A 65 yo F presents to the ED with a complaint of headache. The patient is brought in by her husband. The patient states the headache is a 10/10 and started while she was carrying laundry up the stairs. The patient has a history of migraines, but this headache is ‘much worse and feels different’. She has vomited twice since the start of the headache and continues to be nauseated. She also has light and noise sensitivity. The patient also feels lightheaded and like she might ‘pass out’.
Most like subarachnoid hemorrhage
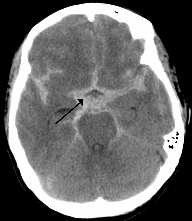
You suspect your pt has a subarachnoid hemorrhage, what labs do you order?
●Complete blood count
●Basic metabolic panel
●Coagulation studies
●EKG
●CT scan of brain (non-contrast)
Define Subarachnoid hemorrhage. What are they two types?

acute extravasation of blood into the space between the arachnoid membrane and the pia mater.
– Spontaneous SAH: rupture of focally weakened artery in the
subarachnoid space: Aneurysm
– Secondary SAH:
• Trauma: Hemorrhage may derive from several sources: trauma, Rupture or dissection of vertebral arteries, Intracerebral hematoma
Saccular (berry) aneurysm
– Not present at birth, but defect in____ is congenital and the aneurysm develops over time
– Increasing risk of rupture as _____
– Occur typically at branch points, 90% in the _____
media
size increases
anterior circulation
What are some increased risks for rupture or devo of Berry Aneurysms
Increased risk with hypertension, smoking, arteriovenous malformations, polycystic kidney disease, defects in vascular collagen, smooth muscle or elastic tissue (Ehlers- Danlos syndrome)
Aneurysm due to infection (bacteria or fungus)
Fusiform, atherosclerotic aneurysm: usually ______ arteries
Mycotic aneurysm:
vertebral basilar
Regarding pharmacologic management of your patient with subarachnoid hemorrhage, what are your goals for managing this patient’s blood pressure?
Avoid reducing blood pressure too much or too quickly
●Goal of SBP<150 or DBP <90mmHg or within 5% of baseline
Medications to initially manage subarachnoid hemorrhage
–Labetalol (beta blocker)
–Hydralazine (direct vasodilator)
–Nicardipine (Ca channel blocker)
–Esmolol (beta blocker)
Best way to deliver meds to pt with subarachnoid hemorrhage
i.v. to allow for titration of blood pressure
Why don’t we want to use nitrate or RAAS for pts with subarachnoid hemorrhage?
What do we need to keep in mind when giving Beta blockers?
Role of B-1 receptors
– heart, kidney
– stimulation increases HR, contractility, renin release
Role f B-2 receptors
– lungs, liver, pancreas, arteriolar smooth muscle
– stimulation causes bronchodilation & vasodilation
– mediate insulin secretion & glycogenolysis
What B blockers are specific for B-1 receptor
Metoprolol and Atenolol
What B blockers cover B1 and B2 receptors
Propranolol and Labetalol
Understand B blocker mechanism in regards to regulating Blood Pressure
Start by blocking renin and decreasing HR

During a subarachnoid hemorrhage neighboring vessels may experience cerebral vasospasm, what can we use to tx this? how does it work?
CCB: use a Dihydropyridine, specifically Nimodipine
Nimodipine has selectivity for cerebral vascular smooth muscle cell Ca2+ channels
nifedipine, amlodipine, nimodipine are what kind of drugs
Dihydropyridine CCBs

Non-dihydropyridine CCBs
Diltiazem and Verapamil

You suspect your pt had a subarachnoid hemorrhage but the CT scan was negative, what would your next test be and why? Describe the findings on this test that would confirm a subarachnoid hemorrhage.
Lumbar puncture: we would expect to see xanthochromia
A 5 yo M presents via EMS after falling from a tree house in his neighbor’s backyard. The child is awake at this time, but was reported to be unresponsive immediately after the fall. He is in full c-spine and backboard precautions. He is crying and is trying to get up off of the backboard. He is noticed to have a laceration and hematoma to the right side of his head, bleeding is controlled. His parents are with him and are having a hard time consoling him. The patient has vomited twice en route to the hospital.
Dx?
Trauma: likely an epidural hematoma
Range of normals for pediatric vital signs
Note patterns, do not memorize

What is key for initial management of pt you suspect has an epidural hematoma
Airway, Breathing, Circulation, Disability, Examine, Fahrenheit, Get vials, Head-to-toe assessment, Intervention
Epidural hematomas are most often in the temporal region because:
– Bone is relatively thin in this area & more susceptible to fracture – Middle meningeal artery courses in this region & so is torn
Mechanism of epidural hematoma
Mechanism: dura is firmly adherent to inner table of skull
• May take time (minutes to hours) for the dura to come free from the
skull as hematoma grows (explains lucid interval)