Urinary Cadaver Cross Sections & CT Flashcards

(16 cards)

1
Q

The red organ is the ___ and the green structure is the ___

A

left kidney

left ureter

How well did you know this?
1
Not at all
2
3
4
5
Perfectly
2
Q

The purple gland is the ___

The orange tissue surrounding the organ is ___

A

left adrenal gland

perirenal fat

How well did you know this?
1
Not at all
2
3
4
5
Perfectly
3
Q

The yellow organ is the

A

urinary bladder

How well did you know this?
1
Not at all
2
3
4
5
Perfectly
4
Q

The organ outlined in orange is the ___

The black outlined organ is the ___

A

left kidney

right kidney

How well did you know this?
1
Not at all
2
3
4
5
Perfectly
5
Q

Structure B ___

Structure C ___

A

renal calyx

renal pelvis

How well did you know this?
1
Not at all
2
3
4
5
Perfectly
6
Q

The red structure is the ___ and the blue structure is the ___

A

right ureter

left ureter

How well did you know this?
1
Not at all
2
3
4
5
Perfectly
7
Q

The yellow organ is the ___ and it is surrounded by tissue A which is called ___

A

left kidney

perirenal fat

How well did you know this?
1
Not at all
2
3
4
5
Perfectly
8
Q

The yellow organ is the ___ and the blue organs leading to it are the ___

A

urinary bladder

left and right ureters

How well did you know this?
1
Not at all
2
3
4
5
Perfectly
9
Q

Hollow cavity A is the

A

rectum

How well did you know this?
1
Not at all
2
3
4
5
Perfectly
10
Q

The yellow structure is the ___

The red cavity is the ___

A

urethra

anal canal

How well did you know this?
1
Not at all
2
3
4
5
Perfectly
11
Q

The red cavity is the ___

The blue organ is the ___

A

anal canal

urethra

How well did you know this?
1
Not at all
2
3
4
5
Perfectly
12
Q

The green organ in this female is the ___

A

urinary bladder

How well did you know this?
1
Not at all
2
3
4
5
Perfectly
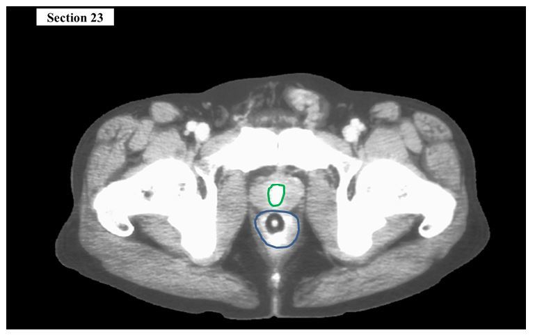
13
Q

The green structure is the ___

The blue organ is the ___

A

urethra

rectum

How well did you know this?
1
Not at all
2
3
4
5
Perfectly
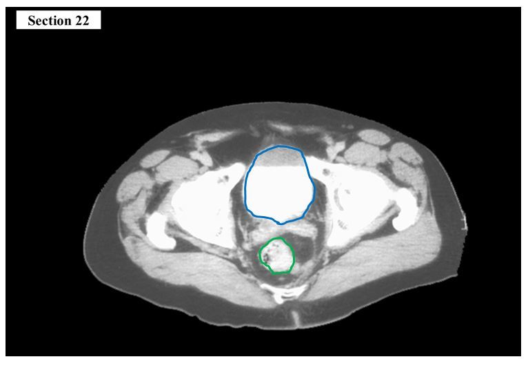
14
Q

The blue organ is the ___

The green organ is the ___

A

urinary bladder

rectum

How well did you know this?
1
Not at all
2
3
4
5
Perfectly
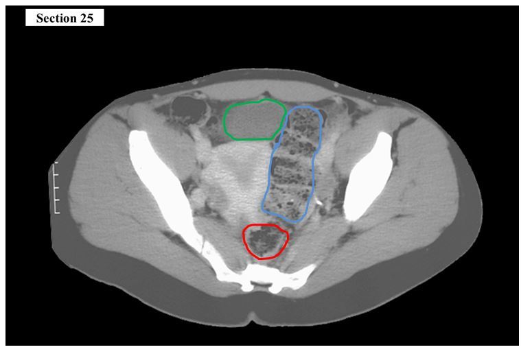
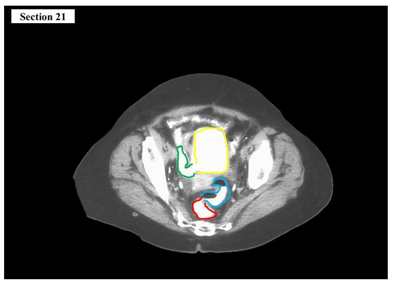
15
Q

The green structure is the ___ and it is attached to the yellow organ which is the ___

A

right ureter

urinary bladder

How well did you know this?
1
Not at all
2
3
4
5
Perfectly
16
Q

The red organs are the

A

left and right ureters