Digestive Cross Sections & CT Flashcards

(32 cards)

1
Q

The organ surrounded by the red line is the ___

A

liver

How well did you know this?
1
Not at all
2
3
4
5
Perfectly
2
Q

Parts 1, 2, 3, 4

A

left lobe

quadrate lobe

right lobe

caudate lobe

How well did you know this?
1
Not at all
2
3
4
5
Perfectly
3
Q

The green organ is the ___

A

gallbladder

How well did you know this?
1
Not at all
2
3
4
5
Perfectly
4
Q

The blue, yellow and purple structures are all part of the large intestine.

The blue part is the___

A

ascending colon

How well did you know this?
1
Not at all
2
3
4
5
Perfectly
5
Q

The blue, yellow and purple structures are all part of the large intestine.

The yellow part is the___

A

transverse colon

How well did you know this?
1
Not at all
2
3
4
5
Perfectly
6
Q

The blue, yellow and purple structures are all part of the large intestine.

The purple part is the___

A

descending colon

How well did you know this?
1
Not at all
2
3
4
5
Perfectly
7
Q

Cavity A is part of the abdominal cavity and is specifically called the ___

A

peritoneal cavity

How well did you know this?
1
Not at all
2
3
4
5
Perfectly
8
Q

The yellow organ is the ___

The organ outlined in purple is the ___

The orange organ is the ___

A

gallbladder

liver

spleen

How well did you know this?
1
Not at all
2
3
4
5
Perfectly
9
Q

Within the purple organ, part 1 is the ___ and part 2 is the ___

A

right lobe of liver

caudate lobe of liver

How well did you know this?
1
Not at all
2
3
4
5
Perfectly
10
Q

The orange muscle is the ___

Cavity A is the ___

A

diaphragm

pleural cavity

How well did you know this?
1
Not at all
2
3
4
5
Perfectly
11
Q

The blue, yellow and green organs are all part of the large intestine.

A

ascending colon

transverse colon

descending colon

How well did you know this?
1
Not at all
2
3
4
5
Perfectly
12
Q

The red organ is the ___

The purple organ is the ___

A

stomach

duodenum

How well did you know this?
1
Not at all
2
3
4
5
Perfectly
13
Q

The green organ is the ___

The red organ attached to it is the ___

A

stomach

duodenum

How well did you know this?
1
Not at all
2
3
4
5
Perfectly
14
Q

The yellow organ is the ___

The blue organ is the ___

A

pancreas

liver

How well did you know this?
1
Not at all
2
3
4
5
Perfectly
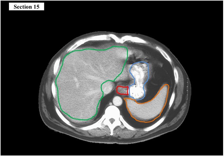
15
Q

Blue, red and yellow organ

A

ascending colon

transverse colon

descending colon

How well did you know this?
1
Not at all
2
3
4
5
Perfectly
16
Q

The green organ is the ___ and it is surrounded by tissue A which is called ___

A

right kidney

perirenal fat

17
Q

The purple organ is the ___ and the orange gland is the ___

A

spleen

adrenal gland

18
Q

Yellow, Red, Blue?

A

ascending colon

transverse colon

descending colon

19
Q

The purple organ is the ___

Tissue A ___

A

pancreas

perirenal fat

20
Q

The purple organ is the ___

The green organ is the ___

A

ascending colon

descending colon

21
Q

The red organ is the ___

The green tissue attached to it is the ___

A

small intestine

mesentery proper

22
Q

The red organ is the ___

The yellow tissue attached to it is the ___

The blue organ is the ___

A

small intestine

mesentery proper

rectum

23
Q

The green organ is the ___

24
Q

The blue organ is the ___ and the red organ attached to it is the ___

A

stomach

esophagus

25
The orange organ is the \_\_\_
spleen
26
The yellow organ is the \_\_\_ The green organ is the \_\_\_
liver stomach
27
The orange organ is the ___ and the purple organ is the \_\_\_
transverse colon descending colon
28
The pink organ is the \_\_\_ The red organ is the \_\_\_
pancreas spleen
29
The blue organ is the ___ and the red organ attached to it is the \_\_\_
liver gallbladder
30
The yellow organ is the ___ and the green organ attached to it is the \_\_\_
stomach duodenum
31
The orange organ is the \_\_\_
pancreas
32
The green organ is the ___ and it is attached to the yellow organ which is the \_\_\_
ileum cecum