Cite, em sequência, as estruturas que compõem as vias aéreas inferiores. (9)

Quais são as 5 doenças de vias aéreas inferiores mais comuns?
O que significa DPOC?
Doença pulmonar obstrutiva crônica
Quais os 4 critérios diagnósticos da DPOC ?
Como é definida a DPOC - Doença Pulmonar Obstrutiva Crônica?
Síndrome irreversível caracterizada pela obstrução crônica e difusa das vias aéreas inferiores com destruição progressíva do parênquima pulmonar (= doenças das pequenas vias aéreas e/ou enfisema pulmonar)
Isso leva à sintomas respiratórios persistêntes e limitação do fluxo de ar.
Qual a causa principal da DPOC?
Exposição significante a gases e partículas nocivas, como:
Como calculamos a carga tabágica de um pacinte?
Maços consumidos por dia
x
anos de tabagismo
=
y anos/maço
Quais os dois principais tipos patológicos da DPOC? Conceitue-os.
Um dos fatores de risco para DPOC é a deficiência de_____________________, a qual leva à uma redução na degradação de uma ____________(__________)_, a qual vai degradando o ___________________ e causando ______________.
Um dos fatores de risco para DPOC é a deficiência de alfa-1-antitripsina, a qual leva à uma redução na degradação de uma enzima proteolítica (elastase neutrofíca), a qual vai degradando o parênquima pulmonar e causando enfizema.
Cite os critérios diagnósticos da DPOC.
Pacientes com DPOC possume um ciclo respiratório distindo. Qual a mudança mais notaval nesse ciclo?
Expiração prolongada, requerendo esforço (contração abdominal)
Perda de elasticidade pela fibrose da bronquiolite - não consegue expirar adequadamente
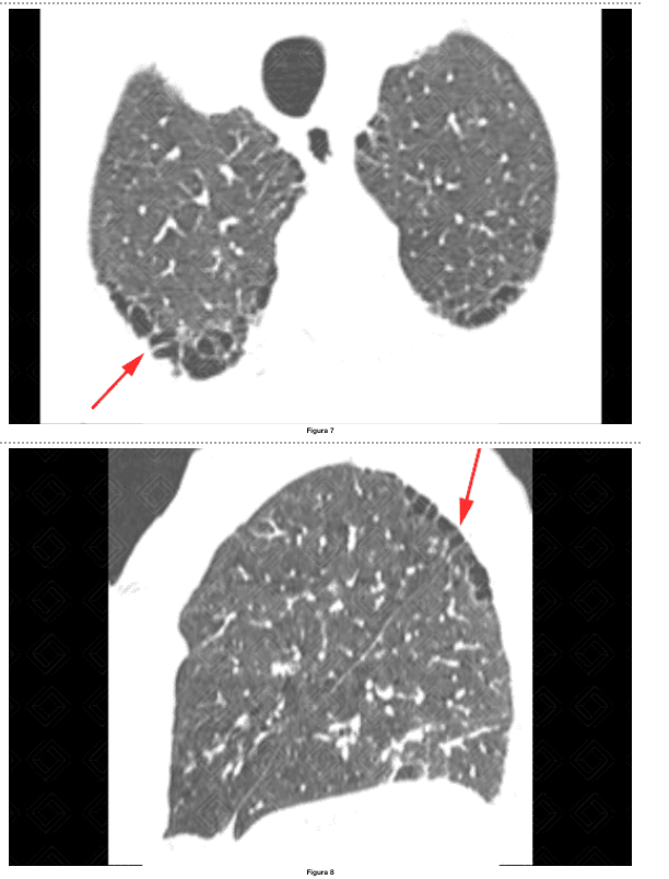
Quais são os achados na TC comuns em pacientes com DPOC?

Cite alguns exames complementares que podem auxiliar no diagnóstico de DPOC.
Considerando um ambiente ideal em que seja possível requisitar quaisquer exames para ajudar no diagnóstico de pacientes com suspeita de DPOC, é preferível pedir um RX ou uma TC de tórax? Explique.
TC, pois apresenta maior nitidez e exatidão para a detecção de alterações relacionadas à DPOC (ex: enfisema) e auxilia no screening de câncer de pulmão uma vez que a maioria dos pacientes com risco para DPOC são tabagistas.
Quais são os principais critérios usados para a determinação da gravidade da DPOC?

Como são usados os ferramentas de avaliação combinada ABCD para determinação da gravidade da DPOC?

Quais são os dois estereótipos revelados pelo exame físico de pacientes com DPOC?
Qual o tratamento farmacológico da DPOC?
dependendo da gravidade: (classe a, b, c e d)
A) Nada ou Broncodilatador de curta duração (SABA)
B) Broncodilatador de longa duração (LABA) ou anti-muscarínico de longa duração (LAMA) - se piora = combinar
C) LAMA → se piora LAMA + LABA/CI
D) LAMA + LABA/CI → se pior + azitromicina
Qual o tratamento não farmacológico da DPOC?
Cessação do tabagismo
Atividade física