Vilka funktioner har levern?
Största inre organet — kroppens största körtel — indelad i fyra lober
Endokrina funktioner
Exokrina funktioner
Nedbrytning av toxiner och läkemedel
Metabolism
Vilket är det största kärlet till levern?
Vena portae
Transporterar venöst blod från tarmar, pankreas och mjälten till levern
Tarm → näringsämnen
Mjälten → blodceller och nedbrytningsprodukter från blodceller
Pankreas → endokrina hormoner — insulin och glukagon
Hur blodförsörjs levern?
Arteria haptica
En gren av truncus coeliacus transporterar syrerikt blod till levern direkt från hjärtats vänsterkammare
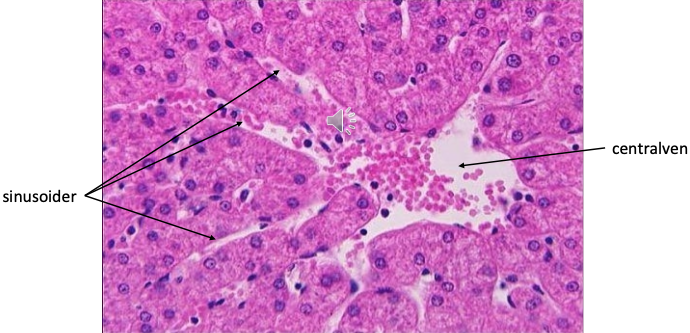
Hur är lever lobulus uppbyggda?

Hur ser centralvenen i levern ut i mikroskop?

Vad består porta triad av?
Bile duct
Artär
Ven

Vilka celler återfinns i leverlobuli
Leversinuoid
Disses spatium
Endotelceller
Kupfferceller
Itocell
Hepatocyt
Gallcanaliculi (canaliculi bili)

Vad är kupferceller?
Fagocyterande levermakrofag
Kantar leversinusoiden bredvid endotelcellerna
Vad är itoceller?
Stellate cell
Lagrar A-vitamin i lipodroppar
Spelar kritisk roll vid leverskada eller inflammation (hepatit) då cellen aktiveras och börjar producera kollagen och andra matrixkomponenter som leder till fibros eller cirrhos
Vad är hepatocyter?
Stor polygonal cell
Ibland två cellkränor
SER/RER, mitokondrier och oeroxisomer
Glykogendepåer
Insöndrar plasmaproteiner mm. till sinusoider
Utsöndrar gallsekret via gallcanaliculi som avgränsas av plasmamembranet hos intilliggande hepatocyter — tight junctions

Vad är gulsot och vad beror det på?
Ikterus
Bilirubin från röda blodkroppr som bryts ned i mjälten konjugeraa med glukaronsyra till bilirubin glucoronide i hepatocyternas SER och utsöndras med gallskret till avföringen
Vid leversvikt ansamlas bilirubin i blodet vilket ger gulfärgad hud och ögonvitar
Vad består gallvägarna av?
Gallcanaliculi (canaliculi bili) — kantas av hepatocyter och avgränsas av tight junction
Herings kanal (canal of Hering) — övergång mellan gallcanaiculi och gallgång — kantas dels av hepatocyt och dels av cholangiocyt (kubiskt epitel)
Interlobulär gallgång (bile duct) — löper i portafälten med intraheptic bile ductile mellan sig och Herings kanal — kubiska cholangiocyter i väggen av snmå gallgångar och cylinderformade cholangiocyter i större gallgångar
Gallgångarna förenas och lämnar levern som två gallgångar — efter gallblåsan en common bile duct som tömmer sig i duodenum

Vilka olika perspektiv på leverns histologi finns det?

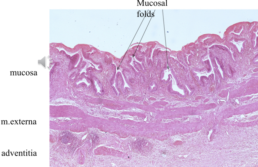
Vilka lager består gallblåsan av?
Mukosa — enskiktat cylinderepitel, lamina propria, EJ muscularis mucosa
EJ submucosa
Muscularis externa — ej tydliga lager
Serosa täcker del av gallblåsan som vetter mot bukhålan
Adventitia täcker del som vetter mot levern

Hur är pancreas uppbyggd?
Exokrin och endokrin körtel
Exokrin — pankreassekret med nedbrytningsenzymer — trypsinogen och chymotrypsinogen — som utsöndras i duodenum via utförsgång som är gemensam med gallvägarna — papilla duodeni major
Endokrin — insulin och glukagon som insöndras i blodbanan och reglerar bl.a. blodockernivån

Hur fungerar exokrina pancreas?
Seröst körteländstycke
Skarvstycken tömmer sig direkt i intralobulära samlingsrör (intralobular collecting ducts) och sedan till interlobular ducts → ductus pancreaticus
Striated ducts saknas i pancreas

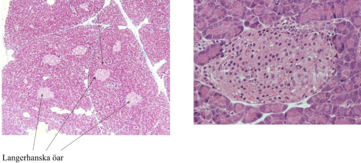
Hur fungerar endokrina pankreas?
Innehåller 1-3 miljoner langerhnaska öar per pankreas, 1-2% av volymen — ett par hundra celler per langerhansk ö
Högt blodocker → frisättning av insulin → upptag av glukos i lever (glukogensyntes) — skelettmuskulatur och fettväv
Lågt blodsocker → frisättning av glukagon → frisättning av glukos från lever (glukogenolys)
Diabetes

Vad sker vid diabetes med pankreas?
→ förhöjt blodsocker
Typ I — autoimmun sjukdom — beta-celler attackeras av egna immunsystemet → insulinproduktion förloras → benhandlas med rekombinant insulin
Typ II — metabol sjukdom — cellerna blir gradvis resistenta mot insulineffekten → insulinresistens → behandlas med metformin