Doença de Blount Flashcards

(23 cards)

1
Q

Doença de Blount
Evolução natural dos MMII ?

A

1. Varo: 9 - 12 meses
2. Alinha:18 - 24 meses
3. Valgo: 4 anos
4. Alinha: 6 anos

DDD 2: 9 - 12 (DOZE) > DOBRA > DOBRA > 2

How well did you know this?
1
Not at all
2
3
4
5
Perfectly
2
Q

Doença de Blount
Suspeitar quando manutenção do varo fisiológico em qual idade ?

A

2 a 3 anos

How well did you know this?
1
Not at all
2
3
4
5
Perfectly
3
Q

Doença de Blount
A doença de Blount é em sua essência uma patologia ______.

A

ADQUIRIDA

Criança que NÃO DEAMBULA NÃO TEM BLOUNT.

How well did you know this?
1
Not at all
2
3
4
5
Perfectly
4
Q

Doença de Blount
Fatores de risco (5)

A
  1. Deambulação Precoce
  2. Meninos
  3. Sobrepeso
  4. Negros
  5. Deficiência Vit D
How well did you know this?
1
Not at all
2
3
4
5
Perfectly
5
Q

Doença de Blount
Pior prognóstico se ….

A

MeninA Negra

How well did you know this?
1
Not at all
2
3
4
5
Perfectly
6
Q

Doença de Blount
Relação em % de bilateralidade ?

A

50 %

How well did you know this?
1
Not at all
2
3
4
5
Perfectly
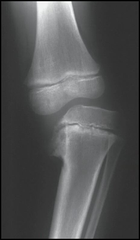
7
Q

Doença de Blount
Características (4)

A
  1. Fise Postero-Medial Irregular
  2. Bico Ósseo Metafisário Medial
  3. Ponte Óssea Medial
  4. Subluxação Tibial Lateral
How well did you know this?
1
Not at all
2
3
4
5
Perfectly
8
Q

Doença de Blount
Ângulo que prediz (triagem) evolução para Blount ?

A

Ângulo de LEVINE e Drennan

How well did you know this?
1
Not at all
2
3
4
5
Perfectly
9
Q

Doença de Blount
Como mensurar Ângulo de Levine ?

A

Ângulo formado entre as linhas:
1. Perpendicular ao eixo longo da tíbia
2. Linha entre bico metafisário medial e lateral

How well did you know this?
1
Not at all
2
3
4
5
Perfectly
10
Q

Doença de Blount
Predição pelo ângulo de Levine (3) ?

A

< 11º ( > 95% FISIOLÓGICO)
> 15º ( > 95 % BLOUNT)

11 - 15º : ÁREA CINZENTA

How well did you know this?
1
Not at all
2
3
4
5
Perfectly
11
Q

Doença de Blount
Fatores que “falseiam”o ângulo de Levine (2) ?

A
  • Rotação da Tibia
  • Incidência Radiográfica

Lembrar que LEVINE NÃO FECHA DIAGNÓSTICO

How well did you know this?
1
Not at all
2
3
4
5
Perfectly
12
Q

Doença de Blount
Classificação ?

A

Langenskiöld
6 Estágios

Irmão do Silfverskiöld

How well did you know this?
1
Not at all
2
3
4
5
Perfectly
13
Q

Doença de Blount
Langenskiöld I ?

A

2 - 3 anos
* Irregularidade da metáfise com zonas de calcificação

How well did you know this?
1
Not at all
2
3
4
5
Perfectly
14
Q

Doença de Blount
Langenskiöld II (2) ?

A

3 - 4 anos
* Bico Medial
* Depressão Metafisária

How well did you know this?
1
Not at all
2
3
4
5
Perfectly
15
Q

Doença de Blount
Langenskiöld II - Marco em Relação ao TTO ?

A

Limite para ÓRTESE

KAFO

How well did you know this?
1
Not at all
2
3
4
5
Perfectly
16
Q

Doença de Blount
Langenskiöld III ?

A

4 - 6 anos
* Início da deformidade na fise para formação da ponte óssea

17
Q

Doença de Blount
Langenskiöld IV ?

A

5 - 10 anos
* Formação da barra óssea

É DE 4 QUE A BARRA ENTRA

18
Q

Doença de Blount
Langenskiöld IV - Marco em Relação ao TTO ?

A

Limite para OSTEOTOMIA

19
Q

Doença de Blount
Langenskiöld V (2) ?

A

9 - 11 anos
* Placa epifisária dupla
* Radioluscência medial

20
Q

Doença de Blount
Langenskiöld VI (2) ?

A

10 - 13 anos
* Fechamento da fise medial
* Piora progressiva do VARO

Lateral continua crescendo

21
Q

Doença de Blount
Tratamentos ?

A
  1. Órtese (KAFO - Langenskiöld II)
  2. Osteotomia valgizante (Langenskiöld II - IV)
  3. Hemiepifisiodese Lateral + Interposição (Langenskiöld IV - V)
  4. Salvamento (Langenskiöld VI - “A la carte” )

Osteotomia Estágio IV: ALTA taxa recorrencia

22
Q

Doença de Blount
Osteotomia valgizante, especificidades (4) ?

A

Langenskiöld II - III
1. Feita abaixo da TAT
2. Hipercorreção
3. Rotação lateral
4. Fasciotomia profilática

23
Q

Doença de Blount
Características do Blount do Adolescente (5) ?

A
  1. Idade > 8 anos
  2. Obesos
  3. Unilateral
  4. Epifisiólise
  5. Deformidade da tíbia e FEMUR DISTAL

*Alargamento da fise medial SEM BICO MEDIAL

Sempre Cirúrgico : OSTEOTOMIA