Ben
Osteoner med lameller och osteocyter
Osteoblaster ligger precis vid kanten av preparatet
Osteoklaster är mycket större – ses som mörklila fläckar

Skelettmuskulatur
Stavformade kärnor
Muskelspolar
Motoriska nervändslut
Fasiklar omgivna av perimysium
Mörka A-band och ljusa I-band
Endomysium bekläder muskelcellen där kapillärer kan ses

Hjärtmuskulatur
Purkinjefibrer är ljusare och större än hjärtmuskelceller – cellkärnan ligger centralt
Glansstrimmor syns som tunna streck på muskelcellerna
Tvärstrierad
Cellerna har central kärna – vissa har två kärnor
Cellerna är korta och grenade
Ser väldigt många kapillärer

Glatt muskulatur
Mononukleära celler med central kärna
Inte tvärstrierad
Cellerna ligger tätt ihop
I längssnitt är cellerna långsmala med en spolformad kärna
I tvärssnitt är cellerna oregelbundet runda med runda kärnor – syns inte i alla celler

Artär
Mycket tjock tunica media
Tunn tunica intima
Membrana elastica interna – gränsen mellan intima och media – syns tydligt i muskelartärer
Tjock adventitia
Enskiktat skivepitel

Ven
Tunn vägg
Tunn tunica intima och media
Tunica adventitia – lucker kollagen bindväv – är det dominerande lagret
Sammanfallen lumen
Enskiktat skivepitel
Mer sannolikt att man finner erytocyter här än i artär

Lymfnod
Kapsel av tät bindväv
Trabekler
I cortex syns tätt packade lymfocyterala lymffoliklar
Märg
Germinal externa

Thymus
Biloberat
Kapsel
Olika lobuli
Mörk cortex med tätt packade lymfocyter
Ljus medulla med få lymfocyter
Hassalska kroppar

Mjälte
Omgiven av kapsel
Sinusoider
Trabekler
Vit pulpa med tätt packade lymfocyter och centralartär
Röd pulpa med många makrofager
Regenerationscentra i vit pulpa retikulär bindväv

Tonsilla palatina
Lymfoid vävnad
Täckta av flerskiktat oförhornat skivepitel
Kryptor
Lymffolliklar
Ev. lymfocyter
Består av många delar
Germinal centra

Hypofys
Tvådelad
Adenohypofys – stor
Neurohypofysen – pitiucyter

Epifys
Pinealocyter – svagt färgade, orgelbundet formade kärnor 95%
Gliaceller – astrocyter 5%
Hjärnsand

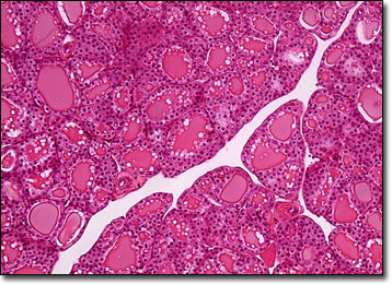
Thyroidea
Folliklar fyllda med kolloid
Follikelceller

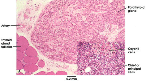
Parathyroidea
Skild från thyroidea av en bindvävssträng
Huvudceller – svagt färgad cytoplasma
Oxyfila celler – ligger i små grupper eller utspridda, större, röd granula
Fettceller

Binjure
Kapsel
Bindvävsstråk och kärl ner i cortex
Sinusoider
Cortex är uppdelad i 3 lager
Medulla

Epidermis
6 olika lager = epidermis

Dermis och subcutis
Stratum papillare – lucker bindväv med kärl och körtelgångar, kan ibland se Meissners nervändslut
Stratum reticulare – kompakt, fibrös bindväv
Subcutis = fettväv och kan innehållea paccini kropp (lökfotmad)

Tjock hud
Saknar hårfolliklar och talgkörtlar
Tåblomma och fingerblomma
Kraftigt stratum corneum
Svårt att se s. lucidum och s. granulosum

Apokrin svettkörtel
Finns i anslutning till axillen och genitalorganen
Större lumen än merokrina
Gångarna mynnar i hårsäckarna

Merokrina svettkörtlar
Finns i gräns mellan dermis-subcutis
Små och tubulär
Alveolerna består av flerradigt epitel
Myoepiteliala celler basalt
Utförsgåmgar har ett tvåskiktat kubiskt epitel

Talgkörtlar
Finns ej i tjock hud
Alveolära och holokrina
Finns i dermis och mynnar ut i hårscäkarna
Platta celler basalt, allt större och ljusare då de mognar
Talgfylld

Lakterande mamma
Lober
Bindvävskapsel
Tätt liggande alveoler, bindväv syns som små stråk mellan alveolerna
Tydlig lobulering
Utförsgångar i bindvävsstråken mellan laviolerna

Icke-lakterande mamma
Tydliga utförsgångar
Rikligt med fettceller
Stram oregelbunden bindväv + lucker bindväv
Körtelvävnad i små grupper

Läpp
Tre sorters epitel
Centrum av läpp är tvärstrimmig muskulatur
I lamina propria finns små spottkörtlar
