Vad består magtarmkanalen av?
Esofagus
Ventriculus
Duodenum
Jejunum
Iluem
Kolon
Rektum
Analen
Lever
Pankreas
Vilka lager består magtarmkanalens väggar av?

Hur är mukosan uppbyggd?

Hur är submukosan uppbyggd?
Större blodkärl och lymfkärl
Ibland exokrina körtlar
Nervplexus — Meissner’s plexus som är del av enteriska NS
Hur är muscularis externa uppbyggt?
Inre cirkulärt lager av glatt muskulatur
Nervplexus — Auerbach’s plexus som är del av enteriska NS
Yttre longditudinellt lager av glatt muskulatur
Hur är serosan uppbyggd?
Serosa består av mesotelium — enskiktat skivepitel som täcker bukhålan — och ett tunt lager bindväv täcker magtarmkanalen när den löper i bukhålan — innehåller stora blod-, lymfkärl och nerver
Hur är adventitian uppbyggd?
Adventitia består av bindväv som täcker magtarmkanalen när den löper i bukhålans och mediastinums vägg
Vilka sfinktrar finns det i magtarmkanlen?

Var finns mukosa körtlar i magtarmkanalen och hur är de uppbyggda?
Finns i ventrikel, tunn- och tjocktarm
Fyller olika funktioner i olika delar av MTK
Innehåller stamceller som regenerar epitelet

Vilka lager består esofagus av?
Mukosa — flerskiktat oförhornat skivepitel, lamina propria, muscularis mucosa
Submucosa — bindväv, exokrina körtlar som rpoducerar slem, Meissner’s nervplexa
Muscularis externa — inre cirkulärt lager och yttre longtudinellt — 1/3 kraniellt tvärstrimmig skelettmuskulatur, 2/3 mix av glatt- och skelettmuskulatur, 3/3 glattmuskulatur — Auerbach’s nervplexa
Adventitia — esofagus löper bakom mediastinum och täcks av adventitia förutom slutänden som täcks av serosa och löper fritt i bukhålan (efter passage av diafragman)

Hur är ventriculus uppbyggd?
Ventrikelväggen är veckad när den är tom → rugae gör den töjbar
Delas upp i tre regioner med distinkt histologi — cardia, fundus och pylorus
På ventrikelns yta finns små gropar — foveola eller gastric pits — mynningarna ligger i mukosan och producerar magsaft (fundus) eller slem (cardia och pylorus)
Extrem miljö: pH 1,5-3 pga saltsyraproducerande funduskörtlar

Vilka lager består ventriculus av?
Mukosa — enskiktat cylinderepitel (mucus surface cells), körtlar (gastric glands), lamina propria och muscularis mucosa
Submucosa — Meissner’s nervplexa
Muscularis externa — tre lager av glattmuskelceller — inre med oblique, mellan med cirkulär, yttre med longitudinell fiberriktning — Auerbach’s plexa mellan lagren
Serosa

Vad är funduskörtlar och hur är de uppbyggda?
HCl, intrinsic factor, nedbrytningsenzymer som pepsin
Mukösa ytceller — mucus surface cells
Stamceller
Mukösa halsceller — mucus neckcells
Parietalceller
Huvudceler — chief cells
Enteroendokrina celler
Isthmus = zon mellan gastric pit och funduskörteln — innehåller stamcellerna

Vad är mukösa ytceller och hur är de uppbyggda?
Sekretoriska granula apikalt som innehåller ett visköst och basiskt sekret som skyddar mot HCl och nedbrytningsenzymer
Till skillnad från andra mukösa celler så är cellkärnan inte tryckt mot cellens BM utan lokaliserad ganska centralt
Slemproduktion stimuleras av prostaglandiner — signalmolekyl som produceras av enzymet cyclooxygenase
Cyclooxygenase är måltavla för läkemedel som innehåller acetylsalicylsyra såsom aspirin och andra vanliga verktabletter → inskad mucusproduktion med risk för gastrit eller magsår är därför oönskad biverkan av dessa läkemedel

