Mrs. Jones is a 67 year old woman with a PMH of smoking and HTN. She takes lisinopril 10mg daily. She presents to her primary physician complaining of dizziness. What is the first thing we need to do with this pt?
Have her define the dizziness.. what do you mean by dizzy?
Key to differentiate between vertigo from presyncope
define true vertigo
True vertigo should have an aspect of movement – spinning of self or room
Common shit people describe as dizziness
You determine your pt has vertigo, what associated symptoms do you look for?
• Cardiovascular
What is the difference between peripheral and central vertigo
Peripheral vertigo tends to have a delay after stimulation (a second or two) and does exhibit fatigue
C_entral vertigo_ has no delay and is usually much more profound and prolonged with little fatigue
• Imbalance in input from either inner ears, vestibular nuclei or vestibular tracts
More ways to define vertigo
What do the following have in common?
BPPV
Meniere’s
Vestibular Neuronitis
Labyrinthitis
Direct trauma
All Peripheral causes of Vertigo
What do the following have in common?
Stroke – lateral medullary, cerebellum
Brainstem or cerebellar mass Medications
Migraine
MS
Anxiety
All central causes of vertigo
What part of the ear detects linear movment?
The maculae in the utricle and sacculae:
when otoconia and endolymph move over hair cells sends signal
Semicircular canals detect______ motion, each in its own plane.
angular

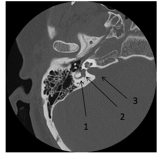
What are the labels in the image

• 1 = Lateral Semicircular Canal
What are the labeled images

Where are the superior and lateral vestibular nucleus located?
caudal pons

Where are the Medial and Inverior vesibular nucleus located?
Rostral Medulla

Pathway and function of Medial Vestibulospinal tract
helps balance in neck and axial muscles

Pathway and function of lateral vestibulospinal tract
Balance for ipsilateral proximal muscles

She describes two days of having a severe sensation of spinning when she sits up or rolls over, lies down or even when she turns to the left. She has to sit down or hold on and close her eyes to keep from falling or throwing up. It goes away after about 30 seconds. She does not have any hearing changes or other neurologic symptoms.
BPPV
You suspect your patient has BPPV based on her history, what is the next step?
Do a complete exam
• Look for nystagmus
Look for associated symptoms: ataxia, dyshpagia, diplopia, facial sensation loss, weakness, numbness, ect.
What types of nystagums are central?
Vertical and direction changing:
if there is no nystagmus, it’s NOT ear related
If patient has vertigo as well as ataxia, what would you want to include on Ddx?
Cerebellar lesion
What type of symptoms are suggestive of a brainstem stroke?
Dysphagia, diplopia, facial sensation loss, horners, skew deviation
What special test do we do to dx Bppv?
Dix-Hallpike maneuvar
How do you perform a Dix-Hallpike maneuver and what do you expect to see?
Drop the patient backwards and then turn the head sideways and down towards the floor
Pt has Peripheral vertigo with Long duration dizziness and hearing loss
Labryinthitis