Respiratory Cross Sections & CT Flashcards

(20 cards)

1
Q

The red space is the _____

The yellow wall dividing the red space is the _____

The green space is the _____

A

nasal cavity

nasal septum

sphenoid sinus

How well did you know this?
1
Not at all
2
3
4
5
Perfectly
2
Q

The yellow space is the _____

The red space is the _____

The blue wall dividing the red space is the _____

A

maxillary sinus

nasal cavity

nasal septum

How well did you know this?
1
Not at all
2
3
4
5
Perfectly
3
Q

The blue space is the _____ and the green muscle in the space is the _____

A

oral cavity

tongue

How well did you know this?
1
Not at all
2
3
4
5
Perfectly
4
Q

The orange bone is the _____

The red structure anterior to the ear is the _____

A

mandible

parotid salivary gland

How well did you know this?
1
Not at all
2
3
4
5
Perfectly
5
Q

The blue structure is the _____

The red structure is the _____

The green space is the _____

A

submandibular salivary gland

epiglottis

laryngopharynx

How well did you know this?
1
Not at all
2
3
4
5
Perfectly
6
Q

The organ surrounded by the yellow dotted line is the _____

The red part of it is called the _____

A

larynx

thyroid cartilage

How well did you know this?
1
Not at all
2
3
4
5
Perfectly
7
Q

The green space posterior to the organ is the

A

laryngopharynx

How well did you know this?
1
Not at all
2
3
4
5
Perfectly
8
Q

The red structure is the _____

The yellow structure is the _____

The blue structure is the _____

A

thyroid gland

trachea

esophagus

How well did you know this?
1
Not at all
2
3
4
5
Perfectly
9
Q

The yellow organs are the _____

The red structure is the _____

The blue structure is the _____

A

lungs

trachea

esophagus

How well did you know this?
1
Not at all
2
3
4
5
Perfectly
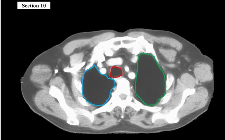
10
Q

The green space is the _____

The yellow structure is the _____

The red structure is the _____

A

pleural cavity

trachea

esophagus

How well did you know this?
1
Not at all
2
3
4
5
Perfectly
11
Q

The blue space is the _____ and it separates structure A which is the _____ of the lung from structure B which is the _____ of the lung.

A

oblique fissure

superior lobe

inferior lobe

How well did you know this?
1
Not at all
2
3
4
5
Perfectly
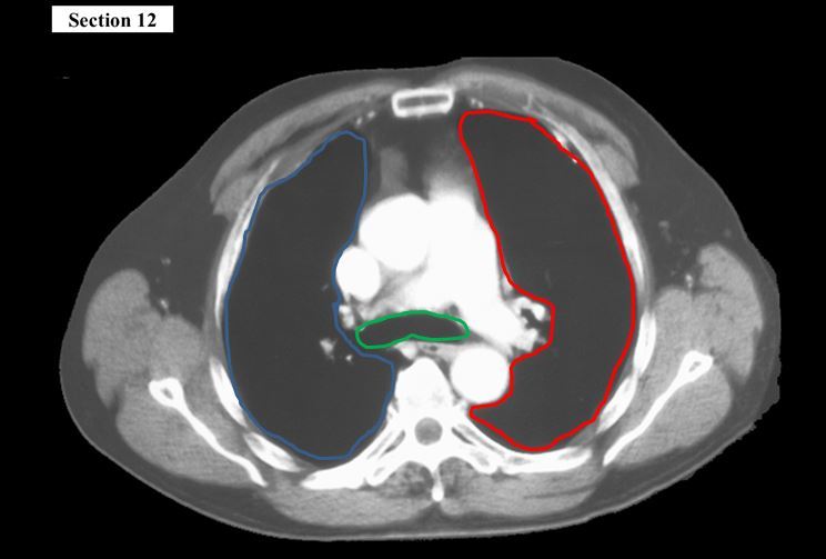
12
Q

The blue organ is the _____

The yellow organ is the _____

A

right lung

left lung

How well did you know this?
1
Not at all
2
3
4
5
Perfectly
13
Q

The green structures are the _____

The red structure is the _____

A

left and right primary bronchi

esophagus

How well did you know this?
1
Not at all
2
3
4
5
Perfectly
14
Q

Each red line is a/an _____ that separates a structure A which is a/an _____ from a structure B which is a/an _____within each lung.

A

oblique fissure

superior lobe

inferior lobe

How well did you know this?
1
Not at all
2
3
4
5
Perfectly
15
Q

The red muscle is the _____

The orange organ is the _____

A

diaphragm

liver

How well did you know this?
1
Not at all
2
3
4
5
Perfectly
16
Q

The blue organ is the _____ and the yellow organ is the _____.

The purple structure is the _____

A

right lung

left lung

esophagus

17
Q

The red line is a muscle called the ___ which separates cavity A called the ___ from cavity B which is called the ___

A

diaphragm

peritoneal cavity

pleural cavity

18
Q

In cavity A, the blue organ is the ___ and it deposits materials into the purple organ which is the ___

A

esophagus

stomach

19
Q

The blue organ is the ___ and the green organ is the ___.

The red structure is the ___

A

right lung

left lung

trachea

20
Q

The green line outlines the site where the trachea branches to form the two

A

primary bronchi