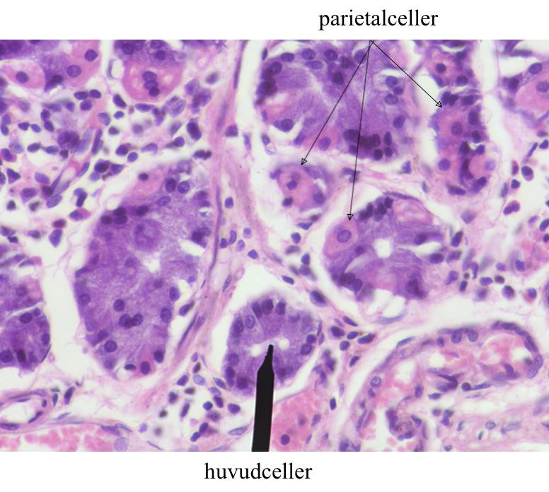
Vad är parietal celler och hur är de uppbyggda?
Vulkanformad cell med flera cellkärnor och många mitokondrier
Har intracellulära canaliculus som tömmer sig apikalt
Efter stimulering expanderar canaliculus m.h.a. membran från tubulovesiculära systemet
Producerar HCl och inrinsic factor

Vad producerar parietal celler och vilka sjudomar kan man få p.g.a. dessa?
HCl-produktionen medieras av en protinpump, ett K+/H+-ATPase, som pumpar vätejoner över plasmamembranet till canaliculus → måltavla för Losec (omeprazol), ett läkemdel mot magsår och gastrit
HCl-produktionen regleras av gastrin som produceras av närliggande enteroendokrina celler samt histamin, hämmas av histaminreceptorblockare, och acetylcholin
Gastrin producerande tumörer kan orsaka kraftig överproduktion av HCl och svårbehandlade magsår — Zollinger-Ellison syndrom
Intrinsic factor behövs för absorption av vitamin-B12 i tunntarmen → brist orsakar en speciell sorts blodbrist, pernicuös anemi — beror oftast på atrofi av ventrikelslemhinnan med minskad produktion av intrinsic factor som följd eller bariatrisk kirurgi — behandlas med B12-injektioner
Vad är huvudceller och hur är de uppbyggda?
I nedre delen av funduskörteln
Basofil infärgning av den basala delen av cellen — där cellkärnan ligger — men eosin infärgning av zymogena granula i dne apikala delen
Producerar pepsinogen som konverteras till nedbrytningsenzymet pepsin vid kontakt med den sura magsaften
Hur ser parietalceller och huvudceller ut i mikroskop?

Vad är enteroendokrina celler och hur är de uppbyggda?
I mukösa körtlar utmed hela MTK
Måste färgas in med specifika antikroppar för säker identifering
Producerar 20-tal olika peptidhormoner
Enteroendokrina peptidhormoner reglerar HCl-produktion (gastrin), sekretion från exokrina pankreas (cholecystokinin), peristaltik (motilin) och andra funktioner som relaterar till MTK men också centrala funktioner som aptit (ghrelin)
Vad är cardiac och pyloric körtlar?

Vad är ytförstoringsprincipen?
Plicae ciculares — veck av tunntarmsväggen som likt gardiner hänger ner från ena sidan av väggen — består av mukosa och submukosa, muscularis externa omfattas inte
Villi — fingerliknande mm-långa projektioner som kraftigt ökar tunntarmens yta — består av epitel och lamina propria, muscularis mucosa och submucosa omfattas inte
Mikrovilli — membranprojektioner med en kärna av aktinfilament och cytoplasma — förstorar ytan på epitelcellers apikala membran vilket ökar absorptionen — ca 3000 microvilli per cell

Hur är tunntarmens mucosa uppbyggd?

Vilka celler återfinns i tunntarms epitelet?
Enterocyter
Bägarceller (goblet cells) — slemsekretion (mukus), skretoriska granula som kan se “tomma” ut i rutinpreperationer
Stamceller — placerade ett par celler från kryptans botten, prolifererar långsamt, ger upphov till alla celler i tarmepitelet, bildar “intermediate cells” innan de differentierar till enterocyt eller bägarceller
Enteroendokrina celler — som i ventrikeln
Panethceller
M-celler

Vad är enterocyter och hur är de uppbyggda?
Absorption av näringsämnen, skretion av nedbrytningsenzymer
Brush border (stavbräm) av mikrovilli och glykokalyx, tight junctions med intilliggande celler
Utsöndrar nedbrytningsenzymer i form av zymogen
