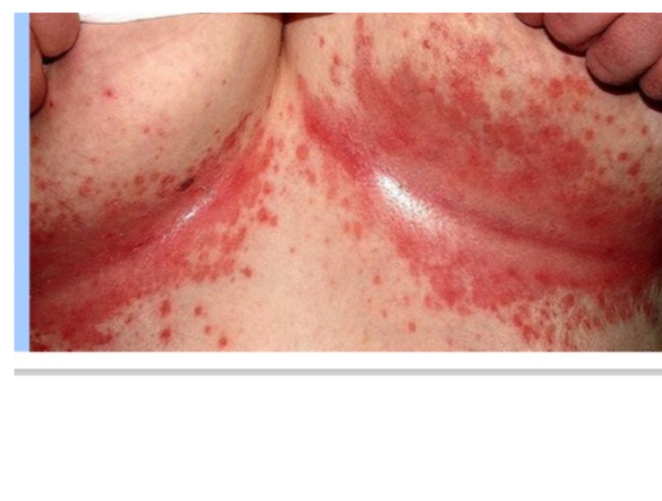
dermatite de contato - inflamação da pele desencadeada por ctt direto com irritante ou alergeno

prurido intenso que tende a piorar conforme contatos futuros e eritema

placa eritematosa associada a vesículas, edema, descamação e a exposição retitiva com prurido crônico pode levar a espessamento da pele (liquenificação)

clínico, confirmado por teste de contato (alergica)

remoção do ag desencadeante, anti-histaminico sistemico, corticoide topico e cremes hidratantes

How well did you know this?
1
Not at all
2
3
4
5
Perfectly
7
Q

o que é

associados

clínica

principal sintoma

dx

tto

Fototerapia

A

dermatite atópica

histórico de asma e atopia

placas eritematosas, descamativas, secas. pápulas e vesiculas podem surgir. espessamento da pele leva a liquenificação

clínico

hidratação da pele intensiva; controle dos gatilhos; corticoide em crises (imunomoduladores e biológicos podem ser usados); antihistaminico para aliviar prurido; fototerapia UVB

How well did you know this?
1
Not at all
2
3
4
5
Perfectly
8
Q

o que é

clínica

dx

tto

A

neurodermatite - liquen simples

prurido intenso, leva a formação de placas ou pápulas elevadas, violáceas, em áreas de atrito ou lesão, com espessamento da pele local

clínico; biopsia se duvida

corticoide tópico, hidratação da pele, anti histaminicos e ansioliticos

How well did you know this?
1
Not at all
2
3
4
5
Perfectly
9
Q

o que é

características

conduta

A

nevo melanocítico

mácula ou pápula hiperpigmetada homogênea

expectante (acomapnhar periodicamente) e excisão cx se necessário

How well did you know this?
1
Not at all
2
3
4
5
Perfectly
10
Q

o que é

descrição da lesão

dx

tto

A

vitiligo

máculas acrômicas bem delimitadas, simétricas ou unilaterais (vitiligo segmentar)

clínico (luz de wood) e biopsia se duvida

fototerapia (UVA ou UVB) + psoralênicos orais
vitiligo segmentar faz tto tópico (corticoide de média a alta potência, imunomoduladores, analogos de vitd3), pois tem menor resposta a fototerapia

How well did you know this?
1
Not at all
2
3
4
5
Perfectly
11
Q

o que é

Descrição da lesão

tto

A

ictiose vulgar

xerose e descamação fina em superfícies extensoras

hidratação intensa e evitar banhos quentes

How well did you know this?
1
Not at all
2
3
4
5
Perfectly
12
Q

o que é

descrição da lesão

tto

A

psoriase palmoplantar

hiperqueratose e fissuras dolorosas em palmas e plantas

metotrexato, fotoreapia, corticoides tópicos potentes

How well did you know this?
1
Not at all
2
3
4
5
Perfectly
13
Q

o que é

tto

A

celulite - infecção bacteriana da pele e tecido subcutâneo, forma placa eritematosa, edemaciada, bem delimitada e dolorida

atb (cefalexina, bactrim - suspeita de mrsa, clindamina ou azitromicina se alergico a penicilina

