FX Femur DX e Tibia Flashcards

(30 cards)

1
Q

FX Diafisária do Fêmur
Epidemiologia (4)

A
  1. FX mais comum do fêmur
  2. Lesão pediátrica que mais gera internação
  3. Masculino > Feminino
  4. Bimodal
    * 2 anos: Baixa Energia
    * Adolescentes: Alta Energia (*Tríade de Waddel)
How well did you know this?
1
Not at all
2
3
4
5
Perfectly
2
Q

FX Diafisária do Fêmur
Quando suspeitar de maus tratos (5)

A
  1. Não Deambulador
  2. Menor < 18 meses
  3. FX Transversa
  4. História não compatível
  5. Ouras FX estágios diferentes

FX DX Fêmur → Baixa ESPECIFICIDADE em deambuladores!

How well did you know this?
1
Not at all
2
3
4
5
Perfectly
3
Q

FX Diafisária do Fêmur
Padrão da FX Diafisária em Terço:
1. Proximal
2. Médio
3. Distal

A
  1. Ação do ileopsoas e rotadores externos/abdutores em fragmento proximal
  2. Menos intenso por ação contrária dos adutores
  3. Ação do gastrocnemio em framento distal
How well did you know this?
1
Not at all
2
3
4
5
Perfectly
4
Q

FX Diafisária do Fêmur
Desvios aceitáveis ?

A
How well did you know this?
1
Not at all
2
3
4
5
Perfectly
5
Q

FX Diafisária do Fêmur
TTO 0-6 meses ?

A

PAVLIK
ou
GPP

Se flexão excessiva → Lesão N. Femoral

How well did you know this?
1
Not at all
2
3
4
5
Perfectly
6
Q

FX Diafisária do Fêmur
TTO 7m - 5 anos?

A

GPP
ou
Tração se:
* Politrauma
* Encurtamento > 2 cm
* Padrões Cominuídos
* Problemas de Partes Moles

How well did you know this?
1
Not at all
2
3
4
5
Perfectly
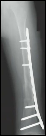
7
Q

FX Diafisária do Fêmur
TTO 6 - 10 anos?

A

HASTES FLEXÍVEIS
ou
Placa (>50 Kg)
Fixador Externo (Cominuição)

How well did you know this?
1
Not at all
2
3
4
5
Perfectly
8
Q

FX Diafisária do Fêmur
TTO > 10 anos?

A

HASTE RÍGIDA
ou
Haste Flexível ( < 50 Kg)
Placa (Cominuição)

How well did you know this?
1
Not at all
2
3
4
5
Perfectly
9
Q

FX Diafisária do Fêmur
Detalhe Haste Flexível (2)

A
  1. Ideal < 50 Kg e Padrões Estáveis de FX
  2. Duas Hastes diâmetro 40% do diâmetro do ISTMO (80% do canal)
How well did you know this?
1
Not at all
2
3
4
5
Perfectly
10
Q

FX Diafisária do Fêmur
Detalhe Haste Rígida (2)

A
  1. Ideal em > 10 anos e > 50 Kg
  2. Entrada Trocanterica

Vascularização da fise da cabeça femoral nafosse do piriforme!

How well did you know this?
1
Not at all
2
3
4
5
Perfectly
11
Q

FX Diafisária do Fêmur
Detalhe Placa Submuscular (3)

A
  1. Ideal em padrões cominuídos e pouco estáveis
  2. Técnica em PONTE
  3. Evitar bloqueio na ponte
How well did you know this?
1
Not at all
2
3
4
5
Perfectly
12
Q

FX Diafisária do Fêmur
Detalhe Fixador Externo (3)

A
  1. Ideal em politrauma ou lesão de partes moles
  2. Evitar muita estabilidade
  3. TTO Longo → 3 - 4 a Meses (↑ Risco de refratura)
How well did you know this?
1
Not at all
2
3
4
5
Perfectly
13
Q

FX Diafisária do Fêmur
Complicações (2)

A

Assimetria MMII
1. Encurtamento
2. Alongamento (SOBRECRESCIMENTO)
* ↓ 10 anos
* Masculino
* Proximal, cominuta ou obliqua

How well did you know this?
1
Not at all
2
3
4
5
Perfectly
14
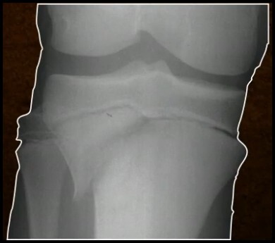
Q

FX Tíbia Proximal
Tipos de fratura (4)

A
  1. Espinha tibial
  2. Tuberosidade da Tibia
  3. Fisária
  4. Metafisária
How well did you know this?
1
Not at all
2
3
4
5
Perfectly
15
Q

FX Tíbia Proximal
Característidas FX Metafisária (3)

A
  • 2 - 8 anos
  • Valgo + Extensão
  • Grandes desvios são incomuns

FX DE COZEN

How well did you know this?
1
Not at all
2
3
4
5
Perfectly
16
Q

FX Tíbia Proximal
FX Metafisária - TTO (2)

A
  • TTO Conservador → Redução Fechada + Gesso Inguinopodálico
  • TTO CX → Grandes desvios / interposição pata de ganso

Complicação → Valgo Progressivo

17
Q

FX Tíbia Proximal
FX Metafisária - Valgo progressivo

A
  1. Inicio 6 meses após a FX
  2. Progride com 2 anos de evolução
  3. Melhora em 3 - 4 anos
18
Q

FX Tíbia Proximal
Característidas FX Fisária (3)

A
  • Trauma de Alta Energia
  • SH 1 e 2 → 12 anos
  • SH 3 e 4 → 14 anos

SH2 é o mais comum (com Fragmento Posterolateral)

19
Q

FX Tíbia Proximal
TTO FX Fisária (2)

A
  • SH 1 e 2 → Redução e Gesso com Joelho Fletido // CX se necessário
  • SH 3 e 4 → CX ou conservador a depender do desvio
20
Q

FX Tíbia Proximal
FX Fisária - Complicações (2)

A
  • Fechamento fisário
  • Deformidade angular
21
Q

FX Tíbia Proximal
Características - FX da TAT (3)

A
  1. Crianças mais velhas
  2. Esporte de Salto
  3. DDX com Osgood Schlater
22
Q

FX Tíbia Proximal
FX da TAT - Classificação de Watson-Jones (3)

23
Q

FX Tíbia Proximal
FX da TAT - Classificação de Ogden (3)

A

Dividide Watson Jones em A e B

24
Q

FX Tíbia Proximal
FX da TAT - Classificação 4 e 5

A

Descolamento de toda a fise

25
**FX Tíbia Proximal** FX da TAT - TTO Conservador
FX Tipo 1 e 2 Sem desvio Gesso Inguinopodálico
26
**FX Tíbia Proximal** FX da TAT - TTO CX (2)
* Redução fechada + Fixação Percutânea * RAFI
27
**FX Tíbia Proximal** FX da TAT - Complicação ?
Recurvatum
28
**FX Tíbia Proximal** FX da Eminência tibial (3)
* Até 5% das lesões de joelho na criança * Mecanismo como LCA → Valgo + Rotação Interna + Flexão
29
**FX Tíbia Proximal** FX da Eminência tibial - TTO (2)
* Tipo 1 e 2 → Conservador * Irredutíveis / 4 → CX
30
**FX Tíbia Proximal** FX da Eminência tibial - Complicação
Perda de Extensão (~10º)