DIPA Flashcards

(11 cards)

1
Q

O que é DIPA? Agentes etiologicos?

A

Infecção ascendente dos órgãos genitais internos
- cervicite
- endometrite
- salpingite
- ooforite
- peritonite
- podendo levar a sepse

AGENTES:
Clamídia Trachomatis
Gonococo
Outros anaeróbicos podem estar associados

How well did you know this?
1
Not at all
2
3
4
5
Perfectly
2
Q

Complicações principais da DIPA?

A
  • infertilidade
  • gravidez ectopica
  • dor pélvica crônica
How well did you know this?
1
Not at all
2
3
4
5
Perfectly
3
Q

Qual o nome das aderências peri-hepaticas da DIPA que afetou peritoneo?

A

Síndrome de Fitz Hugh Curtis

How well did you know this?
1
Not at all
2
3
4
5
Perfectly
4
Q

Como se da o DG de DIPA?

A

Qualquer CRITÉRIO ELABORADO (imagens)
OU
Todos os maiores (EF e anamnese) + 1 menor (evidencia laboratorial de infecção)

Maiores:
- dor a mobilização do colo
- dor a palpacao de anexos
- dor em baixo ventre

Menores:
- febre
- secreção vaginal patológica
- leucocitose
- PCR aumentado
- cultura + dos agentes etiologicos de secreção endocervical

How well did you know this?
1
Not at all
2
3
4
5
Perfectly
5
Q

Quais sao os critérios elaborados?

A
  • imagem de abscesso tubo-ovariano
  • biópsia demonstrando endometrite
  • laparoscopia com sinais de infecção pélvica
How well did you know this?
1
Not at all
2
3
4
5
Perfectly
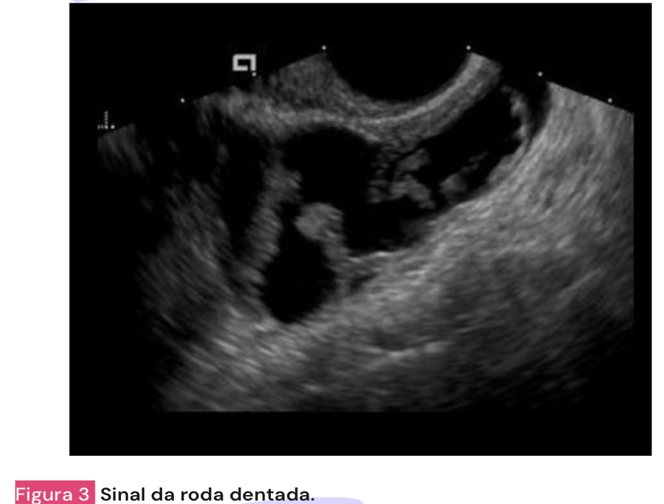
6
Q

O que mais pode ser visto nos exames de imagem de uma paciente com DIPA?

A
  • parede tubária espessa (>5mm)
  • acumulo de liquido nas tubas
  • tubas dilatadas (SINAL DA RODA DENTEADA)
  • septos intra-tubareos
  • abscesso tubo-ovariano
How well did you know this?
1
Not at all
2
3
4
5
Perfectly
7
Q

Como diferenciar DIPA leve de DIPA COMPLICADA?

A

DIPA LEVE:
- nao tem taquicardia, hipotensão ou qualquer outro sinal de sepse
- ausência de sinais de infecção sistêmica (tudo bem febre leve e leucocitose)
- ausência de peritonite
- ausência de massa anexial

DIPA COMPLICADA
- Sinais de sepse
- febre bem alta
- instabilidade hemodinâmica
- abscesso tubo ovariano
- paciente imunossuprimida
- paciente gestante
- falha de atb VO depois de 48h

How well did you know this?
1
Not at all
2
3
4
5
Perfectly
8
Q

Quando internar?

A

DIPA complicada!

How well did you know this?
1
Not at all
2
3
4
5
Perfectly
9
Q

Tratamento da DIPA leve?

A

MS: (DIPA é Coisa Do Mal ou será que é Coisa Anti Mal
R: O Mal é opcional!) -macete

Ceftriaxone 500mg IM DU
+
Doxiciclina 100mg VO 2x/dia por 14 dias
+
Metronidazol 250 mg VO 2x/dia por 14 dias

FEBRASGO
Igual mas com 2 alterações:
- metronidazol opcional
- Doxiciclina pode ser substituída por Azitromicina

AMBULATORIAL
Reavaliar após 48h

How well did you know this?
1
Not at all
2
3
4
5
Perfectly
10
Q

Tratamento DIPA complicada?

A

NO HOSPITAL INTERNADA:
Coisa Do Mal adaptada ao hosp:
- Ceftriaxone 1h 12h/12h EV
- Doxiciclina
- Metronidazol

OU
Clindamicina por 14 dias
+
Gentamicina

OU
Ampicilina + Sulbactam

*se tiver a aeróbios precisamos da Clindamicina ou do Metronidazol

How well did you know this?
1
Not at all
2
3
4
5
Perfectly
11
Q

Se a paciente com DIPA tiver DIU, o que fazer?

A

Pense se há relação de tempo com a DIPA

Retirar apenas de inserção recente que bate com o surgimento da DIPA após. Retirar após 6 horas de ATB agindo!

How well did you know this?
1
Not at all
2
3
4
5
Perfectly