How well did you know this?
1
Not at all
2
3
4
5
Perfectly
14
Q

o que é

tto

A

candidiase - placa eritematosa brilhante, úmida, com queimação e prurido local

imidacólico tópico (nistatina) + fluconazol ou itaconazol

How well did you know this?
1
Not at all
2
3
4
5
Perfectly
15
Q

o que é

tto

A

queloide - cicatriz elevada, que cresce ultrapassa limites da ferida original

injeção de corticoide ou crioterapia

How well did you know this?
1
Not at all
2
3
4
5
Perfectly
16
Q

o que é

descrição

tto

A

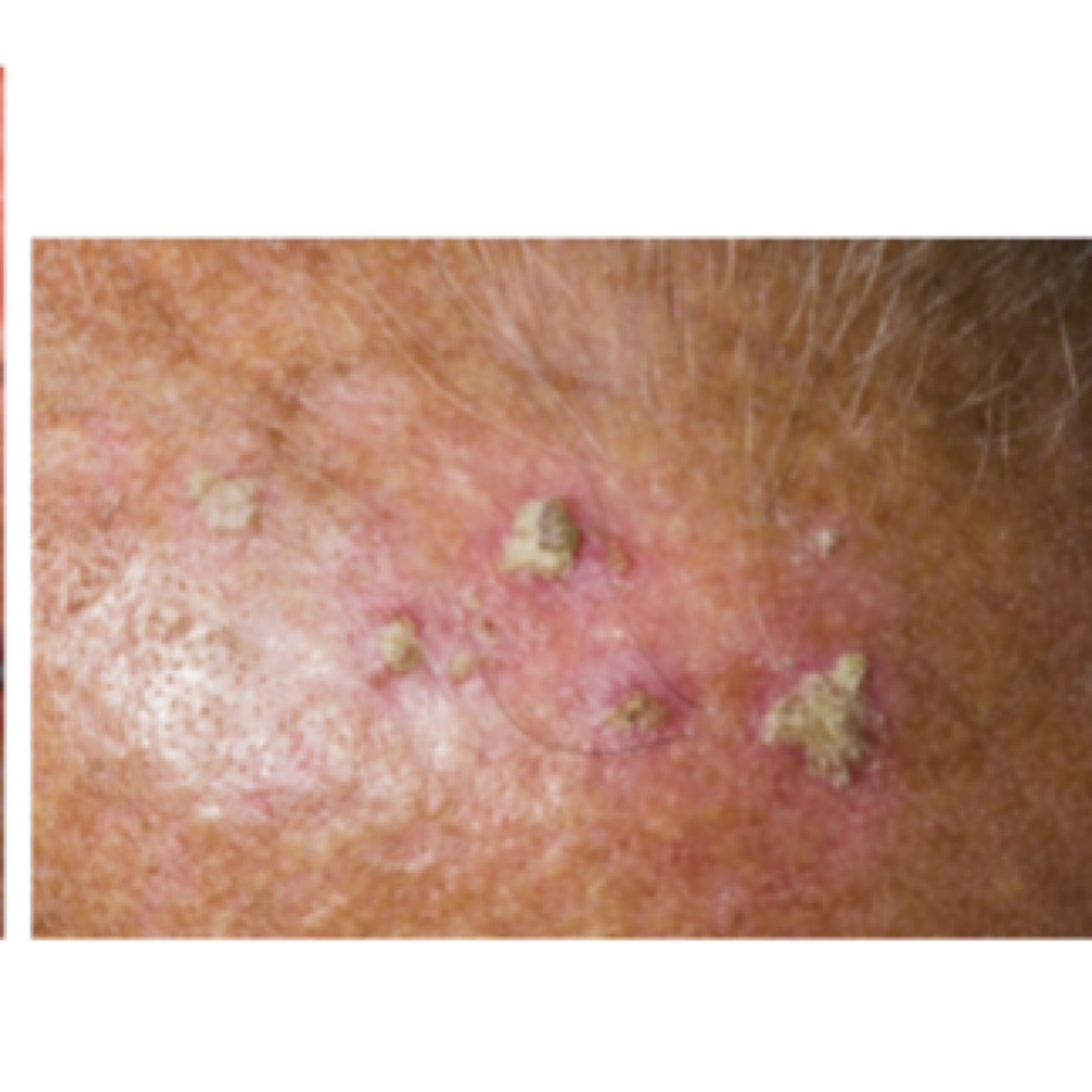
verruga viral (hpv)

pápulas ou nódulos queratóticos, de superfície aspera, unicos ou multiplos, assintomaticos

crioterapia ou ag causticos

17
Q

o que é

quadro clínico

tto

A

hemangioma

tumor vascular benigno que se apresenta como máculas vermelhas (superficiais) ou nódulos elevados de coloração vermelho vivo (cavernosos)

a maioria requer apenas acompanhamento, pois sua involução é frequente. propranolol pode ser usado, laserterapia em hemangiomas superficiais e cx nos refratários

