FX do Tornozelo Flashcards

(15 cards)

1
Q

FX do Tornozelo
Epidemiologia (5)

A
  • 10 - 20% das Fraturas PEDIÁTRICAS
  • 2ª Fx Fisária MAIS COMUM (Perde para Rádio Distal)
  • > 50% ocorre durante atividade física
  • Homem > Mulher
  • Obesidade é fator de risco
How well did you know this?
1
Not at all
2
3
4
5
Perfectly
2
Q

FX do Tornozelo
Classificação de Salter Harris ?

A
How well did you know this?
1
Not at all
2
3
4
5
Perfectly
3
Q

FX do Tornozelo
Epônimo do fragmento da FX SH 2 ?

A

Thurstand Holland

How well did you know this?
1
Not at all
2
3
4
5
Perfectly
4
Q

FX do Tornozelo
Classificação com nome da referência pediátrica ?

A

DIAS-TACHDJIAN
4 TIPOS:
* Supinação Rotação Externa
* Supinação Inversão
* Supinação Flexão Plantar
* Pronação Rotação Externa

How well did you know this?
1
Not at all
2
3
4
5
Perfectly
5
Q

FX do Tornozelo
Classificação Dias-Tachdjian
Supinação Rotação Externa (2)

A
  • Grau 1: SH2 Tibia distal com TH anteromedial
  • Grau 2: Fx Fíbula Anteromedial para Posterolateral

É só pensar na progressão da força de torsão

How well did you know this?
1
Not at all
2
3
4
5
Perfectly
6
Q

FX do Tornozelo
Classificação Dias-Tachdjian
Supinação Inversão (2)

Análogo à Supinação Adução do Adulto

A
  • Grau 1: ML SH1 ou SH2 / Raramente lesão ligamentar
  • Grau 2: MM SH3 ou SH4 + Grau 1
How well did you know this?
1
Not at all
2
3
4
5
Perfectly
7
Q

FX do Tornozelo
Classificação Dias-Tachdjian
Supinação Flexão Plantar

A

Apenas 1 Grau
* Sem FX Fibula
* SH 1 ou SH2 → Fragmento TH POSTERIOR

How well did you know this?
1
Not at all
2
3
4
5
Perfectly
8
Q

FX do Tornozelo
Classificação Dias-Tachdjian
Pronação Rotação Externa

A

Apenas 1 Grau
* SH2 Tibia distal → TH Lateral ou Posterolateral
* FX transversa da Fibula
* Raramente lesa a Sindesmose

How well did you know this?
1
Not at all
2
3
4
5
Perfectly
9
Q

FX do Tornozelo
Explicação das FX Transicionais

A

Fechamento da fise de crescimento de posteromedial para anterolateral
13/14 anos até 15-16 anos

How well did you know this?
1
Not at all
2
3
4
5
Perfectly
10
Q

FX do Tornozelo
FX Transicionais
Fratura de ?

A

Tillaux
* Força de Rotação Externa
* Avulsão do tubérculo de Tillaux-Chaput pelo Tibiofibular Anterior - SH3 ou SH4
* 14 - 16 anos (Lembrar da ordem do fechamento da fise)

How well did you know this?
1
Not at all
2
3
4
5
Perfectly
11
Q

FX do Tornozelo
FX Transicionais
Fratura —— ?

A

TRIPLANAR
* Força de Rotação Externa
* Paciente mais jovens em relação Tillaux (mais fise aberta)
* SH4 (Parece SH3 no AP e parece SH2 no Perfil)

How well did you know this?
1
Not at all
2
3
4
5
Perfectly
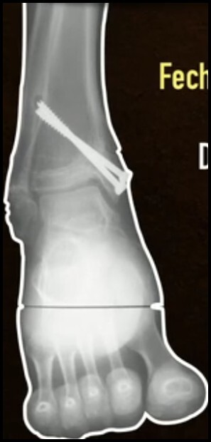
12
Q

FX do Tornozelo
Tratamento
SH1 e SH2 (4)

A
  • SH2 mais comum → 40% dos casos
  • Redução
  • Gesso Inguinopodálico: 4 semanas
  • Gesso Suropodálico: 2 semanas

Redução Aberta e Fixação se necessário

How well did you know this?
1
Not at all
2
3
4
5
Perfectly
13
Q

FX do Tornozelo
Tratamento
SH3 (3)

A
  • 20% dos casos
  • Supinação-Inversão
  • Cirúrgico > 2 mm desvio
How well did you know this?
1
Not at all
2
3
4
5
Perfectly
14
Q

FX do Tornozelo
Tratamento
SH4 (4)

A
  • 1% dos casos
  • Supinação-Inversão
  • Geralmente desviados
  • RAFI via medial
How well did you know this?
1
Not at all
2
3
4
5
Perfectly
15
Q

FX do Tornozelo
Complicações (3) ?

A
  1. Fechamento da fise (SH 3 e 4)
  2. Deformidade angular (Varo/Valgo depende da fise)
  3. Pseudoartrose (Raro)
How well did you know this?
1
Not at all
2
3
4
5
Perfectly