18
Q

o que é

clínica

tto

A

urticária

pápulas pruriginosas, elevadas e eritematosas na pele. bordas bem definidas e migratórias - prurido e queimação podem estar associados

antihistaminicos, corticoides (se grave e persistente) e evitar gatilhos. em casos crônicos, farmacos imunossupressores ou biológicos podem ser utilizados

19
Q

o que é

clínica

principais locais

tto

Qual o tto padrão ouro

A

psoriase em placas e psoriase ungueal

placas eritematodescamativas, com escamas prateadas/esbranquiçadas. prurido leve a intenso associado

cotovelos, joelhos, couro cabeludo, região lombar, genital, ungueal

tópico: corticoide, analogo de vitd3 e retinoides tópicos
casos graves: metotrexato, ciclosporina
padrão ouro: fototerapia uvb

20
Q

o que é

tto

e na alopecia areata, qual o tto padrão ouro?

A

alopecia androgenica

minoxidil tópico; finasterida oral em homens, espironolactona em mulheres

injeção de corticoide ou corticoide tópico

21
Q

o que é

padrões

Descrição da lesão

tto

A

onicomicose

subungueal distal, subungueal proximal, superficial esbranquiçada

Espessamento e coloração amarelada da unha

antifungicos tópicos. se caso severo, orais (itraconazol). se persistente e grave, remoção da unha

22
Q

o que é

clinica

tto

A

molusco contagioso - sistema imunológico comprometido; virus pox

pápulas umbilicadas, lisas e peroladas

curetagem, crioterapia, ácido tricloroacético

23
Q

o que é

clínica

tto

A

liquen plano

papulas pequenas, poligonais, planas e bem delimitadas, com cor violacea e podem ser brilhantes

corticoide tópico ou oral (grave) e metotrexato/azatioprina se refratario grave

24
Q

o que é

principais características

expressão clinica

tto

A

alopecia fibrosante

perda capilar na região frontal (retração gradual da implantação do cabelo nas temporas) e queda das sobrancelhas

testa fica mais alta

corticoide tópico e injetavel (reduzir avanço da queda) + hidroxicloroquina e metotrexato para controle da inflamação em casos avançados

25
o que é tto da forma leve tto da forma moderada tto da forma grave adicionais
acne vulgar // comedão tópico: retinoide, peroxido de benzoila ou ácido salicilico, atbs podem ser usados também tópico + tetraciclina oral // mulher pode se beneficiar de acho e espironolactona isotretinoina oral terapias físicas, com luz azul e laser; peelings químicos (cicatricial)
26
o que é descrição da lesão tto
notalgia parestesica prurido localizado em dorso que pode associar-se a hiperpigmentação local - causa neuropática fisioterapia, capsaicina e gabapentina
27
o que é descrição da lesão tto
ceratoacantoma -tumor benigno nódulo de crescimento raro com cratera central de queratina excisão cx
28
o que é descrição da lesão tto
onicopapiloma, tumor benigno raro estria longitudinal associada a elevação distal da lâmina ungueal excisão cx
29
o que é descrição da lesão tto
cisto ganglionico nódulo flutuante, geralmente em dorso do punho aspiração, infiltração ou exerese cx
30
o que é descrição da lesão -quadro cutâneo -quadro ungueal histologia tto
doença de darrier pápulas ceratóticas, eritemato-descamativas em áreas seborreicas, acompanhadas de mal cheiro; associado a alterações ungueais (estrias longitudinais, entalhes em V e hiperceratose subungueal) acantólise + disqueratose retinoides tópicos ou orais, ecitar calor e trauma
31
o que é descrição da lesão tto
onicodistrofia estrias, fragmentação e espessamento ungueal tratar causa base (trauma, doenças inflamatórias), hidratação, corticoide tópico (se inflamatória)
32
o que é descrição da lesão tto
onicólise descolamento distal da lâmina ungueal tratar causa base (trauma, micose, psoriase) e evitar umidade local
33
o que é descrição da lesão tto
liquen plano pilar alopecia cicatricial com pápulas perifoliculares e prurido corticoide tópico/injetável + imunossupressores
34
o que é descrição da lesão tto
eritema nodoso nódulos eritematosos, sensíveis e firmes, principalmente em região tibial repouso, aine, tratar a causa base (hanseniase, sarcoidose)
35
O que é Descrição da lesão Tto
Lentigo solar Maculas acastanhadas, bem delimitadas Crioterapia, laser q-switch, fotoproteção
36
O que é Descrição da lesão Tratamento
Melasma Mácula hiperpigmentada em face, bilateral e simétrica Fotoproteção, hidroquinona, peelings, ácido retinoico